brunch

열흘만에 교정하기

얼짱을 위한 치아교정과 미백

by 김동석

아직도 많은 사람들이 '어렸을 때 교정치료를 했으면 지금 얼마나 좋을까?'라는 생각을 합니다. 그리고 서른 살이 넘어갈 즈음에는 치아교정은 이미 물 건너간 일이라고 여깁니다. 하지만 교정치료에 나이 제한이 있지는 않습니다. 나이 많은 성인도 교정치료가 가능합니다. 장치 보이는 것이 부끄러워 선뜻 엄두를 내지 못하고 있다면, 이 안쪽에 장치를 붙여서 보이지 않게 치료할 수도 있지요. 주저하지 말고 교정상담을 받아보기를 권해드립니다.


평균수명이 늘어나고 또 앞으로 더 늘어날 예정입니다. 서른 살이 넘었다고 해도 평균 수명으로만 따져보면 앞으로 살아갈 날이 더 많은 것이 사실이니까요. 노후에도 자신 있게 웃고, 씹을 수 있는 치아의 건강과 심미성은 중요하기 때문에 최근에는 실제로 연세가 꽤 많은 어르신들의 교정치료도 늘어나고 있는 추세입니다. 저도 마흔이 넘은 나이에 치아교정을 했습니다. 늦었다고 생각이 들더라도 결단을 내리고 실천으로 옮기는 것이 더 큰 후회를 막을 수 있지 않을까요?


여전히 가장 큰 고민거리는 치료 기간과 나이 들어 교정치료받는 것을 드러내기 싫은 마음입니다. 저는 투명교정을 이용해 주변 사람들이 거의 모르게 교정을 끝냈지만, 투명교정은 모든 경우에 가능한 것은 아니라서 고민이 되는 것이 사실입니다. 또 간단한 치아교정은 경우에도 6개월이 걸리며 보통 1년 반 내지 2년간 교정 장치를 끼우고 있어야 하고 한 달에 1~2번은 치과에 정기적으로 방문해 치료를 받아야 합니다.

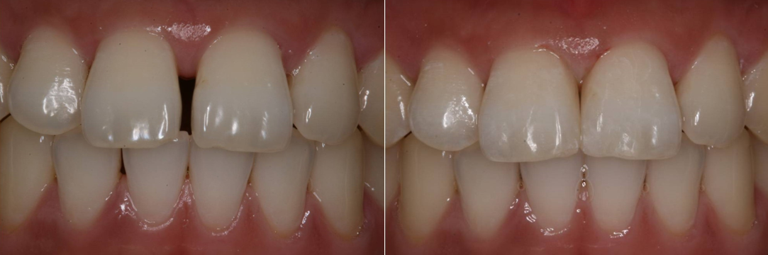
이런 불편한 점 때문에 치아교정을 시작할 엄두를 내지 못하지만, 여전히 가지런한 치아에 대한 미련을 버리지 못하는 분들께 권해드리는 방법이 있습니다. 바로 '열흘 만에 교정하기'입니다. 치아의 표면을 다듬은 후, 인공치아판을 붙이는 단기 미용 교정 치료법으로 가장 빠른 기간에 정상적인 치아 배열을 만들 수 있는 방법입니다.

20220826_232313.png

단, 18세 이하의 어린이나 청소년은 턱뼈가 성장하는 시기라 이가 최종적으로 안정된 상태가 아닙니다. 치열을 바로잡아 주는 시술을 받더라도 후에 바뀔 수가 있습니다. 따라서 단기 미용 교정 치료는 턱뼈 성장이 끝난 성인들에게 적합한 치료라 할 수 있습니다. 불과 10년 전만 해도 이 치료 방법을 많이 권해드리지 않았습니다. 그 이유는 치아 삭제량이 많고 세라믹 보철물이 떨어지거나 깨지는 경우가 많았기 때문입니다. 하지만 최근 접착재료와 세라믹 기술의 발달로 거의 표 나지 않고 장기간 예후도 좋아 활발히 시술이 이루어지고 있습니다.



10일 치아교정 - 치과 진료실 엿보기


최근 미용 치료술의 재료로 각광받는 '라미네이트(Laminate)'라는 얇은 도자기판은 자연치와 유사한 색깔을 가지고 있어 원래의 이와 잘 구별이 되지 않는 심미적인 재료입니다. 또 다른 방법으로 '엠프레스(Empress) 크라운'이나 ‘지르코니아(Zirconia) 크라운’ 등의 올세라믹(Allceramic) 크라운, 또는 레진을 이용하기도 하는데, 치열의 형태나 삐뚤어진 정도에 따라 사용하는 재료가 달라집니다.


1. 라미네이트를 붙이는 치료

20220826_231415.png

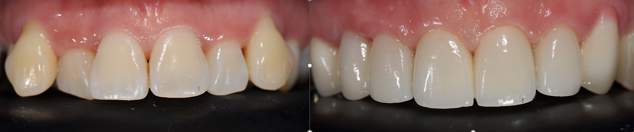
라미네이트는 일단 이에 부착되면 잘 떨어지지 않으며 자연치아와 거의 같은 강도를 갖게 됩니다. 그리고 잇몸을 자극하지 않아 잇몸 염증을 일으키지도 않으며, 시간이 지나도 잇몸이 검게 변하는 일이 없습니다. 라미네이트 두께만큼만 갈아 내면 되므로 이를 갈아내는 양이 가장 적은 안전한 방법입니다.

이가 삐뚤어져 있거나 튀어나와 있을 때 정상 범위에서 벗어나 있는 부분을 다듬고 그 위에 0.5~0.8mm 두께의 라미네이트를 붙입니다. 10일 동안 2~3회 치과를 방문해 치료합니다.


2. 올세라믹 크라운으로 이를 씌우는 치료

특수 도자기 소재를 사용해 주조하며 그 위에 상아질, 법랑질과 유사한 도자기층을 붙여서 만듭니다. 강도가 높고, 빛이 투과되므로 자연 치아와 아주 비슷하게 보입니다. 금속층이 없으므로 시간이 지나더라도 잇몸이 검게 변하지 않는 것 또한 큰 장점입니다.

20220827_205650.png

치료할 이를 크라운 두께만큼 갈아내고 올세라믹 크라운을 씌웁니다. 좀 더 심하게 삐뚤어진 이나 뻐드러진 이에 사용함으로 라미네이트보다 이를 많이 갈아내야 하며, 갈아내는 양이 많으면 신경 치료를 한 다음 씌우는 경우도 있습니다. 치료 횟수는 신경 치료 여부에 따라 달라지겠지요. 대게 2~3주에 3~5회 방문으로 치료를 끝낼 수 있습니다.


3. 레진을 붙이는 치료

레진이란 자연 치아와 물리적 특성이 거의 비슷하며 강도가 적정한 재료입니다. 그러나 3~5년이 지나면 색깔이 변하기 시작하고 조금씩 닳는 성질이 있으므로 치료 후 주기적인 관찰과 보완을 염두에 두어야 합니다. 라미네이트나 세라믹 크라운에 비해 시간도 절약되고 비용도 적게 듭니다. 또 이를 깎지 않으므로 매우 안전한 치료법이라 하겠습니다.

방법은 이가 깨졌거나 사이가 벌어진 경우 등 치료 범위가 크지 않을 때 이에 덧붙여 원하는 형태를 만듭니다. 단 한 번에 치료가 끝납니다.

keyword
이전 15화새 나가는 복을 잡아라.