brunch

뇌정맥혈전증

아스트라제네카 백신과 얀센 백신 논란의 중심


지금까지 미국에서 얀센 백신을 접종받은 인구는 700만 명이 넘는다. 6명에서 혈전 부작용이 발생하였고, 모두 18~48세 여성으로 접종 1주-3주 사이에 증세가 나타났다. 이들 중 한 명은 사망했고, 다른 한 명은 중태다. 미국 FDA(식품 의약국)와 CDC(질병통제예방센터)에서 얀센 백신 접종을 일시 중단하였다.
- 2021년 4월 13일 뉴욕타임스 보도

지난주에 영국의 전문가 그룹과 유럽의약품청(European medical agency, 이하 EMA)에서 아스트라제네카 백신과 치명적인 혈전증과의 관련성을 인정한 이후 일주일 만에 나온 뉴스입니다. 특히 뇌정맥혈전증(Cerebral venous and sinus thrombosis, 이하 CVST)은 아스트라제네카 백신(이하 AZ 백신)을 통해 전 세계적으로 주목받게 된 질환입니다.


# 뇌정맥혈전증이란?

뇌정맥혈전증은 신경과에서 치료하는 뇌졸중의 한 종류입니다.

우선, 혈전증, 혈소판, 응고 과정에 대한 짧은 이해가 필요합니다. 혈소판은 상처 난 혈관을 통해 출혈이 지속되지 않도록 응고를 시키는 핵심 인자이며, 혈전증은 피떡(혈전)으로 혈류가 방해되는 현상입니다. 피떡이 순환하면 복부 혈관이나 폐혈관, 뇌혈관의 혈류까지도 막힐 수 있다(색전증)는 것이죠. 혈류가 통하지 않으면 해당 세포는 괴사되어 증상이 나타납니다.


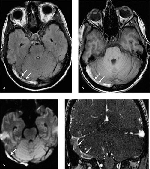
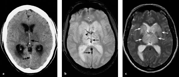
원래 뇌정맥혈전증은 신경과 뇌혈관 클리닉에서 그리 흔한 질환은 아닙니다. 성인에서 1년에 100만 명 당 2-5명 정도입니다. 보통 뇌혈관 질환은 대부분 동맥에서 발생하고, 정맥에서 피가 응고되어 해당 혈액순환이 저하되어 허혈 혹은 출혈이 생기는 정맥혈전증은 드뭅니다. 뇌정맥혈전증이 생기면 피떡도 차있고, 세포괴사로 부종과 뇌출혈 소견도 확인됩니다.

이론적으로 보면 피임약, 여성 호르몬 치료, 분만 전후, 감염, 와상 상태, 암, 비만 등의 경우 모든 종류의 혈전증(뇌정맥 혈전증 포함)에 더 주의를 해야 합니다. 성별과 상관없이 젊은 환자들이 일반적으로 영향을 더 받습니다.

CVST2.jpg
CVST1.jpg
혈전(피떡), 세포 괴사 및 부종, 출혈이 동반된 뇌정맥혈전증 (출처 Radiologykey.com)


# 백신 접종 후 뇌정맥혈전증을 의심해야 하는 상황은?

접종 후 4-28일 기간 동안 지속적이고 심한 두통이 발생하거나 경련 발작, 복시(두 개로 겹쳐 보이는), 시야가 흐릿한 증상이 나타나면 뇌정맥혈전증을 의심할 수 있는 응급 상황입니다. 백신을 접종한 후 일시적으로 두통이 나타나는 것은 흔합니다. 하지만 두통이 심하고 지속적이며, 진통제로 호전이 없고, 구토(뇌압 상승의 징후)가 있거나 편마비나 감각 장애, 언어 장애가 동반되면 응급실로 가셔야 합니다.

* 혈전증은 사지, 복부, 폐혈관에도 생길 수 있어 사지 부종, 차가움, 복통, 흉통, 호흡곤란 등의 증상이 생겨도 의심을 해봐야 합니다.


# AZ 백신과 뇌정맥혈전증이 '왜' 분명히 연관되느냐

유럽의약품청 약물감시위해 평가 위원회는 지난 3월 22일까지 보고된 혈전증 86건을 검토하였고 이 중 뇌정맥동혈전증은 62건입니다. 영국에서는 AZ 백신을 접종한 1800만 명 중 30명에서 뇌정맥혈전증이 발생했습니다. 독일 내 Robert Koch Institute(이하 RKI, 독일의 질병관리청과 같은 정부기관)는 AZ 백신을 접종한 270만 명에서 31명의 뇌정맥혈전증이 발생했다고 발표하였습니다. 대부분은 접종 4일에서 2주 사이에 60세 미만의 여성에게서 발생하였습니다. 그중에 19명은 혈소판 감소증도 동반되었습니다. 피가 너무 과도하게 응고되어 혈전증이 생기면서 동시에 혈전의 재료가 되는 혈소판은 감소한 것이죠. 그럼 출혈성 경향도 같이 수반됩니다(어찌 보면 모순된 현상 같으나 이런 혈액학적 현상은 익히 알려져 있습니다). 한국은 지금까지 1건 보고되었습니다.


1) 혈소판 감소증이 동반된 뇌정맥혈전증이라는 치명적인 합병증이 단기간에 갑자기(백신 접종 전과 비교하여) 다빈도로 보고되고 2) 발생 시점이 접종 후 4일에서 16일 사이로 거의 항상 일치한다는 점에서 AZ 백신-뇌정맥혈전증 사이에 분명한 인과관계가 있습니다. 그리하여 3월 마지막 주에 독일은 AZ 백신을 60세 미만에서는 접종을 중지하기로 하였습니다.


# 왜 논란이 되는가

뇌정맥혈전증을 유발했던 다른 요인(대표적인 예로 피임약)은 훨씬 빈도가 높음에도 허용하면서, 왜 명확한 근거 없이 AZ 백신을 중지하여 백신 접종 플랜을 뒤집느냐고 항의하는 측도 있습니다. 안 그래도 백신 접종 속도가 느려 변이 코로나의 전파 속도가 높아지는 원인이 된다고 WHO에서 유럽을 질타하는 상황인데, 대책이 없다며 비판을 받고 있습니다.


아직 뇌정맥혈전증이 어떻게 발생하는지, AZ 백신과의 인과관계가 구체적으로 어떤 것인지 결론이 나지 않았습니다. 독일에서는 백신 유발 혈전성 면역 혈소판감소증(Vaccine Induced Prothrombotic Immune Thrombocytopenia, VIPIT)이란 용어를 제안하였습니다. '혈소판 감소'에 주목하여, 최근 3월 말 독일 Greifswald 대학에서 설명 가능한 기전에 대한 논문을 발표하였습니다. AZ 백신을 접종받은 개인의 혈액을 채취하여 분석한 결과, 백신 접종으로 유발된 항체(platelet factor 4, PF4)가 혈소판을 활성화시키고, 그 결과 혈액이 응집되고 혈전증이 생기는 것으로 추측하고 있습니다. 자가면역질환으로 추정하고 있는 것이죠. 혈소판 감소를 동반한 특이 부위 혈전증은 뇌정맥동, 내장정맥에 생기는 혈전증을 의미합니다. 이 연구의 의의는 부작용의 기전이 면역학적인 것이라면, 부작용을 치료할 수 있는 방안도 찾아낼 수 있다는 것입니다.


현재 백신 접종 후 뇌정맥혈전증이 생기면, 항응고 약물치료를 합니다. 하지만 혈소판 감소증이 동반되어 특이 항체가 확인되면 혈액내과 전문의와 협진을 하며 항체단백질주사 치료를 병행합니다.


# 지금까지의 결론을 정리해보면

'혈소판 감소증을 동반한 특이 혈전증'과 'AZ 백신' 사이에 인과관계, 뇌정맥혈전증과 연관성이 있다고 인정하고 있습니다. 혈소판 감소가 동반된 것은 매우 드물지만 치명적입니다. 그럼에도 불구하고 백신의 이득이 이런 부작용의 위험을 상회한다는 판단에는 변함이 없습니다. 지금까지 알려진 사실과 판단은 여기까지 입니다.


# 새로운 보고는 계속된다

최근 옥스퍼드 대학 연구에 따르면 COVID-19 자체에 따른 혈전증 위험성이 AZ 백신에 의한 그것보다 8배 높고, COVID-19에 의한 뇌혈전증의 위험성은 정상인보다 100배나 높다고 하였습니다. 옥스퍼드 대학에서 AZ 백신을 개발하는데 일조하였고, 100배라는 언급이 좀 자극적이라는 생각도 듭니다(지극히 개인적인 사견입니다).

한편 영국에서 어린이들을 대상으로 AZ 백신을 시도하는 연구는 일시 중지된 상태입니다. 60세 미만의 환자에서 AZ 백신과 특이 혈전증과의 인과성을 인정하는 분위기에서 신중해지는 건 당연하다고 생각합니다.


일반 대중들이 백신 전반에 대해 공포심을 가지도록 부추길 수 있어 우려스럽긴 합니다. 분명히 백신의 전반적인 이득이 부작용의 위험을 상회함에도, 대중 심리는 전문가 그룹이 의도하지 않은 방향으로 흘러갈 수 있습니다. 하지만 보고되고 있는 치명적인 부작용을 외면해서는 안됩니다. 기존의 결론을 뒤집는 새로운 보고가 일주일도 안되어 쏟아지고 있어, 가장 최신 뉴스에 귀를 기울이는 것이 중요한 시점입니다.


<참고 문헌>

1. https://www.pei.de/EN/newsroom/hp-news/2021/210408-covid-19-vaccine-astrazeneca-vaxzevria-link-blood-clots.html

2. https://www.nytimes.com/live/2021/04/13/world/johnson-vaccine-blood-clots

3. https://www.dw.com/en/astrazeneca-whats-the-deal-with-thrombosis/a-56901525

4. https://www.dw.com/en/covid-is-there-a-link-between-vector-vaccines-and-thrombosis/a-57213452

5. https://www.researchsquare.com/article/rs-362354/v1

keyword
매거진의 이전글뭔가 이상한, 찝찝하고 불쾌한 것