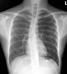
흉부사진

by 현목
다운로드 (5).jpeg


흉부사진





알몸이 흑백으로 드러나 있다

연부 조직은 먼 산으로 물러나 있고

바람과 강물이 흐르고 있다

눈부신 하얀 늑골사이로

바람은 흩어져 나오고

폐포 잎잎이 떨고 있다

강물은 사행으로 돌아져 나가고

강변에 부딪히는 소리 아득하다

저 허공에 걸린 노아의 방주

그 골짜기에 내리는

흑백의 적막





시작 노트


이 작품은 저에게 특별한 의미를 가지고 있습니다. 2001년 1월

‘포엠토피아‘(지금은 없어졌습니만) 시창작교실에서 공부하고

8개월이 지났습니다. 제가 이 「흉부사진」을 제출하자 지도하시던

육군사관학교 국문과 교수이셨던 고(故) 이기윤 교수님께서 비로소

’시답다‘고 말씀하셨습니다. 어쩌면 이 작품은 저의 시쓰기 나아가서

글쓰기의 원동력이 된 것이기도 합니다.

keyword
작가의 이전글얕게 얕게