brunch

[코싸인의 인지과학 이야기] 의식(3)

[6주차 신경생물학팀] 3. 지각과 주의

by 코싸인

우리는 앞서 의식의 형성에 관여하는 다양한 신경전달물질을 비롯해 수면상태와 꿈 등을 의식과 견주어 보며 의식 상태에 대해 탐구해보았습니다. 이제 여러분에게 질문 하나를 드려보고자 합니다. 그렇다면 우리는 의식을 ‘무엇’이라고 할 수 있을까요? 도대체 의식을 어떤 한 단어의 이름으로 불러볼 수 있을까요? 혹자는 이 물음에 대해 의식이란 ‘자아’라고 답하기도 하고, 또 다른 어떤 이들은 ‘마음’이라는 단어를 내놓기도 합니다. 하지만 답하기 결코 쉽지만은 않은 질문이었을 것입니다. 앞으로의 글을 통해서는 의식에 붙여볼만한 적당한 이름을 찾아보기 위해 의식의 특징 및 내용을 좀 더 살펴볼까 합니다.


상호연결(Interconnectivity) 및 동시활성(simultaneous activation)

지각, 감정, 생각, 기억 등을 가능하게 하는 ‘의식’은 뇌가 스스로 신경처리과정을 알아차려서 자신이 어떤 상태인지를 알 수 있는 상태를 말합니다. 이처럼 뇌의 어떤 처리과정이 의식화되기 위해서는 “상호 연결”되어 “동시”에 활성화되는 “대뇌”의 피질영역이 일정 크기 이상으로 확대되어야만 합니다. 따옴표로 묶은 의식의 조건이자 특징을 염두에 두며 다 같이 다음을 한번 생각해봅시다.

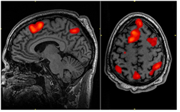
[그림 1] f-MRI 사진 [1]

먼저 여러분은 좌뇌중심형 인간인가요, 아니면 우뇌중심형 인간인가요? 흔히 음악적인 재능은 우뇌에 있다는 말도 있고, 교육 분야에서는 ‘VAK학습유형’이라 하여 학습자에 따라 시각적인 방법(Visual)이나 청각적인 방법(Auditory), 또는 직접 움직이는 동적인 활동을 통한 학습방법(Kinesthetic)을 선호한다고 주장하는 이들도 있습니다. 이러한 속설들을 전적으로 신뢰할 수 있을까요? 로저 스페리(Roger W. Sperry) 교수는 간질을 치료하기 위해 뇌량(corpus callosum)을 끊어 좌우 대뇌반구가 분리된 분리뇌 환자를 통해, 좌뇌와 우뇌가 각기 다른 기능을 한다는 것을 밝힌 업적으로 1981년 노벨 생리의학상을 받았습니다. 이러한 연구결과가 언뜻 좌뇌와 우뇌가 독립적으로 기능한다는 가설을 지지하는 것 같지만, 이는 어디까지나 분리뇌 환자에 대한 결과임을 간과하지 말아야 합니다. 실제 뇌량이 존재하는 우리의 뇌에서는 좌뇌와 우뇌가 활발히 서로 소통하며 기능하고 있습니다. VAK학습유형 또한 하나의 감각 수용에서 받아들여진 정보가 다른 감각 수용정보와는 독립적으로 학습을 이룰 것이라는 잘못된 가정을 기반으로 하고 있어 전적으로 신뢰하기는 어렵습니다.


한편, 여러분은 한번쯤 [그림 1]과 같은 뇌 사진을 보셨을 것입니다. 양전자단층촬영(PET)과 더불어 뇌기능을 알아보기 위해 흔히 사용되는 기능적자기공명영상(f-MRI)사진인데요. 외부 자극에 의해 활성화되어 산소나 양분을 공급하기 위해 혈류량이 변화하는 뇌의 영역을 구별되는 색깔로 나타내주고 있습니다. 이러한 신경촬영사진(neuroimage)을 보고 있노라면, 평소 우리 인간의 뇌는 고작 뇌 전체의 10~20% 정도에 불과한 극히 일부만을 사용하는 것 같습니다. 그러나 신경촬영에서는 과학자들이 통계적으로 정한 일정 수준 이상의 뇌 활동만이 표지된다는 점을 잊지 말아야 합니다. 실제로 어떤 특정 정보를 처리하는 과정에서 이에 관여하지 않는 뉴런들도 함께 발화하고 있다는 많은 증거들이 존재하기도 합니다. 즉, 일정 크기 이상의 조건을 충족할 만큼 수많은 대뇌 피질영역들이 동시에 활성화되고, 긴밀히 서로 연결됨으로써 비로소 의식이 가능케 된다는 것이지요.

[그림 2] 리스만 도표 [2]

굉장히 복잡해 보이는 [그림 2]의 도표는 계속해서 강조한 뇌의 상호연결성과 동시 활성화의 특징을 단적으로 보여줍니다. 리스만(Lisman)박사가 고안해냈다고 하여 ‘리스만 도표’ 라고 불리는데, 뇌의 주요한 영역과 그 영역들 간의 연결, 그리고 이러한 뇌 연결망을 통해 감각이 입력되고 운동으로 출력되기까지의 과정을 한 도표 안에 나타내고 있습니다. 이 도표에 나온 뇌 영역 이름상자만 무려 100여개에 달하고 이들을 연결한 다양한 종류의 선은 74개가 넘는다고 합니다. 이 글을 읽는 지금 이 순간의 의식작용에만도 가히 얼마나 많은 대뇌 피질의 영역들이 서로 연계되어 동시에 작용하고 있을지를 짐작해보게 하는 대목이지요.

지각(Perception)

지금까지 상호연결과 동시활성이라는 의식의 핵심적인 특징을 살펴보았다면, 이제부터는 그러한 의식을 바탕으로 이루어지는 뇌 활동을 다뤄봄으로써 의식의 정체에 조금 더 가까이 다가가보고자 합니다. 가장 먼저 생각해볼 수 있는 것은 단연, 세상의 감각정보를 처음 받아들여 의식하게 되는 ‘지각(perception)’일 것입니다.

우리는 대상을 지각함으로써, 그 대상이 비록 무엇인지는 모르지만 존재함을 발견(detection)하는 단계로부터 그것이 무엇인지를 명확히 인식(recognition)하는 단계로 이행해 갈 수 있습니다. 앞선 발제에서도 ‘감각과 지각’에 대해 다룬 바 있는데요. 감각(sensation)이 외부자극에 의해 뉴런이 활성화되는 신경처리의 첫 시작이라면, 지각은 이렇게 처리된 감각정보가 대뇌의 전전두엽에 도달하여 의식적으로 경험되어지는 것이라고 할 수 있습니다. 흔히 감각과 지각은 혼용되어 사용되곤 하지만, 입고 있는 옷의 촉감을 우리가 항시 느끼고 있다기보다는 어느 특정 순간에 촉감을 느끼게 되는 것처럼, 엄밀히는 서로 구별되어야 할 다른 개념입니다. 그리고 이렇게 지각되어 뇌에 들어온 감각입력을 해석하고 이해하는 과정이 인식에 해당하는 것이지요. 이처럼 감각-지각-인식은 매우 밀접하게 연관되어 있습니다.

[그림 3] 실인증(agnosia) [3]

만약 이 감각-지각-인식의 연결고리에서 인식에 문제가 생기면 어떻게 될까요? 지각에는 이상이 없을지라도 지각한 정보가 인식, 정확히는 기억표상(memory representation)에 도달하지 못함으로 인해 자극에 대한 의미를 전혀 알지 못하게 된다고 합니다. 이처럼 지각은 가능하지만 인식이 불가능한 경우를 가리켜 인식불능증, 혹은 실인증(agnosia)이라고 합니다. 시각 실인증 환자는 [그림 3]에서와 같이 티백 그림을 보여주면 비슷하게 따라 그릴 수 있을 만큼 시각 자체에는 이상이 없지만, 자신이 그린 티백 그림이 어떤 의미를 갖는지에 대해서는 전혀 설명하지 못합니다. 감각정보를 인식, 즉 해석하고 이해하기 위해서는 과거경험에 대한 기억을 참조할 필요가 있는데, 지각된 자극이 기억표상에 미처 도달하지 못하기 때문에 이러한 결과가 초래되는 것이지요. 여기에서 우리는 다시 인식이 기억(memory)과 연관되는 또 다른 차원의 상호연결성을 발견해 볼 수 있습니다.


주의(Attention)

한편, 주의(attention)는 지각하는 대상의 외양, 예를 들어 밝기를 더 정밀히 의식하게 할 정도로 우리의 지각에 많은 영향을 줍니다. 또 어떠한 대상을 온전하게 지각하기 위해서는 몇 가지 조건이 필요한데 그 중 하나가 바로 주의이기도 합니다. 이때, 주의란 각성상태를 전반적으로 좌우하는 의미에서의 주의가 아니라, 배경에서 전경을 능동적으로 분리해내는 선택적 주의(selective attention)를 의미합니다. 즉, 주위 환경에 존재하는 수많은 자극들 중 특별히 우리가 주의를 기울여 감각세포를 자극하고 의식한 것들만이 온전하게, 더 강화되어 지각될 수 있다는 것이지요.

[그림 4] 반쪽 공간 무시

여기에서 주의를 결국 의식이라 할 수 있지 않을까 하는 의문이 생기기도 합니다. 하지만 여러분들도 분명 수업시간에 열심히 선생님의 설명을 듣고 있었는데, 갑자기 교실 밖 복도로 누군가가 지나가면 무의식적으로 고개를 돌려 확인했던 것과 같은 경험이 있으실 것입니다. 그런 경우를 떠올려보면 의식이 수반되지 않은 무의식적인 주의도 가능함을 생각해 볼 수 있고, 따라서 주의와 의식이 완전히 일치하지는 않는다는 것을 쉽게 이해할 수 있습니다. 그렇다면 반대로 주의가 수반되지 않은 의식적인 지각도 가능할까요? 주의가 의식에 반드시 필요한지에 대해서는 논쟁의 여지가 남아있지만, 어떤 형태로의 주의도 없는 의식은 아직 발견되지 않았다고 합니다.


이상을 종합해 보면, 주의와 의식은 서로 다르긴 하지만 매우 밀접하게 관계되어 있다는 것만큼은 확실해 보입니다. 그런가하면 어떤 대상에 주의를 기울이기 위한 과정으로 세 단계를 제시하는 가설이 존재하기도 합니다. 바로 “1)현재 주의를 두고 있는 자극으로부터 떨어지고(분리), 2)새로운 자극으로 주의를 옮기고(이동), 3)그 새로운 자극에 주의를 주어야한다(향상)”는 것이지요. 각각의 단계에는 각기 다른 뇌의 부위가, 이번에도 역시 상호 연결되어 관여합니다. 만약 공간에 대한 주의력의 첫 번째 단계에 결함이 생기면 어떻게 될까요? 예를 들어 기존에 주의를 두고 있던 오른쪽 공간으로부터 주의를 떼지 못하게 된다면, [그림 4]와 같이 그림 왼쪽의 나머지 반쪽을 완성하지 못하게 되는 반쪽 공간 무시 증후군이 나타나게 됩니다. 이 증후군의 환자들은 두 눈이 모두 정상임에도 불구하고 이처럼 한쪽의 세상만을 인지할 수 있지요. [코싸인 신경생물학팀]



참고문헌

[1] https://quotationsj.wordpress.com/2015/01/21/major-brain-region-and-their-major-interconnections/

[2] https://quotationsj.wordpress.com/2015/01/21/major-brain-region-and-their-major-interconnections/

[3] https://agnosia-ot.weebly.com/categories-of-agnosia.html

[4] https://www.nemokennislink.nl/publicaties/vanavond-dwdd-university-het-brein-deel-iii/

[5] 박문호. 뇌 생각의 출현. 휴머니스트. 2008.

[6] 박문호. 뇌 과학의 모든 것. 휴머니스트. 2013.

[7] 최현석. 인간의 모든 감각. 서해문집. 2009.

keyword
작가의 이전글[코싸인의 인지과학 이야기] 의식(2)