brunch

뇌졸중 MRI 검사 병원 <방법> 찾고 계신가요?

당장 가까운 신경과로 달려가야 하는 이유

by 콕 선생님

퇴근 30분 전이었습니다.

진료실 문을 열고 들어오신

50대 중반 남성 환자분의 첫인상이 아직도 선명합니다.



우측 팔을 살짝 감싸 쥐고 계셨고,

목을 조심스럽게 움직이시는 모습이 영락없는 '목디스크 환자'였거든요.



실제로 이미 종합병원에서 MRI도 찍으셨고,

목디스크 진단도 받으신 상태였습니다.



그런데...



안녕하세요.

갑작스럽게 찾아온 뇌졸중으로 인해 말이 어눌해지고

손발에 힘이 빠져, 어제와는 전혀 다른 일상을 맞이하게 된 환자분들을

종종 만나고 있습니다.



그 순간 환자와 가족분들이 느끼는 두려움과 막막함이

얼마나 큰지 누구보다 잘 알기에,

저는 작은 신호 하나라도 놓치지 않고

원인을 정확히 찾아내는 데 집중하고 있습니다.



콕통증의학과 신경과 전문의 조성호입니다.



그림12.png



대학병원에서 수련 받을 때는 응급실 뇌졸중 환자를 매일같이 봤지만,

이렇게 병원에 근무하게 된 후에는 '예정된 진료'만 보게 될 줄 알았습니다…



그런데 의외로 외래에서도 뇌졸중을 마주하는 순간들이 있더라고요.

오늘은 그중 가장 기억에 남는,

그리고 정말 다행이었던 한 환자분 이야기를 들려드리려 합니다.



목디스크인 줄 알았는데…



환자분은 우측 팔 저림과 목 통증 때문에 이미 큰 병원에서 MRI를 찍으셨고,

목디스크가 있다는 진단을 받으셨습니다.



그래서 주사 치료를 받으려고 지인 소개로 저희 콕통증의학과를 찾아오신 거였죠.



사실 이런 케이스는 하루에도 수십 분씩 오십니다.


목디스크 → 팔 저림 → 주사 치료



당연하게도 통증의학과에서 진단 보시던 환자분이었기에,

저는 차트만 확인하고 넘기려고 하였습니다.



사건은 그때 일어났죠.

통증의학과 원장님께서 갑자기 제게 연락을 주셨습니다.



"조 원장님, 환자분 좀 같이 봐주실 수 있을까요? 뭔가 이상해서요."



진료실에 들어오신 환자분과 인사를 나누는데,

원장님께서 왜 저를 부르셨는지 바로 알 수 있었습니다.



그림13.jpg



환자분이 증상을 설명하시는데 말이 약간... 어눌하셨거든요.

발음이 정확하지 않고, 혀가 꼬이는 듯한 느낌.



목디스크로는 설명이 안 되는 증상이었습니다.



"언제부터 말하기가 불편하셨어요?"

"아... 아침부터요. 그냥 피곤해서 그런가 했는데..."



그 순간 머릿속에서 경보음이 울렸습니다.



우측 팔 저림 + 구음 장애(말이 어눌함) = 좌측 뇌 문제 가능성



뇌졸중은 시간과의 싸움입니다.



증상 발생 후 4.5시간 이내에 치료를 시작해야 하는데,

이걸 '골든타임'이라고 부르죠.



문제는 뇌졸중 증상이 생각보다 모호하다는 겁니다.



✔️ 어지럽다 → 그냥 빈혈인가?

✔️ 팔다리 힘이 빠진다 → 목디스크 때문인가?

✔️ 말이 어눌하다 → 피곤해서 그런가?



이렇게 생각하다가 골든타임을 놓치는 경우가 정말 많습니다.



실제로 이 환자분도 아침부터 증상이 있었는데,

본인도 가족도 뇌졸중이라고는 전혀 생각 못 하셨던 거죠.



당일 뇌 MRI를 통해 원인을 파악하다



"지금 당장 뇌 MRI 찍어봐야 할 것 같습니다."



다행히 저희 병원은 신경과와 통증의학과, 재활의학과가 함께 있고

MRI 장비도 있어서 당일 검사가 가능했습니다.



만약 MRI가 없는 병원이었다면?



다른 병원 예약 잡고 → 며칠 기다리고 → 그사이에 증상 악화되고...



생각만 해도 아찔합니다 ㅜㅜ



환자분은 약간 당황하신 표정이었지만 바로 검사실로 이동하셨고,

30분 뒤 결과가 나왔습니다.



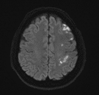
좌측 뇌에 급성 뇌졸중(뇌경색) 소견.


그림14.png

<Fig1.좌측 급성 뇌경색으로 진단된 뇌 mri 검사>



솔직히 말씀드리면, 3차 병원 신경과에서도

환자가 척추 진료만 받으러 오면 뇌 문제를 놓치는 경우가 있습니다.



각 과가 완전히 분리되어 있으니까요.



정형외과 가면 → 척추만 보고

신경외과 가면 → 수술 필요한지만 보고

통증의학과 가면 → 주사 놓을 부위만 보고



그런데 저희처럼 통증, 재활, 신경과가 한 건물에서

협진하는 구조에서는 이런 일이 가능합니다.



통증의학과 선생님이 "뭔가 이상하다" 싶으면 바로 신경과로 연결되고,

당일 뇌 MRI 검사까지 이어지는 거죠.



실제로 원장님께서 환자분께 SI(초음파유도하)주사치료도 해드리면서

동시에 저한테 협진을 요청해 주신 덕분에 빠르게 진단이 가능했습니다.



뇌졸중이 확인된 순간,

저는 바로 분당서울대병원 응급실에 연락했습니다.



환자분과 보호자분께 상황을 설명드리고, 바로 119를 불렀습니다.

응급실까지는 차로 10분 거리.



다행히 아직 골든타임 내였습니다.



그림15.jpg



환자분을 구급차에 태워 보내드리면서 원장님과 눈이 마주쳤는데,

서로 한숨을 푹 내쉬었던 기억이 납니다;;



정말 아슬아슬했거든요.

만약 그냥 주사만 놓고 집에 보내드렸다면...



이 사례 이후로 저는 환자분들께 이렇게 설명드립니다.

뇌졸중 MRI 검사는 '의심될 때' 바로 받아야 한다고요.



며칠 지켜보자, 일단 쉬어보자, 이러다가 골든타임 놓칩니다.



특히 이런 증상들이 갑자기 나타났다면 무조건 의심해야 합니다



1️⃣ 한쪽 팔다리에 갑자기 힘이 빠진다

2️⃣ 말이 어눌해지거나 상대방 말을 이해하기 어렵다

3️⃣ 한쪽 시야가 갑자기 안 보이거나 물체가 두 개로 보인다

4️⃣ 어지럽고 중심을 잡기 어렵다

5️⃣ 갑자기 심한 두통이 온다



뇌졸중 검사 방법, 뭐가 다를까요



환자분들이 자주 물어보시는 게 있습니다.



"CT랑 MRI 중에 뭘 찍어야 하나요?"



결론부터 말씀드리면, 급성 뇌경색은 MRI가 훨씬 정확합니다.

CT는 뇌출혈은 잘 보이는데, 초기 뇌경색은 안 보이는 경우가 많거든요.



실제로 이 환자분도 MRI를 찍었기 때문에

경색 부위를 명확하게 확인할 수 있었습니다.



뇌졸중 검사 병원을 선택하실 때 이런 부분을 확인해보시면 좋습니다



✅ 당일 뇌 MRI 검사가 가능한가?

✅ 신경과 전문의가 직접 판독하는가?

✅ 응급 상황 시 3차 병원과 협력 체계가 되어 있는가?



그림16.png



그 후 이야기


환자분은 분당서울대병원에서 적절한 치료를 받으셨고,

다행히 큰 후유증 없이 회복 단계에 들어가셨습니다.



며칠 후 퇴원하시고 저희 병원에 다시 오셨을 때,

말씀도 훨씬 또렷해지셨고 팔 저림도 많이 좋아지셨더라고요.



목디스크는 원장님께 주사 치료를 받으시면서 함께 관리하고 계십니다.



"원장님, 그때 말 어눌한 거 캐치해주셔서 정말 감사합니다.

저는 진짜 몰랐어요."



환자분이 건네주신 이 한마디가 제 마음에 오래 남았습니다.



"이게 목 때문인지, 어깨 때문인지, 아니면 다른 문제인지 모르겠어요."



이런 말씀하시는 분들 정말 많습니다.

증상이 애매할수록 어느 병원, 어느 과를 가야 할지 혼란스럽죠.



제 생각엔, 이럴 때일수록 여러 과가 협진하는 시스템이

있는 곳을 찾아가시는 게 도움이 될 것 같습니다.



통증인지, 신경 문제인지, 재활이 필요한지를 한 곳에서

종합적으로 판단받을 수 있으니까요.



그리고 당일 정밀검사가 가능한지도 확인해보세요.



"일단 일주일 뒤에 MRI 예약 잡아드릴게요"

하면 그사이에 증상이 악화될 수 있습니다.



그림17.jpg [항상 환자분들이 웃는 얼굴로 돌아갈 수 있도록 노력하고 있습니다. 잘 부탁드리겠습니다.]



이 글을 쓰는 지금도, 그날 오후 5시 30분이 생생합니다.



30분만 늦게 오셨어도,

원장님이 제게 연락 안 하셨어도,

당일 MRI가 안 됐어도...

결과는 완전히 달라졌을 겁니다.



의료는 타이밍입니다.



그리고 그 타이밍을 잡아내는 건

결국 경험 많은 의료진의 감각과,

빠르게 움직일 수 있는 시스템이죠.



뇌졸중은 누구에게나 올 수 있습니다.



50대, 60대만의 병이 아니에요.

요즘엔 30~40대 젊은 분들도 종종 오십니다.



혹시 지금 이 글을 읽으시는 분 중에

"오늘 뭔가 이상한데..." 하시는 분 계시다면,

며칠 더 지켜보지 마시고 바로 병원 가보시길 권해드립니다.



특히 말이 어눌해지거나, 한쪽 팔다리 힘이 갑자기 빠지거나,

시야가 이상하다면 더더욱요.



긴 글 읽어주셔서 감사합니다.

조성호 드림




keyword
매거진의 이전글허리디스크 등통증? 수술 후 시작된 왼쪽 등 상부 결림