brunch

선생님! 평발이라고요?

배부장의 육아일기

by 초마


"엄마, 나 발목 있는 데가 아파!"


"언제부터 아팠어?"


"응, 오늘 줄넘기 학원에서 새로운 미션을 받았는데, 그것 넘고 싶어서 아픈데 참고했더니 집에 오니까 더 아파. 그런데 걸을 때는 괜찮은데 이렇게 하면 아파."



그러고 보니, 초롱이가 간혹 발목 쪽 복숭아뼈 안쪽이 아프다고 했던 것이 기억이 났다.

그때마다 나는 걸음걸이를 제대로 안 걷고 칠렐레 팔렐레 흐느적거리며 걸어서 그런다며 초롱이에게 똑바로 걸으라고 다그쳤었다.


그 이후에도 초롱이는 유독 오른쪽 종아리만 아프다, 오른쪽 발 안쪽이 아프다며 이야기했었는데, 나는 그냥 그런 이야기라고 생각하고 무시했다.


"응, 엄마가 잘 때 마사지 해줄게!"


실제로 오일이나 크림을 발라서 발목과 종아리를 마사지해주듯이 몇 번 슥슥 문질러 주면 초롱이는 언제 아팠냐는 듯이 금세 잠이 들곤 했다.

나 역시도 어릴 때 종아리가 아파서 한참을 잠을 못 잔 적이 있었고, 엄마가 그때마다 밤에 오일로 마사지를 해주시면서 키가 크려고 그런가 보다 말을 해주면 왠지 엄마의 따스한 손길에 그냥 잠 속으로 빠져들었던 것 같다. 그래서 사실은 전혀 아프지 않았을 때도 종아리가 아프다면서 퇴근하고 온 피곤했을 엄마에게 잠들 때까지 종아리 마사지를 해달라고 조를 때가 많았다.

엄마는 피곤했을 텐데, 한 번도 싫다는 내색을 하지 않고, 늘 이렇게 말씀하시곤 했다.


"우리 딸, 얼마나 키가 크려고 매일 이렇게 종아리가 아플까? 얼른 쑥쑥 커서 안 아프면 좋겠다!"


엄마는 사실 나의 꾀병 아닌 꾀병을 알고 있었을지 모르겠다. 하지만 지금의 초롱이 또래였을 나 역시 엄마가 자기 전에 함께 누워서 이런저런 이야기를 함께 들어주고, 종아리를 마사지해주는 것이 좋아서 매일 종아리가 아프다고 했기에, 나는 초롱이가 아프다는 것도 나의 경험 삼아 꾀병이라고 생각했다.



"엄마, 나는 엄마가 매일 밤마다 나 종아리 마사지 해주면 좋겠어!"


서울랜드 같은 놀이동산에서 신나게 놀다 온 날이면 초롱이는 으레껏 종아리가 너무 아프다면서 눈물까지 글썽였고, 그러면 나는 초롱이를 꼭 안아주면서 잠들기 전 누워서 오일에 향기 좋은 바디로션을 발라서 종아리를 마사지해 주면서 뭉친 종아리를 풀어주곤 했다.

그러면 초롱이도 발목 안쪽이 아프다, 종아리가 아프다는 소리를 좀 덜 하곤 했다.



그런데 왠지 이 날은 또 발목 안쪽이 아프다고 하는 초롱이의 말이 예사롭지 않았다.

나는 사실 줄넘기를 하면서 인대라도 늘어나서 아픈 것이 아닌가 걱정을 하면서 병원을 찾았던 것이다.


조금 일찍 퇴근하고 초롱이와 함께 집 근처 정형외과에 방문한 나는 또 한 번 놀라지 않을 수 없었다.





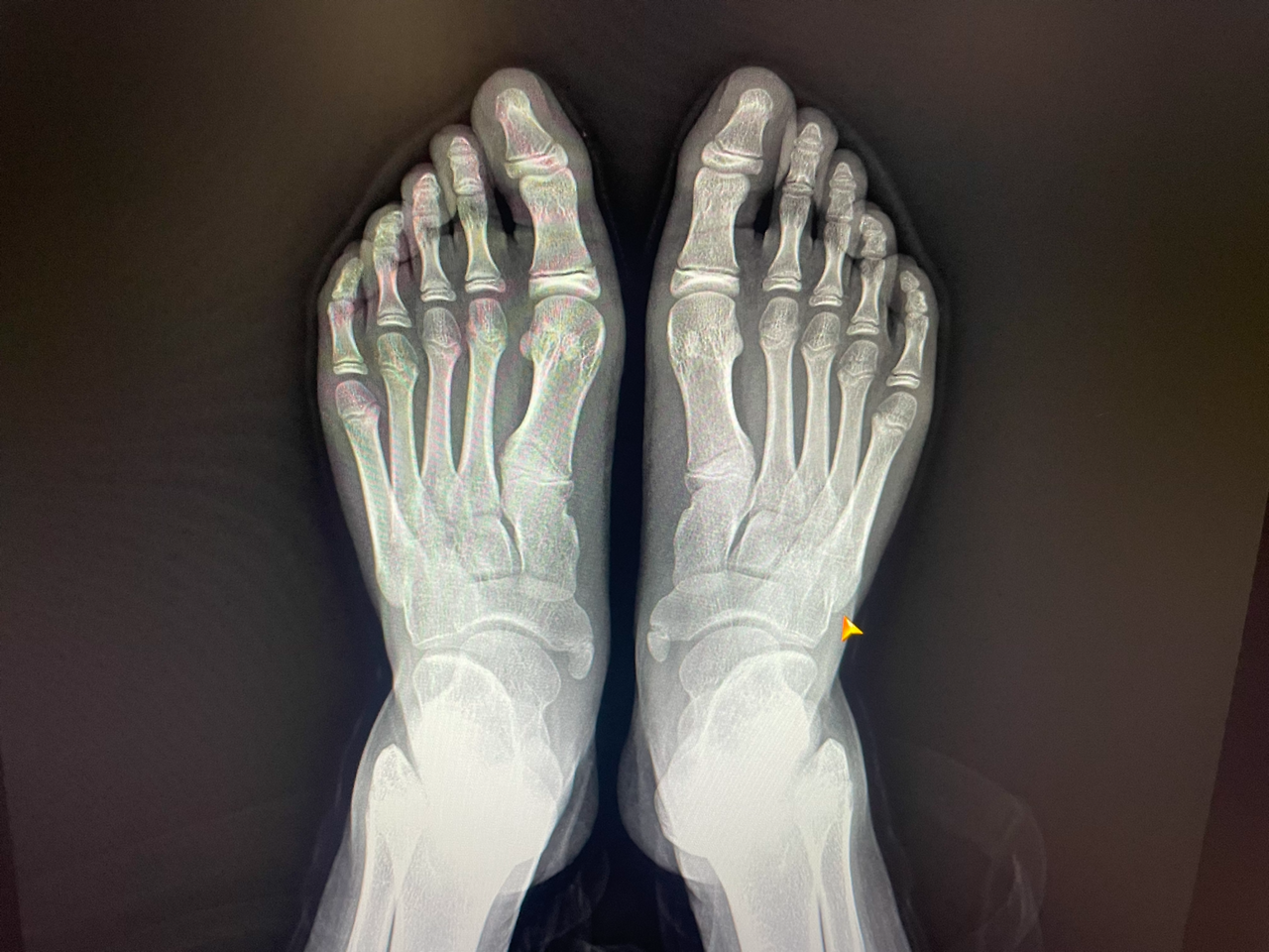
"어머니, 초롱이는 평발이에요."


"네?????? 평발이요?????"


평발이라고 하면 사실 발바닥에 아치가 평평하게 거의 펴져 있는 발이 평발이라 생각했다.

초롱이의 발은 외관상으로나 어디로 보아 평발은 전혀 아니었다. 그런데 선생님께서는 초롱이에게 평발이라고 하시니 놀라지 않을 수 없었다.


"초롱이가 보이겐 평발이 아니지만, 이렇게 옆에서 보면 다른 아이들보다 요기 이 부분의 아치가 거의 평발에 가까워요.

그리고 엄지발가락이 휘어 있는 것이 보이시죠? 그래서 자연스럽게 발을 땅에 디딜 때 발바닥부터 디뎌져야 하는데 그게 옆쪽이 먼저 닿게 되거나 그렇게 돼서 평소보다 많은 운동을 하거나 무리하거나 하면 이렇게 통증이 생기는 거예요.


혹시 아이가 종아리가 아프다고 하지 않았나요?"



"네, 종아리 아픈 건 성장통 아닌가요?""


"글쎼.. 성장통이라고도 할 수 있겠지만, 초롱이의 경우는 평발이라 걸으면서 지지가 제대로 안되니까 종아리 쪽 근육이 땅겨서 아픈 것일 수도 있어요.

이런 아이들이 몇 있는데, 약도 없고 치료방법도 없어요. 그냥 통증이 생기면 와서 물리치료를 받고 좀 나아지거나 하는 게 다인데, 그 방법도 사실 좋은 건 아니죠. 원래의 원인을 찾아서 치료하는 것이 아니니까...


나중에 봐서 도수치료를 하는 것도 한번 고민해 보시죠. 일단은 물리치료 좀 받아봅시다."


생각지도 못했던 선생님의 말씀에 나는 당황스러웠지만, 일단 물리치료를 받기로 했다.






생전 처음 물리치료에 초롱이는 바짝 긴장했다. 물리치료받는 침대에 누워서 어찌해야 하나 눈을 말똥 거리며 누워 있는 초롱이에게 괜찮다며 물리치료사 선생님께서 안심시켜 주셨다.


"어머니, 초롱이 발에서 열감이 느껴지긴 하네요."


"저.. 선생님, 혹시 초롱이가 두꺼운 양말을 신어서 발에서 열이 나서 그런 거 아닐까요?"


나는 조금은 부끄러운 마음에 그렇게 물어보았다. 걸으라고도 해도 맨날 뛰어다니는 초롱이라 또 두꺼운 양말까지 신었으니 선생님이 양말을 벗고 발을 만지시는데 그 열감이 느껴지는 것은 아닌가 걱정이 되었던 것이다.


"아니에요. 초롱이 발은 찬 편인데 복숭아뼈 쪽에서 열감이 좀 느껴지네요..."


나의 말에 더 당황하신 선생님께서 나에게 다시 설명을 해 주셨고, 초롱이는 열감을 식히려고 냉찜질 팩을 복숭아뼈에 하고 나는 대기실로 나왔다.


한참만에 물리치료를 마치고 나온 초롱이가 말을 한다.


"엄마, 나 물리치료 또 받고 싶어! 이거 받으니까 너무 신기하고 선생님이 마사지해주셔서 하나도 안 아파!

다음 주에 또 오고 싶어!!"


"그리고 선생님이 다 나을 때까지는 줄넘기랑 운동하면 안 된데!

그러니까 오늘 저녁 운동은 안 할래!"

keyword
이전 09화두 번째 젤네일 실종사건, 젤네일이 쏘아 올린 공