가벼움과 가려움, 폭력과 보복
아는 사람의 이야기다.
서점에서 책을 하나 집어 들었다가 다시 내려놓았단다. 책 제목이 <참을 수 없는 존재의 가려움>이랬다.
이거 뭔가 심상치 않은 철학책 같아 보여 첫 장을 펼쳐 보았단다. 그런데 왠 걸. 몇 줄 읽다 보니 어디서 본 듯한 문장이다. 한번쯤 읽어본 내용 같더란다. 당연하지. 속표지만 봐도 눈치챘겠다.
그 책은 밀란 쿤데라가 쓴 참을 수 없는 존재의 가벼움이었으니까.
노안이 오면 이런 일이 생긴다. 눈은 흐릿해지고 뇌는 제멋대로 단어를 보정한다. 가벼움이 가려움으로 바뀌는 정도야 웃고 넘길 일이다. 나 역시 노안에 접어든 지 오래라 그 웃픈 사정을 충분히 이해한다. 그런데 이상하게도 그 이야기 하나가 머릿속에 오래 남았다.
가벼움과 가려움.
한 글자 차이인데 느낌은 전혀 다르다. 그래도 묘하게 둘 사이에는 어떤 비밀스러운 통로가 있는 것 같다. 솔직히 말해 참을 수 없는 존재의 가벼움의 줄거리를 또렷이 설명하라면 쉽지 않다. 읽을 때도 조금 어려웠고, 읽은 지 오래되기도 했다. 다만 기억나는 것은 그 배경 어딘가에 프라하의 봄이 있었다는 정도다.
1968년, 체코슬로바키아에서 자유화를 시도했던 짧은 정치적 봄. 지도자 알렉산데르 두브체크가 ‘인간의 얼굴을 한 사회주의’를 말하며 개혁을 추진했다. 사람들은 숨을 조금 더 깊이 쉬기 시작했다. 하지만 그 봄은 오래가지 않았다. 곧 소련의 탱크가 국경을 넘어왔다. 역사책에서는 그것을 소련의 체코슬로바키아 침공이라고 부른다. 권력은 아주 작은 불편함도 참지 못한다.
체제가 간질거리는 그 느낌을, 탱크로 긁어버린 셈이다. 그 거대한 역사 속에서 인간의 삶은 어쩌면 참으로 가벼웠을 것이다. 존재의 무게가 역사 앞에서 너무도 쉽게 흔들린다는 뜻이었을지 모른다.
생각해 보면 가려움이라는 감각은 참 이상하다.
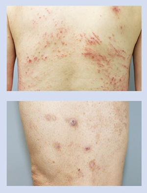
나는 요즘 그 감각을 아주 구체적으로, 매일 경험하고 있다. 나는 심한 건선 때문에 늘 피부가 가렵다. 어릴 적에는 아토피 피부염이 심했다. 나이가 들면서 피부는 점점 건조해졌고 가려움은 오히려 더 집요해졌다. 겪어보지 않은 사람은 모른다. 가려움은 간지러운 정도가 아니다. 정말 형벌 같다.
처음에는 살짝 간질거린다. 옷깃이 스치는 것 같기도 하고 작은 벌레가 지나가는 것 같기도 하다. 하지만 그 감각을 의식하는 순간 상황이 달라진다. 그 지점이 갑자기 확대된다. 신경이 그곳으로 몰린다. 생각도 그곳으로 끌려간다. 긁고 싶다.
손톱이 피부에 닿는 순간 잠깐 시원하다. 정말 잠깐이다. 손톱이 지나간 자리는 곧 붉게 부풀어 오른다. 따갑고 화끈거리고 다시 더 가렵다. 결국 다시 긁는다. 이번에는 더 세게 긁는다. 피부가 뜯기고 진물이 나고 딱지가 앉는다. 그런데 그 딱지가 또 가렵다. 밤에는 더 심하다. 자다가도 몇 번씩 깬다.
등을 긁는다. 겨드랑이를 긁는다. 사타구니를 긁는다. 오금과 정강이를 긁는다. 어떤 날은 등을 긁다 보면 옆구리에서 날개가 돋는 느낌이 든다. 피부가 갈라지고 짓무른다. 긁는 동안은 잠깐 시원하다. 하지만 아침이 되면 손톱자국이 지도처럼 남아 있다.
상처는 또 다른 염증을 부르고 그 염증은 더 참을 수 없는 가려움을 부른다. 이쯤 되면 깨닫는다. 가려움은 긁어서 해결되는 문제가 아니라는 것을. 그런데 세상을 보면 사람들은 늘 그렇게 한다.
가려운 데 긁어준다. 울고 싶은 차에 때려준다. 운전하다가 분노하고 줄 서서 기다리다가 분노하고 욕을 먹으면 격노하고 합리적이지 않다고 격노하고 의심 때문에 격노하고 마음먹은 대로 안 된다고 격노한다. 잘못을 들킬 것 같으면
먼저 화를 내고 선빵을 날린다. 긁는 것이다. 잠깐 시원하다. 하지만 상처는 남는다.
세계 정치도 비슷하다. 이스라엘과 하마스, 러시아와 우크라이나, 미국과 이란. 지도자들의 성격도 이 가려움을 더 키운다. 도널드 트럼프 같은 정치인은 세상에서 가려움을 가장 참지 못하는 사람처럼 보인다. 중동에서는 알리 하메네이가 이끄는 이란과 미국의 오래된 적대가 이어지고 있다. 미국은 한때 이란의 군사 지도자 카셈 솔레이마니를 제거했다. 급기야 신정 정치의 정점에 있는 최고 지도자 알리 하메네이와 그 가족, 정부 수뇌부들까지 폭사시키기에 이른다.
정적을 제거하면 문제가 끝날 것 같지만 현실은 다르다. 긁으면 잠깐 시원하다. 그러나 상처는 더 깊어진다. 그 상처는 또 다른 가려움을 부르고 그 가려움은 더 거친 긁기를 부른다. 폭력과 보복의 악순환은 그렇게 이어진다.
그래서 나는 서점에서 잘못 읽힌 그 책 제목을 다시 떠올린다. 우리는 지금 참을 수 없는 존재의 가벼움 속에 사는 것일까? 아니면 끊임없이 긁고 또 긁다가 상처를 키워가는 참을 수 없는 존재의 가려움 속에 살고 있는 것일까?
겪어본 사람은 안다.
가려움은 긁는다고 끝나지 않는다.