누구나 이혼서류 하나쯤
가슴에 품고 살잖아요 14

백년손님 백년종년

by 사라최

누구나 이혼서류 하나쯤 가슴에 품고 살잖아요 13

>> 두 개의 심장 ... 에 이어서...




병원 복도에서 손임은 계속 다리를 떨었다.

종연은 그의 다리를 붙들고 나지막이 얘기했다.

“좋은 말로 할 때 진동 멈춰요!!!! 나도 불안한데 당신까지 이러면 어째요.”

손임은 침을 꼴깍 삼키며 말했다.

“알았어 자기야. 후~ 후~”

종연은 숨을 깊게 들이쉬고 내뱉으며 긴장감을 조절하는 손임을 보며 어이가 없었다.

“누가 보면 자기가 아기 낳으러 온 줄 알겠어요.’

그때 반가운 소리가 들렸다.

“여종연 님! 여종연 님! 진료실로 들어오세요~”



종연은 침대에 누웠다.

이런~ 낯선 곳에서 그리 자랑스럽지 않은 종연의 배가 무방비 상태로 쏙 드러났다.

종연은 애써 부끄럽지 않은 듯 태연하게 의사 선생님만 바라보았다.

“차갑습니다.”

종연 배에 초음파를 위해 뿌려진 젤은 생각보다 많이 차가웠다.

종연은 의사 선생님께서 초음파를 보시고 종연에게 말을 하기 전까지의 3초 동안 많은 생각이 머릿속을 스쳐갔다.



‘아기가 정말 내 뱃속에 있는 걸까?

그냥 내 속이 안 좋았던 건 아닐까?

혹시 계류유산이면 어쩌지?

그 새 아기가 사라졌으면 어쩌지?

자궁에 아기가 잘 자리 잡았겠지? 혹시 자궁 외 임신인가?

설마 아기가 기형아면 어쩌지?

어제 퇴근 후 버스 정류장에서 담배 냄새 맡았는데 아기한테 괜찮을까?

아기집이 안 보이면 어쩌지?

고사 난자일 수도 있는데. 내 난자가 설마 죽은 난자는 아니겠지?

아기가 너무 작아서 안보일 수도 있지 않을까?

아… 진정해…진정해… 후… 후…’



종연은 30대 여성이며 유치원 교사다. 임신과 출산에 대해서 가족, 친구들은 물론 주변 지인들에게서 많은 정보를 공유했고 수많은 관련 매체와 서적도 탐독했던 그녀다.

유아교육 전공할 때도 임신과 출산, 태아, 유아에 관한 모든 과목을 훌륭히 이수했다.

하지만.. 많이 알고 있어서인가?

그녀는 불안하다.

임신과 출산이 그녀의 머리에서 온전히 그녀의 뱃속으로 내려오게 되었으니 말이다.

이윽고 기나긴 3초가 흐르고 의사 선생님께서 말씀하셨다.

“임신 축하드립니다. 임신 5주 차입니다.”

종연은 이 세상에서 가장 아름다운 문장을 하나 꼽으라면 단연코 방금 의사 선생님이 말씀하신 문장이라고 말할 것이다!!!!!!!

의사 선생님께서는 초음파 화면에 한 지점을 가리키며 콩알만 한 아기집을 보여주었다.

아직 아기는 보이지 않았지만 종연은 마음속으로 속삭였다.

‘아가야 안녕~~ 엄마야. 만나서 반가워.’

손임은 너무 기쁜 나머지 눈물을 글썽이고 있었고 연신 종연에게 ‘고맙다. 수고했다’ 말해 주었다.

손임과 종연은 그렇게 세 가족이 될 준비를 했다.


종연은 입덧을 심하게 하지는 않았지만 약간의 울렁거림이 있었고 덕분에 멀건 곰탕과 생선 등 재료 본연의 냄새가 나는 것은 잘 못 먹었다.

그 대신 탄산음료와 라면, 떡볶이, 쫄면 등 매콤하고 상큼한 것들을 계속 찾았다.

종연에게 단짠 단짠한 음식과 탄산음료는 뱃속의 울렁거림을 잡아주는 힐링 음식이었다.

시원한 물냉면과 새콤한 비빔냉면 또한 종연의 즐겨 찾기에 저장되어 있다.

느닷없이 결혼 전 손임과 골목 후미진 카페에서 먹었던 형형색색 파르페가 생각나기도 했고 엄마가 김치 대신 휘리릭 무쳐주신 알싸한 파김치 생각에 현기증이 나기도 했다.



종연과 손임은 임신 사실을 확인하고 2주 뒤 다시 병원을 방문했다.

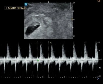
의사 선생님은 임신 7주 2일 차라고 말씀하시면서 아기집을 보여주셨다.

아기집은 2주 전 보다 많이 커졌고 그 안엔 비비탄만 한 아기도 보였다.

종연이 쪼끄만 게 아기집에 야무지게 꼭 붙어 있는 모습이 너무 귀엽다고 느낀 순간 리듬감 있고 묵직한 소리가 종연의 마음을 뭉클하게 두드렸다.

두둥~두둥~두둥~

종연과 손임은 진료실 전체가 울릴 만큼 엄청 큰 아기의 심장소리를 넋을 잃고 듣고 있었다.

의사 선생님께서는 종연과 손임 부부가 충분하다고 느낄 만큼 시간을 들여 아기의 심장소리를 들려주셨다.

“여기 깜빡깜빡하는 거 보이시죠? 아기가 심장박동 할 때마다 깜빡거리는 거랍니다.’

종연은 비비탄 크기의 아기 속에 심장이 있다는 것과 이토록 우렁차고 빠르며, 쉬지 않고 뛰고 있다는 사실에 경이롭기만 했다.

손임이 걱정스레 말했다.

“심장소리를 들으니 너무 좋긴 한데 우리 아기 정상적으로 잘 크고 있는 건가요?

의사 선생님은 손임의 걱정이 충분히 이해된다는 듯 말씀해 주셨다.

“아기집, 아기 모두 정상적인 범주에서 수주만큼 잘 자라고 있어요. 심장소리 크기랑 속도, 패턴도 정상입니다.”

종연은 우리가 이토록 ‘정상’적인 것에 목맸나 싶을 정도로 벌써부터 아기에게 ‘정상’의 잣대를 재는 것이 마냥 웃겼다.

종연은 집으로 오는 길에 손임에게 벅찬 감정으로 말했다.

“자기야 나 심장이 두 개나 있는 여자야~~~ 하하하.”


이제 주변에 임밍 아웃할 차례다.



심장.jpeg


keyword
작가의 이전글누구나 이혼서류 하나쯤 가슴에 품고 살잖아요 13