피 흘리며 죽어 꽃이 된 청춘-1

히아킨토스의 죽음

by Iatros

무더운 여름입니다. 제 브런치 글을 봐주시는 모든 분들이 항상 건강하게 잘 지내시길 바랍니다.

오늘의 글은 비극적인 죽음으로 꽃이 된 청년에 관한 이야기 중 하나입니다.




현대 한국에서의 가장 흔한 10~20대의 사망 원인은 고의적 자해(자살)라고 알려져 있습니다. 그리고 그 다음이 악성 신생물(암), 3번 째가 운수 사고입니다(각주 1). 아마도 현대 사회의 수많은 스트레스 요인이 젊은 사람들의 자해를 부추기고 있는 것일지도 모릅니다.


자살_에두아르 마네_1877.jpg 자살. 1877년 유화 작품. 에두아르 마네.


그렇다면 고대 그리스에서 젊은이들의 가장 흔한 죽음의 원인은 무엇이었을까요? 그 당시는 자살을 죄악시하는 분위기였으며, 현대에 비해 이른 나이부터 성인으로서 여러 가지 사회 활동을 해야 했기에 다른 원인으로 사망했을 가능성이 높았을 것으로 생각됩니다.


현대 보다 좀 더 흔하게 감염병으로 사망했을 수도 있고, 전투나 전쟁이 많았던 시대였기에, 전장에서 부상 등으로 사망했을 수도 있습니다. 어쨌든 활동적인 연령대임을 고려하면 외상(外傷)에 의한 사망 가능성이 상당히 높았을 것으로 생각해볼 수 있겠습니다. 사고에 의한 외상으로 사망한 젊은 사람들의 이야기는 신화 속에서도 종종 발견할 수 있습니다.


히아킨토스(Hyacintos, Υάκινθος)는 스파르타의 왕자(혹은 귀족)로 용모가 매우 아름답기로 유명한 소년이었습니다. 태양신이며 남성들 중에서 가장 아름다운 용모를 갖춘 신인 아폴론 조차도 히아킨토스의 미모에 매료되어, 그를 항상 데리고 다니며 즐거운 시간을 보냈을 정도니까요. 히아킨토스는 아주 건강한 소년이었기에 사자처럼 빠른 달리기 솜씨를 가지고 있었으며 원반 던지기 놀이의 명수이기도 하였습니다.

원반던지기_1.jpg 좌측은 고대 그리스 조각가인 미론의 '원반 던지는 사람'. 우측은 현대 올림픽에서의 원반 던지기 모습.


그는 아폴론과 함께 원반 던지기 놀이를 종종하였는데, 어이없게도 이 즐거운 놀이가 소년을 죽음으로 이끌고 말았습니다. 여기엔 질투라는 요소도 하나의 원인으로 작용하였습니다. 히아킨토스의 아름다움을 사랑하던 또 다른 신이 있었는데, 그는 서풍의 신인 제피로스(Zephyros, Ζέφυρος)였습니다.


제피로스는 아폴론처럼 히아킨토스와 함께 시간을 보내고 싶어했으나 히아킨토스는 좀처럼 그와 함께 해주지 않았고, 이것이 서풍의 신을 질투에 사로잡히게 만들었습니다. 가질 수 없는 것에 대한 열망은 더 강렬해지는 법이니까요. 그는 아폴론과 히아킨토스의 원반 던지기 놀이를 지켜보다가, 아폴론이 히아킨토스가 받을 수 있도록 원반을 던졌을 때 갑자기 강한 바람을 불게 해 원반이 날아가는 방향을 바꿔 놓았습니다.


예측하지 못한 방향으로 날아가던 원반을 쫓아가던 히아킨토스는 결국 원반에 이마를 부딪혀 정신을 잃게 됩니다. 머리에서 피를 흘리며 쓰러진 히아킨토스를 보고 놀란 아폴론은, 의술의 신답게(각주 2) 그의 피를 멈추기 위해 상처에 백합을 가져다 댔지만(각주 3), 그의 상처를 치유하기엔 역부족이었고, 히아킨토스는 아폴론의 품에서 숨을 완전히 거두게 되었습니다.

히아킨토스의 부상과 죽음.jpeg 부상 당한 히아킨토스가 아폴론의 치료에도 결국 죽음에 이르게 됩니다.


이 때 히아킨토스의 모습은 꺾여진 백합처럼 머리가 늘어졌다고 하며, 아폴론이 비통해하자 그의 피가 떨어진 자리에서 백합을 닮았으나 티로스의 염료(각주 4)보다 아름다운 보라빛의 꽃이 피어났다고 합니다. 그 꽃은 히아킨토스의 이름을 따서 지어졌으며, 현재도 히아신스(Hyacinthus)라고 불리게 됩니다.

히아신스와 티로스의 염료.jpeg 좌측의 꽃이 히아신스(학명은 Hyacinthus orientalis). 우측은 티로스산 염료로 지은 옷을 입은, 동로마제국의 테오도라 황후의 모습이 나타난 모자이크화.


한 소년이 사고로 인해 죽음에 이르는 모습에서 우리는 고대 그리스 시대의 외상 치료 개념에 대한 한계를 엿볼 수 있습니다. 실제적으로 머리에 심한 외상을 당했을 때, 밖으로 흐르는 피보다는 보다는 두개골 내 출혈에 의해 사망에 이르게 됩니다.


아폴론이 히아킨토스의 이마에 흐르는 피를 지혈했다고 해도, 그의 두개내 출혈을 치료하지 못한다면 결국 사망에 이를 수밖에 없다는 것이죠. 히아킨토스처럼 두부의 외상이 발생한 이후 단시간 내에 사망에 이르렀다면 엄청난 양의 경막외출혈(epidural hemorrhage, EDH)이 발생했을 가능성이 높았을 겁니다.


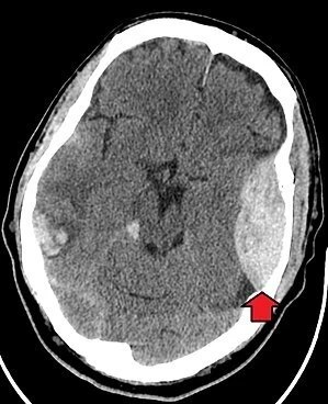
경막외출혈은 현대에도 실제 교통 사고나 폭행과 같은 직접적인 외상에 의해 발생하며, 단시간 내에 의식을 잃거나 반신 마비, 혼수 상태와 같은 신경학적 증상이 나타나다 사망에 이를 수 있는, 매우 위험하고 응급한 질환입니다.

경막외출혈.jpeg 경막외출혈의 CT 사진 소견. 붉은 색 화살표가 가리키고 있는 곳에 피가 고여 있으며, 이로 인해 뇌가 반대편으로 밀리고 있습니다.


현대 의학에서는 이러한 증상이 있을 때 뇌 컴퓨터 단층 촬영(Computed tomography, CT)으로 병변을 확인하고 응급 수술을 시행하게 됩니다. 히아킨토스도 현대 의학에 의한 적절한 치료를 받았다면 꽃으로 변하는 대신에 그 생명을 이어갔을지도 모를 일입니다.





* 각주

1. 2019년 통계청 자료

2. 아폴론은 보통 태양의 신으로 알려져 있지만, 의술, 예술, 궁술 및 기타 다양한 능력을 가진 신으로 알려져 있습니다. 올림픽 경기에서 승리자에게 아폴론의 나무인 월계수를 가지고 만든 관을 씌워주는 것만 봐도 그의 다재다능함을 짐작할 수 있습니다. 의술의 신인 아스클레피오스의 아버지이기도 하며, 아폴론 자체도 의술에 관련된 능력을 가지고 있는 것으로 여겨졌습니다. 자세한 이야기는 또 다른 포스트에서 써보도록 하겠습니다.

3. 백합목 식물들에 대해 찾아보면 지혈 작용을 가지고 있다는 설명이 자주 나옵니다. 이에서 착안하여 히아킨토스의 피를 멈추기 위해 백합을 사용했다는 이야기가 들어간 것 같습니다.

4. 티로스의 보라색(=Tyrian purple). 현대의 레바논 지역에 위치한 고대의 도시인 티로스(티레)에서 만들어내던 유명한 보라빛 염료입니다. 그 지역에서 나오는 조개(뿔소라)를 원료로 만들었다고 하며, 색깔이 매우 아름다워 같은 무게의 금보다도 비싸게 거래되었다고 합니다. 그래서 고대에는 보라색하면 황제의 빛깔로 불리울 만큼 구하기가 힘든 색이었죠. 티로스가 멸망하면서 만드는 방법도 실전되었다고 합니다.

keyword
매거진의 이전글두 개의 성별을 모두 가진 그리스-로마 신화 속 존재