병원에서 금식을 요구하는 이유는?

by 글쓰는 외과의사

환자를 만나면서 가장 많이 듣는 컴플레인 중 하나가 왜 금식을 해야 하냐는 질문이다. 물이라도 마시면 안 되는지, 도대체 몇 시간이나 금식을 해야 하는지 답답해하시는 분들이 많으시다.


사실 응급실에 오면 가장 기본적으로 내는 처방 중 하나가 금식이다. 병동에 입원해서도 마찬가지다. 피검사 전에 금식이 필요하고, CT라도 찍으려면 4-6시간은 금식이 필요하다고 한다. 수술은 8시간 금식이 필요하다.


의료진 눈을 피해 몰래 음식을 드시는 분도 계신다. 안 들키면 다행이다. 들킨 이상 정해진 검사 시간, 수술 시간이 꼬여버린다. 사실 스케줄 문제보다 금식의 이유는 환자에게 위험할 수 있기 때문이다. 아래 각 검사에 따라 금식이 필요한 이유와 시간에 대해 알아보았다.




마취 전 금식 (수술 전 금식)


마취 시 호흡근의 반응이 떨어져 위에 있는 음식물이 폐로 넘어갈 가능성이 있다. 위 속의 위산이나 음식물이 폐로 흡인된다면 기관지를 막거나 흡인성 폐렴이 발생할 수 있다. 이를 방지하기 위해 수술 전 금식이 필요하다.


건강한 60kg의 성인이라면 금식 후 위 부피가 60-80ml 이하가 될 때 마취가 안전하다는 연구 결과가 있다. 금식이 잘 되지 않고 위 부피가 160ml 이상 넘어갈 시엔 흡인의 위험성이 크다.


액체의 경우 최대 2시간 이후에 위에서 소장으로 넘어가지만, 고형식은 먹은 음식물의 양과 종류에 따라 다르지만 보통 위에 남아있는 시간은 3-4시간이 소요된다.


음식물 별로 금식 시간이 다르다.

- 물이나 건더기가 없는 맑은 음료 : 마취 2시간 전 금식(병원마다 4시간전 금식인 곳도 있다.)

- 우유나 지방 및 단백질 등이 포함된 음료 : 마취 4시간 전 금식

- 고형식 : 마취 8시간 전 금식


소아의 경우 병원마다 다를 수 있지만,

- (물,모유) - 4시간

- (분유, 유동식) - 6시간

- (고형식) -8시간 으로 설정한다.



피검사 전 금식


대한 진단 검사 의학회에 따르면 금식의 여부가 피검사에 영향을 미칠 수 있는 항목은 다음과 같다.


<혈당, 총콜레스테롤, 중성지방, 요산>


- 혈당 : 공복 혈당은 당뇨 진단에 매우 중요하다. 당뇨의 진단에는 여러 항목이 있지만 그 중 공복혈당의 기준은 126이 기준 수치이다. 8시간 금식 후 공복 혈당이 126 이상 시 당뇨로 진단한다.


- 콜레스테롤, 중성 지방 : 음식 섭취 시 콜레스테롤 수치가 달라질 수 있어 공복을 요구했다. 하지만 최근 발표되는 논문들에 따르면, 일반인들은 하루 동안 공복을 유지하는 상태는 거의 없으며, 콜레스테롤 및 중성 지방 수치로 심혈관계 질환을 예측하는 확률이 공복을 유지한 채로 검사를 시행한 것과 비슷하거나 더 높다는 결과가 있다. 따라서 정확한 콜레스테롤 수치를 위해 공복을 유지할 필요는 없을 듯 하다.


- 요산 : 타 자료를 찾아본 결과 평소 섭취하는 음식으로 인해 요산이 증가할 수는 있지만 꼭 공복 상태에서 요산을 측정할 필요는 없다



CT 및 MRI, 초음파 전 금식


CT와 MRI를 촬영할 시엔 조영제를 사용하는 경우가 많다. 혈관 내로 조영제를 쏴야 혈류가 가는 곳과 가지 않는 곳을 구별할 수 있고, 조영제를 근거로 암과 양성 종양, 염증 반응과 허혈성 질환 등을 판별할 수 있다.


하지만 조영제는 부작용으로 구역감, 구토 증상이 흔하다. 드물지만 아나필락시스 반응으로 응급 기도 삽관이 필요한 경우도 있다. 이런 경우에 흡인을 방지하기 위해 금식이 필요하다. (하지만 최근 진행된 연구들에 따르면 금식을 하지 않는 것이 흡인성 폐렴이나 소화기계 증상을 유발하지 않는다는 결과도 있다.)


조영제 쓰는 일반 CT, MRI - 4시간 금식

조영제 쓰는 복부 CT, MRI - 6시간 금식


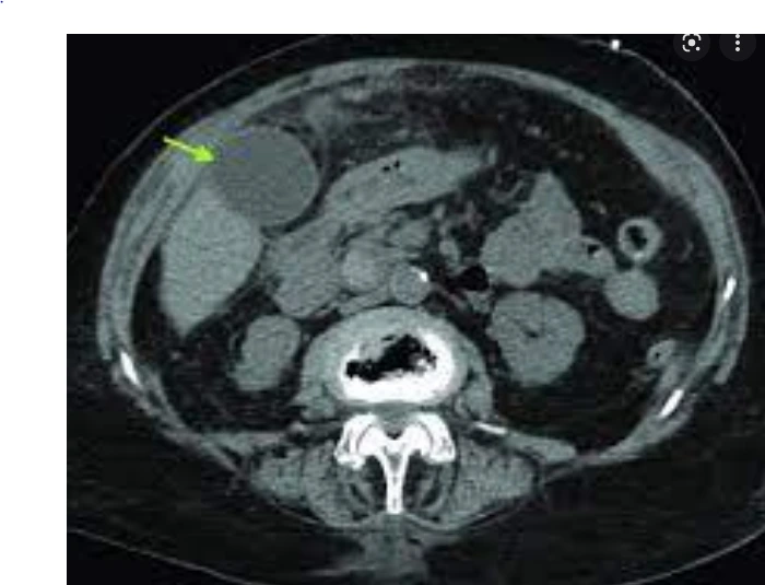
복부 CT, MRI의 경우 금식을 통해 담낭을 부풀려 검사를 해야 한다. 음식을 먹을 경우 담낭에서 담즙을 짜주게 되어, 담낭이 협착된다. 담낭 내부가 보이지 않으면 담낭에 있는 용종이나 돌, 염증 상태 등을 평가할 수 없다. 더불어 금식이 되지 않은 경우 장운동으로 인해 한 단면을 찍는 영상 검사가 부정확해질 수 있다.

초록색 화살표의 동그란 원이 담낭이다. 금식이 되지 않을 시엔 보이지 않는다.


내시경


병원마다 다를 수 있지만 음식물이 소화되고 내려가는 시간을 고려하여 최소 8시간 공복이 필요하다.


위식도 내시경 - 8시간

대장 내시경 - 8시간




사람이 가장 예민한 시기가 기본적인 욕구가 충족되지 않았을 때라고 한다. 그중에서도 식욕과 수면욕이 충족되지 않았을 때가 가장 예민하지 않을까 싶다. 실제로 연인 간의 다툼을 줄이기 위한 방안 중 하나로 식사를 한 후에 민감한 주제에 대해 언급하는 방법이 있다. 그간의 경험으로 봤을 때 확실히 식사보다 민감한 대화가 먼저 나왔을 때 예후가 좋지 않았다. 그만큼 금식은 사람의 신체뿐 아니라 기분에도 많은 영향을 미친다.


금식의 고통을 이해 못 하는 바는 아니지만, 금식이 필요한 이유를 알고 참는다면 환자들의 답답함이 조금은 줄어들 것 같다.



알아두면 좋은 병원 상식 시리즈는 환자와 의료진 사이의 communication quality를 높이기 위함입니다. 병원 사람들에겐 익숙하지만 병원 밖 사람들에게는 낯선 병원 상식을 연재합니다. 또 다른 궁금증이 있으면 댓글로 남겨주세요 :)


Reference

Nonfasting versus fasting lipid profile for cardiovascular risk prediction / PathVolume 51, Issue 2, February 2019, Pages 131-141

uptodate.com / Preoperative fasting in adults


https://www.uclahealth.org/medical-services/anesthesiology/patient-resources/when-stop-eating-and-drinking






keyword
매거진의 이전글왜 의사들은 항상 어려운 의학용어를 쓰며 얘기할까?