임신 초기(5~8주)

임산부 직장인의 지하철 이용은 상당히 서럽다.

by 커피홀릭


병원에서 5주임을 확인받고 온 뒤로부터 소화가 안되기 시작했다.


컨디션은 항상 중-하를 왔다 갔다 한다.

절대 상이 되지 않는다.



소화불량을 호소하던 중 , 문득 디자이너 피에르 가르뎅이 ‘내 인생의 가장 큰 후회는 바로 자식을 낳고 길러보지 못한 것이다.’라는 인터뷰를 했던 것이 기억이 났다.



왜 기억이 났는지는 모르지만 나의 잠재의식이 ‘네가 겪는 일들은 정말 소중하고 진귀한 것을 위한 과정이야’ 라며 나를 위로해 주고 싶었나 보다.



다행히 내 주변의 많은 이들이 진심으로 축하를 해주고 나에게 많은 사랑을 주었다.



하지만 직장과 집을 쳇바퀴 돌듯 반복하는 나는 다 귀찮고 피곤해서 다른 생각을 할 새도 없이 어느샌가 내 생존에만 집중하며 살게 되었다.



진짜 다 귀찮다 ㅠㅠㅠㅠㅠ



나는 뭐가 엄청 먹고 싶지도 않고 항상 체한 느낌이다.

나아지는 건 거의 없고 체한 느낌이 매일 디폴트인 상태이다.



그러다가 갑자기 뭐가 먹고 싶으면 웬만하면 다 먹는데 먹어봤자 엄청 소량으로 조금 먹을 뿐이다.

(많이 먹으면 소화가 되지 않기 때문이다.)




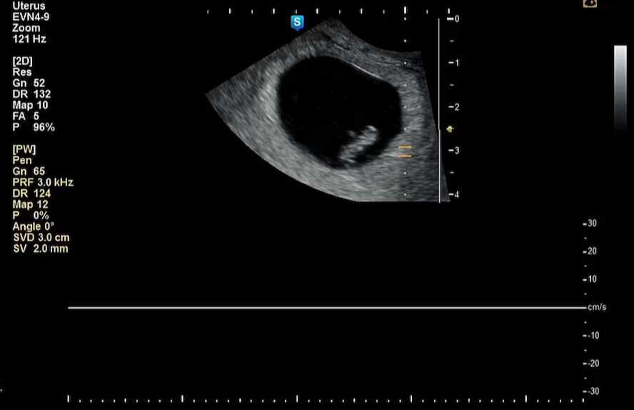
외관상의 변화는 거의 없기 때문에 내 안에 뭐가 있나? 싶던 7주 차에 병원에서 튼튼이의 심장소리를 처음으로 듣게 되었다!


8bdc1e01-c918-11ed-b2fb-a0369ffabd48_01.jpg 1cm 남짓한 아이의 몸에서 우렁차게 심장이 뛰고 있었다.



아니 고작 1cm를 는 아이의 심장소리가 이렇게 우렁차다니!


남편과 나 모두 산부인과에서 진한 감동을 받게 되었다.


그리고 묘하게 기분이 좋았다!


나도 내 인생에서 내 목숨만큼 지키고 싶어질 대상이 생겼다는 그 자체가 설렜다.


'얘는 과연 남자일까 여자일까?' '어떻게 생겼을까?' '누굴 닮았을까?' 등등 설레는 감정이 가득해졌다.



물론 임신을 하니 몸이 힘들어서 기분이 좋지는 않은데 ㅠㅠ 남편이 정말 고맙게도 너무너무 잘해주었다.


먹고 싶다는 거 다 맞춰주고 해 달라는 거 다 해주고, 무엇보다 나를 직장까지 태워주고 다시 돌아가서 자신의 직장까지 가는 그 고생을 매일매일 했다.


그 숨 막히는 출근길 서울을 달리고 편도로 백 킬로 가까이 되는 일상이 괜찮다고 하는 남편에게 고마울 뿐이다.



솔직히 지하철로 출근하고 싶었고, 또 출근해도 되는데... 임산부의 몸으로 서울의 출근길 지하철을 이용하는 것 자체가 너무나 고역이었다.



지하철에서 임산부 좌석에 앉아서 뻔뻔하게 나를 위아래로 훑어보며 '뭐 어쩔 건데?'의 눈빛으로 날 쳐다보는 사람들(진짜 남녀노소 할 것 없이 다 임산부 배지를 보고도 모른 척 핸드폰을 하거나 자는 척을 하거나, 심지어 어떤 사람들은 나를 빤히 쳐다본다),



임산부 좌석에 앉아서(누가 봐도 임신 안 한 중년의 아주머니) 임산부 배지를 달고 자기 앞에 있는 내가 거슬린다며(진짜 이게 말이냐 ㅠㅠ) 나보고 다른 데 가라고 손으로 내젓는 아주머니도 있었다.



심지어 어떤 아주머니는 나를 발로 찼다. 내가 자기 앞에 있으니까 신경이 쓰인다고 했다. 자기도 다 임신해봤다며....




진짜 별 이상한 사람들을 다 겪어보며


'와... 이러니까 사람들이 애 안 낳으려고 하지... 요즘 같은 세상에 직장 안 다니는 임산부가 어딨냐?'


'지하철에서 임산부석 만들어 놓으면 뭐 하냐 애먼 사람들이 맨날 앉아서 비켜주지도 않는데 ㅠㅠ 이렇게 출퇴근이 힘든데 누가 임신하려고 하냐' 등 진짜 오만 생각이 다 드는 요즘이다.



겪어보니 확실히 자신의 삶이 고단한 중년의 분들이 임산부 석에서 상당히 인색한 것 같다. (파워 당당)


‘나는 진짜 그런 어른이 되지 말아야지’라고 매번 다짐을 한다.


물론 엄청 친절한 분들도 있다. 임산부석에 앉아서 핸드폰 하고 놀고 있는 비임산부 여성에게 임산부가 왔으니 양보하는 게 어떻겠냐고 물어봐주시는 의인들도 있고,


임산부석 앞에서 비임산부에게 밀려 계속 서서 가는 내가 불쌍한지 자기 자리를 양보해 주는 좋은 분들도 있다.




어쨌든 이러한 상황 모두가 불편하고 힘들기 때문에 내가 내 차를 끌거나 남편에게 의지를 해야 하는데 ㅠㅠ

나는 차는 있으나 거의 뭐 운전 실력은 0에 가깝고 ㅠㅠ(진작 연습했어야 하는데.... 하)


진짜 임신하고 나니까 신경 안 쓰던 것도 신경 쓰이고 매일이 정신없는 요즘이다.

그래도 힘들지만! 힘을 내야지!


우리 튼튼이 건강하게 자라렴! 엄마가 어떻게든 견뎌볼게!












keyword
이전 01화임신