brunch

무릎 관절염, 어떻게 치료하면 좋을까?

수술은 가급적 안 하는 게 좋다

by 송무호

무릎 관절염은 전 세계 2억5천만 명 이상이 앓는 질병으로 특히 여성이 남성에 비해 2배 이상 많다. 우리나라에서는 더욱 격차가 벌어져 치료가 필요한 중증 환자 비율은 여성이 3~4배 높으며, X-ray 상 65세 여성 절반이 관절염일 정도로 흔하다. 고령화 사회에 가히 국민병이라 할 수 있다 [1].


한 독자의 사연이다.


“계단을 내려갈 때 따끔따끔 아프기 시작한 60대 여성입니다. 무릎 관절염이 시작된 것 같습니다. 이것저것 자료를 찾아보니 운동을 꼭 해야 하고, 체중조절도 해야 한다고 해서 날마다 1시간씩 운동하고 만보를 걷고 있습니다. 그러다 보니 체중은 조금 줄어들었습니다만, 그래도 마음이 안 놓입니다. 운동만 해도 될까요? 혹시 연골주사 등 관절 마모를 막는 적극적인 치료가 필요한 건 아닐까요?”


이런 유의 질문이 많이 들어온다.


무릎 관절염에 대해 환자들이 궁금해하는 사항들을 모아 보았다.


1. 무릎 관절염에도 운동은 반드시 해야 한다는데, 왜 그런가요?


관절이란 뼈와 뼈가 만나는 부위입니다. 관절은 뼈와 뼈 사이가 부드럽게 움직일 수 있도록 연골, 활막, 인대, 관절낭, 근육 등으로 구성되어 있으며, 인체가 원하는 각종 동작들을 원활하게 할 수 있게 해 줍니다.


관절을 이루는 뼈 말단 부위는 연골(물렁뼈)이라는 완충물질로 덮여 있는데, 신체의 동작에 따라 뼈끼리 부딪칠 때 발생하는 충격을 흡수하는 쿠션 역할을 합니다. 연골은 관절 내에서 활액(관절액)이라는 끈적끈적한 액체에 의해서 윤활 작용을 받게 되는데, 이것은 마치 자동차 엔진의 윤활유와 비슷한 역할입니다.


연골에는 혈관이 없어 관절액에서 직접 영양을 공급받습니다. 따라서 연골은 가만히 있을 때보다 움직일 때 관절액으로부터 영양 공급을 잘 받으며, 관절 주위 인대와 근육도 튼튼해지면서 전체적인 관절 상태가 좋아집니다.


평소에 규칙적인 운동을 하면 관절염을 예방할 수 있습니다. 걷기 운동이 가장 좋습니다. 최근 연구에 의하면 관절염이 있는 50세 이상 성인의 걷기 운동은 관절염 증상을 완화시킬 뿐만 아니라, 관절염 진행 속도를 느리게 해 준다고 합니다 [2]. 굳이 하루 1만보를 채울 필요는 없습니다. 하버드 의대 연구에 의하면 60세 이상 성인에서 하루 7천-8천보 정도면 건강을 지키는데 충분한 운동량이라고 합니다 [3].


운동은 중년 이후 건강관리에 필수적인 부분인데 운동을 안하면 심폐 기능이 약화되고, 혈액 순환이 저하되고, 근육량이 줄어들고, 살이 찌고, 혈당조절도 잘 안되니 당뇨, 고혈압, 심장병, 비만, 고지혈증 등이 생겨 건강이 나빠지게 됩니다. 걷기 운동은 이러한 만성질환을 예방하고 치료하는데 효과가 탁월해서 현재 나와있는 어떠한 약이나 주사보다도 강력한 '마법의 약(magic pill)'이란 평가를 받습니다 [4]. 가능한 약간 빨리 걷는 게 천천히 걷는 것보다 건강에는 더 좋습니다 [5]. 하지만 관절염 환자는 너무 무리한 목표를 세우진 마시고, 일단 하루 30분 천천히 걷기부터 시작하시길 권합니다. (*운동에 대한 자세한 설명 -> 골다공증, 약없이 치료하는 방법)


근본적으로 관절은 움직여야 건강이 유지되므로 무릎 관절염 환자들도 맨손체조, 스트레칭, 근력운동, 댄스 등의 저강도 운동을 꾸준히 해야 합니다. 이미 관절염이 많이 진행되어 걷기가 어려우신 분들은 체중 부하가 적은 수영을 하는 게 좋습니다.


운동은 관절 건강에 필수 요건입니다만, 운동이 좋다고 무작정 많이 해서는 안 됩니다. 운동할 때 관절에 통증이 있는 경우엔 운동을 중지해야 합니다. 무리한 운동은 오히려 관절을 해칠 수도 있으니, 본인의 관절 상태에 따라 적절하게 운동하고 쉬는 게 좋습니다.




2. 운동을 하고 체중조절을 한다고 해서 마모된 연골이 다시 재생되지는 않는다고 들었습니다. 최대한 무릎 관절염을 늦추기 위해 관절영양제나 연골주사 등 적극적인 예방책은 어떨까요?


우선 무릎 관절염이 왜 생겼는지를 생각해 보아야 합니다.


무릎 통증 환자의 대부분을 차지하는 퇴행성관절염(골관절염)은 오랜 세월 관절을 무리하게 사용했을 때 발생합니다. 즉, 과도한 운동, 외상, 비만 등이 그 원인이지요. 무릎 관절염은 체중 부하를 많이 받는 관절 내측에 있는 반월상연골 및 관절연골의 손상으로 흔히 시작합니다. 나이가 어린 경우에는 재생이 되는 수도 있지만, 관절염 환자의 대부분을 차지하는 중년 이후에는 손상된 연골의 재생을 기대하기는 어렵습니다. 따라서 일차적으로는 관절염이 안 생기도록 노력해야 하고, 생겼다면 더 이상 악화되지 않도록 조치를 해야 합니다.


흔히들 연골에 좋다는 영양제를 먹거나 연골주사를 맞곤 합니다. 물론 일부에서 효과를 봤다는 분들도 계시지만, 그것은 근본적인 해결책이 아닙니다. 최근 보고들에 의하면 연골주사는 무릎 관절염에 그다지 도움이 되지 않는다고 합니다 [6]. 값비싼 '호00'류의 관절 영양제도 선전과는 달리 별 효과가 없습니다. (*관절 영양제의 문제점에 대해 궁금하신 분은 -> 관절 영양제, 과연 효과 있을까?)


정형외과 외래에서 가장 흔히 보는 질환인 퇴행성관절염은 비만과 밀접한 관계가 있습니다. 비만(BMI>30)인 경우 정상체중(BMI<25)에 비해 무릎 관절염 발생 빈도가 4~5배나 높다는 것은 이미 의학계에 잘 알려진 사실입니다 [7]. 왜냐면 체중이 1kg 늘 때마다 무릎 관절에는 그 4배인 4kg의 부하가 걸을 때마다 가해져서 연골 손상이 가속화되기 때문입니다 [8].


역으로 말하면, 무릎 관절염이 있는 과체중 환자의 체중을 1kg만 줄여도 무릎에 가는 부하는 4kg 가량 적어져서 연골이 받는 부담이 훨씬 줄어들어 증상이 좋아집니다. 실제로 BMI 수치를 2 정도 낮추면(체중 약 5kg 감량) 10년 뒤 무릎 관절염 발생 빈도가 절반 이하로 떨어집니다 [9]. 비만과 무릎 관절염은 밀접한 관계가 있습니다. 쉽게 말하면 짐을 많이 실은 차의 타이어가 빨리 닳는 것과 유사합니다 [10].


전 세계 정형외과 의사들이 교과서로 삼는 미국정형외과학회(AAOS)에서 발표한 무릎 관절염 치료 가이드라인에 의하면, 과체중 환자(BMI>25)의 경우 운동과 다이어트로 5% 체중 감량만 하여도 증상이 호전되므로, 수술보다는 체중 감량을 우선적으로 권하고 있습니다 [11,12]. 수술이 능사가 아니기 때문입니다.


하지만 무릎이 아픈 관절염 환자가 운동을 하기는 현실적으로 어려워, 유일한 비수술적 치료 방법은 다이어트밖에 없는 실정입니다.


관절염으로 병원을 내원하는 과체중 환자들에게 살을 빼기 위해 어떤 노력을 했느냐고 물어보면 많은 경우에서 식사량을 줄인다고 합니다. 사람은 배고프면 견디기가 힘듭니다. 인류의 유전자는 생존을 위해 어느 정도의 음식 섭취는 반드시 하도록 되어있기에 이 방법은 항상 실패로 끝납니다.


우리는 의학적으로 검증되지 않은 수많은 다이어트들이 새롭게 나타났다가 유행이 지나면 사라지는 현상을 목격해 왔습니다. 환자들도 여러가지 다이어트를 이것저것 해보다 실패한 후 자포자기했다는 경우가 많습니다. 진료실의 의사들도 환자들에게 살 빼라는 얘기는 하지만 구체적으로 어떻게 하라는 정보를 주지는 못합니다. 왜냐하면 의과대학에서는 영양학을 가르치지 않기 때문에 의사들도 다이어트에 대해선 솔직히 잘 모르기 때문입니다.


다리가 아픈 무릎 관절염 환자가 운동을 하지 않고도 살을 뺄 수 있는 방법이 있습니다.


바로 채식입니다.


운동을 하지 않고, 심지어는 식사량 제한 없이도 어떤 다이어트 방식보다 체중 감소에 좋은 결과를 보이는 것이 채식입니다 [13,14]. 단지 2주간의 채식으로 체중 3.3kg 감소, 혈당수치 28 감소, 수축기혈압 17 감소, 총콜레스테롤 44 감소, LDL 33 감소, 중성지방 32 감소했다는 최신 보고도 있습니다 [15]. 놀랍지 않습니까? 불과 2주면 이렇게 큰 변화가 나타납니다. 채식은 시중에 유행하는 수많은 다이어트 방법들처럼 그만두면 1~2개월 내 체중이 원상 복귀되는 요요현상이 없고, 따로 돈이 들지 않고, 부작용 없이 평생 지속 가능하다는 것이 장점입니다. (*체중조절에 대해 좀 더 자세히 알고 싶은 분은 -> 비만탈출, 어떻게 할 것인가?)


관절염 환자들은 각종 만성병을 한두 가지씩 가지고 있는 경우가 많은데 채식을 하면 체중 감소, 혈당 감소, 혈압 감소, 콜레스테롤 수치 감소, 중성지방 감소가 동시에 일어나 체중 조절뿐만 아니라 당뇨, 고혈압, 심장병, 고지혈증 등 각종 만성병들이 같이 좋아져서 많은 환자들이 평소에 먹던 약을 줄이거나 끊게 됩니다. 채식으로 체중 감소뿐만 아니라 만성질환이 같이 해결되니 그야말로 일석이조(一石二鳥)라 할 수 있습니다.


최근에는 무릎 관절염의 원인이 단지 비만으로 인한 기계적인 부하뿐만 아니라, 염증이 발병에 중요한 역할을 한다고 합니다 (아래그림) [16].

E Thijssen, et al. Rheumatology 2015


평소 즐겨 드시던 고기, 생선, 우유, 계란 등 동물성 식품은 체내에서 흡수 분해되면서 암모니아, 황화수소, 요소, 요산 등 독성이 강한 해로운 물질들이 많이 생성되어 우리 몸에 염증을 잘 일으키고 관절염 증상을 악화시킵니다 [17]. 반면 현미밥, 채소, 과일 등 식물성 식품에는 비타민, 미네랄, 파이토케미컬, 항산화 성분 등이 많이 들어 있어 각종 관절염 증상을 완화시킵니다 [18].


난치병으로 알려져 있는 류마치스 관절염인 경우에도 육식은 증상을 악화시키고 [19], 채식은 증상을 완화시킵니다 [20]. 필자의 경험에도 류마치스 환자들이 채식으로 전환 후 증상이 좋아지는 경우를 종종 접합니다. (*환자 케이스를 보고 싶으신 분은-> 류마치스 관절염은 불치의 병인가?)


제가 근무하는 병원에서 무릎 관절 수술을 예약해 놓고 기다리는 동안, 저에게 교육받은 채식을 실천하면서 증세가 좋아져 수술을 연기하거나 취소하는 경우를 드물지 않게 봅니다. 따라서 인공관절 수술, 관절경 수술, 줄기세포 시술 등을 하기 전에 반드시 채식을 통한 체중 감량을 먼저 시도해 볼 것을 권합니다. 과체중인 무릎관절염 환자에서 체중 10% 감량의 효과는 무릎 인공관절 수술의 효과와 거의 같다는 보고도 있습니다 [21].


수술은 불가역적인 최후의 방법이므로 신중하게 결정해야 합니다. 체중 감량은 불필요한 수술이나 시술을 줄일 수 있는 가장 효과적인 방법입니다. 관절영양제나 연골주사보다는 채식을 통한 체중 감량 및 염증 조절이 무릎 관절염의 진행을 최대한 늦추기 위한 가장 안전하고 확실한 예방법입니다.




3. 나이 들면 무릎이 아프다고 주사 한 대 맞으러 간다는 사람이 많습니다. 소위 뼈주사로 알려져 있는데, 이런 주사는 어떤가요?


속칭 ‘뼈주사’란 스테로이드 약물을 사용하는 주사를 말합니다. 관절 주위에 주사를 놓는 모습이 마치 뼈에 주사를 놓는 것처럼 보여 뼈주사라고 불리지만 실제로는 뼈에다 주사하는 것이 아니라 무릎 관절강 안에 주입합니다.


스테로이드 약물은 우리 몸의 부신에서 분비되는 부신피질 호르몬을 인공 합성한 것으로, 몸에 해로운 물질은 아닙니다. 이 호르몬은 스트레스 반응, 면역 반응, 전해질 조절 등의 다양한 기능을 담당하고 있습니다. 스테로이드는 주사뿐만 아니라 먹는 약으로도 다양한 약제들이 시중에 나와 있으며, 염증을 억제하고 부종을 줄이며 통증을 줄이는 데 탁월한 효과가 있어 오래전부터 천식, 류머티즘, 아토피 피부염과 같은 다양한 질환에 치료제로 사용돼 왔습니다. 특별한 치료법이 없어 평생을 고통 속에 살아야 했던 많은 난치병 환자들에겐 대단히 고마운 약이지만, 아무리 좋은 약이라도 모든 질병과 상황에 다 효과가 좋을 수는 없습니다. 무릎 관절염인 경우에도 그러합니다.


영국인들의 건강에 대한 가이드를 제시하는 NICE(National Institute for Health and Clinical Excellence)에서는 무릎 관절염에서 관절 내 스테로이드의 사용을 허용하고 있으며, 사실상 광범위하게 사용하고 있습니다 [22]. 단 반복적인 사용 시 감염이나 연골 손상 등의 부작용이 생길 수 있습니다.


병원을 찾은 환자들 중 수술이 필요할 정도로 악화된 무릎 관절염인 경우 통증을 신속하게 줄이기 위해서 어느 정도 뼈주사 사용은 필요합니다. 단 부작용을 고려해서 최소 3개월 정도의 간격을 가지는 것이 좋고, 감염 방지를 위해 숙련된 전문의에게 주사를 맞는 것이 안전합니다. 뼈주사는 세간에 알려진 것처럼 나쁜 주사는 아닙니다. 하지만 사용에 신중을 요하는 것은 사실입니다.




4. 무릎 관절염이 심할 때 수술을 하라고 권하는데 수술을 꼭 해야 하는 시점이 있나요? 수술과 비수술은 어떻게 판단해야 할까요?


무릎 관절염은 연골의 퇴행성 변화가 일차적으로 일어나고 점차 진행하면서 연골 소실 및 뼈 조직의 변화로 관절의 통증, 부종 및 변형이 발생하여 심해지면 수술을 받게 됩니다. 주로 50세 이후에 발생하며, 나이가 들수록 더욱 늘어나 우리나라 65세 이상 인구 중 60% 이상이 무릎 관절염을 앓고 있습니다 [23].


이처럼 무릎 관절염 환자는 많지만, 모두에게 수술이 필요한 것은 아닙니다. 초기 및 중기 관절염인 경우에는 일차적으로 비수술적인 방법, 즉 보존적 치료를 하는데 우선 관절염을 유발하고 악화시키는 생활습관 교정이 필요합니다. 체중을 줄이고, 과한 운동을 삼가고, 염증을 야기하는 육식보다는 염증을 완화시키는 채식 위주의 식습관을 실천하는 게 좋습니다. 관절의 유연성과 기능을 보존하기 위하여 근육을 강화시키는 저강도 운동을 계속 유지하여야 합니다. 온찜질 혹은 냉찜질이 도움이 되는 경우도 있습니다.


필요시 타이레놀 등의 진통제를 쓰거나 좀 더 강력한 비스테로이드성 진통소염제(NSAID)를 사용할 수도 있습니다. 하지만 이러한 약들은 위장 장애를 일으킬 수 있고, 신장이나 간에 손상을 주므로 장기간 사용 시에는 주의해야 합니다.


다양한 종류의 연골영양제 등이 시중에 나와 있으나 의학적으로 효과가 확실히 검증된 영양제는 아직 없습니다. 약물 복용으로 증상이 완화되지 않고 생활이 불편할 때는 연골주사나 스테로이드주사 등을 맞을 수가 있는데 환자 개개인마다 반응이 다르고 각기 장단점이 있어 전문의와 충분히 상의한 후 치료를 하는 것이 좋습니다.


무릎 관절염 환자 대부분은 이러한 여러가지 보존적 치료에 반응하여 장기간 큰 불편 없이 살아가지만, 일부에선 통증이 지속되고 일상생활에 지장을 초래하는 중기 및 말기 관절염으로 진행이 되는데 이럴 때는 수술을 고려하게 됩니다.


수술적 방법으로 가장 간단한 것은 관절 내시경 시술이라고도 칭하는 관절경 수술입니다. 무릎 관절 내부로 직경 4~5mm의 내시경을 넣어 손상된 연골판을 정리하거나 떨어진 연골조각 등을 제거해 주는 방법입니다 (아래사진).


무릎 관절경 수술 장면


비교적 간단한 수술이지만 적응증에 맞지 않는 경우엔 좋은 결과를 못 볼 수도 있습니다. 특히 유의해야 할 점은 잠김현상(locking, 갑자기 무릎이 구부려지지도 않고 펴지지도 않는 현상. 파열된 연골판 조각이 위아래의 뼈 사이에 끼여 발생)이 없는 단순 퇴행성 반월상연골 파열인 경우에는 관절경 수술이나 비수술적 치료 결과에 별 차이가 없으니 서둘러 수술할 필요는 없습니다 [24,25,26].


최근 여러 병원에서 '줄기세포 주사치료'(우측사진)라는 광고를 흔히 하고 있습니다만, 오랜 세월 교육병원에 근무하면서 전공의들을 가르치며 무릎 관절염에 대한 연구를 해 온 필자는 줄기세포 주사 한번으로 무릎 연골이 재생되고, 관절기능이 개선된다는 선전은 과대광고라 생각됩니다.


어떻게 이런 황당한 치료가 보건복지부 허가를 받았는지 잘 모르겠지만, 이러한 치료는 현재 슬관절 학회의 인정을 받지 못하고 있습니다. 무릎 관절염은 그런 식으로 쉽게 나을 수 있는 병이 아니기 때문입니다. 실제로 타 병원에서 비싼 돈을 주고 '줄기세포 시술'을 한 후 아무 효과를 못 보거나, 혹은 다리가 더 아파져서 고생하시는 분들이 흔히 있으니 주의를 요합니다.


무릎 주위 뼈를 잘라 O자형 다리(오다리 변형)를 11자 다리에 가깝게 하지의 정렬을 교정해 주는 ‘근위경골절골술’도 많이 시행하고 있습니다. 이 수술은 무릎의 내반 변형이 관절염의 원인이라는 것이 확실하고, 관절염 중기 정도일 때 적합한 수술이라, 통증이 심한 말기 관절염에는 효과를 보기 어렵습니다. 뼈를 잘라 변형을 교정하고 금속판을 이용하여 다시 뼈를 붙이는 수술이라서 뼈가 어느 정도 붙을 때까지 수술 후 4-6주간 보조기 착용과 목발 보행을 해야 하고, 수술 중 골절이나 수술 후 불유합 등 여러 가지 합병증이 발생할 수도 있으니 전문가와 세밀한 상담이 꼭 필요합니다 (아래사진) [27].

S Battaglia. HTO surgery. In Surgical techniques in TKA and alternative procedures 2015


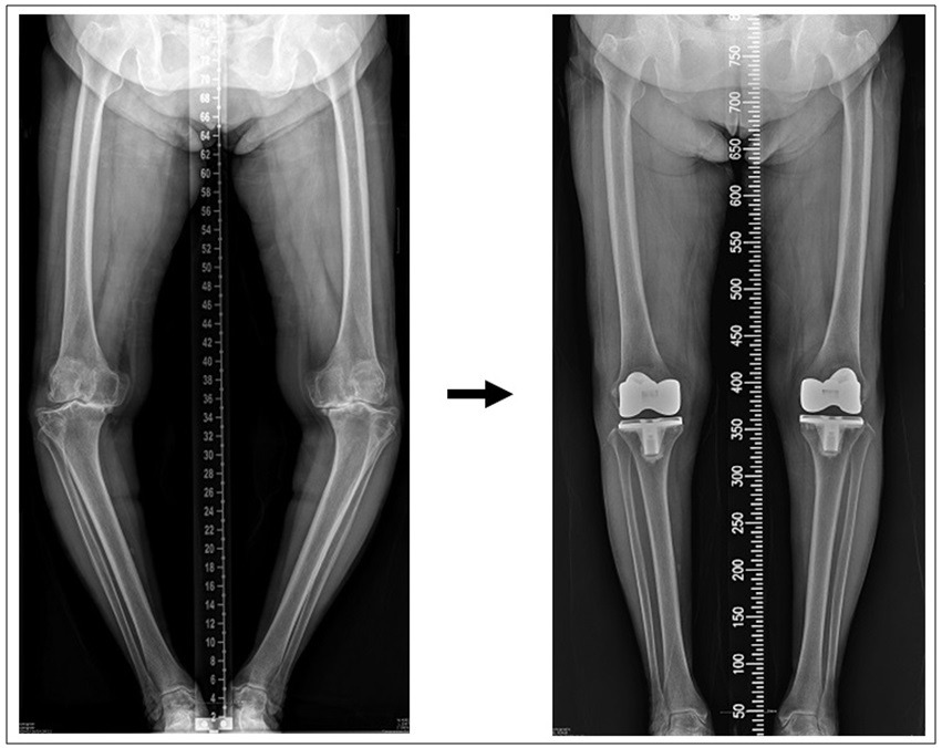
연골이 다 닳아 뼈와 뼈가 부딪치는 말기 관절염의 가장 확실한 치료법은 인공관절 수술입니다. 우리나라에서 한해 약 10만 건의 수술이 시행되고 있으며, 이 수치는 해마다 증가되고 있습니다 [28]. 최후의 방법인 인공 관절에도 몇 가지 종류가 있습니다. 인공 관절 ‘전치환술’은 무릎 연골의 손상된 부위 크기와 상관없이 무릎 관절 전체를 완전히 바꾸는 광범위한 수술이라 술 전 심한 통증을 잡는 데는 탁월한 효과가 있습니다. 하지만 술 후 재활치료 과정이 쉽지 않으며, 어느 정도 시일이 경과한 후에도 무릎의 구부리는 각도가 수술 전보다 못하거나 쪼그려 앉을 수 없어 불만스러워하는 환자들이 드물지 않게 있습니다. '전치환술' 수술받은 환자의 약 20%는 술 후에도 통증 및 기능 장애가 남아 수술 결과에 만족 못한다는 보고도 있습니다 [29].

'전치환술' 술 중 사진 & 술 후 X-ray


아무리 무릎관절을 인공으로 대체한다고 해도 원래 사람 무릎에 있던 관절보다 나을 수는 없습니다. 그래서 무릎관절 주변의 뼈든, 인대든, 연골이든 살릴 수 있는 부분은 최대한 살리는 수술이 바람직합니다. 그래서 나온 게 ‘부분치환술’입니다.


비교적 최신 수술방법인 ‘부분치환술’은 손상된 관절의 일부분만 정밀하게 다듬어낸 후 사이즈가 매우 작은 인공관절로 대체하는 획기적인 수술 방법으로 무릎 관절 인대들은 손대지 않으므로 정상적인 무릎 기능이 유지되어 걸음걸이가 자연스럽고, 양반자세를 하고 앉거나 쪼그려 앉는 데 별 무리가 없게 됩니다. 따라서 무릎을 많이 구부리는 생활습관을 가진 동양인, 특히 우리나라 사람들에게 아주 적합한 수술 방법입니다. 수술 부위도 5-6cm으로 작고, 무릎 조직의 일부분만 제거하기에, 수술 다음날 보조기도 없이 혼자 걸을 수 있을 정도로 회복이 빠른 것이 부분치환술의 장점입니다. 하지만 매우 정밀한 수술이라 경험이 적은 의사가 수술할 땐 여러가지 합병증이 생길 수 있다는 점을 염두에 두셔야 합니다 [30].

'부분치환술' 술 중 사진 & 술 후 X-ray


* 부분치환술 후 양반다리, 쪼그려 앉기, 꿇어 앉기가 가능해진 실제 환자 사진.


* 슬관절 부분치환술에 대해 좀 더 자세히 알고 싶으신 분은 20분짜리 제 강의 영상을 참고하세요.

대한슬관절학회 공식 유튜브 -> Medial UKA with mobile bearing prosthesis.




요즘은 무릎 관절염에 대한 다양한 치료 방법이 나와 있으니, 통증으로 생활이 힘드신 경우에는 꼭 비수술적인 방법을 고집할 게 아니라 무릎 관절 전문의와 상의해서 수술도 한번 생각해 보시는 게 좋습니다.


한 가지 유의해야 할 점은 요즘 로봇 인공관절 수술에 대한 기대가 크지만 비싼 비용(무릎 한쪽당 150-200만원 추가 비용 발생)에 비해, 아직은 장점보다 단점이 더 많습니다. 가장 큰 단점은 수술 시간이 기존 방법보다 20-30분 이상 더 길어진다는 것입니다 [31].


수술 시간이 길어지는 건 환자에게 매우 불리합니다. 왜냐면 수술 시간이 길어지면 그만큼 세균 감염의 위험이 증가하기 때문입니다. 한 연구에 의하면 수술 시간이 15분, 30분, 60분 길어질 때마다 세균감염 위험이 각각 13%, 17%, 37% 증가합니다 [32]. 세균 감염은 장기간의 입원과 2-3번에 걸친 추가 수술이 필요하며, 간혹 수차례에 걸친 수술에도 치료가 안되는 경우엔 다리 절단까지도 고려해야 하는 심각한 합병증입니다.


그 외 로봇 수술을 위해 추가적인 금속 핀(pin)을 꼽는데 그로 인한 대퇴골 또는 경골 골절이 발생했다는 보고도 있으며, 수술 도중 발생한 여러가지 문제로 인해 로봇 수술을 포기하는 경우도 있습니다 [33].


최근 발표되는 연구들은 로봇 수술로 치환물의 위치가 향상되어 수술 후 X-선 상 하지 정렬은 조금 좋아지나, 환자 측면에서 중요한 임상적 기능평가에는 별 차이가 없는 것으로 보고됩니다 [34].


다음은 하지 정렬에 대한 조금 자세한 설명입니다. 관심 없으신 분은 다음 단락으로 넘어가셔도 됩니다.


간혹 환자들이 1자 다리로 만들어 달라 요구합니다. 그런데 사실 사람 다리는 자처럼 똑바른 1자가 아니라, 약간 O다리의 형태를 취하는 게 정상입니다. 이런 걸 전문 용어로 '체질성 내반슬'(constitutional varus knee)이라 합니다 (아래 필자 논문) [35].

KSRR.jpg


동양인이 서양인보다 이런 분이 더 많습니다. 만약 사람 다리가 천편일률적으로 모두 똑같은 1자라면 컴퓨터가 사람보다 수술을 더 잘할 수 있겠지요. 하지만 사람 다리는 1자가 아니기에 1자로 만들어 놓으면, 발에 맞지 않는 신발을 신은 것처럼 불편하게 됩니다. 따라서 인공관절 수술 시 뼈의 정렬을 1자로 맞추려고 하면 안되고, 인대 등 연부조직을 같이 고려해서 환자의 아프기 전 다리 상태(Personalized alignment)로 만들어 주는 게 가장 좋은 결과를 낳는데, 이 부분은 컴퓨터로 해결이 안되고, 숙련된 의사의 고도의 판단이 요구됩니다.


사람 얼굴이 각각 다른 것처럼 다리 모양과 인대 균형도 사람마다 각각 다르기에(심지어는 동일인에서도 좌우 다리뼈의 모양과 크기 및 인대상태가 다릅니다), 무릎 인공관절 수술은 일반인이 생각하는 것보다 훨씬 더 복잡하고 까다로운 '고난도의 수술'입니다. 초보자가 교과서대로 따라해서 80점짜리 무릎은 만드는 건 그리 어렵지 않지만, 95점 또는100점짜리 무릎을 만들기는 어렵습니다. 오랜 세월 수많은 수술 경험이 쌓인 의사가 아니고선 도달할 수 없는 영역입니다. 모든 다리를 1자로 만드는 교과서적인 컴퓨터 로봇 수술 한 후 불만족해하는 환자들이 종종 생기는 이유입니다.


전문적인 내용이라 이해하기 어려우신 분들도 있을 것 같아 조금 쉽게 설명하면, 우리가 처음 가보는 길을 갈 때는 네비게이션이 큰 도움이 되지만, 집 근처 자주 가는 시장을 갈 땐 네비게이션이 별 필요가 없지요. 그와 비슷한 게 로봇 수술입니다. 수술 경험이 적은 의사들에겐 틀림없이 도움이 됩니다. 하지만 경험 많은 의사들에겐 수술 시간만 더 소모되고, 환자에겐 별 이득이 없는 거추장한 기계일 뿐입니다.


로봇 수술을 격찬하는 각종 선전과는 달리, 로봇 수술이 기존 수술에 비해 임상적 결과가 우수한지에 대한 근거가 아직 없고, 장점으로 내세우는 장기추시(수술 후 최소 10년 이상 합병증이 나타나지 않는 것) 결과도 확인된 바가 없습니다. 비싼 비용과 긴 수술시간에 대한 해결, 그리고 임상 결과에 대한 추시 관찰이 더 필요한 상태입니다 [36,37,38,39].


따라서 일생에 한 번 받는 인공관절 수술을 아직 검증이 안 된 유행에 따르는 것보다는, 이미 검증되었고 경험 많은 무릎 관절 전문의에게 수술을 받는 것이 훨씬 안전하고 결과도 좋습니다.


* 아래 사진 -> 심한 '오'자형 다리의 73세 여성 수술 전 후 사진.

심한varus 정정순 술전(595471). (1)....jpg



* 아래 사진 -> 심한 '엑스'자형 다리의 65세 여성 수술 전 후 사진.

심한 valgus 김영숙 술후.......jpg



환자들이 가장 크게 걱정하는 두 가지는 수술 후 통증(아플까봐)과 수술 후 재활(못 굽힐까봐)에 대한 두려움이지만, 이젠 그런 걱정을 할 필요가 없을 정도로 수술 기술이 발전되어 있습니다.


특히 요즘은 인공관절 재료의 발달로 환자들의 95%는 20년 이상 쓸 수 있고 [40,41], 피를 많이 흘리지 않아 수혈 할 필요도 없고(*만약 인공관절 수술 후 수혈을 하는 병원이라면 일단 걸러야 합니다. 수혈은 또다른 많은 문제를 야기합니다.), 통증 조절 기술의 발달로 별로 아프지도 않고, 수술 다음 날 바로 걸을 수 있고, 재활 과정이 힘들지 않고, 2주 후면 실밥을 뽑고 퇴원하여 일상생활에 복귀할 정도로 회복이 빠르니, 말기 관절염으로 인공관절 수술을 받게 되더라도 너무 큰 걱정을 하실 필요는 없습니다 [42].


* 아래 사진 -> 72세 환자로 좌측 무릎 인공관절 수술 다음날 아침, 성경 필사하는 모습 (환자 동의하에 사진 공개, 2025. 12. 5.)

수술다음날성경필사마숙자110590.jpg





5. 나이 들면 무릎 관절염 때문에 고생하지 않는 사람이 드문 편입니다. 나이 들어서도 무릎 관절염을 예방하기 위해서는 어떤 대책이 필요할까요?


무릎 관절염만 예방하는 국소적인 접근법보다는 우리 몸 전체의 건강을 증진시키는 것이 더 중요합니다. 왜냐면 관절을 포함하는 근골격계는 우리 몸을 구성하는 소화계, 내분비계, 심혈관계, 호흡계, 신경계 등과 따로 떨어져 있는 게 아니고 상호 연결되어(interconnected) 있기 때문입니다.


좋은 음식을 선택해서 먹고, 영양분을 소화계에서 잘 흡수해야, 그 영양분으로 근골격계가 잘 유지되고, 튼튼한 뼈와 관절로 운동을 해야 심혈관계가 좋아지고, 심혈관계가 좋아져야 각 장기로 가는 혈류가 좋아져 전신적인 건강 상태가 좋아지고, 따라서 관절염도 저절로 좋아지는 것입니다.


관절염의 ‘염(炎)’은 ‘염증’을 뜻하는 말로 우리 몸의 면역과 밀접한 관계가 있습니다. 면역력이 강하면 염증이 잘 생기지도 않고, 생긴다 하더라도 쉽게 해소됩니다. 건강을 유지하는 데 필수적인 면역을 담당하는 것은 혈액 성분 중 백혈구의 무리들로 과립구, NK세포, 림프구, 대식세포 등이 있습니다.


이러한 면역 세포들은 혈액 순환이 잘 되어야 우리 몸 구석구석까지 도달하여 염증을 해소시켜 줍니다. 혈액 순환이 좋지 않으면 면역세포들이 염증 부위로 잘 접근하지 못하기에 관절염 등 염증을 회복할 능력이 떨어집니다. 따라서 만성염증으로 혈액순환이 좋지 못한 당뇨병, 고혈압, 심장병, 비만도 치료를 잘해야 관절염도 좋아집니다.


과일과 채소는 많이 먹으면 카로테노이드, 플라보노이드, 비타민 C, 비타민 E, 파이토케미컬 등 항산화 물질들이 많아 염증지수인 CRP와 IL-6 를 감소시키고 면역세포인 T세포 수를 증가시켜 염증이 잘 생기지 않습니다 [43]. 따라서 채식을 하면 당뇨병, 고혈압, 심장병, 비만뿐만 아니라 관절염도 저절로 좋아집니다 [44,45].


면역력을 증강시키기 위해서는 규칙적인 운동도 꼭 필요합니다. 나이가 들수록 몸이 약해지고 기운이 없고 운동을 못한다고 생각하기 쉽지만 꾸준히 운동을 해야 건강한 체력을 유지할 수 있습니다.


좌식생활이 위주인 50세 이상 성인의 근육은 매년 약 1% 정도 자연 감소합니다. 이것을 의학용어로 ‘근감소증’이라 하는데, 사실 이것은 자연적인 노화현상이지 병이 아닙니다 [46]. 고령자나 만성질환자는 흡수 장애로 인하여 약 10% 정도의 추가 단백질이 필요하다는 의견도 있지만, 단백질만 추가하고 운동을 하지 않으면 근육 소실은 계속 일어납니다. 우리 몸에서 쓰지 않는 근육은 자연 퇴화하기 때문이지요 (Use it or lose it). 운동은 이러한 근감소증 예방에 가장 효과적인 방법입니다 [47,48,49].


단백질이 추가로 필요하신 분은 인공적으로 만든 단백질 보충제나 동물성 단백질보다는 식물성 단백질을 드시는 게 근육 보존에 훨씬 더 유리합니다. 백미보다는 현미밥을 기본으로 하고 콩, 두부, 견과류, 종실류 등을 추가하면 단백질 보충은 쉽게 해결이 됩니다. (*단백질 부족을 걱정하시는 분은 -> 채식하면 단백질은 어디에서 얻나요?)




무릎 관절염을 예방하면서 건강한 삶을 즐기기 위한 면역강화 방법은 다음과 같습니다.


* 수면; 매일 일정한 시간에 잠들고 깨어나는 일주기 생체리듬에 따르는 것이 좋습니다. 아침에 일어나 밖으로 나가 일부러 햇볕을 받음으로써, 내 몸의 생체시계 스위치를 온(on) 시키면 밤에 숙면을 취하기가 쉽습니다. 낮 시간 동안 활동량을 늘리거나 운동을 하여 근육이 피곤해지게 만드는 것도 잠을 잘 자기 위한 좋은 방법입니다.


* 수분; 건강에 가장 좋은 음료는 물입니다. 우리 몸에 수분이 부족하면 혈중 점도가 올라가 혈액이나 림프액의 순환이 원활하지 못하게 되어 면역 기능이 떨어지게 됩니다. 갈증이 생기지 않게끔 물을 자주 마시는 것이 좋습니다. 기상 시 물 한 컵을 먼저 마셔 밤새 부족해진 우리 몸의 수분을 보충하는 일로 하루를 시작합시다. 식전이나 식후에 바로 물을 마시는 것은 위액이 희석되어 소화 기능이 떨어지니 삼가야 합니다.


* 음식; 면역을 증강시킨다는 보조식품이나 영양제를 먹는다고 면역력이 좋아지는 것은 아닙니다. 고기·생선·우유·계란 등의 동물성 식품은 우리 몸에서 소화 대사된 후 암모니아, 요산, 요소, 황화수소, 인산 등 독성 노폐물을 많이 남기는 산성식품으로 염증을 야기하고, 혈중 콜레스테롤도 증가시켜 혈액순환을 방해하기에 면역력을 저하시킵니다. 정제된 설탕, 각종 기름, 인공 첨가물, 방부제, 트랜스지방 등이 많이 들어간 패스트푸드, 튀김, 가공식품 등도 염증을 야기하므로 면역에 좋지 않습니다.


한가지 영양분(예: 비타민 C)에만 집중하는 것도 좋은 방법이 아닙니다. 면역력이 강해지려면 항산화 성분, 각종 비타민 및 미네랄, 식이섬유 등 여러가지 영양분이 상호 작용하여 조합을 이루어야 합니다. 이런 각종 영양분들이 많이 들어 있는 것은 대부분 식물성 식품입니다. 현미밥과 채소 및 각종 과일은 알칼리성 식품으로 우리 몸의 염증을 줄이고 혈액순환을 좋게 하여 궁극적으로 무릎 관절염도 좋아집니다.


* 운동; 가능한 몸의 움직임을 증가시켜 혈액 및 림프액 순환이 잘 되도록 도와야 합니다. 운동을 하면 체온이 올라가 혈관이 확장되고 혈류 순환이 좋아져 면역세포들이 적재적소에 잘 가게 됩니다. 산책이나 빨리 걷기, 조깅, 자전거 타기, 등산 등 야외 활동은 기분을 좋게 하고 스트레스를 줄여 면역력을 높입니다.


관절염 환자들이 주의해야 할 활동은 조깅, 등산, 계단 보행 등인데 통증이 있을 때는 조깅을 하면 안됩니다. 등산 후 하산 시에는 스틱을 반드시 사용해야 하며, 계단 보행 시에는 난간을 이용하는 게 안전합니다.


일상생활에서 주의해야 할 동작은 쪼그리고 앉기, 꿇어 앉기, 양반다리 자세입니다. 이렇게 무릎을 많이 구부리는 동작들은 관절에 가해지는 부하가 4~5배 증가하여 연골에 부담을 주어 관절염이 가속화되기 때문입니다. 관절염 환자들은 무릎을 많이 구부리지 않는 서양식 생활 즉 의자생활, 소파생활, 침대생활을 하시길 권합니다.


야외로 나가 일광욕을 자주 하는 것이 좋습니다. 햇볕에 피부가 노출되면 비타민 D 합성이 증가하는데, 비타민 D는 칼슘 흡수를 증가시켜 뼈를 튼튼하게 하고, 면역기능에도 중요한 역할을 합니다. 일광욕은 행복호르몬인 세로토닌의 분비를 촉진하여 긴장,걱정,불안을 감소시키고 스트레스를 줄여 기분을 좋게 합니다. (*비타민 D 부족을 걱정하시는 분은 -> 비타민 D 부족, 주사맞아야 하나요?)


* 스트레스; 만성 스트레스는 아드레날린 및 코티솔 등의 스트레스 호르몬 분비를 유발하여 혈관을 수축시키고 혈액 순환을 저해하여 면역 기능이 떨어지므로 각종 염증을 잘 일으킵니다. 하지만 사랑하고 감사하는 긍정적인 마인드를 가지면 스트레스 호르몬이 줄어들고 면역력이 증강되어 염증이 잘 생기지 않습니다. 휴식, 음악, 독서, 가족과의 시간, 종교 활동, 요가, 명상 등의 긍정적인 활동을 일상화하는 것은 인체 건강에 매우 중요합니다.




6. 무릎관절 전문의인 필자께서는 무릎 관절 건강을 위해 어떤 노력을 하시는지요?


저도 한때는 과체중에 당뇨병 진단을 받았고, 통풍성 관절염으로 고생도 하였으나 즐겨하던 육식 습관을 채식으로 바꾼 뒤 당뇨병 및 통풍이 없는 건강한 삶을 누리고 있습니다. 과거 '성인병'이라 불리던 당뇨, 고혈압, 심장병 등을 요즘은 ‘생활습관병’이라 부릅니다. 왜냐면 성인이 되면 누구나 다 생기는 게 아니고, 나쁜 생활습관을 가진 사람에게만 생기는 병이기 때문입니다. (*필자의 당뇨병 극복 수기 -> 당뇨병 대란이 온다. 해결책은 없는가?)


생활습관 중 가장 중요한 것은, 바로 우리가 매일 선택하는 식사입니다. 올바른 식사를 하면 '생활습관병'이 저절로 없어지고 건강해져서 관절염도 같이 좋아집니다. 인간에게 올바른 식사인 채식은, 혈관을 청소하여 깨끗하게 만들고 심폐 기능이 향상되어 근육에 산소와 영양분을 많이 공급할 수 있기에 운동 능력이 저절로 향상됩니다. (*인간에게 올바른 식사가 왜 채식인지 궁금하신 분 -> 인간은 잡식동물인가? part1 & 2)


제가 육식을 할 때는 1km를 숨이 가빠서 제대로 뛰기 힘들었는데, 채식하는 지금은 5~6km를 논스톱으로 쉽게 뛰니 건강이 훨씬 좋아진 걸 느낍니다.


진리는 단순합니다. 내 몸을 움직이는 연료인 음식을 올바른 것으로 바꾸어주면 몸은 저절로 건강해집니다. 몸이 건강해지면 관절염도 좋아져 약도, 수술도 필요 없어집니다.


관절염 환자분들은 효과가 불확실한 각종 연골 영양제나 단백질 보충제 등을 찾기보다는 누구나 쉽게 할 수 있는 채식을 시작해 보시기 바랍니다. 채식은 어렵지 않고, 따로 돈이 들지 않고, 부작용이 없고, 효과가 빨리 나타납니다.


30년간 무릎 관절염 환자들을 치료해 온 저는, 채식이 무릎 관절염 예방 및 치료에 최고의 방법이라는 것을 확신합니다.


"Prevention is better than cure(예방이 치료보다 낫습니다)"



참고문헌

1. Medical Observer http://www.monews.co.kr/news/articleView.html?idxno=101968

2. GH Lo, S Vinod, MJ Richard, et al. Association Between Walking for Exercise and Symptomatic and Structural Progression in Individuals With Knee Osteoarthritis: Data From the Osteoarthritis Initiative Cohort. Arthritis Rheumatol 2022;74(10):1660-1667.

3. Harvard T.H. Chan School of Public Health https://www.hsph.harvard.edu/news/hsph-in-the-news/far-fewer-than-10000-steps-per-day-can-boost-health/

4. Kansas University Medical Center https://www.kumc.edu/about/news/news-archive/jama-study-ten-thousand-steps.html

5. Medical News Today https://www.medicalnewstoday.com/articles/do-you-really-need-to-walk-10000-steps-to-see-health-benefits#Does-walking-pace-matter?

6. Healthline https://www.healthline.com/health/hyaluronic-acid-injections

7. DT Felson. Weight and osteoarthritis. The American Journal of Clinical Nutrition 1996;63(3):430-432.

8. SP Messier, DJ Gutekunst, C Davis, et al. Weight loss reduces knee-joint loads in overweight and obese older adults with knee osteoarthritis. Arthritis & Rheumatism 2005;52(7):2026-2032.

9. DT Felson, Y Zhang, J Anthony, et al. Weight loss reduces the risk for symptomatic knee osteoarthritis in women: the Framingham Study. Annals of internal medicine 1992;116(7):535-539.

10. K Kulkarni, T Karssiens, V Kumar, et al. Obesity and osteoarthritis. Maturitas 2016;89:22-28.

11. RH Brophy, YA Fillingham. AAOS Clinical Practice Guideline Summary: Management of Osteoarthritis of the Knee (Nonarthroplasty), Third Edition. Journal of the American Academy of Orthopaedic Surgeons 2022;30(9):e721-e729.

12. SP Messier, RF Loeser, GD Miller, et al. Exercise and dietary weight loss in overweight and obese older adults with knee osteoarthritis: the Arthritis, Diet, and Activity Promotion Trial. Arthritis Rheum 2004;50:1501–1510.

13. N Wright, L Wilson, M Smith, et al. The BROAD study: A randomised controlled trial using a whole food plant-based diet in the community for obesity, ischaemic heart disease or diabetes. Nutrition & Diabetes 2017;7:e256.

14. M Greger. A Whole Food Plant-Based Diet Is Effective for Weight Loss: The Evidence. American Journal of Lifestyle Medicine 2020;14(5):500-510.

15. SM Friedman, CH Barnett, R Franki, et al. Jumpstarting health with a 15-day whole-food plant-based program. Am J Lifestyle Med 2022;16(3):374-381.

16. E Thijssen, A van Caam, PM van der Kraan. Obesity and osteoarthritis, more than just wear and tear: pivotal roles for inflamed adipose tissue and dyslipidaemia in obesity-induced osteoarthritis, Rheumatology 2015;54(4):588–600.

17. MA Terkawi, T Ebata, S Yokota, et al. Low-Grade Inflammation in the Pathogenesis of Osteoarthritis: Cellular and Molecular Mechanisms and Strategies for Future Therapeutic Intervention. Biomedicines 2022;10(5):1109.

18. CM Clinton, S O'Brien, J Law, et al. Whole-foods, plant-based diet alleviates the symptoms of osteoarthritis. Arthritis 2015;2015:708152.

19. CBS News https://www.cbsnews.com/news/red-meat-and-arthritis-linked/

20. J Alwarith, H Kahleova, E Rembert, et al. Nutrition interventions in rheumatoid arthritis: the potential use of plant-based diets. A review. Frontiers in nutrition 2019;6:435408.

21. R Christensen, A Astrup, H Bliddal. Weight loss: the treatment of choice for knee osteoarthritis? A randomized trial. Osteoarthritis and Cartilage 2005;13(1):20-27.

22. S Chaplin. NICE on the diagnosis and management of osteoarthritis. Prescriber 2023;34:15-16.

23. 국가 건강정보 포털 의학정보. 골관절염(osteoarthritis). https://health.kdca.go.kr/healthinfo/biz/health/gnrlzHealthInfo/gnrlzHealthInfo/gnrlzHealthInfoView.do?cntnts_sn=1988

24. JCA Noorduyn, VA van de Graaf, NW Willigenburg, et al. Effect of Physical Therapy vs Arthroscopic Partial Meniscectomy in People With Degenerative Meniscal Tears: Five-Year Follow-up of the ESCAPE Randomized Clinical Trial. JAMA Netw Open 2022;5(7):e2220394.

25. P Beaufils, R Becker, S Kopf, et al. Surgical management of degenerative meniscus lesions: the 2016 ESSKA meniscus consensus. Knee Surg Sports Traumatol Arthrosc 2017;25(2):335-346.

26. R Sihvonen, M Paavola, A Malmivaara, et al. Arthroscopic partial meniscectomy versus sham surgery for a degenerative meniscal tear. N Engl J Med 2013;369(26):2515-2524.

27. S Battaglia, S Affatato. High tibial osteotomy (HTO) surgery. In Surgical techniques in total knee arthroplasty and alternative procedures 2015 (pp. 37-46). Woodhead Publishing.

28. 의협신문 https://www.doctorsnews.co.kr/news/articleView.html?idxno=154570

29. RB Bourne, BM Chesworth, AM Davis, et al. Patient satisfaction after total knee arthroplasty: who is satisfied and who is not? Clinical Orthopaedics and Related Research 2010;468:57-63.

30. SW Kang, KT Kim, YS Hwang, et al. Is mobile-bearing medial unicompartmental knee arthroplasty appropriate for Asian patients with the risk of bearing dislocation?. The Journal of arthroplasty 2020;35(5):1222-1227.

31. JH Seo, SH Lee. Current state of total knee arthroplasty. Journal of The Korean Medical Association 2020;63(8):452-461.

32. H Cheng, BP Chen, IM Soleas, et al. Prolonged Operative Duration Increases Risk of Surgical Site Infections: A Systematic Review. Surg Infect (Larchmt) 2017;18(6):722-735.

33. C Nogalo, A Meena, E Abermann, C Fink. Complications and downsides of the robotic total knee arthroplasty: a systematic review. Knee Surgery, Sports Traumatology, Arthroscopy 2023;31(3):736-750.

34. A Bensa, A Sangiorgio, L Deabate, et al. Robotic-assisted mechanically aligned total knee arthroplasty does not lead to better clinical and radiological outcomes when compared to conventional TKA: a systematic review and meta-analysis of randomized controlled trials. Knee Surgery, Sports Traumatology, Arthroscopy 2023;31(11):4680-4691.

35. MH Song, SH Yoo, SW Kang, et al. Coronal alignment of the lower limb and the incidence of constitutional varus knee in korean females. Knee Surg Relat Res. 2015;27(1):49-55.

36. P Ruangsomboon, O Ruangsomboon, C Pornrattanamaneewong, et al. Clinical and radiological outcomes of robotic-assisted versus conventional total knee arthroplasty: a systematic review and meta-analysis of randomized controlled trials. Acta Orthop 2023;94:60-79.

37. LT Samuel, JM Karnuta, A Banerjee, et al. Robotic arm-assisted versus manual total knee arthroplasty: a propensity score-matched analysis. The Journal of Knee Surgery 2023;36(01):105-114.

38. N Kort, P Stirling, P Pilot, JH Müller. Robot-assisted knee arthroplasty improves component positioning and alignment, but results are inconclusive on whether it improves clinical scores or reduces complications and revisions: a systematic overview of meta-analyses. Knee Surg Sports Traumatol Arthrosc 2022;30(8):2639-2653.

39. MB Held, A Gazgalis, AL Neuwirth, et al. Imageless robotic-assisted total knee arthroplasty leads to similar 24-month WOMAC scores as compared to conventional total knee arthroplasty: a retrospective cohort study. Knee Surgery, Sports Traumatology, Arthroscopy 2022;30(8):2631-2638.

40. JT Evans, RW Walker, JP Evans, et al. How long does a knee replacement last? A systematic review and meta-analysis of case series and national registry reports with more than 15 years of follow-up. Lancet 2019;393(10172):655-663.

41. YH Kim, JW Park, YS Jang. 20-Year Minimum Outcomes and Survival Rate of High-Flexion Versus Standard Total Knee Arthroplasty. J Arthroplasty 2021;36(2):560-565.

42. MH Song, BH Kim, SJ Ahn, et al. Peri-articular injections of local anaesthesia can replace patient-controlled analgesia after total knee arthroplasty: a randomised controlled study. International orthopaedics 2016;40:295-299.

43. B Watzl. Anti-inflammatory Effects of Plant-based Foods and of their Constituents. International Journal for Vitamin and Nutrition Research 2008;78: 293-298.

44. GM Turner-McGrievy, MD Wirth, N Shivappa, et al. Randomization to plant-based dietary approaches leads to larger short-term improvements in Dietary Inflammatory Index scores and macronutrient intake compared with diets that contain meat. Nutrition Research 2015;35(2):97-106.

45. S Rose, A Strombom. Osteoarthritis Prevention and Treatment with a Plant-Based Diet. Orthopedics and Rheumatology Open Access Journals 2019;15(3):76-80.

46. WR Frontera, VA Hughes, RA Fielding, et al. Aging of skeletal muscle: a 12-yr longitudinal study. Journal of applied physiology 2000;88(4):1321-1326.

47. G Distefano, BH Goodpaster. Effects of exercise and aging on skeletal muscle. Cold Spring Harbor perspectives in medicine 2018;8(3):a029785.

48. S Zampieri, L Pietrangelo, S Loefler, et al. Lifelong Physical Exercise Delays Age-Associated Skeletal Muscle Decline, The Journals of Gerontology 2015;70(2):163–173.

49. GD Cartee, RT Hepple, MM Bamman, JR Zierath. Exercise promotes healthy aging of skeletal muscle. Cell metabolism 2016;23(6): 1034-1047.




keyword
작가의 이전글인간은 잡식동물인가? Part 2. 인류학적 고찰