골다공증, 약 없이 치료하는 방법 Part 2. 운동

운동이 약이다.

by 송무호

‘성인병’이란 용어가 있다.


어렸을 때 없던 병이 어른이 되어 발생하기에 성인병이라 하는데 고혈압, 당뇨병, 고지혈증, 암 등이 그것이다. 이 용어는 원래 의학용어가 아니고 일본 후생성이 사용했던 행정용어였다. 그런데 현실적으로 10-20대에도 이런 병들이 나타나고, 의학적으로도 병의 원인이 나이 때문이 아니라 잘못된 생활습관 때문이기에 일본에서는 1996년 성인병이란 용어를 생활습관병으로 변경하였고, 우리나라에서도 2003년 대한내과학회에서 생활습관병이라 부르기로 결정했다. 생활습관병(lifestyle disease)이란 용어를 사용하는 나라는 영국과 프랑스이고, 미국은 만성질환(chronic disease), 독일은 문명병(zivilisationskrankheit)이라 한다.


골다공증은 생활습관병이다.


골다공증은 주로 중년 이후에 생기지만 나이뿐 아니라 잘못된 생활습관이 주원인이다.


뼈는 어떻게 약해지는가?


“Use it or lose it”이란 프랑스 진화론자 레마르크의 주장으로 용불용설(用不用說)을 말한다. 자주 사용하는 기관은 발달하고 사용하지 않는 기관은 퇴화한다는 것이다. 지극히 당연한 자연의 이치다. 뼈와 근육도 마찬가지다. 의학이나 체육을 전공한 분이면 누구나 아는 볼프의 법칙(Wolff's law)이 있다. 독일 의사 볼프(Julius Wolff, 1836-1902)가 발견한 현상으로 “뼈에 지속적인 스트레스가 가해지면 뼈는 적응하기 위해 더 강해진다.”는 것이다. 반대로 뼈에 가해지는 스트레스가 줄어들면 뼈는 다시 약해진다 [1]. 이는 뼈의 경도를 유지하고 효과적으로 몸을 관리하기 위한 방법이다. 실제로, 테니스 선수가 주로 쓰는 팔의 뼈는 반대편 보다 10% 이상 더 굵어지고 [2,3], 무중력 상태에서 6개월 근무한 우주비행사의 척추와 고관절 골밀도는 10% 이상 감소한다 [4].


뼈가 튼튼해지려면 운동을 해야 한다.


뼈를 강하게 하는 운동은 '체중부하 운동'이 효과적인데 자전거 타기보다는 걷기가, 걷기보다는 뛰는 게 더 효과적이다 [5,6]. 운동이 부족하면 골밀도가 떨어지면서 골다공증이 생긴다. 따라서 운동은 골다공증 예방에 필수다. 물론 청소년기에 운동을 많이 해서 뼈를 미리 튼튼하게 만들어 놓는 것이 가장 이상적이지만, 폐경 후에 하는 운동도 뼈를 강화시켜 골다공증을 충분히 예방할 수 있다 [7].


흔히들 골다공증하면 약을 먼저 생각하는데, 이 약들은 안전하지 않고('골다공증약' 편 참고) 효과도 일시적이다. 하지만 규칙적인 운동은 안전하고 효과도 오래가서 골다공증을 실제로 예방한다 [8]. 골다공증은 나이가 든다고 누구나 생기는 병은 아니다. 나이는 골다공증의 한 요소일 뿐이다. 젊은 사람에게도 골다공증은 생길 수 있는 반면, 관리를 잘하면 85세 이후에도 골다공증 없는 튼튼한 뼈를 가질 수 있다 [9,10].


근육은 사용하지 않으면 의미가 없다.


인간은 복잡하고 많은 근육을 가지고 있다. 이 근육들은 운동을 통해 사용하지 않으면 위축되고 약해진다. 정형외과에서는 이런 현상을 흔히 본다. 골절 또는 각종 수술 후 환자 다리를 움직이지 못하게 기브스를 하고 2-3주만 지나도 보행에 지장이 생길 정도로 근육이 약해져 재활치료에 상당한 기간을 투자해야 한다.


뼈와 근육은 같이 간다.


뼈와 근육은 우리 몸 중 가장 큰 두 기관으로 기계적, 생화학적으로 밀접한 관계에 있다. 근육에 기계적인 부하가 가해지면 근육은 커지고, 부하가 없어지면 근육은 줄어든다. 뼈는 근육에 의해 움직이므로, 근육을 많이 사용하면 뼈에 가는 자극도 커져서 뼈가 튼튼해지고, 근육을 사용하지 않으면 뼈도 약해진다 [11,12,13].


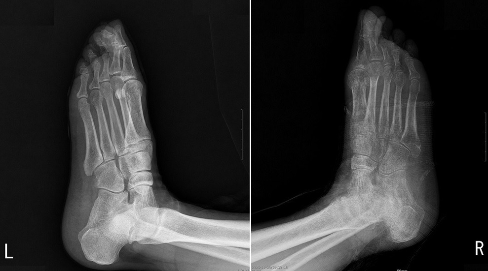
(*사진 설명 -> 우측 새끼 발가락 골절로 개인 의원에서 3개월간 부목고정으로 골절은 치유되었으나, '체중부하운동'이 전혀 안된 53세 여성으로 좌측 발 X-선 사진에 비해 우측 발 사진은 피질골이 얇아지고 골밀도가 현저히 감소된 심한 골다공증 소견을 보이고 있다. 장기간 사용하지 않아 뼈가 약해진 것이다.)



'근감소증'이란 비활동적인 50세 이상 중년에서 나타나는 근육감소를 말하는데 단백질 보충제를 먹는다고 해결되는 게 아니라 ('근육영양제 류신' 편 참고) 운동을 해야 예방이 가능하다 [14]. 대부분의 사람들은 근감소를 노화 현상으로 여겨 어쩔 수 없다지만, 운동은 노화에 따른 근감소 진행 속도를 수년 또는 수십년 늦추어준다. 즉 회춘의 효과가 있다 [15].


운동하면 오래 산다.


2009년 생체시계로 알려진 텔로미어 연구로 노벨상을 탄 엘리자베스 블랙번(Elizabeth Blackburn)의 논문에 의하면, 운동은 텔로미어가 짧아지는 것을 지연시켜 수명이 길어지는 효과가 있다 [16]. 1주일에 150분 이상 중간강도 운동을 즐기는 활동적인 사람은 비활동적이고 비만인 사람에 비해 7.2년 더 오래 산다. 정상 체중 사람끼리 비교해도 운동하는 사람은 안하는 사람에 비해 4.7년 더 오래 산다 [17]. 운동으로 근육량이 증가하면 사망률이 낮아지고, 반대로 근육량이 줄어들면 사망률은 올라가 근육량은 수명과 밀접한 관계가 있다 [18]. 근력이 강한 사람은 근력이 약한 사람에 비해 100세 이상 장수할 확률이 2.5배 더 높다 [19].


운동은 만성질병을 예방한다.


운동부족은 비만, 당뇨, 지방간, 고혈압, 심장병, 중풍, 혈전증, 우울증, 근감소증, 골다공증 등 만성질환의 원인이기에 운동을 하면 이런 질환들이 예방된다 [20]. 운동부족은 제2형 당뇨 27% 증가, 심혈관질환 30% 증가시킨다 [21]. 근육량이 줄어들면 인슐린 저항성이 증가하여 당뇨병이 생기기 쉽고, 반대로 근육량이 늘어나면 인슐린 저항성이 감소하여 당뇨병이 호전된다 [22,23]. 운동을 하면 근육으로 가는 혈류가 증가하면서 혈압이 감소하여 심혈관 계통도 건강하게 된다 [24].


미국 성인 80%가 운동부족이라는 보고가 있다 [25].


우리나라도 별반 다르지 않을 거라 추정된다.


운동부족은 전 세계인의 사망 원인 4위를 차지할 정도로 건강에 심각한 영향을 미친다 [26]. 운동부족으로 인한 심폐기능 저하가 사망에 미치는 영향은 고혈압, 당뇨, 흡연, 비만보다 더 높다. 비만이지만 운동을 열심히 하는 사람은, 정상체중이지만 운동을 안하는 사람에 비해 사망률이 절반이하다. 규칙적인 운동은 체중 관리에 도움이 되지만, 체중이 줄어들던 아니든 간에 운동으로 인한 심폐기능 향상이 건강에 더 중요하다 [27].


운동은 남이 대신해 줄 수 없다.


현대인의 생활은 자동차를 비롯하여 많은 것들이 편리화됨으로써 신체활동이 모자라고, 너무 오랜 시간 좌식 생활을 한다. 하지만 운동이 ‘건강에 좋다’는 것을 모두가 알기에 새해 결심으로 운동을 제일 많이 꼽는다. 그래서 큰 마음먹고 헬쓰클럽에 몇 달치 선등록을 하지만, 몇 주 지나지 않아 포기하는 경우가 많다. 운동은 자신과의 약속이라 남이 대신해 줄 수 없기에, 조금만 힘들면 이 핑계 저 핑계로 그만두게 된다. 자신이 좋아하는 운동을 선택해야 그나마 꾸준히 할 수 있고, 동료가 생기면 더 좋다. 요즘은 같이 운동하는 커뮤니티도 생겨 SNS (e,g, 인스타 #오운완 #러닝크루) 등을 통해 운동을 지속하려 노력한다. 예를 들어 달리기는 단순하지만 즐겁고, 힘들지만 성취감 넘치는 운동이다. 홀로 달리기보다 함께 달리기가 효과가 좋다. 서로 응원과 격려가 되기 때문이다. 처음부터 큰 목표를 세우지 않아도 된다. 일단 동네 한바퀴 도는 정도로 시작하는 것이 중요하다. 너무 무리한 계획으로 중도에 포기하거나, 의욕에 넘친 무리한 운동은 무릎 또는 발목부상으로 이어질 수도 있으니 주의를 요한다.


운동에는 두가지 종류가 있다. 심장과 폐를 건강하게 하는 심폐운동(aerobic exercise, 유산소운동)과 근육을 키우는 근력운동(weight training, 무게운동)이 있는데 둘 다 중요하다.


운동은 얼마나 해야 하나?


미국 보건복지부에서 2018년에 발표한 건강한 삶을 위한 운동 가이드라인에 자세히 나와있다 [28]. 심폐운동(e.g. 빠르게 걷기, 조깅, 줄넘기, 자전거타기, 계단오르기, 등산, 수영, 에어로빅 등)은 중간강도 150분/주(하루 30분, 주 5일) 또는 고강도 75분/주를 기본으로 한다.


어느 정도가 중간강도이고 어느 정도가 고강도인가?


스포츠의학에서는 운동 강도를 측정하는 단위로 신진대사 해당치(MET, metabolic equivalent of task)란 용어를 쓴다. 가만히 앉아서 쉬고 있을 때 체중 1kg 당 1분에 필요한 산소량을 1 MET로 간주한다. 힘든 운동일수록 더 많은 산소가 필요하니 MET 수치가 높아진다. 3-6 MET(걷기, 체조, 골프)를 중간강도, 6 MET 이상(조깅, 수영, 테니스, 등산)을 고강도로 본다.


하지만 일반인이 MET를 일일이 확인할 수가 없으니 쉽게 설명하자면, 심장 박동과 호흡 횟수가 빨라져 대화는 할 수 있으나 노래하기는 힘들면 중간강도고, 숨이 차서 대화가 힘들 정도면 고강도며 이를 “Talk test” 라 한다. 즉 일반적으로 권하는 중간강도의 운동이란 땀이 어느정도 나고, 숨이 조금 찰 정도라 이해하시면 된다.


골다공증을 예방하고 뼈를 튼튼하게 하기 위해서는 천천히 걷는 것보다 조금 빨리 걷기, 조깅, 줄넘기 등 체중부하 운동을 하는 게 더 효과적이고, 수영이나 자전거는 체중부하가 안되므로 심폐기능 향상에는 좋으나 뼈에는 큰 효과가 없다는 것도 참고해야 한다 [29].


근력운동도 주당 2-3회 필요하다. 상체 하체 몸통의 주요 근육 강화 운동을 포함해야 한다. 이를 위해 헬쓰클럽에 꼭 가야 할 필요는 없고 집에서도 얼마든지 가능하다(e.g. 푸쉬업, 스쿼트, 윗몸일으키기, 플랭크, 아령). 참고로 근력운동은 매일 하는 것보다 하루 걸러하는 게 좋다. 손상된 미세 근섬유들이 회복할 시간을 주어야 하기 때문이다.

unsplash.jpg 사진출처: Unsplash


하루 30분 운동 효과는 당뇨 발병 25-35% 감소, 고혈압 완화로 심혈관질환 사망률 30-40% 감소, 낙상으로 인한 골절 위험을 40% 감소시켜 준다. 그 외 우울증 치료와 치매 예방 [30], 심지어는 암(유방암, 자궁내막암, 대장암, 식도암, 위암, 폐암)의 빈도를 약 20% 낮추어 준다 [31]. 운동은 심혈관질환이나 당뇨병 예방과 치료에 약물과 동등한 효과가 있다 [32].


운동시간을 따로 내어야 할까?


그렇지 않다. 사람은 일상생활 속에서 신체활동을 한다. 직장인은 매일 출퇴근을 한다. 집을 나와 걷고 지하철과 회사 건물의 계단을 오른다. 버스나 전철을 타기 위해, 혹은 신호등을 건너기 위해 빨리 걷기도 한다. 이런 활동들을 감안하면 운동시간을 굳이 매일 30분이라 고정할 필요는 없다. 그 이하도 건강에 도움이 된다.


운동은 생활에 접목시키는 것이 좋다.


하루 중 앉아있는 시간을 줄이고 되도록 움직이길 권한다. 집안일, 청소 등 무슨 일이든지 가급적 많이 움직이는 게 좋다. 출퇴근시 20-30분 걷기, 엘리베이터보다는 계단 이용하기, 식사 후 산책하기, 일과 중 틈나는 대로 스트레칭, 팔굽혀펴기, 아령 등 간단한 운동을 자주 하자.


운동을 싫어하는 게으른 분들이 좋아할 소식도 있다.


앉아있지 말고 서있는 것 자체도 운동이 된다. 가만히 앉아 있는 건 1 MET인데 반해 서 있는 것은 2 MET 정도의 운동 효과가 있다 [33]. 하루 2시간 서있는 것만으로도 모든 원인의 사망률을 10% 감소시킨다 [34].


필자는 병원 출퇴근을 지하철로 한다. 안타까운 것은 많은 사람들이 지하철 타자마자 앉을자리부터 찾는 것이다. 지하철 타는 시간이라도 서있으면 건강에 도움이 되는데, 이런 정보를 어디서도 들어보지 못했기에 그럴 거라 추정된다. 오늘 이 글을 읽은 독자들은 앞으로 TV 시청시 앉지 말고 서서 보기, 지하철에서 서있기, 직장에서 스탠딩 책상 사용하기 등을 생활화하길 바란다.


운동은 많이 할수록 좋을까?


영국 옥스퍼드 대학에서 운동과 각종 심혈관 질환과의 관계를 조사한 대규모 연구에서 심근경색, 뇌졸중, 정맥혈전색전증 발생이 운동을 매일 한 군보다 일주일에 2-3번만 한 군에서 유의하게 적게 나왔다 (아래 그래프) [35]. 조깅 정도와 사망률 간의 관계를 조사한 덴마크연구에서도 주당 3회 이상 뛴 군보다 2-3회 군에서, 주당 2.5-4시간 조깅 한 군 보다 1-2.4시간 조깅한 군에서, 빠른 속도로 뛴 군보다 가볍게 또는 중간 속도로 뛴 군에서 사망률이 더 낮게 나왔다 [36]. 따라서 운동은 많이 할수록 좋은 게 아니라 적당히 하는 게 건강에 좋다. 다다익선(多多益善)이 아니라 과유불급(過猶不及)이다.

ME Armstrong et al. Circulation 2015.



미국 복지부 지침대로 꼭 하루 30분은 운동을 해야 건강에 이득이 있을까?


유명저널인 Lancet에 발표된 연구에 의하면 하루에 15분 정도 중간강도 운동으로도 비활동성에 비해 14% 사망률 감소와 3년 수명 연장 효과가 있다 [37]. 다른 연구에서는 하루 5-10분 정도의 가벼운 조깅도 심혈관계질환 사망률 45% 감소, 모든 원인 사망률 35% 감소, 3년 수명 연장 효과가 있어 하루 30분이라는 엄격한 기준을 모든 이에게 적용할 필요는 없고, 비활동적인 사람들에게는 부담없이 운동을 시작하게 하는 게 중요하다고 했다 [38]. 운동을 아예 안하는 것보다는 조금이라도 하는 것이 건강에 도움이 되기 때문이다 [39].


규칙적인 운동의 효과를 요약하면 이렇다. 심장과 폐를 튼튼하게 하여 혈압이 정상화되어 심장병과 뇌졸중을 예방한다. 혈당 조절이 잘되어 당뇨병 및 비만을 예방한다. 뼈와 근육을 튼튼하게 하여 골다공증과 근감소증을 예방한다. 수면을 개선한다. 면역계를 강화한다. 운동하는 동안 기분을 좋게하는 호르몬인 세로토닌, 도파민, 엔돌핀이 방출되어 스트레스, 우울증 및 불안감을 개선한다. 그리고 오래 산다.


이보다 좋은 약이 어디 있는가?


그래서 세계 최상위 저널인 NEJM에서 운동은 약이라 했고 [40], 최신 연구에서도 운동은 약이라(Exercise is medicine) 평가하고 있다 [41,42]. 실제로 운동은 약보다 더 유익하며, 운동의 효과를 대체할 수 있는 약이란 세상에 없다.


골다공증을 두려워하는 이유는 뭘까?


골절이다.


만약 골절이 생기면 노년의 생이 힘들어질 거라고 지래 겁을 먹고 있지만, 사실 건강에 심각한 영향을 끼칠 수 있는 고관절 골절은 그리 쉽게 일어나지 않는다. 건강한 50-60대 여성에게 고관절 골절이 일어날 확률은 1000명당 연간 1명 이하로 매우 낮다. 80대가 되면 1000명당 연간 4-5명으로 증가한다 ( '골다공증약' 편 참고). 그런데 이런 노인성 골절이 일어나는 가장 중요한 요인은 골다공증이 아니라 낙상 사고다.


실제로 골절이 일어난 65세 이상 약 1만명 여성의 골절을 분석한 연구에서 골다공증에 해당하는 사람은 고관절, 척추 및 손목골절을 통틀어서 불과 15%였다. 즉 골절의 85%는 낙상이 원인이지 골다공증 때문이 아니었다 [43]. 따라서 노인성 골절을 피하기 위해서는 골다공증 치료보다 낙상 예방이 훨씬 더 중요하다 [44].


낙상을 예방하는 가장 좋은 방법도 운동이다.


낙상을 줄이기 위해서 요가, 발레, 댄스 등 균형운동을 하는 게 좋다 [45]. 규칙적인 운동을 하는 고령자는 그렇지 않은 분에 비해 낙상 빈도가 37% 감소할 뿐만 아니라 혹시 낙상을 하더라도 골절 확률이 60% 감소한다 [46]. 운동을 함으로써 골절이 감소하는 이유는 균형 감각이 좋아져 잘 넘어지지 않고, 반사능력이 향상되어 넘어지려 할 때 빨리 손을 뻗어 가까운 구조물을 잡아 넘어지지 않을 수도 있고, 넘어지더라도 근육 등 연부조직에 의한 적절한 충격 흡수로 뼈에 가는 충격을 최소화할 수 있기 때문이다.


낙상은 야외에서 보다 집안에서 잘 일어난다.


집안에서 안 넘어지게 하는 환경조성이 중요하다. 주방, 욕조, 화장실 등 물기가 많은 곳에 미끄럼방지 매트 설치, 거실이나 방바닥 전선줄 정리, 야간에도 적절한 실내조명, 안전바가 있는 낙상방지 침대, 외출 시 발에 잘 맞는 편안한 신발, 계단에 밝은 색 테이프를 붙여 잘 보이게 표시, 시력 개선(백내장수술, 안경), 지팡이나 보행기 사용 등이다 [47].


골절 예방에 가장 좋은 것은 뼈와 근육을 튼튼하게 하는 것이고, 이것은 운동으로 이룰 수 있다. 운동은 골다공증약 보다 훨씬 더 효과적인 골절 예방법이다.


뼈 건강을 위해선 몇가지 추가해야 할 생활습관들이 있다.


가능한 자주 야외로 나가서 햇볕을 쬐어 비타민D를 만들어야 한다(*비타민D 상세 정보 -> ‘비타민D 부족, 주사 맞아야 하나요?). 비타민D는 자외선에 의해 피부에서 생성된다. 팔과 다리를 노출시키고 오전 10시에서 오후 3시 사이에 5-30분간 일주일에 2번 일광욕을 하면 뼈 건강에 필요한 충분한 비타민D가 만들어지지만 나라의 위도나 인종 피부색에 따라 조금씩 다르다 [48]. 한국인의 경우는 햇볕 좋은 날 하루 10분 정도면 충분하다 [49].


기호식품이나 식습관도 중요하다. 카페인이 많이 함유되어 있는 음료는 칼슘 흡수를 방해하고, 콜라는 카페인과 인의 함량이 많아 뼈를 약하게 한다 [50]. 담배의 니코틴은 혈관 수축 작용으로 소장에서 칼슘 흡수를 억제한다 [51,52]. 알코올이 뼈에 미치는 영향에 대해서는 이견이 있으나, 음주량이 많을수록 낙상에 의한 골절 위험도가 올라가니 주의를 요한다 [53]. 고염식은 신장에서 칼슘배출을 증가시키므로 패스트푸드나 가공식품(e.g. 라면) 등 염분이 많이 든 음식은 삼가는 게 좋다 [54].


수면 또한 뼈에 절대적인 영향을 미친다. 정상 성인은 약 7시간 가량의 수면이 필요하다. 5시간 이하의 수면은 7시간 수면에 비해 골밀도가 유의하게 낮았다 [55]. 왜냐면 수면 중에 뇌가 노폐물 제거 작업을 하듯이, 뼈도 수면 중에 낡은 뼈를 없애는 파골세포와 새로운 뼈를 만드는 조골세포가 작업을 해 건강한 뼈를 만들기 때문이다. 하지만 더 많이 잔다고 좋은 건 아니다. 7시간 이상 수면은 오히려 사망률을 높인다. 수면과 사망률은 U-shape 관계를 보인다 (아래 그래프) [56].

J Yin et al. J Am Heart Assoc 2017.


건강은 우연히 주어지는 것이 아니다.


골다공증도 마찬가지다. 가만히 앉아서 약만 먹고 뼈와 근육이 튼튼해지는 기적은 절대 일어나지 않는다. 혹시 그런 걸 기대한다면 그건 망상이다. 약 권하는 사회에서 골다공증 약을 거부하는 것도 쉬운 일은 아니지만, 자신의 소중한 몸을 안전하지도 않은 약의 실험 대상이 되게 하지는 말자('심각한 부작용, 골다공증약' 편 참고).


생활습관이 잘못되어서 발생한 질환을 약으로 치료하려는 건 옳은 방향이 아니다. 잘못된 생활습관을 바꾸는 것이 근본적인 치료 방법이다.


뼈를 튼튼하게 하려면 우선 식습관을 바꾸는 노력이 필요하다. 육식은 뼈에 해롭고('약없이 뼈를 튼튼하게 하는 방법 part 1' ) 채식은 뼈에 이롭다. 채식하면 혈관이 깨끗해지고, 심폐기능이 향상되고, 혈류량이 늘어 근육에 산소와 영양분을 충분히 공급할 수 있어 운동 능력이 향상되니, 뼈와 근육이 튼튼해진다.


채식하면 골다공증의 절반은 예방된다.


나머지 반은 운동이다.


운동 한시간 할 때마다 당신의 삶은 두시간씩 연장된다 [57].


당신의 건강은 소중하다.


운동은, 오늘 당신이 자신에게 줄 수 있는 가장 좋은 선물이다.



참고문헌

1. AG Robling, CH Turner. Mechanical signaling for bone modeling and remodeling. Crit Rev Eukaryot Gene Expr 2009;19:319-338.

2. SL Bass, L Saxon, RM Daly, et al. The Effect of Mechanical Loading on the Size and Shape of Bone in Pre-, Peri-, and Postpubertal Girls: A Study in Tennis Players. J Bone Miner Res 2002;17:2274-2280.

3. A Ireland, T Maden-Wilkinson, J McPhee, et al. Upper limb muscle-bone asymmetries and bone adaptation in elite youth tennis players. Med Sci Sports Exerc 2013;45:1749-1758.

4. JD Sibonga. Space flight-induced bone loss: is there an osteoporosis risk? Curr Osteoporos Rep 2013;11:92-98.

5. C Milgrom, A Finestone, A Simkin, et al. In-vivo strain measurements to evaluate the strengthening potential of exercises on the tibial bone. J Bone Joint Surg 2000;82:591-594.

6. K Hind, M Burrows. Weight-bearing exercise and bone mineral accrual in children and adolescents: a review of controlled trials. Bone 2007;40:14-27.

7. I Polidoulis, J Beyene, AM Cheung. The effect of exercise on pQCT parameters of bone structure and strength in postmenopausal women—a systematic review and meta-analysis of randomized controlled trials. Osteoporos Int 2012;23:39-51.

8. L Santos, KJ Elliott-Sale, C Sale. Exercise and bone health across the lifespan. Biogerontology 2017;18:931-946.

9. P Płudowski, M Lebiedowski, M Olszaniecka, et al. Idiopathic juvenile osteoporosis—an analysis of the muscle-bone relationship. Osteoporos Int 2006;17:1681-1690.

10. L Mellibovsky, M Bustamante, P Lluch, et al. Bone mass of a 113-year-old man. J Gerontol 2007;62:794-795.

11. RP McGrath, WJ Kraemer, B Vincent, et al. Muscle strength is protective against osteoporosis in an ethnically diverse sample of adults. Journal of Strength and Conditioning Research 2017;31(9):2586-2589.

12. SY Jang, J Park, SY Ryu, SW Choi. Low muscle mass is associated with osteoporosis: A nationwide population-based study. Maturitas 2020;133:54-59.

13. A Goodman, TA Hornberger, AG Robling. Bone and skeletal muscle: key players in mechanotransduction and potential overlapping mechanisms. Bone 2015;80:24-36.

14. JD Walston. Sarcopenia in older adults. Current opinion in rheumatology 2012;24:623-627.

15. S Melov, MA Tarnopolsky, K Beckman, et al. Resistance exercise reverses aging in human skeletal muscle. PLoS One 2007;2(5):e465.

16. PD Loprinzi, JP Loenneke, EH Blackburn. Movement-based behaviors and leukocyte telomere length among US adults. Med Sci Sports Exerc 2015;47:2347-2352.

17. SC Moore, AV Patel, CE Matthews, et al. Leisure time physical activity of moderate to vigorous intensity and mortality: a large pooled cohort analysis. PLoS Med 2012. https://doi.org/10.1371/journal.pmed.1001335.

18. P Srikanthan, AS Karlamangla. Muscle Mass Index as a Predictor of Longevity in Older-Adults. Am J Med 2014;127:547-553.

19. T Rantanen, K Masaki, Q He, et al. Midlife muscle strength and human longevity up to age 100 years: a 44-year prospective study among a decedent cohort. Age 2012;34:563-570.

20. FW Booth, CK Roberts, MJ Laye. Lack of exercise is a major cause of chronic diseases. Comprehensive physiology 2012;2(2):1143-1211.

21. G Lombardi. Exercise‑Dependent Modulation of Bone Metabolism and Bone Endocrine Function: New Findings and Therapeutic Perspectives. Journal of Science in Sport and Exercise 2019;1:20-28.

22. RA DeFronzo, D Tripathy. Skeletal Muscle Insulin Resistance Is the Primary Defect in Type 2 Diabetes. Diabetes Care 2009;32:S157-S163.

23. P Srikanthan, AS Karlamangla. Relative muscle mass is inversely associated with insulin resistance and prediabetes. Findings from the third National Health and Nutrition Examination Survey. J Clin Endocrinol Metab 2011;96:2898-2903.

24. SR Collier, MD Diggle, KS Heffernan, et al. Changes in arterial distensibility and flow-mediated dilation after acute resistance vs. aerobic exercise. J Strength Cond Res 2010;24:2846-2852.

25. KL Piercy, RP Troiano, RM Ballard, et al. The physical activity guidelines for Americans. JAMA 2018;320:2020-2028.

26. World Health Organization. Global health risks: mortality and burden of disease attributable to selected major risks. Geneva: World Health Organization; 2009. http://www.who.int/iris/handle/10665/44203.

27. SN Blair. Physical inactivity: the biggest public health problem of the 21st century. Br J Sports Med 2009;43:1-2.

28. Physical activity guidelines advisory committee scientific report. US Department of Health and Human Services; Washington, DC. 2018.

29. RM Daly, JD Via, RL Duckham, et al. Exercise for the prevention of osteoporosis in postmenopausal women: an evidence-based guide to the optimal prescription. Brazilian Journal of Physical Therapy 2019;23(2):170-180.

30. L DiPietro, DM Buchner, DX Marquez, et al. New scientific basis for the 2018 US Physical Activity Guidelines. J Sport Health Sci 2019;8:197-200.

31. A McTiernan, CM Friedenreich, PT Katzmarzyk, et al. Physical Activity in Cancer Prevention and Survival: A Systematic Review. Med Sci Sports Exerc 2019;51:1252-1261.

32. H Naci, JPA Ioannidis. Comparative effectiveness of exercise and drug interventions on mortality outcomes: metaepidemiological study. BMJ 2013;347:f5577.

33. B Ward. How Many Calories Will I Burn Sitting Vs. Standing? https://www.btod.com/blog/calories-sitting-standing. )

34. TMH Eijsvogels, S Molossi, D Lee, et al. Exercise at the extremes: the amount of exercise to reduce cardiovascular events. J Am Coll Cardiol 2016;67:316-329.

35. ME Armstrong, J Green, GK Reeves, et al. Frequent physical activity may not reduce vascular disease risk as much as moderate activity: large prospective study of women in the United Kingdom. Circulation 2015;131:721-729.

36. P Schnohr, JH O'Keefe, JL Marott, et al. Dose of jogging and long-term mortality: the Copenhagen City Heart Study. J Am Coll Cardiol 2015;65:411-419.

37. CP Wen, JP Wai, MK Tsai, et al. Minimum amount of physical activity for reduced mortality and extended life expectancy: a prospective cohort study. Lancet 2011;378:1244-1253.

38. DC Lee, RR Pate, CJ Lavie, et al. Leisure-time running reduces all-cause and cardiovascular mortality risk. J Am Coll Cardiol. 2014;64:472-481.

39. MM Wasfy, AL Baggish. Exercise dose in clinical practice. Circulation 2016;133:2297-2313.

40. LJ Goodyear. The exercise pill—too good to be true. N Engl J Med 2008;359:1842-1844.

41. WR Thompson, R Sallis, E Joy, et al. Exercise is medicine. American journal of lifestyle medicine 2020; DOI:https://doi.org/10.1177/1559827620912192.

42. PG Bowen, RT Mankowski, SA Harper, TW Buford. Exercise is medicine as a vital sign: challenges and opportunities. Transl J Am Coll Sports Med 2019;4:1-7.

43. KL Stone, DG Seeley, LY Lui, et al. BMD at multiple sites and risk of fracture of multiple types: long‐term results from the Study of Osteoporotic Fractures. Journal of bone and mineral research 2003;18(11):1947-1954.

44. TLN Järvinen, H Sievänen, KM Khan, et al. Shifting the focus in fracture prevention from osteoporosis to falls. BMJ 2008;336:124.

45. MM Madureira, L Takayama, AL Gallinaro, et al. Balance training program is highly effective in improving functional status and reducing the risk of falls in elderly women with osteoporosis. Osteoporosis International 2007;18:419-425.

46. F El-Khoury, B Cassou, MA Charles, P Dargent-Molina. The effect of fall prevention exercise programmes on fall induced injuries in community dwelling older adults: systematic review and meta-analysis of randomised controlled trials. BMJ 2013;347:f6234.

47. MK Karlsson, H Magnusson, T von Schewelov, et al. Prevention of falls in the elderly-a review. Osteoporos Int 2013;24:747-62.

48. MF Holick. Vitamin D deficiency. N Eng J Med 2007;357:266-81.

49. H Nimitphong, MF Holick. Vitamin D status and sun exposure in Southeast Asia. Dermato-Endocrinology 2013;5:34-7.

50. KB Williams. Bone density and consumption of cola beverages. Journal of Dental Hygiene 2007;82(1) http://jdh.adha.org/content/82/1/7.full.pdf.

51. EA Krall, B Dawson-Hughes. Smoking increases bone loss and decreases intestinal calcium absorption. J Bone and Mineral Research 1999;14(2):215-20.

52. V Yoon, NM Maalouf, K Sakhaee. The effects of smoking on bone metabolism. Osteoporosis International 2012;23:2081-2092.

53. JA Kanis, H Johansson, O Johnell, et al. Alcohol intake as a risk factor for fracture. Osteoporos Int 2005;16:737742.

54. SC Ho, YM Chen, JLF Woo, et al. Sodium is the Leading Dietary Factor Associated with Urinary Calcium Excretion in Hong Kong Chinese Adults. Osteoporos Int 2001;12:723-31.

55. HM Ochs‐Balcom, KM Hovey, et al. Short sleep is associated with low bone mineral density and osteoporosis in the women's health initiative. J Bone and Mineral Research 2020;35:261-268.

56. J Yin, X Jin, Z Shan, et al. Relationship of sleep duration with all‐cause mortality and cardiovascular events: a systematic review and dose‐response meta analysis of prospective cohort studies. J Am Heart Assoc 2017;6:e005947.

57. RS Paffenbarger, R Hyde, AL Wing, C Hsieh. Physical activity, all-cause mortality, and longevity of college alumni. N Engl J Med 1986;314:605-613.


keyword
작가의 이전글폐경 후 골다공증, 어떻게 치료하나?