brunch
매거진 건강

하이힐을 '조심' 해야 하는 이유

여성들의 발 건강을 위협하는 무지외반증

by 데일리
다운로드.jpg

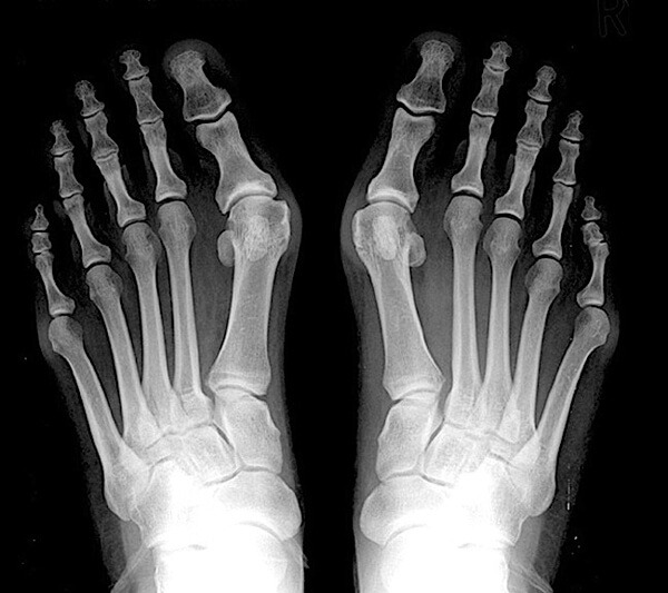
하이힐을 즐겨 신는 여성들의 발을 보면 엄지발가락과 새끼발가락이 서로 안쪽으로 휘어져 있는 것을 볼 수 있다. 좀 더 정확히 얘기하자면 엄지발가락의 제1중족 발가락 관절을 기준으로 발가락 쪽의 뼈가 바깥쪽으로 치우치고, 발뒤꿈치 쪽의 뼈는 반대로 안쪽으로 치우치는 발 변형을 말하는데, 이를 무지외반증이라고 한다.

단순히 발가락 모양의 변형만 일으키는 것이 아니라 통증까지 동반하기 때문에 심한 경우에는 치료를 병행해야 한다. 그렇다면 무지외반증이란 정확히 무엇인지 그 원인에 대해 알아보고, 증상부터 예방 방법에 대한 것까지 무지외반증의 모든 것을 소개한다.

중간선 확정.png

정의


무지외반증은 앞서 설명한 것처럼 엄지발가락의 제1중족 발가락 관절을 기준으로 발가락 쪽의 뼈가 바깥쪽으로 치우치고, 발뒤꿈치 쪽의 뼈는 반대로 안쪽으로 치우치는 발 변형이다. 이 변형은 발의 수평면에서의 변형을 의미하는 용어이지만 실제로는 발가락이 발등 쪽으로 휘거나 회전하는 변형을 동반한 삼차원적인 변형이다.

중간선 확정.png

원인 Ⅰ


무지외반증의 원인은 크게 두 가지로 나뉜다. 먼저 후천적 요인(외재적 원인)을 원인으로 꼽을 수 있는데, 여기서 말하는 외재적 원인이란 하이힐 등의 신발 코가 좁고 굽이 높은 신발을 자주 이용하는 경우와 외상으로 나눌 수 있다.

중간선 확정.png

원인 Ⅱ


선천적인 요인(내재적 요인)으로 인한 무지외반증도 있다. 선천적 요인으로는 원위 중족 관절면 각이 과다한 경우와 평발과 넓적한 발, 원발성 중족골 내전증, 과도하게 유연한 발을 꼽을 수 있다. 어떤 경우에는 선천적 요인과 후천적 요인이 복합적으로 작용하기도 한다.

중간선 확정.png

증상


무지외반증의 가장 흔한 증상은 제1중족 발가락 관절 안쪽의 돌출 부위의 통증이다. 무지외반증으로 변형된 발가락 부위가 신발에 자극을 받아 두꺼워지고 염증이 생겨 통증까지 발생한다. 2차적으로는 두 번째 또는 세 번째 발가락의 발바닥 쪽에 굳은살이 생기고 통증이 발생하기도 하며, 심한 경우에는 두 번째 발가락이 엄지발가락과 겹쳐지거나 관절이 탈구되기도 한다.

중간선 확정.png

진단 방법


일단 무지외반증이 있는 발은 외형적 변형만으로 진단할 수 있다. 하지만 적절한 진단과 치료를 위해서는 의사의 진단이 필요하며(통증이 심한 경우에는 필수) 정도에 따라서는 진찰뿐만 아니라 방사선 촬영 검사가 필요하기도 하다.

중간선 확정.png

검사 방법


위에서 설명했듯이 의사의 진찰과 방사선 소견으로 검사 방법을 나눌 수 있다. 먼저 의사의 진찰을 통한 검사 방법으로는 안쪽 돌출 정도, 관절 자체의 통증 여부, 두 번째 또는 세 번째 발가락 아래의 굳은살 및 통증 여부, 관절 탈구 여부, 새끼발가락 쪽의 돌출 여부 등에 대해 진찰하고, 방사선 소견은 일반적으로 발에 체중이 실린 상태에서 단순 방사선 사진을 촬영해 변형된 각을 측정하고 관절의 퇴행성 변화 여부를 관찰한다.

중간선 확정.png

치료 방법 Ⅰ


무지외반증 치료는 크게 두 가지 방법으로 나뉜다. 첫 번째는 보존적인 치료인데, 보존적인 치료란 실생활 속에서 돌출 부위를 자극하지 않는 편안한 신발을 신는 것이다. 일반적으로 발가락 쪽이 넓고 굽이 낮은 신발을 신거나 운동화를 신는 것이 가장 좋다. 경우에 따라 엄지발가락의 돌출 부위 및 두 번째 세 번째 발가락 아래가 자극되지 않도록 신발 안에 교정 안창을 넣기도 한다.

중간선 확정.png

치료 방법 Ⅱ


보존적인 치료로 해결이 되지 않는 경우에는 수술적 치료를 해야 한다. 무지외반증을 위한 수술에는 다양한 수술법이 있고, 각각의 장단점이 있다. 환자의 나이와 발 변형의 심한 정도, 환자가 불편하게 생각하는 부분 등을 고려해 수술 방법을 결정하는데, 일반적으로는 돌출 부위의 뼈를 깎아내고 내외측으로 치우친 뼈를 잘라 각을 교정하며, 짧아진 근육과 연부 조직을 늘려주는 수술 방법을 많이 선택한다.

중간선 확정.png

경과 및 합병증


무지외반증은 여성들이 많이 겪는 질환임에도 불구하고 아직까지도 진행성 질환인가에 대한 논란이 있으며, 경과에 대해서는 많이 알려진 바가 없다. 대개 제1중족 발가락 관절의 형태를 4가지로 나눠 전위, 상합성, 아탈구의 세 가지 형태로 구분할 수 있으며, 상합성인 경우에는 변형이 발생하거나 진행하지 않는다. 전위나 아탈구된 경우에는 변형이 증가한다.

중간선 확정.png

예방을 위한 생활 가이드


무지외반증 예방을 위한 생활 수칙은 그렇게 어렵지 않다. 변형을 악화시키는 하이힐 같은 신발을 되도록이면 착용하지 않고, 편안한 신발을 착용하는 것이 가장 중요하다. 심한 경우가 아니라면 대부분의 무지외반증은 수술이 필요하지 않고, 신는 신발만 바꿔도 충분히 예방하고 고칠 수 있다.

중간선 확정.png
더욱 다양한 이야기가 궁금하시다면?
중간선 확정.png
뇌졸중 위험을 감소 시켜주는 바나나 손질하기
고현정 사건으로 돌아보는 중도하차한 연예인 BEST 10
수학경시대회에서 5등한 웬디, 반전 학벌 자랑하는 연예계 대표 엄친아 BEST 10


keyword
매거진의 이전글정신 건강 지켜주는 '중요한' 습관