새로운 챕터가 열리다

feat. 임신 5개월 차에 접어들며

by 권용연

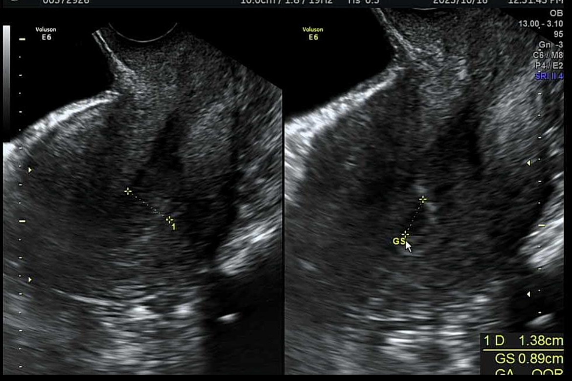
2023년 10월. 콩알만 하게 초음파에 보이는 아기의 심장소리를 처음 들었다. 살면서 느껴보지 못한 몽글몽글한 감정이 올라왔다. 가족들에게도 소식을 전했다. 이 작은 5mm의 존재가 우리 부부를 포함한 많은 이들에게 행복감을 안겨준다는 것 자체가 벅찼다.


요즘은 연애도, 결혼도, 출산도 모두 의무가 아닌 선택의 영역이 된 시대다. 그렇기 때문에 우리 부부도 결혼을 하고 언젠가 아이를 가질 거라는 막연한 계획은 있었으나, 계획대로 되지 않아도 문제 될 건 없었다. 충분히 둘이서도 많은 것을 경험하고 즐길 수 있는 시대이고 더 자유로울 수도 있을 것이니까. 사실 임신하기 전까진 ‘준비가 아직 안 됐어, 더 놀고 싶다’라는 모호한 생각들 뿐이었다. 그런데 막상 아이가 생기니 자연스럽게 상황에 맞게 내 몸도, 마음가짐도 자연스럽게 방향을 틀어 새로운 삶에 적응하는 방법을 찾고 있었다.



아이가 태어나면, 삶의 패턴도 바뀌고, 지금처럼 우리 둘만 있을 때 자유롭게 경험할 수 있었던 것들은 덜 하게 되겠지만, 동시에 경험해보지 못한 새로운 세상이 열릴 것이라는 기대감도 있다. 아이와 함께 할 수 있는 무궁무진한 경험을 (좋은 것이든, 힘든 것이든) 해볼 수 있고, 지금까지 내가 해왔던 경험을 아이와 함께 다시 하며 새로운 시각에서 바라볼 수도 있고, 지금껏 느껴보지 못한 감정의 스펙트럼을 더 넓혀볼 수도 있을 것이다.


중요한 마인드 셋은, 스스로를 한계 짓지 않으려 노력하는 것이다. ‘아이가 있으니까’, ‘육아를 해야 하니까’라는 말들로 나를 가두지 않아야겠다. 나로서의 자아와 부모로서의 자아가 건강하게 양립할 수 있도록, 그래서 삶의 지평을 더 넓힐 수 있도록 스스로가 노력해야지.


keyword
작가의 이전글2023년 회고 (1) - 규칙 속의 변주