새 나가는 복을 잡아라.

얼짱을 위한 치아교정과 미백

by 김동석

치아에 대한 꿈을 꾼 적이 있으십니까? 우리나라에서는 보통, 이가 빠지는 꿈을 흉몽(凶夢)이라고 합니다. 생니 빠지는 꿈을 꾸면 기분이 나쁘고 윗니가 빠지면 어른이 돌아가시고 아랫니가 빠지면 나보다 아랫사람이 죽는다는 해몽을 하지요. 예전에 꿈 해석을 잘한다는 사람과 이야기할 기회가 있었습니다. 그 사람의 말에 의하면 치아마다 나타내는 사람이 있답니다. 제가 치과의사인지라 그냥 넘어갈 수 없어 그 뜻을 물어본 기억이 납니다.


윗니는 윗사람, 아랫니는 아랫사람을, 어금니는 먼 친척을 상징하고, 앞니는 부모, 조부모, 자식, 손자 등 직계를 덧니는 사위나 며느리를 상징한답니다. 치아가 이렇게 가족을 상징하기 때문에 이가 빠지는 꿈은 불길한 꿈으로 여긴다고 합니다. 빠지는 치아의 개수와 위치에 따라서 그리고 내가 뽑았느냐, 남이 뽑았느냐, 내가 남의 치아를 뽑았느냐, 뽑는 것을 누가 도와주었느냐, 피가 났느냐, 피가 나지 않았느냐, 이에 단 것이 묻어 있었느냐, 썩은 이가 뽑힌 것이냐, 멀쩡한 이가 뽑힌 것이냐 등 따져야 하는 것들이 엄청 많아서 신기했습니다.


외국에서도 치아가 빠지는 것은 그리 좋은 꿈으로 보지 않는다는군요. 꿈 해석가인 켈리 설리반 월든은 “치아를 잃는 꿈은 불안이나 무력감, 재정적 압박감이나 가족의 죽음으로 인한 상실감을 표현하는 것”이라고 설명합니다. 아울러 그런 꿈을 꾸거든 자신을 돌아보고 그런 감정을 인정하되, 거기에 너무 오래 머물러 있지는 말라고 충고합니다. 꿈의 해석에 너무 집착하지 말라는 얘기지요.


하지만 ‘꿈보다 해몽’이라고 로또에 당첨된 어떤 사람은 이 빠지는 꿈을 꾸었다고 합니다. 그러니 치아가 꿈속에서 혹시 빠졌다고 해도 너무 불안해하지는 마세요.


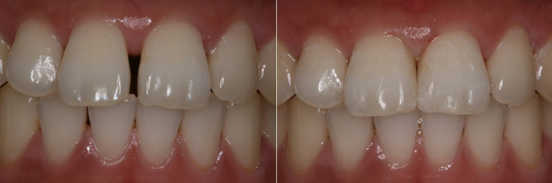
벌어진 앞니 치료를 받은 분이 몇 년 후에 선물을 사 가지고 오신 적이 있습니다. 벌어진 앞니를 치료하고 나서 좋은 일이 많았다는 것입니다. 앞니 사이로 그동안 복이 새 나갔다고 생각한 듯했습니다. 정말 그러기야 하겠습니까마는 우리나라에서는 예전부터 앞니가 벌어져 있는 경우 복이 빠져나간다고 생각을 했던 것이 사실입니다.


이가 빠지는 꿈과 비슷하게 이가 벌어지는 꿈을 꾸는 경우도 흉몽이라고 보통 이야기합니다. 이가 벌어지는 꿈을 꾸면 호흡기 계통의 질병을 조심해야 한다거나 애인과 친구와의 사이에 틈이 생길 수 있으니 조심하라고 해몽을 하기도 합니다. 꿈 해몽이 이런데 만약 현실에서도 벌어진 치아를 가지고 있다면 그 심정이 어떻겠습니까?

반면에 벌어진 틈을 나름대로 매력이라고 생각하는 사람들도 있는 것 같습니다. 한때 일본에서는 덧니가 귀엽다고 일부러 덧니를 만드는 교정도 했답니다. 일부 나라에서는 덧니나 벌어진 틈으로 행운과 돈이 들어온다고 해서 일부러 고치지 않는 경우도 있고, 심지어 벌려주는 치료를 하는 사람도 있다고 합니다. 외국의 유명한 사람들 중에 벌어진 틈을 그대로 두는 사람들이 있지요. 호나우두, 마돈나, 로렌스 피쉬번 등, 참 생각하기 나름이지요?






벌어진 앞니의 치료 - 치과 진료실 엿보기


치아가 벌어져 있는 것이 의미의 좋고 나쁨을 떠나 이유가 어떻든 심미적으로 보기에 좋지 않은 것은 분명합니다. 최근에는 이러한 벌어진 앞니(치간이개:diastema)에 대한 다양한 치과적 해결 방법이 있습니다. 적당한 방법으로 새어 나가는 복을 막아보세요.



1. 치열교정

치아 자체를 움직여서 공간을 메워주기 때문에 치아를 갈거나 하지 않는다는 장점이 있습니다. 만일 원래는 벌어진 틈이 없었는데 나이가 들면서 틈이 생겼다면 이 방법으로 교정치료를 하는 것이 가장 좋습니다. 치아가 회전하면서 틈이 생긴 경우에도 좋습니다. 원래부터 틈이 있었다면 교정 치료 후에 다시 틈이 벌어질 수도 있습니다. 틈을 메우는 교정치료는 보통 빠른 시간에 치료를 할 수 있습니다. 3~9개월 사이에 교정치료가 끝날 수 있습니다.


2. 레진

레진은 플라스틱의 일종으로 치아에 접착합니다. 최근에 재료의 발전이 많이 되어서 정확하게 시술하면 상당히 예쁘고 튼튼하게 시술할 수 있습니다. 아울러 치아를 거의 삭제하지 않아도 치료할 수 있다는 큰 장점이 있습니다. 반면 치과의사의 손끝에서 모든 것이 이루어져 입 안에서 직접 붙이기 때문에 정확도가 떨어지기 쉽고, 치과의사의 손기술에 따라서 그 결과가 크게 달라질 수 있다는 점은 문제로 남습니다. 접착이 약해서 떨어지는 경우도 있고, 구석구석 마무리가 잘 안 되면 때가 끼기 쉬운 상태가 될 수 도 있습니다. 치료비는 다른 치료들보다 저렴합니다. 치아가 벌어진 면적이 너무 넓지 않을 경우에 권할만한 치료법입니다. 치료 기간은 하루면 됩니다. 당일에 즉시 가능합니다.


3. 라미네이트

20220826_231415.png

치아의 앞면을 0.3~0.5mm 정도 얇게 갈아내고, 포세린으로 손톱처럼 얇게 인공치아를 만들어서 치아에 붙입니다. 매우 얇은 재료이지만 치아에 잘 접착되면 상당히 단단해집니다. 벌어진 틈이 조금 넓은 경우에도 예쁘고 정확하게 시술할 수 있다는 장점이 있습니다. 치아색이 어둡거나 다른 문제로 인해서 모양을 바꾸어야 할 때에도 손쉽게 원하는 결과를 얻을 수도 있습니다. 치료 기간은 일주일 정도 걸립니다.


4. 포세린 인공치아

치아를 한 바퀴 돌아가면서 0.5 또는 1mm 정도 삭제하고 내면에 메탈이 붙어 있거나 완전한 포세린으로 인공치아를 만들어서 붙이는 치료입니다. 치아 사이에 공간이 너무 큰 경우에 권할만한 방법입니다. 하지만 치아를 많이 삭제하므로 가급적이면 권하지 않습니다. 치료 기간은 일주일정도 소요됩니다.

keyword
이전 14화투명교정에 대해