너무 열심히 닦지 마라! (feat. 잇몸 일으키기)

하루 한 번의 과학

by 허교수

하루 한 번의 과학


힘이 센 테토남들,
완벽주의적인 전문인들,
유난히 깨끗하게 닦으려는 사람들.

이들의 공통점은
관리가 어느 순간 집착이 된다는 것이다.


솔직히 말하면, 나도 그랬다.


치과의사였고, 더 잘 알고 있었고,
그래서 더 열심히 닦았다.


하지만 과학은 다르게 말한다.

치아 보존·예방 연구의 권위자인
토마스 어틴(Thomas Attin) 교수는 이렇게 정리했다*.


하루 한 번의 꼼꼼한 양치질이면
충치와 잇몸병 예방에 충분하다.

문제는 횟수가 아니라, 힘조절이었다.


교정이나 임플란트 치료를 막 끝낸 사람들은
양치질이 더 세진다.


“다시 망가질까 봐.”
“이번엔 꼭 오래 써야 하니까.”


그래서 더 자주, 더 힘을 준다.
하지만 결과는 반대다.

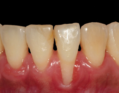
교정을 끝낸 치아 주변 잇몸이 더 내려가는 경우가 종종 있다.

깨끗함을 지키려던 습관이 오히려 잇몸을 뒤로 밀어낸 사례

임플란트 옆 자연치 마찬가지다. 오히려 더 많이 패일 수 있다.

너무 열심히 닦아 강한 압력의 반복적인 칫솔질을 하면 말이다.

치아 뿌리 쪽이 쐐기 모양으로 패이는 '치아패임'을 자세히 설명한바 있다.

(링크참조 : 4화 – 치아패임...치약, 써야 할까?)



양치질은 때를 벗겨내는 일이 아니다.

힘으로 세게 문지르는 게 아니라,
치아와 잇몸의 상태를 느끼고
부드럽게 튜닝하는 일이다.


양치질의 본질은

치태 세균을 ‘제거’하는 것이 아니라,
적절하게 ‘조절’하는 것이다.


따라서 양치질은 청소가 아니라 케어다.

설거지가 아니라,
돌봄이자 튜닝에 가깝다.


너무 열심히 닦으면
치아는 패이고,
잇몸은 내려간다.


하지만 다행히도,
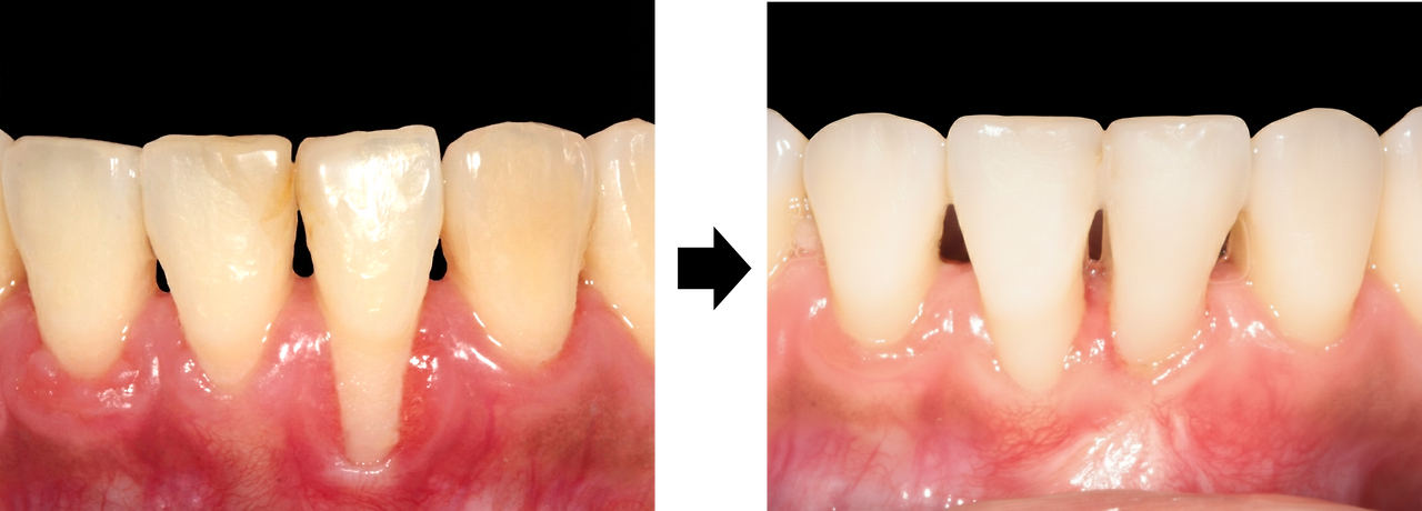
잘못된 양치질을 멈추면
잇몸은 다시 안정되고
치아패임도 줄어든다.


잇몸 성형술(일명 '잇몸 일으키기') 후 다시 잇몸이 안정되었다. 첨단칫솔(10화 참조)로 최대한 부드럽게 닦는 것이 팁!

물론 전문적인 치료와 관리가 필요할 때도 있다.


하지만

내가 고친 건

잇몸이 아니라,
루틴이었다.


하루 한 번이란
덜 닦으라는 말이 아니다.


한 번을 하더라도

부드럽게 꼼꼼하게
더 열심히가 아니라 더 정확하게



어느덧 다음 이야기가 마무리다.
양치질을 기술이 아니라
삶의 루틴으로 이야기하려 한다.

단순히 치아를 닦는 시간이 아니라,
마음을 닦는 시간으로서의 양치질.

하루 한 번
하루를 정리하며

다음 화
<양치질은 삶의 질이다 ― 하루 한 번, 나를 닦는다〉



*Attin, T. ,E. Hornecker. Tooth brushing and oral health: How frequently and when should tooth brushing be performed? Oral Health Prev Dent 3 (2005): 135-40.


이전 10화치간칫솔이 치‘갓’칫솔이다