[임신 7주차] 아기의 쿵쾅쿵쾅 심장소리를 듣다

입덧 쉽지 않네 + 남편 고맙고 사랑해

by 리틀스타

임신 7주차 증상

아기의 존재를 임신 테스트기를 통해 알게 된 약 5주차부터 7주차까지의 증상은 이렇다.


* 잠 : 갑자기 너무 졸려서 저녁 8시에 잠들곤 했다 (보통 나는 11시반쯤 잠을 잔다)

* 아랫배 : 아랫배가 쿡쿡 쑤신다. 얇고 뾰족한 바늘로 쿡쿡 누르는 느낌이 든다.

* 골반 : 골반이 굳은 느낌이다. 아침마다 스트레칭을 하고 있었는데 골반쪽이 확실히 뻣뻣해진 느낌이 들었다. 매일 하던 고양이 자세를 하기 위해 허리를 바닥쪽으로 쭉 내리려는데 배가 너무 땡겨서 못 내렸다. 몸이 정말 달라지고 있다!

* 추위 : 춥다!!! 춥다 추워. 나는 더위를 많이 타는데 임신을 하고 나서는 추워서 샤워하는 것도 두려웠다ㅎㅎ 그래서 2주간 남편에게 좀 미안했다……… 자주 못씻어서 (ㅋㅋㅋ)

* 공복 : 공복이 무서워! 특히 아침에 일어나서 빈속 상태일 때는 토할 것 같다.

* 양치질 : 양치질을 하다가 구역질을 하기 시작했다.

* 아침이 힘들어 : 아침에 기운이 없어서 일어나기 너무 힘들다. 원래 모닝콜 들으면 바로 일어나는데, 다른 건 몰라도 남편에게 뭐라도 챙겨주는데 일어날 수가 없었다.

* 입덧 : 무엇보다 6주차부터 본격적으로 입덧이 찾아왔다. 하루 종일 배멀미 하는 기분이다. 냄새에 굉장히 민감해지고 속이 울렁거렸다. 냉장고 열어서 물건 바로 안 꺼내고 뭐있는지 확인하면서 시간 끄는 남편이 밉기까지……… 미안했다 사랑해용 :D





아침마다 아기에게 말을 걸어보고 있다


‘정말 우리 집에 아기가 찾아온다는 건 어떤 기분일까? 어떤 변화를 겪게 될까? 상상이 안된다! 오빠와 나만 둘이 살던 이 집에 아기라는 새 생명이 우리에게 찾아올까? 아직 엄마가 될 준비가 안됐는데 나의 부족함 때문에 아기에게 안 좋은 영향을 주면 어쩌지? 올해 일은 잘 해낼 수 있을까?’


입덧이 견디기 힘들었어서 임신 초반 아기가 찾아와 준 것에 대한 기쁨을 많이 표현해주지 못했다. 그래도 우리집에 아기가 찾아 와준다면 아주아주 아주아주 기쁨이 넘칠 것 같다. 내가 너무도 좋아하고, 아끼고, 사랑하고, 존경하는 우리 오빠랑 만든 아기가 오빠의 모습을 하고 세상에 나올 것을 생각하니 정말 기대가 된다. 오빠와 나의 예쁘고 좋은 점만 닮은 아기 였으면 좋겠다고 소원해본다. 하핫.. (ㅎㅎㅎ) 정말 정말 많이 사랑해주고 싶다. 사랑을 듬뿍 듬뿍 퍼부어 주고, 세상의 온갖 좋은 것들을 모두 경험하게 해주고 싶다.


"아가야 아가야 뱃속에서 건강하게만 자라줘. 내가 많이 노력할게!"


배를 쓰담으면서 거울을 보고 이런 말을 하고 있는 내 자신이 너무 재미있었다. 믿기지가 않아서 웃음도 나고. (24주차인 지금도 믿기지가 않는다)


지금 이 글을 쓰면서 아기에게 또 이야기 해 본다. 이런 이야기는 끊임없이 또 해줘야지.


"아가야 아가야 건강하게만 자라줘.

너가 우리집에 와줘서 엄마랑 아빠는 얼마나 고마운지 몰라. 고마워! 너를 환영해!

너가 건강하게 자랄 수 있도록 내가 좋은 생각, 신나는 생각 많이 할게.

그리고 건강한 음식도 잘 챙겨 먹을게!

그러니까 너는 뱃속에서 건강하게만 자라줘!"


오빠의 예쁜 눈을 가졌으면 좋겠다! (이와중에 ㅎㅎㅎ)





무얼 먹어야 할지 몰라 내가 좋아하는 것 먼저 먹어봤어.


오늘 아침은, 점심은, 저녁은 무얼 먹을지 정하는 일이 하루 일과의 아주 큰 일이 되었다. 원래 아침은 먹지 않고 살아왔는데 아기가 생기니 아침 공복이 그렇게나 견디기 힘들었다. 아침에 무언갈 먹지 않으면 속이 울렁거리고, 토가 나올 것 같고, 식은 땀이 흘렀다.


일단 내가 좋아하는 음식 위주로 먹기를 시도해봤는데..! 문제는 그 자리에서는 꾸역꾸역 다 먹긴 하는데 (ㅋㅋㅋ) 먹고 나면 속이 너무 안좋아진다는 것이다.


입덧이 심해진 첫 날, 가장 먼저 먹어본 음식은 내가 제일 좋아하는 떡볶이였다. 떡볶이를 먹으러 몰에 갔는데, 입구에서부터 시작된 엄청난 향수 냄새들에 정신을 못차렸다. 정신이 혼미해져… 이때부터 식은 땀이 나기 시작했고, 떡볶이가 나오자마자 내가 좋아하는 대파를 한껏 물었더니, ‘아 이거 더이상 못먹겠다’ 싶었다. 그런데 떡볶이, 튀김까지 일단 다 먹었음. (이후로 입덧 기간 동안 떡볶이는 입에 대지도 않았다)


다음 날에는 남편이 내가 좋아하는 삼겹살 집에 데려갔는데 입 안에 남는 고기 냄새가 견디기 힘들었다. 그렇지만, 고기와 볶음밥! 또 다 잘 먹어버렸다. 뭐지.. 진짜 힘들었는데 막상 눈 앞에 있으면 다 먹어 치우네… (다 먹어버리겠어ㅎㅎㅎ)


그래도 이때는 이렇게 거하게 잘 먹었는데! (ㅎㅎㅎ) 이후부터는 샌드위치로 아기를 키우게 된다는......


KakaoTalk_20230530_145132854.jpg?type=w1
KakaoTalk_20230530_145132854_01.jpg?type=w1
KakaoTalk_20230530_145132854_02.jpg?type=w1
KakaoTalk_20230530_145132854_03.jpg?type=w1


밥을 먹을 땐 괜찮은데 먹고 나면 속이 울렁거려서 이렇게 상큼한 걸 입에 물고 있으니 조금 괜찮아졌다. 자연드림에서 종류별로 구입했는데, 파인애플 맛이 그나마 괜찮았다!

KakaoTalk_20230530_150059393.jpg?type=w1
KakaoTalk_20230530_145132854_04.jpg?type=w1
맹물은 못마시겠다고 하니 남편이 사다준 보리차 잔뜩과 음료들! 그리고 자연드림 아이스크림 종류별로 일단 사봤다.. 근데 사두고 결국 안먹었다





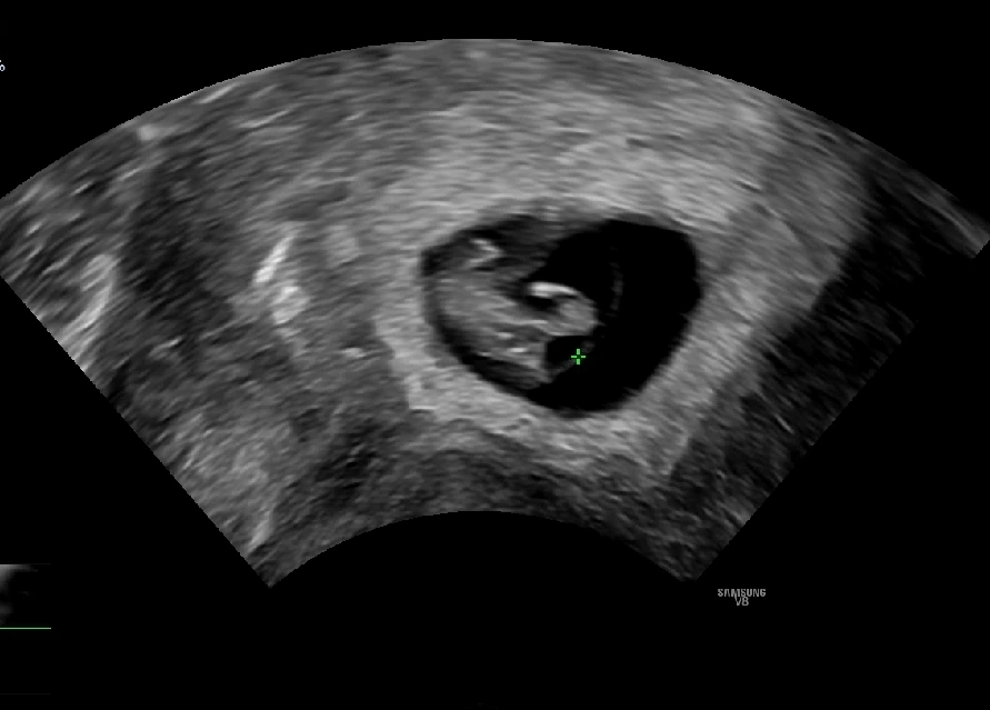
엄마, 나는 여기 잘 있어요!


오빠와 사이좋게 손잡고 병원에 갔다. 오늘은 아기의 심장소리를 들을 수 있다고 선생님께서 말씀하셨다. 지난 번에 작은 점이었던 아기였는데, 오늘은 무언가 많은 것들이 생겼다 (?) #임신7주차초음파 아직 사람의 형태를 갖추고 있지는 않지만 꼬리같은 것도 보이고, 외계인 같기도 하다. (ㅎㅎㅎ)


남편이랑 나는 심장소리를 듣고 너무너무 신기했는데 동시에 너무도 얼떨떨했다. 심장 소리를 들을 때 살짝 울컥하긴 했는데 스멀스멀 올라고 있는 입덧으로 나는 기운이 많이 떨어진 상태였고, 평소에 입던 바지가 답답해서 배가 조여오는 불편함 등으로 컨디션이 좋지 않았다. 우리 서로 아기 심장소리를 듣고 마음은 참 기뻤는데 내가 컨디션이 안좋아서 남편도 나를 걱정하느랴 아기에 대한 기쁨을 온전히 느끼지 못했다.


KakaoTalk_20230530_142435314_01.jpg?type=w1
KakaoTalk_20230530_142435314.jpg?type=w1
임신7주차 초음파 & 심장소리






남편! 우리 우정 뽀에버!


연애 시절, 남편이 아팠을 때는 먼 미래를 생각하지 않았다.


아프다는 사실을 알았을 때는 단지 '오늘 지금 여기에' 내 옆에 있어주었으면 좋겠다고 생각했고, 정기검진을 받을 때면 다음 정기검진까지 6개월 간 아프지 않고 건강하고 신나게 지내면 된다고 생각했다. 그 기간이 1년으로 늘어났을 때에도 1년이라는 시간이 우리에게 생겼으니 더 잘해주어야 겠다 생각했다. 그러다가 결혼을 하고 매일매일 보고 있으니 자연스럽게 먼 미래, 하얀 머리로 온통 뒤덮인 서로의 모습을 상상해본다. 그러면서 남편은 이렇게 말한다.


"우리 졍이 할머니 되어서도 삐치면 어떡해? ^^"


KakaoTalk_20230530_151054237_01.jpg?type=w1
KakaoTalk_20230530_151054237.jpg?type=w1
지금으로부터 8년 전에도 삐쳐있는 내 모습. 나는 삐치면 이런 모습이구나... 이걸 또 찍는 남편은 뭐지 ^^ 삐쳐있는 모습을 찍어둔 게 한 두 장이 아님..

하하하.. 그래, 내가 그 동안 많은 시간 남편에게 삐친 것을 인정한다. (물론, 지금도..) 그럼 나는 남편에게 이렇게 받아친다.


"우리 오빠 할아버지 되서도 하루에 택배 5개씩 오면 어떡해? ^^"


이렇게 이제는 웃으면서 우리의 먼 미래를 자주 이야기하게 됐고, 아기를 준비하면서부터는 구체적인 미래를 생각하게 되었다. '아기 침대는 어디에 두지? 아기 생기면 벽에 낙서하겠지? 도화지를 붙여놔야 하나? (ㅎㅎㅎ)"


이런 이야기를 나눌 수 있는 '지금 오늘'을 선물로 받아서 참 감사하고 행복하다. 이십대 초반에 만난 우리가 지금껏 자기 자신과 둘만 알고 지내오다가 우리만을 의지하며 자라나게 될 아기가 태어난다고 하니가 너무도 신기하고 우리의 존재를 마음껏 응원해주고 싶다. 남편, 나, 우리 아가, 우리 셋 화이팅! 지금까지 어려운 일도 많았지만 잘 이겨내서 지금까지 서로 소중하게 지내온 것처럼 앞으로의 10개월도 잘 부탁합니다. 내가 더 잘 할게 ★


%E3%85%87%E3%84%B9.jpg?type=w1 11년 전 우리 모습 ㅎㅎ 앞으로도 사이 좋게 지내자!! 우리 우정 뽀에버!!


매거진의 이전글[임신 6주차] 할아버지 할머니 되실 준비 되셨나yo?