[육아일기]#3 찹쌀이

by 찹쌀아빠

“우리 아기, 태명 지어줄까?”
집에 돌아온 아내가 먼저 말을 꺼냈다.

신경 쓰여 새벽에 선잠을 자고 오전 일찍부터 병원을 방문하느라

제대로 잠도 못 자서 피곤할 텐데, 아내는 우리에게 다시 찾아와 준 소중한 아이의

태명이 더 신경 쓰이는 듯했다.


"찹쌀이 어때?"

"찹쌀이?"

"응, 된소리이기도 하고.."

"된소리?"


아내의 물음에 잠시 얼굴이 붉어졌다.

미신 같은 걸 크게 신경 쓰지 않는다고 하던 내가 행운이 이후로 이것저것 알아보다

된소리가 아이에게 좋다는 말을 본 기억이 있어 생각해 둔 이름이었다.

멋쩍게 웃는 내 얼굴을 바라보던 아내는 빙긋 미소 지으며 말했다.

“찹쌀이 좋아. 우리 아이는 이제 찹쌀이야”

그렇게 태명이 정해졌다.

“찹쌀이.”
작고 말랑하고 따뜻한,
하지만 그 안에 우리 부부의 간절함이 꾹꾹 눌러 담긴 이름이었다.

찹쌀떡처럼 엄마 뱃속에 꼭 붙어 있으라는 뜻.
붙었다 떨어지는 일이 다시는 없기를 바라는, 그 누구보다 간절한 마음이 깃든 이름.
우리 부부는 그 이름을 입에 올릴 때마다 조심스레 마음을 담았다.

말을 줄이고, 호흡을 낮추고, 그저 조용히 기도하는 심정으로
“우리 찹쌀이, 오늘도 엄마 뱃속에 잘 있어?”
“찹쌀아, 아빠 출근하고 올게!”
매일같이 다음 병원 진료일 전까지 나는 직장을 다니며, 아내는 집에서 몸조리를 하며

평소 우리 부부가 나누는 일상의 대화를 찹쌀이 와 공유하며 보냈다.


2025년 1월 25일.
임신 7주 차 2일.
찹쌀이의 두 번째 초음파 진료를 받는 날이었다.

5주 차 초음파에서 아기집과 난황, 작게 모습을 드러낸 찹쌀 이를 만났지만
그날은 피고임이 많아 심장소리는 확인하지 못했다.
기쁨과 불안이 뒤섞인 상태로 병원을 나섰던 기억이 남아있다.
그래서일까.
이번 진료는 그 어느 때보다 떨리는 마음으로 진료실 앞에 앉아있었다.

병원 대기실에서 말없이 손을 잡고 앉아 있던 우리.
말을 하지 않아도 서로의 긴장감이 고스란히 느껴졌다.

순번이 되어 들어간 진료실.

초음파 검사 준비가 끝나서 아빠가 들어와도 된다는 선생님의 말에

나와 아내는 초조하게 초음파 검사 화면을 뚫어지게 응시했다.

그리고 얼마 지나지 않아 검은 화면에 조그맣게 무엇인가가 보이기 시작했다.


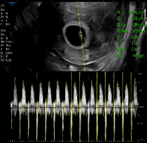
KakaoTalk_20250824_200615364_02.jpg 찹쌀이의 7주차 초음파


KakaoTalk_20250824_200615364.jpg 찹쌀이의 7주차 초음파



의사 선생님이 화면을 가리키며 말했다.

“0.96cm네요. 아주 좋습니다.
그리고… 심장도 잘 뛰고 있어요.
평균 심박수 147 bpm입니다.”


"두근두근두근두근"

선명하게 울려 퍼지는 그 리듬은

우리의 두려움을 무너뜨렸고, 오랜 침묵을 뚫고

눈물처럼, 숨결처럼, 기쁨이 터져 나왔다.

힘차고 강렬하게 뛰고 있는 심장소리.

그 소리는 말발굽과도 기찻소리와도 닮아 있지는 않았지만,
우리에게는 단순한 소리가 아니었다.
찹쌀이의 생명, 우리 아이의 존재,
그 자체로 들려왔다.


아내와 나는 눈을 마주치지 못했다.
대신 둘 다 화면만 뚫어지게 바라봤다.
숨을 참았다가, 아주 천천히 내쉬었다.

너무 오래 눌러왔던 감정이 조금씩 고개를 들었다.
찾아와 준 찹쌀이에 대한 고마움과 기쁨과 함께

한편에선 불안과 조심스러움으로 꼭 막아두었던 문틈 사이로
감정의 댐이 조금씩 금이 가며, 그렇게 기쁨이 서서히 밀려왔다.


아내가 먼저 입을 열었다.

“어머니께 말씀드릴까?”
“응 내가 전화할게”

그토록 기다리던 그 말.

그토록 참아왔던 그 기쁨.

“아기 심장소리 들었어요. 건강하게 잘 자라고 있어요.
태명은 ‘찹쌀이’ 예요.”

잠시 정적이 흐르고,
곧바로 터져 나오는 어머니의 탄성.
“정말이니? 어쩌면 좋아, 아이고 우리 며느리 고생했다. 고생했어”
어머니의 눈물 섞인 웃음소리 뒤로 아버지의 고생 많이 했다는

목소리가 넘어왔다.

장모님과 장인어른, 처형에게도 이 기쁜 소식을 전한 이후

아내와 내 눈가에는 눈물이 고여 있었다.


행운이를 보낸 이후
진심으로 기쁘게, 맘껏 웃어본 건 지금이 처음이었다.

“고마워, 찹쌀아. 엄마, 아빠한테 와줘서.”

그 말을 진심으로 할 수 있었던 건, 오늘이었다.

조심스럽게, 그러나 단단하게.
우리의 두 번째 여정은 그렇게 다시 시작되고 있었다.

기적은 언제나 거창한 모습으로 오는 건 아니었다.
찹쌀이처럼 작고 조용하게,
하지만 분명히 살아 숨 쉬며 우리 삶 한가운데로 들어와 주었다.

일요일 연재
이전 03화[육아일기]#2 피고임, 그리고 반지