brunch

바른 자세.

Saturn - SZA

by 이오십

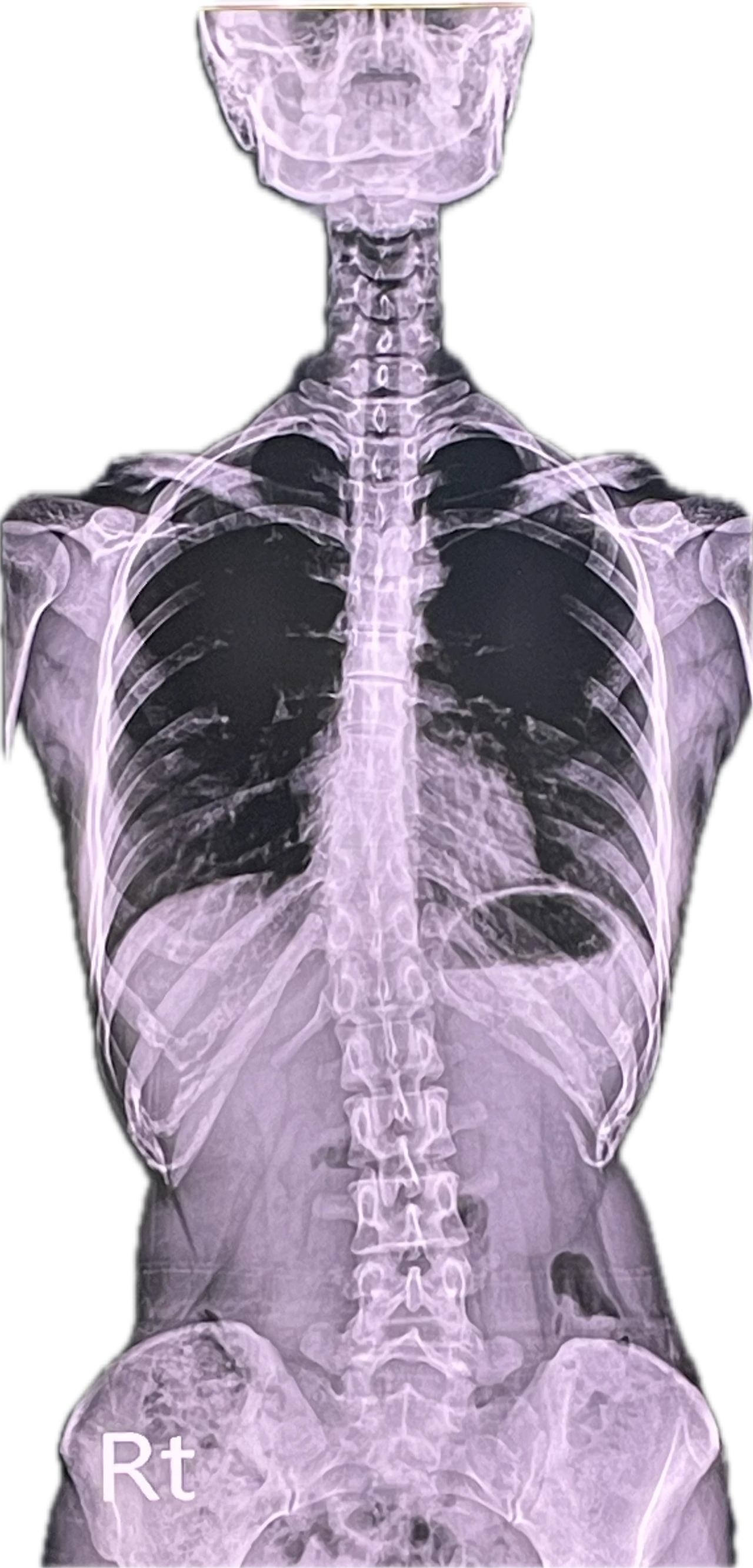
점심시간에 치과, 저녁에 정형외과를 갔다.

매복 사랑니를 뽑은 지 6일이 지났는데 궤양이 생겨서 진통제를 받았다. 슬슬 달리기를 하고 싶어서 시작하기 전에 먼저 병원을 가 봤는데 간단한 근력운동을 충분히 하고 이후에 달리는 걸 추천하셨다.


예상외로 사진 상 무릎은 멀쩡하고 척추와 골반이 많이 틀어졌다고 한다.



흐트러짐 없이 턱 끝은 당기고 허리는 세우고 배에는 힘을 주고 두 발은 바닥에.

사람 몸에 관절이 얼마나 많은데 건축물도 아니고 정적인 자세를 유지하나 싶다.


몸을 세우는 것은 가장 기본이다.



원래 기본이 가장 간단명료하다.



가끔 기본을 잊고 살다가 된통 당하는 경우가 있는데 오늘 척추측만을 예방할 수 있는 기회를 얻은 셈이다.


평소에 왼다리만 반 접어서 의자 위에 가부좌를 틀고 있는 습관이 있어서 골반이 틀어지고 허리도 좀 이상한 것 같다.

아침에 일어나서 스트레칭을 해야겠다.


*


욕망은 두려움과 연결되어 있다.

강하게 원할수록 두려워지고 집착하게 된다.


삶의 동력이 욕망이면 금세 지친다.

강하게 원한다고 모든 게 내 것이 되는 건 전혀 아니었다.

사람도, 학교도, 건강도.


욕망하기보다 사랑할 줄 알면 좀 더 쉬워질 수도 있다.

욕망은 좀 더 인위적이라면 사랑은 좀 더 자연스러운 느낌이다.

그냥. 이유 없이. 그냥.


초등학생 때는 사랑하는 게 쉬웠던 것 같다.

좀 더 마음이 열려있었고, 맺히는 감정 같은 건 없었다.

다 흘러 보내고 관찰한다.


마음에는 여전히 욕망이 많다.

그럴수록 생각과 마음이 무거워져서 이리저리 날뛰다가 금세 지쳐버리는 건 잘 알게 되었다.

사랑하는 마음으로, 즐거움에 차서 내일 아침 눈 뜨고 그냥 해야 하는 일들을 하는 법을 배운다.


바라서 하는 게 아니라 그냥 사랑하니까 하는 일.

keyword
이전 04화가질 수 없어 보여도 욕망하길 포기하지 않는 것.