배보다 배꼽이 더 큰 상황에 대하여

아르바이트 하루 일당 안녕

by 시에몽

재즈토닉 페스티벌 아르바이트를 시작했던 첫날 발에 문제가 생겼다

하지만 사전설명 때 3일은 책임감 있게 일해줬으면 좋겠다고 말한 대표님

(그러면서 1일 일하고 도망간 아르바이트생을 이야기했지)


이 이야기를 들었는데 어떻게 하루 일하고 빠질 수 있겠는가

빌어먹을 책임감 때문에 아픈 발을 압박붕대로 칭칭 감아 남은 2일 동안 일한 머저리

넓은 행사장을 절뚝절뚝 거리면서 일한 나도 진짜 바보다

근데 이런 상황에서 솔직하게 이야기하면 이해해 줬을까? (의문)


아르바이트가 끝나자마자 바로 정형외과에 갔다


최고로 잘한 일
엄청나게 마음에 드는 정형외과를 찾아버렸다! (럭키비키쟈나)





결론만 말하자면

례, 저는 반깁스를 했습니다


원래 무지외반증이 엄마의 유전으로 있다는

사실은 알고 있었다


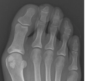
그리고 병원에서 알게 된 새로운 사실 3가지


1. 종자골 이분증

2. 부주상골증후군

3. 요족






종자골 이분증 (이분종자골)

- 엄지발가락 아래에 위치한 종자골이 선천적으로 두 개로 나뉜 상태를 의미합니다.

성장 과정에서 뼈가 완전히 합쳐지지 않아 X-ray에서 반으로 나뉜 것처럼 보이는 현상으로

전체 인구의 약 10%에서 발생하며, 양쪽 발에 모두 나타나는 경우는 25%입니다



선척적인 거 외에 심한 충격이 발생하면 후천적으로 발생할 수도 있다는데 나는 뭘까....?


작년 베이징여행을 하면서 하루 2만보씩 4일을

걸은 적이 있는데 그때 엄지발가락 쪽 극심한 통증을

겪고 병원을 갔던 적이 있었는데 그때 병원에서는

무지외반증이라고 이야기를 했었다.


하지만 원인은 이 종자골 이분증이었음을.....





부주상골증후군

- 주상골의 내측에 발생하여 부주상골이라고 불린다. 부주상골은 상염색체 우성으로 유전되며 불규칙하게

생긴다. 전체인구의 2~14%에서 존재한다고 알려져 있다. 발생하는 원인 부주상골 돌출부와 신발과의 마찰

발의 과사용, 외상, 석회화 등이 알려져 있다.



나는 이것 또한 선천적인 걸까.... 후천적인 걸까....


엄지발가락 쪽 통증 외에 저 위치에 통증이

발생하면서 발바닥 전체에 불타는 듯한 느낌이

들면서 정말 아팠던 적이 있었는데


그 원인이 부주상골증후군이었음을.....





요족

- 발등이 정상보다 높이 올라오는 상태를 의미합니다. 즉, 발바닥의 아치가 높아서 옆에서 보면 발바닥이

위로 볼록하게 올라간 상태를 말합니다. 아치가 높아 체중이 발바닥 골고루 분산되지 못하고 발 뒤꿈치와

발 앞쪽에 쏠려 여러 가지 증상이 나타납니다.


요족.png





내 발은 왜 이렇게 이상하게 생겼지? 근데 나는 왜 이제 알았지?

도대체 나는 이 발을 가지고 어떻게 다녔던 걸까......


이렇게 내 발에 대해 알게 되어 이제라도 감사하지만

제일 큰 이슈, 3일 아르바이트했는데

하루 일당보다 더 많이 나온 병원비에 대하여

오래간만에 반깁스도 하게 되고, 좋은 경험이야


정말 웃긴 건 의사 선생님이 엑스레이를 보면서 환자분이 알아야 될 사실이 있어요 라면서 말해주는데


하나 끝나고, 또 있다고 또 말해주고

설명하고 또 있다며 말해주고

마지막으로 또 있다며 말해주고


중간에 내가 듣다가 "이제.... 끝났나요? " 했는데

의사 선생님이 마지막으로 또 있다면서 웃참하면서 말해줬다.

선생님이 행복하다면 저는 그걸로 만족할게요.....


의사 선생님이랑 절친된 느낌, 발이 아프면 계속 주기적으로 와서 물리치료를 받으라고 했다.


앞으로 아르바이트도 골라서 해야 된다는 좋은 교훈을 얻었다

keyword
이전 08화내 첫 단기 아르바이트