발달 지연(사두증 뇌 모양)

Ⅱ. 두상에 신경쓰지 않으면 생길 수 있는 문제들

by 에이빈
발달 지연과 사두증

두개골 모양은 뇌의 형태에도 영향을 미칠까?


우리는 두개골의 모양이 다른 경우 겉으로 보이는 두상 형태에도 차이가 나타난다고

자연스럽게 생각합니다.


그렇다면 두개골 안에 위치한 뇌의 모양에도 차이가 있을까요?

이번 글에서는 한 연구 논문에서 소개된 사두증 환아와 정상 환아 간의 뇌 구조적 차이를 살펴보고

이러한 차이가 발달 지연과 어떤 연관성을 가질 수 있는지에 대해 함께 살펴보고자 합니다.


왜 사두증 환아의 뇌 구조와 발달 지연을 연구할까?


사두증으로 인해 두개골의 형태가 변형된다면 그 안에 위치한 뇌의 형태 역시
어느 정도 영향을 받을 수 있을 것이라는 생각은 충분히 합리적인 추측입니다.

또한 뇌는 우리 몸의 움직임과 행동을 조절할 뿐만 아니라

인지, 감정, 기억, 학습 기능을 담당하는 기관입니다.

따라서 뇌의 구조적인 변화가 있다면 아기의 발달 과정과의 연관성 역시 자연스럽게 고려해 볼 수 있습니다.

이러한 배경에서 사두증 환아의 뇌 구조를 분석하고 발달 지연과의 관계를 살펴보려는 연구들이
지속적으로 이루어지고 있습니다.


뇌 변형이 일으킬 수 있는 질환들


사실 인지 장애나 운동 장애 중에는
뇌의 구조적 변형과 직접적으로 연관된 질환들이 적지 않습니다.

예를 들어 운동 장애를 동반할 수 있는 키아리 기형과 같은 질환의 경우에도
그 근본적인 원인은 정상 뇌와 비교했을 때 나타나는 기질적이고 형태학적인 차이에 있습니다.

이처럼 유전적인 요인으로 인해 뇌의 일부가 다르게 형성되거나

외상 등으로 인해 뇌가 부분적으로 손상될 경우 해당 부위가 담당하던 기능과 연관된 증상들이

임상적으로 나타나게 됩니다.

이러한 사실들은 뇌의 구조적 차이가 기능적 차이로 이어질 수 있음을 보여주는 예라고 할 수 있습니다.


키아리 기형은 소뇌의 편도가 대후두공을 통해 쐐기모양으로 경추부로 하방 전위된 경우입니다.

발달 지연의 위험 요소에 사두증이 포함될까?


대다수의 논문과 전문가들은 사두증을 발달 지연의 위험 요소 중 하나로 소개하고 있습니다.
특히 운동 발달 지연의 경우에는 반박의 여지가 적을 정도로
여러 연구에서 유의미한 연관성이 반복적으로 보고되고 있습니다.

이 외에도 잘 알려진 발달 지연의 위험 요소로는 다음과 같은 것들이 있습니다.


저체중아

조산

다태아

임신 중 감염

치료되지 않은 신생아 황달


이러한 요소들은 사두증과 마찬가지로 영유아의 초기 발달 과정에서 함께 고려해야 할 중요한 변수들입니다.


발달 지연의 원인은 두개골이 눌렸기 때문일까?


일반적으로 많은 부모들은 두개골이 눌리면서 이차적으로 뇌가 손상을 받아

발달 지연이 발생한다고 생각하는 경우가 많습니다.
그러나 대다수의 전문가들은 오히려 그 반대의 관점을 제시하고 있습니다.

즉, 사두증 아기들은 선천적으로 중추신경계 발달에 일정한 차이를 보이며 이로 인해 유아기 동안
고개를 움직이거나 자세를 바꾸는 능력이 제한될 수 있습니다.
이러한 움직임의 제한이 결과적으로 두개골 변형에 더 취약한 환경을 만든다는 것입니다.

이 관점에서 보면 사두증은 발달 지연의 직접적인 원인이라기보다는

초기 발달 과정의 차이가 외형으로 드러난 결과로 이해하는 것이 더 적절합니다.

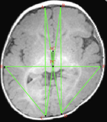
스크린샷 2026-01-26 08.45.34.png 뇌의 구조적 차이를 비교하기 위한 각종 랜드마크 표시

반면 미숙아를 대상으로 한 연구들에서는 두개골 기형의 위치에 따라
뇌피질 구조가 특정 방향으로 ‘이동’한다는 증거가 보고된 바 있습니다.
즉, 외부적인 두개골 변형이 뇌 구조에 형태적 혹은 기질적인 변화를 유발할 수 있다는 가능성을 시사합니다.

만약 이러한 가설이 사실이라면 사두증의 예방은 발달 지연의 위험 요소를 줄이는 과정이 될 수도 있습니다.

따라서 현재로서는 사두증과 발달 지연의 관계에 대해 어느 한쪽으로 단정하기보다
모든 가능성을 열어두고 바라보는 것이 적절하다고 볼 수 있습니다.
이 주제에 대해서는 앞으로 더 많은 연구가 필요합니다.


사두증 뇌에는 어떤 구조적인 차이가 있을까?

2012년 워싱턴 대학에서 발표한 연구
“brain volume and shape in infants with deformational plagiocephaly”에 따르면
사두증 환아의 소뇌 전체 부피는 정상 영아와 큰 차이를 보이지 않았습니다.


다만 다음과 같은 구조적인 차이가 관찰되었습니다.

후두엽의 비대칭 및 형태 변형

뇌들보의 길이와 각도 차이(보라색으로 표시된 부위)

소뇌벌레의 길이와 폭 비율 차이


이러한 결과들은 사두증에서 관찰되는 뇌 구조의 변화가 단순한 용적 감소보다는
형태와 배치의 차이에 가깝다는 점을 시사합니다.

(좌) 보라색으로 표시한 ‘뇌들보’라는 부위. 길이 및 각도의 차이를 보인다.

(우) 소뇌벌레의 길이 및 폭 비율에 차이가 있다 (사두증 아기 소뇌벌레 MRI)


이러한 결과는 두개골과 뇌의 구조는 생체 역학적 연관성을 보인다 할 수 있겠습니다.

정리를 하면 사두증이 있으면 두개골 모양의 변형으로 인해 뇌의 모양도 일부 변형을 일으킵니다.

하지만 그 변형 자체가 앞서 연구된 발달지연을 유발하는지는 아직 확실하지 않습니다.

운동 발달지연과 연관성이 높기 때문에 사두증이 심한 경우는 치료를 하는 것이 안 하는 것보다는

여러 면에서 더 나은 선택이라고 생각됩니다.

심지어 어쩌면 사두증의 치료가 발달도 정상화시킬 수 있는 여지가 있기 때문이죠.

이상 사두증 환아의 뇌 구조적 차이 및 발달지연에 대한 글이었습니다.

이전 04화기능편 (눈과 귀)