brunch

임신 12주 차, 태아 기형아 1차 검사

준비된 스마트 할부지 11

딸애가 인근 산부인과 전문병원으로 전원을 한 지 1주일이 되었습니다.

그리고 이번 주가 임신 12주 차로 태아의 기형아 1차 검사를 받아야 한다고 합니다. 이 검사는 초음파를 통해 태아의 목 뒤 둘레를 측정하는 방식으로, 주로 다운증후군 고위험군 여부를 확인한다고 하네요.


'결혼·출산·양육 및 정부 저출생 대책 인식조사'에 대한 조사 결과

결혼과 출산에 대한 의향이 2024년 3월 대비하여, 9월에는 크게 증가했다는 방송을 본 적이 있기는 합니다. 그런데 실제로 딸아이의 이야기를 들어보니 근래 산모가 많이 늘어서, 산부인과 병원 예약도 꽉 찼고 산후조리원도 자리가 충분하지 않다고 하네요.

1차 기형아 선별 검사는 임신 12주 차에 반드시 받아야 하기 때문에, 특별히 추가로 예약을 잡아 오늘 검사를 받기로 한 모양입니다. 그래서 사위도 오후 반차를 내고 같이 병원에 간다고 하네요.


분명히 어저께 딸애를 태워주면서 물어봤는데도, 예약시간이 오후 4시인지 4시 30분인지 헛갈리네요. 또 시간은 왜 이렇게 안 가는지 모르겠습니다. 아침부터 계속 벽에 걸린 시계를 힐끔힐끔 쳐다보고, 스마트폰을 손에서 놓지 못하고 있습니다.

아내가 임신하고 둘이나 낳았는데도, 그때마다 이렇게 걱정을 했었는지 기억이 희미합니다. 아마 걱정은 했을 텐데 오래되기도 했고, 예전에는 한창 바쁠 때였기 때문에 머릿속에 안 남아있을 수도 있을 겁니다.



얼추 5시가 다 되어서 카톡으로 용량이 제법 큰 동영상 하나가 날아왔네요. "카톡, 카톡"

이렇게 파일을 보낸 것을 보니 전혀 문제가 없다는 이야기라 일단 안도의 한숨이 쉬어집니다.

동영상과 함께 보내 온 내용을 보니 모두 정상이라고 하네요.

그리고 지난번에는 태아가 잠만 자더니만, 이번에는 엄청 움직여서 의사 선생님이 따라다니면서 초음파를 보느라 애를 많이 먹었다는 내용도 있네요.

하나하나 소중한 이야기들입니다.

12주 태아 신체 측정.jpg
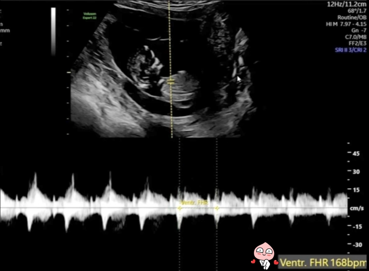
12주 태아 심박수 측정.PNG
[왼쪽은 태아 머리 크기와 임신 주수, 오른쪽은 심박수]

초음파 영상에 대한 용어를 보니 전부 약어로 되어 있고, 그마저도 보통 쓰는 영어 단어가 아니라서 이해하기가 무척 어렵네요.

그래서 구글링을 통해서 확인해 보니...

♬ BPD(Bioparental Diameter)는 태아 머리 옆통수의 길이를 말하는데, '팡팡이'의 초음파 영상을 보니 1.77cm로 나옵니다. 12주 차가 1.7cm 정도라고 하니 정상이네요.
♬ GA(Gestational Age)와 EDD(Expected Date of Delivery)는 임신 주수와 분만 예정일을 나타내는 것이라고 합니다. 이에 따르면 현재는 임신 12주 5일이고, 분만 예정일은 25년 6월 26일이네요.
♬ FHR(Fetal Heart Rate)는 태아 심박수인데 168 bpm으로, 임신 12주 평균인 160~180 bpm의 범위 내 있으니 이 역시 지극히 정상적인 상태입니다.



그나저나 가장 궁금한 것이 태아 목덜미 투명대(NT: Fetal Nasal Translucency)인데, 다른 것만 보다 보니 주객이 전도되었네요. 목둘레 투명대의 두께는 평균 1.0~1.5mm 사이로 나오는데 3.0mm가 넘는 경우 '다운증후군(Down Syndrome) 등의 기형의 우려가 있다고 합니다.

'팡팡이'의 NT는 1.17mm로 정상범위 내라서 다행입니다.

12주차 태아 목둘레.PNG [태아 목덜미 투명대(NT)]

그리고 산모의 염색체 검사를 위해 채혈을 했는데, 그 결과는 10일 뒤에 나온다고 합니다.

이건 왜 또 이리 오래 걸리는지? 그리고 다음 진료는 2차 기형아 검사를 위해 4주 뒤에 갈 예정이라고 합니다.

아마 딸아이는 궁금해서라도 중간에 병원을 한 번 더 찾아갈 것 같네요.



이번에 전원한 산부인과 전문병원은 좋은 장비가 많은데, 그중 하나가 '입체초음파'라고 하네요.

저도 평면초음파 사진만 보다가 입체 사진을 보니 확실히 '팡팡이'가 더 실감이 나는 듯합니다.

그리고 입체초음파 사진을 통해서 성별 구분도 가능하다고 합니다.

보통 12주에 성별을 많이들 확인하기 때문에 '12주 각도법'이라고도 불리는 초음파 성별 확인방법은, 아쉽게(?)도 '팡팡이'가 다리를 꼬고 있어서 확인이 안 되었다고 하네요.

다음에 가면 확인이 되었으면 하는 바람이 있네요.

요즘은 아들보다는 딸을 더 선호한다고 하던데... 딸아이의 생각은 아들 같다고 하네요.

12주 입체 초음파(다리꼬기).PNG

딸애로부터 받은 동영상을 3 부분으로 나누어서 올려 봤습니다.

※ 내용은 딸아이의 임신 정보를 기반으로 작성하였으나, 일부 의학 관련 사항은 인터넷을 참고하였습니다.


오늘도 펭귄의 짧디 짧은 다리로 달리고 달리고 ~

keyword
월요일 연재
이전 10화임신 11주 차, 동네 산부인과 전문병원으로 전원 ~