brunch

명상, 통증을 조절하는 뇌로 만들다

명상은 뇌의 구조를 바꿔서 통증을 경험하는 방식과 관계를 새롭게 한다.

by 김권수

어떤 이유든지 만성통증을 안고 살아가는 사람들의 생활은 피폐하다. 통증을 극복하기 위해서 통증과 맞서 싸울수록 고통은 더욱 악화되는 경우가 많기 때문이다. 통증을 완화하기 위해서 노력했음에도 조금 나아지는 듯싶다가 다시 그대로이거나 더욱 통증이 커지면 심리적으로 상실감과 한계가 고통을 더욱 키우기도 한다. 그래서 일시적인 통증 완화 말고 지속적으로 통증을 완화할 수 있는 방법과 조절력을 갖출 수 있다면 아주 큰 희망일 것이다.


바로 이런 희망에 명상이 기여할 수 있다. 명상이 뇌의 변화를 만들어 내고 이를 통해 통증을 느끼고 조절하는 능력을 향상시켜 줄 수 있다는 연구들이다. 능숙한 명상 수련자는 통증을 최대 96%까지 떨어뜨릴 수 있어 처방되는 진통제보다 훨씬 강력한 처방이 될 수 있다.


미국 등에서는 병원에서도 암뿐만 아니라 다양한 질병으로 통증을 대처해야 하는 환자들에게 마음챙김 명상을 처방하고 있다. 여기에는 편두통, 섬유 근육통, 만성피로, 과민성 대장증후군과 같은 질병도 포함되어 있다. 통증을 완화시켜 고통의 양을 줄이고 스스로 조절함으로써 스트레스가 줄고 환자의 복지를 증진시키는 역할을 하고 있기 때문이다. 어떤 연구 결과에 의하면 명상을 통한 통증 완화와 조절은 위약효과보다 훨씬 강력하고 다른 방법으로 환자들에게 적용된다. 어떻게 이런 효과가 만들어지는 것일까?


영상을 통한 연구에 따르면 명상은 통증을 느끼게 하는 뇌의 패턴을 진정시키고 이런 변화가 정착하면 뇌 자체의 구조를 변경하여 더 이상 같은 강도로 통증을 느끼지 않게 한다는 것이다. 좀 더 간단히 말하면 통증에 익숙해진 감각이 반복되면 우리의 뇌도 통증을 느끼는 것에 익숙해지고 민감해진다는 말이다. 이런 익숙함과 민감함이 우리의 통증을 더 강하게 느끼게 구조화될 수 있는데 이것을 변화시킨다는 의미다. 통증은 감각이 유발되고 통증 감각을 수용하여 뇌에 정보가 전달되어야 통증을 느낄 수 있다. 그렇지 않고 감각이 수용기에서 차단되거나 뇌에 전달되지 않으면 통증을 느끼지 못한다. 실제 감각이 존재해도 그 감각을 느끼지 못할 수도 있고 실제보다 더 강한 감각을 느낄 수도 있다는 의미다.


명상은 우리의 주의를 신체의 특정 부위에 초점을 맞추고 아무런 판단을 하지 않은 상태로 일어나는 감각과 생각을 그저 지켜보고 관찰하면서 주의를 유지한다. 주의가 우리 자신에게서 떨어져 나와 몸과 마음을 관찰 수 있는 기회를 가지게 되고 훈련하게 된다. 이런 명상 훈련의 패턴은 통증이 유발되는 순간에도 고통스러운 감각을 관찰하고 통증과 씨름하는 것을 멈추게 한다. 이때 우리는 우리에게 일어나는 통증에 대한 조절과 통제력을 느끼게 된다.


통증을 나누어 보면 1차적 통증과 2차 통증으로 구분할 수 있는데 1차 통증은 질병, 상해, 신체오 신경계의 손상으로 인해 발생하는 것이고 2차 통증은 마음이 반응하여 인식하는 것으로 종종 훨씬 강력하고 오래가는 경향이 있다. 실제 유발되는 통증보다 마음이 인식하는 통증이 훨씬 커다는 의미다. 이것은 실제 통증보다 2차 통증에서 많은 부분이 왜곡되고 증폭될 수 있음을 시사한다. 이런 이유는 무엇일까?


우리의 마음은 고통을 느끼면 고통과 손상의 원인을 찾고 해결하기 위해서 감각을 확대하여 들여다본다. 일종의 줌인(zoom-in)하여 통증을 증폭시키게 된다. 우리는 여기에 반응하여 항상 통증이 존재하는 것으로 착각하고 미래의 불안감을 조장하고 걱정하면서 고통을 확대하는 경향이 있다.


이런 과정은 의식이 인식하기도 전에 즉각적으로 일어나고 증폭된 결과를 우리는 통증이라고 인식한다. 그리고 이런 스트레스와 두려움이 신체에 다시 공급되면서 훨씬 강한 긴장과 스트레스가 유발된다. 이것이 실제 질병과 손상 부위를 악화시켜 고통을 심화시키고 면역력도 약화시키는 악순환으로 더더욱 통증에 휩싸이게 된다. 설명하자면 이렇다. 통증 환자는 무의식적으로 통증이 없으면 이상하고 불안하다. 습관화된 통증이 있어야 안정감을 느낀다. 통증을 극복하고 싶지만 통증을 누구보다 기다리는 아이러니가 이렇게 만들어진다. 이쯤 되면 뇌는 통증이 확대되고 그 상태가 유지되는 것에 익숙하고 좋아하게 된다. 통증이 없거나 적은 것이 이상해서 통증을 증폭시켜놓고 또 이것을 줄이려고 노력하는 아이러니가 발생하게 된다.


1차 통증과 2차 통증을 구분하여 생각할 때 2차 통증은 1차 통증에 대한 마음의 반응인 셈이며 의식적으로 인식하지 전에 처리된다. 통증을 완화한다는 것은 이런 2차적인 통증에 대한 통제권을 얻는 방법을 배우는 것이다. 통증에서 벗어나고 조절한다는 것은 통증을 경험하고 처리하는 방법을 배운다는 의미다. 패턴화 된 통증을 매달려 반응하기 전에 그 통증을 떨어뜨려 관찰하고 흘려보내는 반응 연습을 하는 셈이다.

뇌 스캔 영상은 마음챙김 명상이 2차 통증을 증폭시키는 회로를 진정시키는 것을 확인시켜 주었다. 2차 통증이 진정될 때 우리가 느낄 수 있는 불안, 스트레스, 우울 등도 함께 사라지고 몸의 긴장이 풀리고 치유와 활력도 찾을 수 있다.


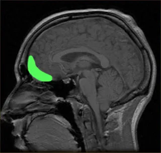
과학적으로 증명된 여러 연구에서 지속적인 명상은 안와전두엽(orbitofrontal cortex)과 전측대상회(anterior cingulate cortex)를 활성화시켜 통증을 감소시킨다. 이는 통증에 대한 자기통제와 관련 있는 영역이다. 또한 마음챙김 명상은 감각정보를 상위 뇌에 전달하는 관문 역할을 하는 시상을 비활성화한다. 그래서 통증을 느끼는 정도를 다르게 할 수 있다는 의미다. 즉 명상은 통증을 직접적으로 조절하는 능력을 향상시키고 감각정보가 통증을 인식하는 정도를 조절할 수 있도록 뇌를 적합하게 변화시킨다는 의미다.



OrbitoFrontalCortex_Optimism_Wikimedia_0.jpg?itok=ej4VGCNG 안와전두엽: 녹색부분Source: Wikimedia Commons/Public Domain
_Wikimedia.png?itok=ezy1ybu9 전측대상회 노란색 부분 Source: Geoff B. Hall/Wikimedia Commons

사실은 이 글을 쓰고 있는 제가 통증환자인 경험과 아래의 2개 글을 번역하고 해설하면서 쓴 글입니다.


[1] Can Mindfulness Meditation Really Reduce Pain and Suffering?

Mindfulness can reduce chronic pain by 90 percent.

https://www.psychologytoday.com/blog/mindfulness-in-frantic-world/201501/can-mindfulness-meditation-really-reduce-pain-and-suffering


[2] The Neuroscience of Mindfulness Meditation and Pain Relief

Mindfulness meditation is proven to reduce pain at a neurobiological level.

https://www.psychologytoday.com/blog/the-athletes-way/201511/the-neuroscience-mindfulness-meditation-and-pain-relief




브런치의 글들이 <북프로젝트>의 대상을 받고, 책으로 나왔습니다. 브런치의 글과 그 외의 글들이 세련되게 정제되어 나왔습니다. 많은 관심을 부탁드려요~~~

http://www.yes24.com/24/Goods/39008549?Acode=101

표지 둘다.png


keyword
매거진의 이전글30분 명상이 스마트한 뇌로 바꾼다?