brunch

코로나 확진, 3개월간 겪은 후유증

결국 약은 ‘시간’ 그리고 ‘건강한 마음’ 뿐

by BSJ
뛸 수 있는 상황만 되면, 뛴다
건강하게 먹기. 과식하지 말기



코로나를 겪은 지 3개월이 지났다. 그동안 모든 일에 있어 나에게 우선순위는 ‘건강’이었다. 스트레스를 받을 수 있는 모든 활동을 멈추고 온전히 내 몸과 내 건강에만 집중했다. 매일 아침 일어나면 호흡과 명상, 스트레칭을 하고, 마누카 꿀을 반 숟갈 먹고, 하루 세끼 과식하지 않되 건강하게 먹는다. 중간중간 횡격막 호흡도 챙겨서 하고 조깅도 자주 한다


덕분에 몸은 많이 좋아졌다. 이전부터 가지고 있던 빈혈은 아프기 전보다 오히려 더 좋아진 듯하다. 눈 아래를 손가락으로 내려보면 항상 하얗게 질려 있었는데 지금은 붉게 생기가 돈다




코로나를 겪은 지 두 달 뒤에야 ‘음성’이 떴다



스페인에서 코로나에 걸리면 중증이 아닌 이상 본인 집에서 열흘간 격리를 한다. 10일이 되었을 때 마지막 72시간 동안 아무 증상이 없었으면 격리가 해제되고 외출이 가능하다. PCR 음성 결과서 같은 건 필요 없다


“그래도 음성 나와야 되는 거 아닌가요?”라고 의사에게 물어봤을 때 의사는 “어차피 코로나 찌꺼기 같은 게 몸에 남아서 한동안은 양성으로 나와. 보통 한두 달 뒤까지, 길면 세 달 뒤까지도. 10일이 지나고 나면 이미 전파력은 없어”라고 답했다


그의 말대로 한 달 뒤 항체가 생겼는지 체크하러 검사를 받았을 때 ‘양성’이 나왔었고, 두 달이 지났을 때 어찌어찌하다가 받은 PCR에서는 음성이 나왔다. ‘음성’이라고 뜬 결과지를 보니 괜스레 뿌듯했다. “내 몸아, 정말 수고 많았어” 아직 후유증을 겪고 있지만 고생한 내 몸을 토닥여주고 싶은 순간이었다



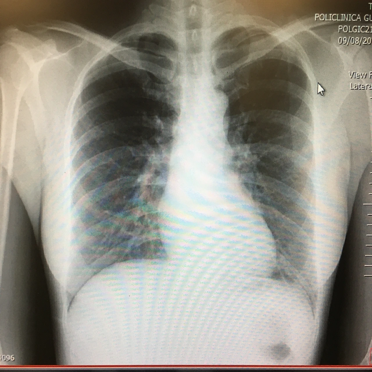
옅게 폐렴이 생겼지만, 그래도 (내 눈엔) 정상처럼 보이는 내 폐



근육통 & 관절통

가장 먼저 발생한 건 근육통과 관절통이었다. 어떤 날은 진통제 없이도 버틸만한 정도의 통증이었지만, 또 어떤 날은 진통제 없이는 움직이기 힘들 정도로 아팠다. 덕분에 거의 두 달은 계속 파라세타몰(스페인판 타이레놀이랄까)을 꾸준히 복용할 수밖에 없었다


코로나를 앓고 한 달쯤 되었을 때가 가장 아팠는데, 이 때는 진통제를 먹어도 통증이 살짝 느껴질 정도였다. 두 달 정도 지나니 통증은 조금씩 줄어들었다


‘코로나 후유증’이라고 하면 보통 브레인 포그, 피로, 후각 미각 문제 등을 얘기해서 이때 나는 사실 “난 다행히 후유증은 없구나. 근데 몸이 왜 이리 쑤시지?”라고 생각했었다. 유럽 뉴스들을 찾아보고 나서야 근육통과 관절통이 굉장히 일반적인 코로나 후유증임을 알았다


기침

자가격리 동안 가장 많이 보인 증상은 열과 기침이었다. (아, 그리고 트림도 많이 나왔다) 격리 초반에는 몇 분에 한 번씩은 기침이 났고, 격리가 끝나갈 때쯤 되니 빈도가 차츰 줄어서 하루에 서너 번 정도만 기침을 하는 수준이 되었다


이후 며칠이 지나니 기침은 사라졌다. 하지만 이후에도 가끔 가슴이 갑갑한 날에는 기침이 몇 번씩 났다


가슴 통증 & 호흡

제일 걱정되고 스트레스받던 부분은 이거다. 코로나 확진 판정을 받고 다음 날, 폐렴이 생긴 걸 알았을 때 정말 억장이 무너져내리는 느낌이었고 ‘폐는 한 번 망가지면 복구가 되지 않는다’라는 말을 들었기에 가장 걱정하는 부분이 ‘폐’였기 때문


근육통처럼 어떤 날은 괜찮고, 어떤 날은 통증이 있기도 했고 콕콕 찌르는 느낌이 들었다. 아니 ‘들었다’가 아니라 지금도 가끔은 가슴이 갑갑하거나 통증이 있을 때가 있다. 다만 3개월이 지난 지금은 빈도도 강도도 많이 약해졌다


흉통이 조금 심한 날이면 어김없이 호흡도 조금 힘들어졌다. 주로 밤에 이 증상이 있었는데, 악몽을 꾸거나 잠을 제대로 자지 못한 날도 적지 않다


가슴 통증, 호흡과 관련된 후유증은 특히 스트레스와 많이 관련 있다고 한다. 3개월 후유증을 겪은 결과 그 말이 썩 틀리지 않다. 시간이 지나며 차츰 좋아질 테니 스트레스를 가능한 받지 않고 예민하게 생각하지 않는 것이 최선이다


위장 장애

이 모든 문제를 겪으며 내 몸은 굉장한 스트레스를 받았고, 결국 그 영향은 위장까지 미쳤다. 원래도 튼튼하지 못한 위장이라 타격이 컸다. 영국 기사에 따르면 위장 장애도 대표적인 코로나 후유증 중 하나인데, 이 또한 스트레스가 주원인이라고 생각한다


약을 한 달 먹고, 지금은 많이 좋아졌다. 맘 같아선 위 내시경도 한 번 하고 싶지만-위염이 살짝 있어서, 한국에 있을 때는 2년에 한 번씩 내시경을 했었다- 병원에서 마스크를 내리는 행위 자체가 너무 무서운 나로서는 아직 방법이 없다



머리를 한 번 빗으면 이만큼 빠진다


탈모

그리고 현재 가장 크게(?) 겪고 있는 후유증. 탈모. 웃긴 게 코로나 앓던 때나 직후에는 전혀 없었는데 2개월이 지난 기점부터 발현됐다. 뉴스 기사에 따르면 코로나로 한참 아팠을 때 몸이 스트레스받은 게 이제야 탈모로 증상이 나타나는 것이라고 한다


이렇게 딱 현상이 보이니 시각적으로는 가장 큰 후유증이긴 한데, 정신적으로는 흉통에 비해 그렇게 스트레스받지는 않는다. ‘어… 한두 달 있으면 괜찮지 않을까?’라는 생각이 크기도 하고, ‘여차하면 머리 심거나 가발 써야지 뭐’라는 생각도 든다고나 할까


그래도 정말 빠져도 너무 많이 빠지니 관리를 힘들게 하고 있긴 하다. 3유로짜리 음료도 비싸다고 잘 안 사 먹는 내가 바로 독일 한인마트에서 검은콩 두유와 서리태를 주문하고, 비싼 탈모 샴푸도 주문했으니 말이다





저마다 증상이 너무 다르기에 코로나에 걸렸을 때의 증상, 그리고 코로나 이후 후유증은 아무도 정의할 수 없다. 하지만 그때부터 지금까지 나는 툭하면 확진이 되었던 사람들의 글을 찾아보고 있고. “시간이 지나면 조금씩 괜찮아진다”라는 꼬리표가 달린 글을 세 개 정도는 발견한 뒤에야 안심하며 폰을 내려놓는다


그래서 이 글을 쓰고 싶었다. 누군가는 ‘아 또 코로나 글이야. 스페인 이야기가 아니네’라고 생각할지 모르겠지만, 내가 쓴 이 글이 누군가에게는 작은 위로가 될 수 있기를, 혹은 누군가에게는 코로나를 조금 더 경계하게 되어서 작은 위험을 피해 갈 수 있는 기회가 되었으면 하는 바람으로 쓰는 글


부디 글을 읽는 모든 사람이 아프지 말고, 별 탈 없이 이 위기가 지나가기를 바라며-




keyword
이전 08화코로나 확진, 그리고 두 달 후