[임신8-15주차] 입덧기간요약: 샌드위치,토마토,축구

by 리틀스타

임신 8-15주차는 나의 사라져버린 시간.


그 잃어버린 시간을 찾아 보려 핸드폰 카메라를 뒤적였지만 기억이 없다. 사진도 없다. 기억이 나가버린 걸까 내가 이 세상에 없었던 걸까 (ㅋㅋㅋ) 무려 7주의 시간을 한방에 퉁쳐버린 이유는 (블로그 쓰기 귀찮아서가 아니고) 입덧 기간 동안 기운 없이 넋나간 상태로 살았기 때문이다! (ㅋㅋㅋ) 핸드폰에 저장된 사진도 없다… 그저 남편이 찍어둔, 이불 덮고 머리에 떡진 채 샌드위치를 먹거나 토마토를 먹거나 축구를 보는 내 모습이 전부… (세상에 살아 있긴 있었구나)


호르몬 영향으로 우울했고, 웃음을 잃었고, 호르몬스터가 되어 남편을 구박했고, 이제 내 인생은 끝났다며 남편 앞에서 엉엉 (아니, 흐어어어엉 흐어어엉) 울었으며, 그렇게… 이불을 덮고 찬양을 듣다 가끔 눈물을 흘리며… 누워 지냈다!! (ㅋㅋㅋ)


20230316_110510.jpg?type=w1
20230302_210941.jpg?type=w1
20230606_225416.jpg?type=w1
나의 입덧 기간 요약 : 샌드위치, 토마토, 축구




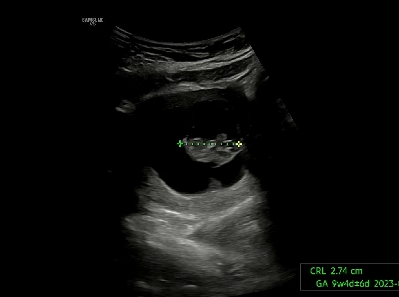
임신 9주차 초음파 (2023. 2. 11)


9주차에도 사이좋게 남편이랑 초음파를 보고 왔다! 초음파 속 사진이 뭐가 무엇인지 정확하게 잘은 모르지만 (ㅎㅎㅎ) 그저 신기해.

9.jpg?type=w1
9-1.jpg?type=w1
임신9주차 초음파


병원 갔다가 무얼 먹을까하다가 갑자기 생각난 국밥 한그릇! 부모님이 보내주신 망고와 천혜향! 원래 있으면 다 먹는데 입덧으로 호불호가 심해져서 천혜향은 하나도 먹지 않고 사람들에게 나눠드렸다. 친구들도 망고와 한라봉을 한가득 보내주었다. 진심으로 너무 고마워서 잊혀지지가 않네. (ㅎㅎㅎ) 그날 밤, 남편이랑 소화시킬 겸 밤 산책을 했다.


KakaoTalk_20230530_172214517.jpg?type=w1
KakaoTalk_20230530_172214517_01.jpg?type=w1
KakaoTalk_20230530_172214517_02.jpg?type=w1



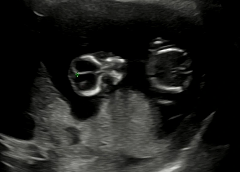
임신 12주차 초음파


임신 12주차 초음파 사진! 이때부터 내가 아는 사람의 모습을 한 형태가 보이기 시작했다.ㅎㅎ 너무너무 신기해! 이때까지만 해도 딸이든 아들이든 상관없다고, 다 감사하다고 생각했는데 점점 딸일지 아들일지 궁금해지기 시작했다. 굳이 굳이 성별을 뽑아보자면 나는 아들, 남편은 딸을 선택해보았다.

12.jpg?type=w1
12-1.jpg?type=w1
임신 12주차 초음파




입덧 피크 기간 동안, 아기를 키워준 음식 : 샌드위치, 샌드위치, 샌드위치..


입덧 기간 동안 무얼 먹어야 할지 고민하느랴 하루에도 얼마나 진땀을 뺐는지! 다른 사람들이 블로그에 써둔 임신 기록들을 보면서 그때 그때 땡기는 걸 시도해봤는데 나에게는 그나마 딱 맞는 음식이 샌드위치였다. 입덧이 정말 정말 심했던 2주 정도는 거의 파리바게트 샌드위치(꼭 파리바게트여야 했다)와 뉴케어를 매일 먹었다.


KakaoTalk_20230530_164130928.jpg?type=w1
KakaoTalk_20230530_152058171_05.jpg?type=w1
속이 너무 안 좋아서 주저 앉은 날 (ㅎㅎㅎ)

지금도 기억에 남는 그날 저녁.


속이 너무 안좋아서 저녁도 먹고 싶지 않아 헛구역질을 하고 눈물을 쏟았던 날이다. 울면서도 이 날이 기념이 될 것 같아서 발을 찍었다. 이런 내 모습을 본 남편은 어찌할 줄 몰라하며 일단 뭐라도 사보겠다며 마트에 다녀왔다. 그래놀라, 요플레, 블루베리, 보리강정, 새우과자를 사다주었다(ㅋㅋㅋ) 엄마가 생각나서 펑펑 울었다. 아마도 입덧 피크 기간 동안 호르몬도 피크!!!


"나는 몬스터다!!! 남편을 괴롭힐테야!!!" 라고 작정이라도 했는지 남편에게 시비를 걸다가, 어느 날은 말도 안하고 누워만 있고, 누워서 혼자 찬양 듣다 눈물을 또르르 흘리는... 그런 호르몬스터였다!! (ㅋㅋㅋ) 미안해 고마워 사랑합니다… ㅎㅎ


KakaoTalk_20230530_161749389_05.jpg?type=w1
KakaoTalk_20230530_152058171_07.jpg?type=w1
서브웨이는 한 번 먹고 먹지 않았다. 여기만의 미국? 냄새가 나... 파리바게트 샌드위치를 연속으로 계속 먹었다. 뉴케어 누룽지맛도!!
KakaoTalk_20230530_161921292_01.jpg?type=w1
KakaoTalk_20230530_161921292_03.jpg?type=w1
KakaoTalk_20230530_161921292_02.jpg?type=w1
샌드위치 맛집 발견!!

이 샌드위치를 처음 맛본 날을 생생하게 기억한다. 집 앞에 있는 브런치 가게 였는데 이전에 한 번도 방문해보지 않았다. 브런치는 양도 너무 적고 가성비가 떨어진다는 선입견을 갖고 살던 나는 이곳에 한 번도 발을 딛지 않다가, 뱃속의 아기와 함께 매일 출근을 하기 시작한다. 이 브런치 집은 예쁘게 꾸며져 있어서 손님들도 예쁘게 꾸미고 친구들과 천천히 수다를 나누며 먹는 곳인데 나는 혼자 거무튀튀한 얼굴로 찾아가서 한 그릇을 싹싹 비우고 다녔다. 가격이 꽤나 있었지만 너무 너무 맛있어서 참을 수 없었다. 주구장창 갔다. 주구장창!! 이곳의 이름은 #바라던바


“이렇게 맛있는 샌드위치를 먹게 해주셔서 감사합니다” 하고 하나님께 감사했고, 마음껏 먹을 수 있게 돈을 제공해주신 남편과 부모님께 감사했다. (ㅎㅎㅎ)


#바라던바 에서 상당량의 샌드위치를 먹어 치웠을 때쯤, 내 입덧도 점차 사그라 들기 시작했다. 그리고! 나는 샌드위치 기계를 집에 사들였다. 직접 만들어 먹을 수 있을 정도로 기운도 생기고 냄새를 견딜 수 있는, 입덧 후반기가 찾아왔다. (이것은 지금도 대만족인 아이템이다!)


KakaoTalk_20230530_161816489_02.jpg?type=w1
KakaoTalk_20230530_161816489_01.jpg?type=w1

동네에 아주 맛있는 식빵과 치아바타 집이 있어서 거기에서 빵을 조달하고 나머지는 좋아하는 걸로 가득채웠다.

KakaoTalk_20230530_162227075_04.jpg?type=w1
KakaoTalk_20230530_162227075_05.jpg?type=w1
KakaoTalk_20230530_162227075_06.jpg?type=w1
KakaoTalk_20230530_162227075_09.jpg?type=w1
KakaoTalk_20230530_162227075_15.jpg?type=w1
KakaoTalk_20230530_162227075_14.jpg?type=w1
KakaoTalk_20230530_162227075_17.jpg?type=w1


집앞에 맛있는 식빵과 치아바타를 파는 빵집이 있어서 그곳에서 빵을 사고 내가 좋아하는 것으로 샌드위치를 채워넣기 시작했다. 특히, 야채는 루꼴라!! 무조건 내 입맛에는 루꼴라!! 샌드위치의 향과 품격을 높여준다고나 할까 … (ㅋㅋㅋㅋ)




돌고 돌아 토마토! 그래 너로 정했다.


원래 과일을 별로 먹지 않았는데 아기가 생기고 나서 한 5년치 과일은 다 먹는 것 같다. 망고, 키위, 딸기, 블루베리, 참외, 수박... 모두 모두 맛있게 감사한 마음으로 먹어 치웠다 ^^ 그리고, 돌고 돌아… 먹기 제일 속이 편하고 부담 안되고 맛있는 것은 토마토였다.

KakaoTalk_20230530_152058171_12.jpg?type=w1
KakaoTalk_20230530_162227075_01.jpg?type=w1
KakaoTalk_20230530_152058171_11.jpg?type=w1


망고를 보면 생각나는 입덧 에피소드.


한 3주 정도는 1일 1망고 했다. 그러던 어느 주말 아침, 일단 배가 너무 고파서 힘들었기에 망고 하나를 먹고, 남편과 빠르게 옷만 챙겨 입고 차를 타고 김치찌개를 사먹으러 나가는 중이었다. 맛있는 곳이라기에 한 20분 정도 차를 타고 이동했는데 웬걸.. 꼬불꼬불 길에 가속방지턱이 왜이렇게 많았는지 (ㅋㅋㅋ) 나는 점점 눈을 감았고 눈물이 또르르 흐르기 시작했고, 남편은 또 다시 어찌할 줄을 몰라 빨리 간다고 가는대도 가속방지턱을 조심하느랴 속도는 느릿느릿 차는 쿵쾅쿵쾅… 식은땀이 줄줄 흐르는 모습이었다. 드디어, 가게에 도착해서 주차를 하자마자 나는 차문을 열고 나가 길거리에서 냅다 오바이트를 해버렸다. 아침에 먹은 노오란 망고가 그대로 나왔고, 내가 치운다고 고집부리다가 남편이 다 치우고 가게에 들어가 김치찌개를 먹은 날이 생각난다. 이젠 남편이 토까지 치우네… ^^;; 이후로 망고는 입에 대지도 않았다. 망고 안녕.... ★


KakaoTalk_20230530_162227075_19.jpg?type=w1
KakaoTalk_20230530_162227075_20.jpg?type=w1
수박이 이렇게 맛있었나? 후.. 하지만 적당히 먹어야지.


KakaoTalk_20230530_162227075_16.jpg?type=w1
KakaoTalk_20230530_162227075_18.jpg?type=w1
KakaoTalk_20230530_161921292_04.jpg?type=w1
돌고 돌아 도마도!


이렇게 예쁘게 담아서 먹은 날은 딱 이 날이 전부이고 거의 썰기와 동시에 우걱 우걱 먹었다. ㅎㅎ 토마토에도 종류가 많다는 것을 이번에 알게 되었는데, 나는 단연코 짭짤이 토마토! 짭짤이 토마토가 가장 맛있었다. 가운데에 초록기운을 가득 머금고 있는 토마토야 말로 진정한 짭짤이다!



내 친구 축구 축구는 내 친구


나는 남편과 결혼하면서 대전에 내려와 살고 있다. 서로에게 아는 이라고는 서로 뿐. 외로운 타지 생활 속에 축구는 우리에게 크나 큰 빅 빅 재미였다.우리 둘은 축구를 그렇게 열심히 보며 열렬히 대전을 응원했고, 대전은 8년 만에 1부 리그로 승격까지 했다. 심지어 1부 리그에 올라가고 나서 대전이 매 경기마다 좋은 기록을 세우고 있어서 스포트라이트를 받고 있는 상황.


이기고 지고를 떠나서 나는 축구의 재미를 알았다. 그전에는 축구도 모르고 골 넣는 사람만 잘하는 건 줄 알았는데 남편이 옆에서 축구를 알려주니 좋아하는 선수도 생기고, 경기에서 어떤 선수가 잘하는 것인지 보이기 시작했다. 그전에는 골만 넣으면 잘하는 것이 축구인 줄 알았는데, 골로 이어지도록 경기를 풀어나간 선수의 플레이가 눈에 보이기 시작했다. 한 명의 패스로 경기가 풀릴 때의 재미를 알게 되었고, 이제는 꽤나 많은 축구 선수들의 이름과 얼굴을 알게 되었다. 취미 하나 늘었을 뿐인데 삶의 재미가 더해진 기분!


입덧으로 기운 없이 이불 뒤집어쓰고 누워있던 주말, 축구는 나의 아주 아주 큰 낛이었다. 거실에 누워 1시부터 6시까지 연속으로 축구만 본 날도 있다. (ㅋㅋㅋㅋ)


KakaoTalk_20230530_164443229_01.jpg?type=w1
KakaoTalk_20230530_164443229_10.jpg?type=w1
KakaoTalk_20230530_164443229_02.jpg?type=w1


축구가 너무 좋아진 남편과 나는 응원을 하러 원정을 떠났고, 덕분에 가보지 못한 도시를 여행하기 시작했다.


KakaoTalk_20230530_180808795.jpg?type=w1

22주차에 떠난 제주도 태교여행에서도 축구보는 우리. (ㅋㅋㅋ) 우리 입맛과 취향에 쏙 맞는 곳에서 맛있는 요리를 정말정말 많이 시켜 먹으며 축구와 함께 꿀같은 시간을 보냈다. 얼른 블로그 글 써서 행복한 임산부라 스스로를 칭하고 있는 임신 중기, 24주차까지 다가 왔으면 좋겠네!!ㅋㅋㅋ

keyword
매거진의 이전글[임신 7주차] 아기의 쿵쾅쿵쾅 심장소리를 듣다