brunch

해결된 봄:남편의 임신_ 불안

불안의 형태로 표출되는 모성애 <임신 9주차>

by 해결된 봄

아내는 거센 바람에도 땅속 깊히 완고하게 뿌리내려 바람 부는대로 흔들려주는 나무다. 흔들려야 한다면 흔들려주리라 말하며 바람을 맞고 있다. 나는 행여나 나무가 아플까 싶어 걱정하며 주위를 도는 새다. 안절부절못하며 지켜보는 것 외엔 딱히 할 수 있는 게 없는 그 나무에서 잘 쉬어가던 새다.




9주차의 어느 날, 아내는 갑자기 낯선 통증을 느꼈다. 배를 세게 꼬집는듯한 통증, 놀랄 정도로 배 안에서 무언가가 찔러대는 듯한 느낌이 마음까지 닿아 누르던 불안을 터쳤다. 그래서 예약일 보다 앞서 병원을 찾았다. 진료시에 특별한 소견은 없었다. 임신하면 원래 이렇게 아플 수 있는가 보다 생각하고 임신 앱을 보는데 엄마 가이드에 이렇게 쓰여있다.

놀라지 마세요. 갑자기 움직이거나 할 때 사타구니 부위가 칼로 찌르는 듯한 통증을 느낄 수 있어요. 자궁을 지지하는 원형 인대가 늘어나서 그렇습니다.

아내가 겪은 통증은 정상적인 통증이었다. 상식적으로는 안 아파야 정상인데 반대로 통증이 있는 게 정상적이라니 참 얄궂은 사실이다. 얼마나 아프고 놀랐을까. 칼로 찌르는 듯한 느낌을 몇 번이나 겪었을 아내를 생각하니 그 칼에 내 살을 대어주고 싶다. 게다가 그 통증이 아이가 잘못되려는 통증으로 여겨졌다면 얼마나 무서웠을까. 이상하게 최대한 침착하려 했던 아내의 모습에서 불안의 최대치를 보았다.


임신 9주차의 불안은 여기서 끝이 아니었다. 줄기차게 이어지던 입덧이 사라져 버린 것이다. 먹덧으로 시작했던 입덧이 지금은 말 그래도 우엑우엑 드라마판 입덧이 되어 입덧 3주차를 보내고 있는 상황이었다. 점점 더 무언가를 먹기가 고역스러워지고 냄새 조차 힘들어한다. 냉장고를 열었다가 닫기만 해도 그녀의 속은 뒤집힌다. 나는 뭐라도 꺼낼라치면 냉장고 내의 목적물의 위치를 미리 예상하고 정확한 손놀림으로 꺼내야만 했다. 속에 뭐가 있는지 알 수 있다던 광고 속의 스마트 냉장고면 좋겠다는 생각까지 들었다. 입덧이 제대로 찾아오니 먹는 재미라도 있었던 먹덧은 정말 감사한 덧이었다. 충분한 영양섭취라도 할 수 있으니 말이다. 입덧 중에도 아내는 최소한의 영양을 위해 이것저것 먹기를 도전하며 간간히 소량의 젤리나 사탕, 밀가루 음식으로 속을 달래고 있었다. 평소 아내가 좋아하던 과일과 음식을 늘 준비시켜 놓는 것도 남편의 지혜다. 또한 아내에게 식단을 맞춰 아내가 힘들어하는 음식은 함께 참고 아내가 찾는 음식을 함께 즐기는 것과 집안의 위생관리가 남편이 할 수 있는 고작의 일이다.

그런데 줄기차게 이어지던 입덧이 아직 끝날 시기도 아닌데 사라져 버린 것이다. 입덧의 사라짐은 몇 번이나 반복되었다. 짧게는 몇 시간, 길게는 하루 종일도 그랬다. 아기가 엄마에게 휴식을 주나 보다 생각하지만 불안의 끈을 놓기엔 태아를 향한 관심이 끝없다. 그래서 또 열심히 손을 놀려본다. 입덧 사라짐에 대해 검색해 본 결과 많은 임신부들이 겪는 현상이며 이 현상으로 인해 임신부들은 매우 불안해한다. 몸이 편해지면 좋아해야 하는데 오히려 불안해하는 것은 그들이 ‘엄마’이기 때문이다. 전에도 말했듯 내 아이만 건강하다면 이깟 고생하는 것쯤은 견딜 수 있다는 엄마의 마음이 잘 묻어있다. 모성애는 불안의 형태로 표출되고 있었다. 이렇게 몇 번 입덧 사라짐을 경험하고 나니 아주 편하게 말할 수 있다.

라떼는 말이야 입덧이 몇 번이나 없어졌었지. 충분히 그럴 수 있어.


입덧은 일시적으로 사라질 수 있다. 그러니 입덧이 사라졌다면 불안한 마음을 최대한 버리고 침착하게 하루 이틀 정도 지켜보는 게 가장 중요하다. 그걸로 입덧의 시기가 끝난 거면 더할 나위 없을 것이고 다시 시작하면 받아들여야 한다. 계속 불안한 마음이 이어진다면 정신 건강을 위해서 내원하는 게 최선이다. 불안함에 찾은 병원이지만 득도 있었다. 예쁨이를 조금 더 빨리 만나볼 수 있었다.

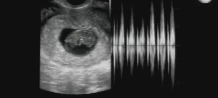
img.jpg

임신 9주차의 태아와 심장 박동의 세기와 간격이다. 탯줄이 형성되고 있고 팔과 다리가 보이기 시작한다. 조금씩 꼬물거리는 게 참 귀엽다. 3cm 남짓의 크기를 하고 엄마 배에서 힘차게 숨 쉬고, 또 자라고 있다니. 실감이 나지 않지만 사실이기에 그저 놀라울 뿐이다. 부모가 되는 경험은 위대한 창조의 섭리에 한 발 더 다가가는 것이다. 아내야, 아가야 고맙다.




노력의 연속


임신 9주 3일이 되었다. 처음엔 주차와 일수를 함께 말하는 것에 대해 매우 어색했다. 예를 들면, 9주면 9주지 왜 3일이 붙나 싶었다. 하지만 임산부의 몸과 태아는 하루가 다르게 변하고 성장한다는 것을 알게 되니 모든 '보편화됨'은 다 이유가 있구나.


아직 임신 초기이지만 임신 9주면 나름 익숙해질 만도 한다. 하지만 닦아내면 다시 앉고 또 닦아내도 재차 가라앉는 요즘의 노란 송화가루처럼 아기에 대한 불안함을 아주 떨쳐내기엔 이른 시기인가 보다. 수십 번 걱정을 내던지려 해도 그게 잘 안된다. 이게 본래 아이를 가진 부모의 마음인지 우리 멘탈의 문제인지는 모르겠지만 매일 기쁨과 기대 저 편에는 두려움도 함께 있다. 그저 기도하며 아내가 무리하지 않도록 돌보는 것이 내가 할 수 있는 최선의 일이다.


일을 하고 있는데 아내에게 전화가 왔다. 오늘은 입덧도 없고 배가 두 번이나 놀랄 정도로 아주 세게 찌르듯이 아팠어서 불안한 마음이 든다고 한다. 불안하거나 조금 이상하다 싶으면 예약일 이전에 내원해도 된다던 의사 선생님의 말씀도 있었기에 아내 혼자라도 일단 병원에 가기로 했다. 계속 불안해하는 것보다 건강하게 잘 있다는 말씀 듣고 오는 게 아내의 마음에도, 태교에도 좋을 것이다. 임신이 처음이라 이렇게 불시에 찾아온 고강도의 반응은 우리로 하여금 어김없이 병원을 찾게 한다. 이제 병원에서도 마스크를 했음에도 불구하고 아내를 한눈에 알아본다고 한다. 구불구불하고 방도 많은 복잡한 병원 내부도 이제 나침반 없이 능숙하게 잘 찾아다닌다.

함께 병원에 가지 못하는 미안한 마음과 결과에 대한 초조함으로 아내의 전화를 기다렸다. 그리고 생각보다 빨리 아내에게 전화가 왔다. 아내는 진료를 마쳤고 예쁨이가 문제없이 잘 크고 있다는 기쁜 소식을 전해왔다. 다행이다. 다행이라는 말은 정말 이럴 때 쓰는 거지. 다행이다. 하지만 의사 선생님은 다 좋다는 말 끝에 한 가지 말씀을 덧붙였다고 한다.

양수의 양이 적은 편이예요.


이 양수가 얼마나 중요하냐면, 외부 충격으로부터 예쁨이를 보호하고 예쁨이의 발육은 물론 향균작용과 체온 유지에도 상당한 역할을 한다. 또한 분만 시 윤활유 역할을 하면서 예쁨이가 쉽게 빠져나올 수 있도록 해준다. 양수가 적으면 양수과소증으로 태아의 골격과 근육에 안 좋은 영향을 줄 수도 있다고 한다. 하지만 우린 그 정돈 아니니 이제부터라도 적정한 양수를 위해 노력해야 한다.

의사 선생님께서는 양수가 부족한 문제를 해결하기 위해서는 더욱더 많은 물을 섭취해야 한다고 한다. 하루 대략 2리터에서 2.5리터의 물을 마셔야 양수가 잘 순환되고 채워진다고 한다. 입덧으로 인해 물 먹기가 역하면 레몬 조각을 물에 넣어 먹는 방법도 좋은 방법 중 하나라고 친절히 안내해주셨다.


그래서 아내는 그 날 이후부터 물 2리터 마시기에 도전했는데 쉽지 않다. 평소 물을 참 안 마시고 살았구나를 새삼 느끼게 되는 순간이었다. 생각해보니 나도 아무리 많이 마셔도 1.5리터 이상 마시지는 않는 것 같다. 아침에 챙겨 나온 0.5리터 생수병에 물이 아직도 남아있다. 물을 많이 마시기가 누워서 떡먹기 정도로 쉬워 보이지만 쉬운 게 아니었다. 물 배가 차면 얼마나 부대끼던가. 장 내시경을 준비할 때 전 날 물을 엄청 많이 마시게 되어있다. 몇 리터를 몇 번에 걸쳐 나눠서 마시는 거니까 그렇게 힘들지 않을 것 같은데 실제 약을 탄 물을 계속 마시다 보면 물을 토하고 싶을 정도로 고역스럽다. 요즘은 약이 좋아져서 이렇게 많이 안 마셔도 된다고 한다. 여하튼 물을 많이 먹기란 쉽지 않지만 아내는 예쁨이가 정량의 양수 안에서 건강하고 편안하게 자라는 마음으로 열심히 물을 마시고 있다.

다시 말해 양수가 부족하면 물을 자주 마시자. 아침에 라디오를 들으며 출근할 때 나오는 '우리 물 좋은 물 백*수' 광고에는 임신부의 양수에 대해 이야기해준다. 요즘은 마치 누군가가 내 관심분야에 대한 알고리즘을 해석해서 삶에 적용시켜주는 분위기다. 이거 혹시 짐 캐리의 트루먼쇼 같은 거 아닌가 싶을 만큼 신기할 때가 많다. 내가 아내와 임신에 대해 몰두해있다는 증거겠거니 한다. 여하튼 그 생수 광고에서 말하길 임산부의 양수는 매일매일 새로 채워진다고 한다. 양수가 계속 머무르는 게 아니라 순환하며 새로운 양수로 채워지고 또 채워지는 구조라는 것이다. 그렇기 때문에 물을 많이 마시는 것이 중요하고 미네랄이 많이 함유된 좋은 물을 먹는 것 또한 태아에게 매우 중요한 영향을 미친다는 것이다. 좋은 물을 많이 마시자. 아직까진 그냥 일반 생수를 사서 먹는데 오늘은 아내 전용으로 제일 비싼 생수를 사 가야겠다.

반면 조심해야 할 것은 양수가 너무 많아도 안된다. ‘양수과다증’이라는 게 있는데 양수가 너무 많으면 태아의 위치를 알기 어렵고 심음을 듣기 어렵다고 한다. 임신부의 복부도 매우 불편해지고 호흡도 곤란할 수 있다. 정맥 압박으로 인해 복부와 외음부, 다리에 부종을 일으킬 수도 있고 이는 조기 진통이나 파수로 이어질 수 있으니 무턱대고 물을 많이 마시는 것도 안된다. 리터를 측정할 수 있는 병에 임신부가 먹는 물의 양을 체크해가면서 먹는 방법이 최선이다. 양수는 초음파로 양을 확인할 수 있으니 진료 시 확인할 수 있다.

아참, 탄산수를 준비해두는 것도 좋은 방법이라고 한다. 탄산음료는 높은 당분 때문에 임신부에게 좋지 않다. '내 몸 안에 흐르는 이온 포**스*트' 같은 음료도 설탕의 함량이 높기 때문에 썩 좋은 방법은 아니니 청량감이 필요할 때는 탄산수로 조금이나마 속을 달래 보자.


양수의 7가지 역할

1.배 외부에서 가해지는 충격을 완화하는 쿠션
2.아기가 충분히 몸을 움직일 수 있는 공간을 확보하여 근육과 뼈의 발달을 촉진
3.아기가 양수 안에서 호흡을 연습하여 폐의 성숙을 촉진
4.항균 작용에 의해 아기를 감염으로부터 보호
5.온도를 일정하게 만들어 안정된 환경을 유지
6.출산 시 자궁이 수축되어 아기와 탯줄, 태반 등에 직접적인 압박이 가해지는 것을 막아 아기에게 부하가 걸리지 않도록 보호
7.출산시 자궁의 출구를 확장




임신 초기는 먹고 싶은 건 못 먹고 먹기 싫은 건 먹어야 하는 시기이다. 그 좋아하던 자극적인 음식들, 그 좋아하던 회, 초밥, 그리고 늘 마무리는 커피나 아이스크림이었는데.. 이것들은 아내가 최애 하는 음식, 기분 전환에 최고였던 음식들이다. 왜 맛있는 것은 죄다 안 되는 걸까. 아내는 이 모든 것을 최대한 참으며, 먹기 싫은 여러 영양제들과 임신에 좋다는 과일 종류들을 살기 위해 먹고 있다. 설령 좋아하는 음식이 앞에 나타난다고 해도 막상 먹으려면 입덧이 출동하는 현실이 참 안쓰럽고 미안하다. 차라리 내가 입덧을 했으면 좋겠는데 이 놈의 건강은 변함없다. 아내에겐 '모두 다 내 뜻대로 되지 않는 시기'가 임신기인 것 같다.




아내에게 미안한 마음이 드는 만큼, 아내를 걱정하는 만큼 아내에 대한 사랑이 커진다. 더 커질 사랑이 없을 줄 알았는데 실로 어제보다 오늘 더 사랑하고, 오늘보다 내일 더 사랑하게 될 것 같다. 아내의 임신을 가장 가까이에서 지켜보며 돌보아야 할 사람이 바로 남편이어야 하는 이유가 이 때문이다. 관심 있게 지켜보고 있으면 분명 사랑의 새싹이 줄기 어디에선가 돋아나고 있을 것이다.

아내의 임신이 아내만의 임신이 아님을 늘 상기시키고, 남편도 임신한 마음으로 함께 이 길을 걸을 때 결국 더 성장하고 아름다워질 우리 부부의 모습을 기대하며 이 시기를 절대 낭비하면 안 되겠다. 남편도 아내와 함께 임신하자. 아내의 임신기간은 노력의 연속이다. 같은 시공간에서 가장 가까운 곳에 있는 남편도 아내와 함께 노력의 연속이 끊이지 않아야 한다. 이것이 [남편의 임신]이고 여전히 부족한 남편인 내 매일의 결심이다. 아내가 이 글을 보며 이렇게 말할까봐 까는 밑밥이다.

당신이나 잘해.




쿠바드 증후군


얼마 전 극심한 어깨 통증과 함께 위를 불로 달구는듯한 속 쓰림까지 겹쳐 잠도 못 청할 정도로 아팠다. 이후 사나흘 간 수시로 울렁거림과 소화불량이 지속되면서 굉장히 고달팠다. 평소 위장이 매우 튼튼하기 때문에 이런 경우가 낯설다. 아내가 겪는 입덧의 괴로움을 조금이나마 체감하며 대체 내가 왜 아플까를 생각하던 중 임신 관련 검색을 하다가 얼핏 보았던 단어가 생각났다. 그 단어는 바로 ‘쿠바드’였다.

남편이 경험하는 쿠바드 증후군(Couvade syndrome). 여러 자료를 종합 검색해 본 바, 쿠바드는 불어로 [알을 품다], [부화하다]라는 뜻을 가지고 있으며 아내의 임신 또는 출산에 있어서 남편 또한 아내와 같은 심리적, 신체적 증상을 경험하는 것이다. 더불어 아빠로서의 불안의 한 형태로 풀이된다. 아내의 임신 증상인 식욕상실이나 식욕증대, 메스꺼움이나 구토 등의 여러 가지 형태로 증상이 나타나며 남편과 아내가 높은 유대감을 가지고 있을수록 발생 확률이 높다. ‘환상임신’이나 ‘동정임신’이라는 단어로도 불린다.


이 쿠바드 증후군을 다시 공부해보며 내가 정말 쿠바드 증후군인가라는 질문에 대한 근거를 찾기 시작했다. 일단 먹고 싶은 게 생각이 나지 않는다. 고기도 당기지 않는다. 며칠 전 까지만 해도 미친 듯이 먹을 것을 찾곤 했는데(사실 일평생 그랬다) 갑자기 딱히 식욕이 없다니? 와 이거 대박이다 나 빼박 쿠바드 증후군이다라고 혼자 속단했다. 그리고 또 내가 최근 그렇게 먹어댔던 것도 쿠바드가 먹덧의 모양으로 찾아왔던 것이 아닌가? 수사망을 좁히면 좁힐수록 퍼즐이 점점 완성되는 듯했다. 게다가 이젠 울렁거리고 토할 거 같고, 얼마 전엔 몸살 증상까지? 아내가 겪는 증상의 대부분을 나도 함께 겪고 있는 것이었다. 이건 레알 쿠.바.드. 예쁨아 아빠가 이렇게 엄마를 사랑한단다.


선물 받은 손수 만든 케이크. K가 빠진 건 사고였다고 한다.


보통 증후군이라 하면 극히 일부의 사람들이 겪는 사건이라 여기며 아주 먼 이야기로 생각했는데 생각보다 많은 경험자들의 이야기가 있었다. 논문을 써도 될 정도로 진지하게 한 사례 연구 결과, 입덧이 심한 아내의 남편들은 아내와 함께 구토나 메스꺼움을 겪으며, 먹덧이 심한 아내의 남편들은 함께 먹기 바빴다고 한다. 또 한 예로는, 임신한 아내가 피로감을 많이 느끼는데 남편 또한 피로감을 많이 느껴 자도 자도 피곤함을 떨쳐 낼 수 없었다고 한다. 이 글은 남편의 주작이 좀 의심되기도 한다. 근데 생각해보니 나도 유독 피로감이 많이 느껴진다.(사실 일평생 그랬다)

더 놀라운 것은 실제로 쿠바드 증후군을 겪는 남성들은 프로락틴의 수치가 높아지고 테스토스테론 수치는 급격히 떨어지는 등 여성이 분비하는 페로몬에 의해 남성의 신경화학물질 또한 변화된다고 한다. 마음과 몸이 변하는 게 그냥 그렇게 느껴지는 것이 아닌 실제로 호르몬 또한 변화된다는 것이다. 이렇게 함께 증상을 경험하는 경우는 아내의 임신에 공감을 많이 하거나 평소 아내와 유대관계가 매우 좋을 경우 더 높은 확률로 나타나기 때문에 쿠바드를 겪는 남편들은 그 사실을 아내한테만큼은 자랑거리로 생각한다고 한다.


이런 근거를 바탕으로 나도 쿠바드 증후군이라고 생각했다. 그리고 자랑스럽게 아내에게 말했다. 쿠바드 증후군이라는 게 있는데 나도 그런 거 같다고. 어제도 아팠고 오늘도 안 좋지 않았냐며 그럴듯하게 있는 거 없는 거 다 꺼내 근거를 가져다 댔다. 아내는 퍽이나 하는 표정으로,


낮에 뭐 먹고부터 속 안 좋았다며
잠 잘못 자서 어깨 아팠다며


라며 내 사랑의 근거를 부정한다. 난 쿠바드를 증명해내야 했기에 며칠간 쿠바드 증후군에 대해 입증할 무언가를 계속 찾으려 했지만, 이런! 금세 몸이 좋아져 버렸네. 열심히 쌓아 놓은 내 지방들은 언제든지 힘쓸 준비가 되어있다는 듯 입은 옷 안에서도 존재감을 뽐내고 있었다. 그야말로 건강 자체였다. 이렇게 단기간에 겪는 쿠바드가 있나 검색해보니 딱히 뭐가 안 나온다. 그냥 몸이 잠깐 안 좋았던 거였다. 몸살은 잠을 잘못 자서 그렇고, 식욕부진과 입덧 증상은 지금껏 어지간히 먹어댄 내 몸의 거부 반응이었다. 내 위장은 작작 먹으라는 신호를 주며 살아 남기 위한 방어기제를 펼쳤었나 보다. 똑똑한 것들.

결국 나의 쿠바드 증후군은 해프닝으로 끝이 났다. 다행이다. 정말 중요한 것은 내가 더 건강하고 에너지가 넘쳐서 힘들어하는 아내를 잘 보필하는 것일 테니.


쿠바드 증후군은 보통 임신 3개월 이후부터 시작되고, 출산 후까지도 이어진다고 하는데 나는 아내와의 깊은 유대감에도 불구하고 쿠바드 증후군 절대 안 만나고 늘 건강해서 파워돌봄을 실행할 것이다.


남편들이여! 그 누구보다도 건강합시다!!


신천지코. 신천지 OUT




네가 좋으면 나도 좋아


연휴의 마지막 날이다. 이제 막 연휴가 시작해도 모자랄 판인데 연휴가 끝났단다. 현실을 인정하며 다시 아침 기상시간 알람을 활성화시킨다. 오늘 하루를 돌아보니 얼마 전 썼던 [슬기로운 남편생활]의 지침을 아주 잘 실행한 하루라고 생각됐다 마치 내가 쓴 글대로 살아볼 거야 작정이라도 한 듯한 날이었다고나 할까. 늘 말하는 대로, 글 쓰는 대로 살지 못할지라도 내가 뱉어 놓은 것에 대한 최소한의 양심으로 조금이나마 분발하게 되는 스스로를 보면서 글쓰기의 유익함을 경험한다.




충분한 수면을 취하고 적당히 늦은 오전 시간에 정신이 들었다. 출근이 없기 때문에 조금 더 여유를 부림과 동시에 간 건강을 위해 몇 분 간 반수면 상태를 유지하며 내 신체의 대사들에게도 마음의 준비를 시킨다. 이 정도로도 간에는 우루~사 값을 아낄 수 있다.

거실로 나와 잠시 우중충한 날씨를 만끽한다. 해가 뜨면 해 뜬 대로 좋고, 흐리면 흐린 대로 좋다. 슬슬 발코니 앵글에 물방울이 맺히기 시작하는 게 비가 오나 보다. 살짝 찬기가 몸을 겉도는데 그 마저도 좋다. 이내 아내의 뒤척임 소리가 들리기 시작하는데 아내가 일어나면 일을 시작해야 한다는 두려움이 스친다. 여보 제발 조금만 더 자.

드륵. 아내가 일어났다… 잠귀 밝은 아내의 숙면을 위해 아내가 일어나기 전까지는 소란스러운 어떤 것을 하지 않으려고 한다.(임신을 하면 잠이 많아지고, 잘 자야한다) 이제 아내가 일어났으니 어젯밤 입었던 운동복을 세탁기에 넣고 능숙하게 전원 버튼과 작동 버튼을 순식간에 눌러 빨래를 시작했다. 다음 미션은 아점을 준비해야지. 평일엔 못해주는 것들이기 때문에 쉬는 날은 내가 다하고 아내는 온전히 쉬게 해주고 싶었다. 퇴근 후 집에 가면 저녁까지 차려져 있어서 늘 마음이 불편해서 목이 매이기는커녕 다이슨 V11급으로 잘 흡입한다.


오늘은 찜닭을 만들 것이다. 아내가 찜닭이 먹고 싶다고 했다. 그래서 며칠 전 혼자 장을 보며 닭을 사 왔다. 이 닭은 사연이 있는데 1+1 닭을 한팩만 가져온 것이다. 비싼 닭이다. 비린내에 약한 임신 중 아내이기 때문에 특별히 더 잘 세척하고 닭의 지방을 샅샅이 제거한다. 호수가 꽤 큰 닭인데 껍질을 모두 벗겨내니 배고플 때 배달된 교촌치킨처럼 작다. 어차피 둘이 먹을 거니까 뭐.

물에 당면을 불려놓고, 전분물도 준비해놓고, 닭을 먹기 좋게 다듬고 끓는 물에 한 번 데쳐뒀다. 양념을 계량하여 믹스하고 닭에 잘 버무려 재워 놓는다. 생강과 마늘, 그리고 커피가루도 잊지 않고 준비했다. 이들은 비린내 제거 삼총사. 참 잘 잡아준다. 그 사이 야채를 다듬어 투하 준비시키고 지금까지 사용했던 식기와 싱크대를 잘 씻는다. 닭 껍질과 야채 껍질이 가득한 음식물 쓰레기를 먼저 한 번 정리했다. 날것이 묻었던 싱크대와 그 주변, 식기와 고무장갑은 더욱더 깨끗하게 세척한다. 균이 남아있을 수 있다. 그리고 다시 본격적인 찜닭 조리를 시작했다.



찜닭이 완성되었고 식탁에 올려졌지만 아내의 표정이 좋지 않다. 닭을 다듬을 때부터 그 냄새가 너무 역해서 속이 너무 안 좋다는 것이다. 준비한 남편의 노력을 생각해서 먹어보려 노력하지만 한 입이라도 제대로 먹으면 당장 토해버릴 듯 힘들어했고, 결국 당면 조금 입에 댄 후 먹기를 포기한다. 그리고 미안해한다. 이게 찐 고역스러운 임신부의 입덧이다. 나중에라도 먹으라고 쓰지 않은 국자와 집게로 밀폐용기에 찜닭을 반 정도 담았다. 침이 닿은 음식은 부패되기 쉬우니 이럴 땐 꼭 쓰지 않은 집기로 해야 한다. 그리고 냉장고나 냉동고에 넣기 전에 어느 정도 식혀 뚜껑을 닿은 후 넣어야 한다. 뜨거운 상태로 넣으면 냉장고의 온도도 바뀔뿐더러 뜨거움에 직접 닿는 음식이 부패될 수도 있다. 남은 찜닭에 혼자 밥까지 비벼 먹은 후 먹은 자리 정리와 설거지까지 마쳤다.




청소를 시작했다. 잠깐의 환기에도 꽃가루들이 금세 앉아버렸다. 온 집안 문을 다 열고 청소기를 돌린 후 꼼꼼히 걸레질을 시작한다. 다 마치면 문을 닫고 공기청정기로 잠깐의 환기에도 들어왔을 미세먼지들을 잡아낸다. 그 새 땀이 났다. 요즘 갑작스레 여름이 온 것처럼 따뜻해지다 못해 후텁지근하다. <뭉쳐야찬다> 정형돈은 갑작스러운 상대팀의 슈팅에 ‘시어머니 방문 슛’이라고 해서 한 참을 웃었던 적이 있는데 정말로 여름이 봄을 즐길 새도 없이 ‘시어머니 방문’처럼 와버렸다. 벌써 '입하'란다.

땀난 김에 욕실 청소를 시작했다. 두 개의 욕실에 모든 물건들을 물에 닿지 않을 곳들로 옮긴 후 락스와 세제를 물에 희석했다.(지금에서야 안 사실인데 락스와 세제를 희석하면 안 좋은 뭐가 나온다고 한다. 하나만 쓰자) 파워 청소 시작. 벽과 바닥의 타일은 물론, 그 사이사이도 박박 거품을 내며 닦아 낸다. 욕조와 세면대, 변기 등 용도에 맞는 도구를 수술실 의사처럼 바꿔가며 전문적으로 청소한다. 수채라고 해야 하나, 물이 흘러들어 가는 그곳도 하나하나 분리해서 청소를 하고 다시 조립해 놓는다. 까다로운 천장은 두 달에 한번 정도만 해도 되니 패스하고 마지막으로 욕실화도 싹싹 닦아내고 건조한다. 아마 대한민국 남자 중 화장실 청소만큼은 내가 탑이지 않을까 싶다. 그래서 시간도 오래 걸리고 체력 소모도 크다. 두 개의 욕실을 모두 청소하고 나니 오늘도 블링블링하다. 새 아파트로 최초 입주 한 지 1년째 되어가는데도 화장실만큼은 처음 컨디션보다 더 좋은 것 같다. 이렇게 청소를 하고 나면 희열을 느낀다. 그 희열 가득한 현장에서 샤워한 후 나오면 천국이 따로 없다.



아내도 마침 씻고 나왔다. 책에서 배운 대로 튼살크림을 발라준다. 손을 깨끗이 씻고 손을 비벼대서 손의 온도를 높인다. 그리고 크림과 오일을 2:1로 섞어 꼼꼼히 마사지하듯 바른다. 끙끙대며 튼살크림을 바르고 있는 중에 아내가 너무 미안해하면서 나에게 말한다.

여보 불쌍해, 무수리 같아, 미안해


같이 한 참을 웃으며 튼살크림 마사지를 마무리했다. 이 튼살 크림 바르는 시간은 교감의 시간이다. 정말 감사한 시간이다.




이 모든 것을 마치고 나니 오늘 무엇도 잘 먹지 못한 아내가 배고파한다. 그러면서 얼마 전부터 노래를 부르던 야끼우동이 먹고 싶다고 한다. 우리가 즐겨 먹던 건데 농*에서 나오는 생생 야끼우동을 말하는 것이다. 그런데 이게 어찌 된 일인지 요즘 잘 팔지를 않는다. 하지만 어디엔가는 있겠지 하고 옷을 주섬주섬 챙겨 입는다. 아내는 같이 가자고 하지만 빈속에 차를 타면 멀미할 것 같고, 혼자 다녀오는 게 조금 더 빠르기 때문에 혼자 길을 나섰다.

농* 생생 야끼우동은 집 앞 마트에도 없었고 근처 편의점에도 없었고 노브랜드에도 없었고 결국 이마트까지 갔다. 근데 이마트에도 없다. 임신한 아내가 먹고 싶은 음식은 무조건 구해오리라 다짐했었고 로망으로 여기던 본인이기에 고객센터까지 가서 사진을 보여주며 물건이 있는지 확인해보지만 없다고 한다. 대신 아쉬운 대로 다른 야끼우동을 카트에 집어넣었다. 요즘은 하루 걸러 장을 보기 때문에 야끼우동만 사가려고 했는데 동선에 걸쳐 나를 부르는 아이들을 몇몇 더 구해냈다. 차로 돌아와 아내가 먹고 싶어 하던 던* 도넛을 사기 위해 또 20여분의 드라이브를 했다. 도넛을 사고 아이스크림도 사서 돌아가는 길에 야끼우동에 대한 미련이 남아 근처 롯데마트에 갔는데도 농*생생 가락국수는 없었다. 2, 3월 KF94 마스크보다도 구하기가 힘들다. 하, 인터넷으로 사야겠다.


야끼우동만 사 온다는 사람이 거의 한 시간 반 이상을 돌아다니다가 왔다. 비가 와서 그런지 교통정체가 심했다. 미안해하며 너무 고생했다고 하는 아내의 한 마디가 내 페이가 된 듯 위로가 됐다. 거의 저녁시간이 다 된 시간이었다. 농* 야끼우동을 공수하지 못했음에 아내의 얼굴은 생기가 없었고, 충격적인 것은 이제 야끼우동이 먹고 싶지 않다는 것이다. 이게 리얼 임신부 아내의 현실이다. 무거운 눈꺼풀에 패배하여 한 시간 정도 낮잠을 자고, 늦은 저녁으로 *마트표 야끼우동을 나름 맛있게 먹었다. 그리고 원활한 소화를 위해 아내의 손을 잡고 단지 산책을 하는데 곳곳에 활짝 핀 꽃들이 우리의 마실을 반겼고, 밤이 되어 차가워진 공기는 온몸에 돌며 우릴 정화시키는 것 같았다.



하루 동안 많은 일들이 있었다. 순간순간 쉼의 욕구가 고갤 들었지만 쉼보다 더 달콤한 아내의 미소에 힘이 났다. 네가 좋으면 나도 좋아 생각하고 있는데 아내가 말한다.

나 때문에 힘들지..

심쿵 두 번 할만한 멋진 미소 한 번 찡긋 보이고 뒤돌아서면서 마음속으로 대답했다.

여보 때문에 힘든 게 아니라 임신이 힘든 거야.


이제 9주 차이지만 벌써 안다. 임신은 힘든 것이다. 힘든 이 과정을 아내 혼자가 아닌, 남편도 함께 해야 하는 것이 당근 빠따이고 이 과정을 통해 부부의 유대감은 깊어질 것이다. 그렇기 때문에 남편도 임신해야 한다.

keyword
작가의 이전글해결된 봄:남편의 임신_ 네가 좋으면 나도 좋아