brunch

머리가 멍한 증상 띵한 느낌 3개월 넘었어요...

병원 가서 <뇌MRI> 10번 찍었다면?

by 콕 선생님


"선생님, 머리가 계속 멍해요. 근데 정확히 어디가 아픈 건지도 모르겠고..."



진료실에서 이런 말씀을 하시는 분들, 정말 많습니다.


머리가 멍한 증상이라는 게 참 애매하죠.



아프다고 하기엔 애매하고, 그렇다고 멀쩡하지도 않고.



마치 머릿속에 솜이 가득 찬 것 같다는 분도 계시고,

머리가 띵한 느낌이 하루 종일 지속된다는 분도 계십니다.



그런데 이게 단순히 피곤해서 그런 거겠거니 하고 넘기기엔...

일상이 너무 힘들어지는 경우가 많아요.



안녕하세요.

매일 아침 진료실 문을 열고

'오늘은 또 어떤 분들의 고민을 들어드릴까' 생각하며 하루를 시작하는,

콕통증의학과 신경과 전문의 조성호입니다.



그림12.png




아무래도 콕이 응급실이 있고… 그런 병원은 아니다 보니,

급성 뇌졸중 같은 응급 환자보다는,

만성적으로 머리가 멍하고 띵하다며

여러 병원을 전전하다 오시는 분들을 더 많이 만나게 됩니다.



오늘은 그중에서도 특히 기억에 남는 한 분의 이야기를 해드리려고 해요.



머리가 띵한 증상과 어지럼증으로 고생하시다



이분은 머리가 계속 멍하고 어지러워서 일상생활이 정말 어려웠다고 하셨어요.

특히 잠을 못 자고 나면 증상이 더 심해져서 하루 종일 고생하셨다고...



74세시다 보니까 당연히 혈압이나 뇌에 문제가 있는 건 아닌가 걱정되셨겠죠.

그래서 대학병원에도 가보셨고, 거기서 주사 치료도 받아보셨대요.



근데 별로 나아지지 않으셨다고 하더라고요.



지인 추천으로 저희 콕병원을 찾아오셨을 때,

분명 놓친 게 있을 거라고 생각해서 더 꼼꼼히 살펴 봤어요.








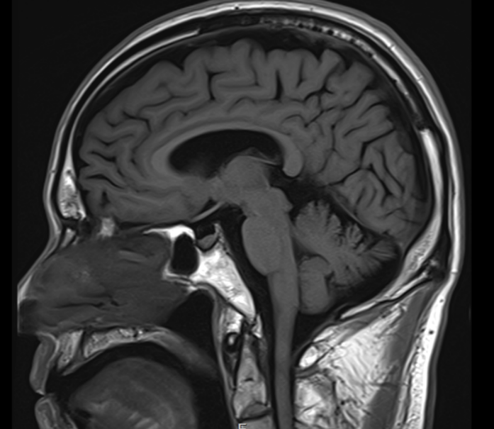
뇌 MRI는 정상인데 왜 이렇게 아플까?



일단 가져오신 뇌 MRI 결과지를 봤는데요.

확실히 뇌졸중이나 뇌종양 같은 심각한 문제는 없었어요.


그림13.png <딱 봐도 이상한 점은 없는 정상 소견의 뇌인 게 보이죠? ^^>




이런 경우 많은 병원에서 그냥

"나이 들면 그럴 수 있어요" 하고 마무리하는 경우가 있는데...



저는 좀 더 파고들어야겠다 싶었습니다.



왜냐면 환자분이 호소하시는 증상이 너무 구체적이었거든요.



✅ 머리가 멍하고 뒷머리까지 아프다

✅ 어지러움이 동반된다

✅ 수면 부족 시 증상이 악화된다



이 패턴을 보는 순간, '이거 목 아닐까?' 하는 생각이 들었어요.



그래서 경추 X-ray를 찍어봤는데...

역시나였습니다 ㅠㅠ

목뼈가 문제였어요.


그림14.png

<Fig 1. 경추 X-Ray>



원래 목뼈는 C자 곡선을 이루어야 정상이에요.



이 곡선이 충격을 흡수하고, 머리 무게를 효율적으로 지탱해주거든요.

근데 이분의 목은 곧게 펴져 있었어요.

거기다 퇴행성 변화까지 심했고요.



'아, 이래서 머리가 어지럽고 멍했구나...'



경추의 변형이나 디스크 탈출, 협착 같은 게 생기면

신경이 자극을 받게 되는데요.

그러면 그 신경이 분포하는 부위에 통증과 어지럼증이 퍼져요.



후두부는 물론이고, 이마, 귀, 턱, 심지어 눈 주변까지도요.

이걸 우리는 '경추성 어지럼증'이라고 부릅니다.



게다가 목 주변 근육이 과긴장되면서 혈류 장애까지 생기니까

머리가 멍한 느낌, 머리가 띵한 증상이 더 심해지는 거죠.



그런데 여기서 끝이 아니었어요



이분은 당뇨도 있으셨거든요.

그래서 혹시나 싶어 자율신경계 검사를 해봤는데...



기립성 저혈압이 확인됐어요.



이게 뭐냐면, 누워있다가 일어설 때 혈압이 제대로 올라가지 않아서

어지럼증이 생기는 거예요.


그림15.jpg [여러 가지 복잡한 질환으로 인해 고통받는 환자분들이 자주 방문하십니다. 환자들에게 웃음을 되찾을 수 있도록 노력하겠습니다.]



결국 이분은 세 가지 문제가 복합적으로 얽혀 있었던 거예요.



1️⃣ 경추 변형으로 인한 신경 자극

2️⃣ 목 주변 근육 과긴장과 혈류 장애

3️⃣ 자율신경계 이상으로 인한 기립성 저혈압



이걸 한 번에 다 잡아야 했어요.

그러니 뇌 MRI만 찍어서는 결과를 알 수 없던 거죠. ㅠㅠ



치료는 어떻게 진행했을까요?



일단 자율신경계 증상을 호전시키기 위한 약물을 처방했어요.



그리고 경추 신경 자극을 완화하고 혈류 개선을 돕는

초음파 유도 주사 치료를 병행했습니다.



사실 이전에도 주사 치료를 받으셨다고 하셨잖아요?

근데 왜 효과가 없었을까요?



제 생각엔... 정확한 위치에

정확한 치료를 하지 못했기 때문인 것 같아요.



뇌만 보고 끝낼 게 아니라,

목과 자율신경까지 종합적으로 봐야 하는데

그 부분이 빠졌던 거죠.



그림16.jpg



초음파로 정확히 신경 위치를 확인하면서

필요한 부위에 정밀하게 약물을 주입했어요.



치료받으신 다음 재진 오셨을 때...

표정부터 달라지셨더라고요.



"선생님, 두통이 진짜 많이 나아졌어요.

그리고 어지러운 것도 예전보다 훨씬 덜해요."



사실 이런 말 들을 때 제일 뿌듯합니다 ㅎㅎ



예전처럼 잠 못 자고 고통에 시달리는 날이 줄어들었고,

덕분에 일상도 훨씬 편안해지셨다고 하셨어요.



이제는 외출할 때도 불안하지 않다고...



머리가 멍한 증상, 단순하게 보면 안 돼요



이 사례를 통해 제가 드리고 싶은 말씀은 이거예요.



머리가 멍한 증상, 머리가 띵한 느낌...

이런 게 그냥 피곤해서 그런 거겠거니 하고 넘기기엔

우리 몸은 생각보다 복잡하게 연결되어 있다는 거죠.



특히 뇌 MRI에서 이상 없다고 나왔다고 해서

"아무 문제 없네요" 하고 끝내면 안 됩니다.



실제로 진료실에서 만나는 분들 중 상당수가

이미 여러 병원을 거쳐 오신 분들이에요.



검사는 다 정상인데 증상은 여전하고...



그러다 보면 혹시 내가 예민한 건가,

내가 이상한 건가 자책하시는 분들도 계세요.



절대 그렇지 않습니다.



그림17.png



사실 요즘 의료 시스템이 그래요.

환자 한 분당 진료 시간이 너무 짧아요.



5분 안에 증상 듣고, 검사 결과 보고, 처방까지 해야 하니까

깊게 들여다볼 시간이 부족한 거죠.



그래서 저는 가능하면 시간을 좀 더 들여서

환자분 말씀을 듣고, 필요한 검사를 추가로 하려고 노력해요.



특히 이런 경우들은 꼭 확인해봐야 해요.



✔️ 목 움직임에 따라 증상이 변하는지

✔️ 특정 자세에서 증상이 악화되는지

✔️ 아침에 일어날 때 특히 심한지

✔️ 어지럼증이 동반되는지

✔️ 수면의 질이 어떤지



이런 세세한 것들이 사실 진단에 엄청 중요한 단서가 됩니다.



그렇다면 언제 병원에 가야 할까요?



머리가 멍한 증상이 있다고 해서 무조건 큰 병은 아니에요.

실제로 대부분은 스트레스나 수면 부족, 긴장성 두통 정도인 경우가 많거든요.



하지만 이런 경우라면 꼭 병원에 오셔야 해요.



1️⃣ 증상이 2주 이상 지속될 때

2️⃣ 점점 심해질 때

3️⃣ 일상생활에 지장이 있을 때

4️⃣ 어지럼증이나 구토가 동반될 때

5️⃣ 시야가 흐려지거나 말이 어눌해질 때



특히 마지막 증상은 뇌졸중일 수 있으니까

즉시 응급실로 가셔야 합니다.



그림18.png


진료실에서 자주 듣는 질문들



"선생님, 머리가 띵한 증상이 스트레스 때문일 수도 있나요?"



네, 당연히 가능해요.

스트레스는 목과 어깨 근육을 긴장시키고,

그게 결국 머리 쪽으로 영향을 미치거든요.

하지만 그게 전부인지, 다른 원인이 숨어있는지는

검사를 해봐야 알 수 있어요.



"MRI까지 찍었는데 이상 없다는데 왜 이렇게 아픈 거죠?"



MRI는 뇌 자체의 구조적 문제를 보는 거예요.

근데 머리 통증의 원인은 뇌만 있는 게 아니라

목, 혈관, 신경, 근육 등등 다양하거든요.

그래서 MRI만으로는 부족할 수 있어요.



"약 먹으면 나아지나요?"



증상과 원인에 따라 다릅니다.

단순 긴장성 두통이라면 약물 치료만으로도 충분할 수 있지만,

경추성 두통처럼 구조적 문제가 있다면

주사 치료나 물리치료를 병행해야 할 수 있어요.



저는 매일 진료실에서 환자분들을 만나면서 느껴요.



우리 몸은 정말 복잡하게 연결되어 있고,

단순히 한 가지 검사나 한 가지 관점으로만 보면

놓치는 게 많다는 걸요.



머리가 멍한 증상, 머리가 띵한 느낌...

이런 애매한 증상들이야말로 더 꼼꼼하게 봐야 해요.



뇌도 보고, 목도 보고, 혈압도 재고,

필요하면 자율신경계까지 체크하고.

그래야 진짜 원인을 찾아서 제대로 치료할 수 있습니다.



그림19.png



만약 여러분도 지금 머리가 멍하고 띵한 증상으로 고생하고 계시다면,

그리고 이미 몇 군데 병원을 가봤는데도 원인을 못 찾으셨다면...



한 번 더 자세히 들여다봐 줄 수 있는 곳을 찾아가보시길 권해드려요.



분명 원인은 있습니다.



그 원인을 찾기 위해 조금 더 시간을 들이고,

조금 더 넓은 시야로 바라보는 게 필요할 뿐이에요.



이 환자분처럼 여러 병원을 전전하다가

결국 원인을 찾고 좋아지신 분들을 볼 때마다

'이래서 의사를 하는구나' 싶어요.



여러분도 꼭 좋아지실 거예요.

포기하지 마세요.



감사합니다.

조성호 드림



keyword
매거진의 이전글잘 때 한쪽 어깨 팔저림 시작됐다면?