3. 엄마의 탈출을 돕다

일상에서 빗겨나 있기

by 김현정

지화자 여사의 치료는 이렇게 진행이 된다고 했다.

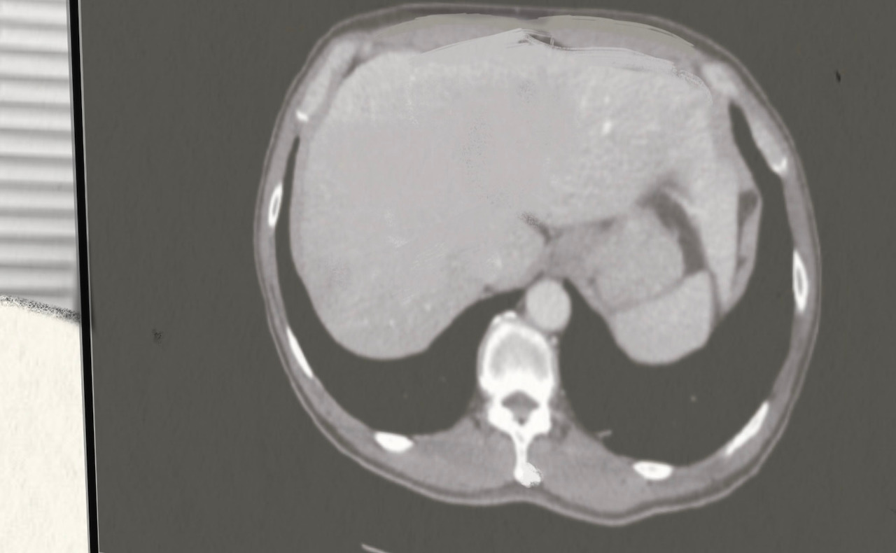
암 덩어리가 있는 부위를 수백 장 CT촬영한다.

그 사진들을 가지고 담당 의사 선생님들이 모여서 분석한다.

33일간 방사선을 암 덩어리가 있는 부위에 최대한 정확하게 쏜다.

항암주사는 2번 진행하는데, 30일 간격으로 2박 3일 입원한다.


엄마 지 여사의 암은 항문 괄약근에 걸쳐있다고 했다. 만약 약물과 방사선 치료가 아니라 수술을 한다면, '장루'라는 인공항문을 달아야 한다. 장녀 K는 접수처를 찾아 헤매다가 접수처 근처에서 '장루 교육받는 곳'이라는 화살표를 본 기억이 났다. 먼저 핸드폰으로 ‘장루’를 검색해 봤다.


‘인공적으로 장 내용물을 배출하기 위한 복부에 만든 인공 개구부’


지 여사의 일상이 완전히 달라질 걸 생각하니 머리가 멍해지고 가슴이 답답해졌다. 전문가들이 제시하는 치료만으로 암이 쪼그라들면 좋겠지만, 만약 항문을 삭제해야 한다면…. 엄마는 받아들일 수 있을까? 생명에 지장만 없다면, 죽는 것보다 낫지 않은가. 장녀 K는 아직 일어나지 않은 일로 슬픔과 분노가 순식간에 자신을 휘젓는 것을 느꼈다. 사실 이런 걱정은 다 부질없었다. 내일 병원에서 뭐를 말할지도 모르는 상황이었다.



CT촬영 후, 치료 설계에 필요한 시간은 2, 3주 정도라고 했다. 코로나19로 병원 입원 날짜도 정확히 알 수 없었다. 원무과에 물어보니 돌아온 대답은 입원할 환자들이 많아서 밀려있다는 말이었다. 지화자 여사와 가족들은 6일 만에 벌어진 이 모든 일들이 마치 행선지도 모른 채 버스를 타고 밤길 안갯속을 달리는 기분이었다.




병원으로부터 입원 연락을 기다리던 지화자 여사는 한없이 말라갔다. 두려움이 엄마의 입맛을 앗아갔다는 것을 장녀 K는 알 수 있었다. 집 안의 문을 모두 열고 지내는 여름, 장녀 K는 새벽에 엄마의 흐느끼는 소리에 잠을 깼다. 불안에서 오는 고통이었다. 어떤 치료도 아직 시작하지 않았지만 엄마는 이미 지쳐있었다. 병원 밖에서 입원 날짜만을 손꼽아 기다리던 가족들은 혹시나 암이 커지고 다른 부위로 전이되면 어떡하나 전전긍긍했다. 아침에 장녀 K는 방문을 빼꼼히 열고 침대에 누워있는 지화자 여사에게 물었다.



"엄마, 뭐 하고 싶어? 항암치료 시작하기 전에 제주도에 갈까?"


"니 아빠는.... 니 아빠 때문에 난 못 살겠어."


장녀 K가 평생 귀에 못이 박히게 들었던 아빠에 대한 엄마의 후렴구 같은 말이었다. 지 여사는 남편 김필두씨를 자기 인생에서 가장 원망하면서도 자신보다 더 챙긴다. 하지만 암 선고 후, 장녀 K도 지 여사가 계속 빌드 업하는 남편에 대한 서운함과 분노를 받아줄 마음의 여유가 점점 사라지고 있었다. 무엇보다도 54kg인 엄마의 체중이 48kg로 줄었다는 게 마음에 걸렸다. 이 체력으로 방사선 치료와 항암치료를 버틸지 의문이었다. 생전 겪어보지 못한 큰 치료였기에 걱정이 앞섰다.


“엄마 치료 시작되면 정말 아무것도 못할 텐데, 지금 가자. 내가 지금하고 있는 일은 노트북만 있으면 돼, 제주도 가서도 할 수 있어.”


제주도에 있는 수도원에서 일주일만 쉬고 오기로 했다. 그렇게 일주일 후 서울에 돌아와서 병원에 입원하면 심적으로 고생이 덜 할 것 같았다. 이런 속내를 아는지 모르는지, 아빠는 별말씀 없이 제주도행을 허락하셨다. 아빠 김필두씨도 궁금한 것이 많았을 것이다. 하지만 자매와 아빠는 엄마의 암에 대해 아무 말도 하지 않았다. 아빠가 묻지 않았기에 굳이 브리핑하듯이 얘기할 필요를 못 느꼈다. 무엇보다 아빠 김필두씨의 반응이 어떨지 상상이 되지 않았다. 혹시라도 엉뚱한 말이라도 하면 어떡하나 염려되어 직접적인 언급을 피했던 것이다.


제주도 피정 센터는 본래 장녀 K의 피난처였다. 효정은 피정 센터 담당 수사님에게 엄마의 사정을 말씀드렸고, 허락을 받았다. 8월의 제주는 매우 습하다. 한편으로 엄마의 몸과 마음을 편하게 만드는 일상의 탈출이 될지 걱정부터 됐다.

keyword