brunch

골다공증 약의 심각한 부작용

안전한 골다공증 약은 없다

by 송무호

요즘 치과선생님들 사이에는 골칫거리가 하나 있다.


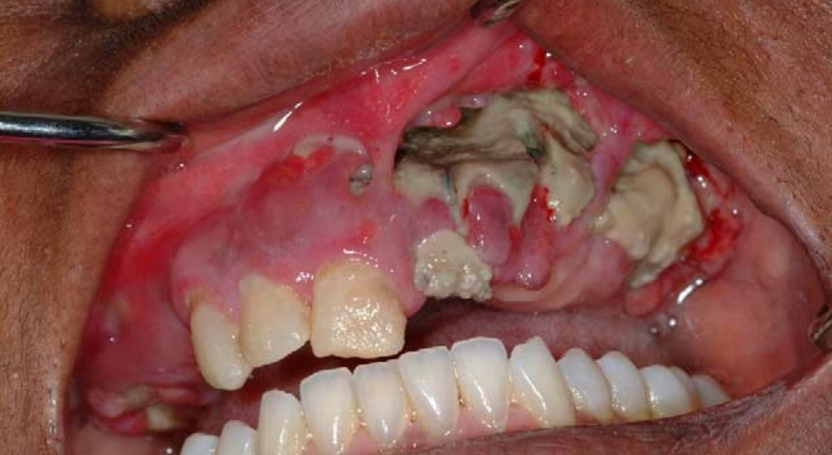
치과 치료 후 발생할 수 있는 무서운 부작용인 턱뼈괴사(ONJ, osteonecrosis of the jaw)가 골다공증약(비스포스포네이트)을 복용한 환자에서 생기는 것이다(*제목란 사진). 발치 후 상처가 아물지 않고 고름이 나오고, 턱뼈가 무너져 내려 치료가 매우 힘들고, 심지어 턱뼈를 잘라내는 경우도 있다 하니 끔찍한 일이다.


약을 먹어본 분들은 이미 알고 있겠지만, 이 약의 복용법은 상당히 까다롭다. 반드시 아침 식전 공복에 다량의 물과 함께 복용해야 하고, 복용 후 최소 30분 이상 누우면 안되고 서거나 앉아 있어야 한다. 그리고 취침 전에 복용하면 절대 안된다. 왜냐면 약이 너무 독해 위벽을 허물어 궤양이 생길 수 있기 때문이다. 약 설명서에 식도궤양, 위궤양 등 심각한 부작용이 생길 수 있으니 주의하라고 나와있다.


이렇게 독한 약을 들어본 적이 있는가? 필자는 의사생활 30년간 이런 약은 처음이다.


왜 이렇게 독할까?


애당초 이 약은 인체에 사용할 목적으로 만든 약이 아니고, 금속의 녹을 방지하는 산업용 화공약품이기 때문이다 [1].


1995년에 출시된 포사맥스 등 경구약들은 위장장애가 너무 심해 사람들이 약 복용하길 꺼려했다. 실제로 매일 먹는 약인 경우 환자의 70%, 일주일에 한번 먹는 약인 경우 환자의 60%에서 1년내 약 복용을 중단한다 [2,3]. 제약회사 입장에서 볼 땐 손실이 컸기에 주사제를 개발해 내었다.


2003년, 3개월에 한번 맞는 주사인 본비바(Bonviva, ibandronate)가 나왔다. 그런데 이 약이 척추골절 예방 효과는 다소 있었지만, 고관절골절 예방에는 별 효과가 없어 인기가 적었다 [4].


그러자 2007년 좀 더 강력한 주사약이 나왔다. 1년에 한번만 맞으면 되는 기적 같은 약물이고, 이름은 졸레드론산(zoledronic acid)이다 [5].


이런 주사약들은 경구약 문제인 위장장애는 피했지만 또 다른 문제가 생겼다. 주사 후 근육통, 관절통, 독감유사 증상이 흔히 나타났고, 심각한 부작용으로 턱뼈괴사의 빈도가 늘어난 것이다 (아래 사진).


SL Ruggiero et al. J Oral Maxillofac Surg 2004.


턱뼈괴사 보고가 처음 나온 건 2003년이었다. 골다공증약 장기사용 시 생길 수 있는 아주 드문 합병증으로 보고되었다 [6,7,8]. 하지만 2004년부터 많은 증례들이 연이어 발표되면서 턱뼈괴사에 대해 우려가 점점 고조되었다 [9,10,11,12,13,14,15,16].


턱뼈괴사가 발생한 대상이 고용량 주사제를 사용한 암환자들이 주였고, 일반인에서의 발병은 비교적 드물었지만, 치과의사들의 우려를 덜어주기 위해 2005년 말과 2006년 두차례에 걸쳐 미국치과협회(ADA)에서는 턱뼈괴사는 연간 10만명당 불과 0.7명의 낮은 발병 빈도라 통계학적 의미가 없고, 주사제가 빈도를 높인다는 보고는 있으나 경구용 약제는 큰 걱정 할 필요가 없어, 환자의 치과 치료 방법을 조정하거나 중지할 필요가 없다고 공식발표했고 [17,18], 2008년도에 한번 더 턱뼈괴사의 빈도는 매우 낮으니 경구약 복용자는 걱정할 필요가 없다고 재차 강조했다 [19].


하지만 2009년 미국 LA에 있는 Southern California 치과대학에서 발표한 보고는 가히 충격적이었다. 골다공증 주사제가 아닌 경구약을 복용한 환자의 4%에서 치과치료 후 턱뼈괴사가 생겼고, 심지어 일반적인 통념인 장기 사용자에 국한되는 게 아니라, 단기간(12개월) 사용한 사람에게도 턱뼈괴사가 생겼다고 했다 [20].


독자분들 중에 4% 빈도는 큰 문제가 아니라고 생각하실 분도 있겠지만, 골다공증약의 대표주자인 포사맥스의 경우 약 복용 후 골절 빈도를 얼마나 줄였을까?


경구약인 포사맥스를 2년간 투여 후 고관절골절 빈도를 불과 0.4% (대조군 0.8%, 투약군 0.4%) 줄였고 [21], 주사약인 졸레드론산은 3년간 투여 시 고관절골절 빈도를 1.1% (대조군 2.5%, 투약군 1.4%) 줄이고는 성공적인 약이라 홍보했고, 현재 전 세계적으로 엄청난 매출을 올리고 있다 [22].


경구약 복용 후 턱뼈괴사 발생빈도는 0%에서 4.3% 까지 다양하게 보고되고 있는데 [23], 어느 수치를 믿을 것인지는 독자의 선택이다.


왜 턱뼈에 괴사가 생길까?


정상적인 뼈는 환경에 반응하여 끊임없이 골재형성(bone remodeling)이 일어난다. 잇몸 뼈인 치조골(alveolar bone)의 골대사 속도는 다른 부위의 뼈들보다 3-6배 더 빠른데 [24], 그 이유는 씹는 일로 끊임없이 뼈에 자극을 주기 때문이고, 뼈는 기계적인 자극을 받으면 활발히 재생된다 [25].


그런데 포사맥스는 골재형성을 방해한다. 건강한 뼈를 가지려면 이런 골대사가 정상적으로 일어나야 하는데 그걸 방해하니 뼈가 손상되면 잘 낫지 않는다. 또한 혈액 순환이 상처회복에 중요한데 이 약들은 신생혈관 형성(Angiogenesis)을 방해해서 혈액 공급에도 장애가 생긴다 [26]. 치과에서 발치를 하거나 다른 치료 후 잇몸 뼈에 상처가 날 때 정상적인 조직이면 상처가 잘 낫지만, 이 약 복용자들은 혈액순환장애와 골대사장애로 기본적인 회복기전이 망가져있어 손상된 뼈가 잘 낫지 않고, 또한 구강 내 미생물 감염도 일어나 결국 뼈가 괴사된다.


2010년 프롤리아(Prolia, denosumab)라는 새로운 주사제가 나왔다 (한국 2016년 출시). 6개월에 한번 맞는 피하 주사제로, 매일 또는 일주일에 한번 먹던 약에 비해 환자 편의도가 높고, 또 경구제와는 달리 위장 장애도 없으니 인기가 많아 현재 "베스트셀러" 약물이다.


약 설명서에 ‘human monoclonal antibody and RANKL(receptor activator of nuclear factor kappa-B ligand) inhibitor'라는 어려운 이름을 달고 있는데 쉽게 설명하면 monoclonal antibody란 실험실에서 만들어진 물질로 사람 몸의 항체와 같은 역할을 한다는 뜻이고, RANKL이란 파골전구세포(pre-osteoclast)를 성숙파골세포(mature osteoclast)로 활성화시키는 물질인데 이걸 작동 못하게 막는다는 뜻이다. 즉 어린 파골세포를 못 자라게 막아 그 기능을 원천적으로 막는 것이다 [27,28].


이 약은 한국에서 2019년 1차 치료제로 보험급여가 인정되면서 2020년 900억이 넘는 매출을 올려 현재 한국 내 골다공증약 중 매출 1위이며, 2022년 건강보험심사평가원 보고에 의하면 전체 약품들의 청구 금액 1위, 2위 자리를 고지혈증약인 리피토와 다툴정도로 매출액이 많다 [29].


프롤리아는 포사맥스와 생화학적 기전은 다르지만 궁극적인 목표는 동일하다. 즉 파골세포의 기능을 제압하는 것이다.


파골세포가 우리의 적인가?


당연히 아니다. 뼈는 살아있기에 매일 끊임없이 대사를 하고, 정상적인 대사의 첫걸음은, 낡고 오래된 뼈세포를 파골세포가 없애는 것이다. 그 빈 공간에 조골세포가 새 뼈를 심는 작업을 한다. 파골세포가 작동을 안하면 새 뼈는 생기지 않고, 오래된 뼈만 계속 쌓여 골밀도는 높아지지만, 실제로는 뼈가 점점 더 약해져서 병든 뼈가 된다.


골다공증약은 파골세포를 죽이기 때문에 정상적인 골대사 과정이 방해되어 뼈에 가해지는 부하에 정상적으로 생기는 미세균열(microscopic cracks)이 자연적으로 치유되지 못하고 축적되어 골절로 진행한다. 그래서 결국 대퇴골 비전형 골절 같은 심각한 부작용이 생기는 것이다. 현재 골다공증에 가장 많이 사용되는 약(포사맥스, 악토넬, 본비바, 프롤리아)의 기전이 모두 이러하다.


프롤리아의 결과를 홍보한 FREEDOM(Fracture Reduction Evaluation of Denosumab in Osteoporosis every six Months) 연구에 의하면, 3년간 투여 시 척추골절은 68%, 고관절골절은 40% 감소시켰다고 광고한다. 하지만 내용을 자세히 보면 그 수치는 상대위험감소율이다. 실제로 중요한 절대위험감소율은 척추골절 4.9%, 고관절골절 0.5%에 불과하다 [30]. (*상대위험감소 상세설명 -> ‘매우 위험한 골다공증약’ )


또한 이 약은 특이하게 우리 몸의 면역시스템을 약화시켜 피부, 귀, 방광 등에 심각한 감염증 및 심장내막염이 발생할 수 있다고 약 설명서에 나와있다(프롤리아 주사를 맞으시는 분들은 다음 주사 맞기 전에 약 설명서를 달라고 해서 꼭 한번 내용을 읽어보시길 권한다).


프롤리아와 같은 주사제들은 골다공증 환자뿐만 아니라 뼈전이가 생긴 암환자에게 많이 쓰인다. 이 약의 턱뼈괴사 발생 빈도는 기존의 경구약보다 훨씬 더 높게 나온다. 왜냐면 파골세포 억제 기능이 더 강력하여 정상적인 대사과정이 안되니 뼈에 생긴 상처회복도 잘 안되기 때문이다 [31,32].


프롤리아 이전 골다공증약 사용자의 치아 발치 후 턱뼈괴사 빈도를 메타분석(모든 연구들을 모아 하나의 결론을 내는 통계방법) 한 결과는 0.15% 였다 [33]. 프롤리아 사용자의 발치 후 턱뼈괴사 빈도는 0.68% 로 기존 약에 비해 빈도가 훨씬 높아졌다 [34]. 프롤리아를 암환자에게 투여 시 턱뼈괴사의 빈도는 1년 뒤 0.5-2.1%, 2년 뒤 1.1-3.0%, 3년 뒤 1.3-3.2% 로 오래 사용할수록 빈도가 증가한다 [35].


이뿐만 아니라 2015년 겨울부터 이상한 현상들이 보고되기 시작했다. 프롤리아를 수년간 사용하다 끊은 환자에서 3-4개월 뒤 무외상 혹은 약한 외상에도 불구하고 척추골절이 생겼다 [36,37,38,39]. 이유는 약을 사용하다 끊으면 '리바운드 현상'이 생겨 골밀도가 급속히 떨어진다는 것이다.


따라서 프롤리아를 맞기 시작한 환자가 약을 끊을 때는 신속히 다른 약으로 대체하던지, 그러지 못한다면 주사를 계속 맞아야 한다 [40,41]. 이미 기술했듯이 골다공증약을 오래 쓰면 쓸수록 턱뼈괴사나 비전형 골절이 증가하기에 어느정도 사용하고 나면 약을 끊어야 한다. 하지만 약을 끊으면 리바운드 현상이 생겨 골절이 더 쉽게 일어나므로, 다른 약을 계속 써야 하는 진퇴양난(進退兩難)의 상황이 생기게 된다.


미국 구강악안면외과학회에서는 턱뼈괴사에 대한 가이드라인을 발표하는데, 2014년에는 비스포스포네이트 복용자는 치과 시술 전 최소 2개월 이상 약을 끊으라고 했으나, 2022년 발표에는 중단기간에 대한 정확한 언급은 없이 논쟁 중이라 하였고, 프롤리아 사용자는 치과 치료 후 턱뼈괴사가 생길 수 있다는 동의서를 꼭 받아야 하고, 주사약 중지 후 생기는 리바운드 현상을 줄이기 위해 치과 치료를 3-4개월 안에 다 마무리하라고 권했다 [42].


즉, 아무도 자신있게 그 위험성에 대해 예단하기가 어렵다는 말이다. 비스포스포네이트는 약물 반감기가 약 10년 정도로 길고 대사가 잘 되질 않아 약을 끊어도 축적된 약효가 오래 지속된다 [43]. 특히 일단 약물이 체내에 축적되기 시작하면 턱뼈 괴사 위험군으로 분류되기 때문에 이를 뺄 수도 없고 임플란트를 심을 수도 없는 처지가 된다. 환자 입장에서도 치과의사 입장에서도 참으로 난감한 일이다.


최근(2021년) 저명한 학술지인 셀(Cell)에 프롤리아를 끊었을 때 왜 골절이 더 증가되는지를 알려주는 논문이 나왔다. 전문적인 내용이라 일반인들은 다음 단락으로 넘어가도 된다. (* 혈액과 골수에 존재하는 ‘osteomorph'라는 새로운 타입의 뼈세포가 발견되었는데, 이 세포들이 합쳐지면서(fusion) 파골세포가 만들어져 뼈흡수가 진행되고, 임무가 끝나면 다시 분열(fission)하여 osteomorph로 돌아가면서 파골세포가 죽지않고 재활용된다 (아래 그림). 프롤리아는 osteomorph 가 파골세포가 되는 과정을 조절하는 RANKL 시스템을 막아 파골세포로 전환되지 못한 osteomorph가 비정상적으로 몸에 많이 쌓이게 되고, 치료가 끝나 약을 끊으면 그동안 쌓였던 osteomorph들의 과도한 작동으로 뼈흡수가 증가되어 뼈가 더 약해지고 골절이 발생한다 [44].)

G Mabilleau et al. Trends in endocrinology & metabolism 2021.


프롤리아 주사를 맞을 때 또하나 불편한 점은 칼슘보충제와 비타민 D 제제를 반드시 매일 먹어야 한다는 것이다. 그러지 않으면 저칼슘혈증으로 근육마비나 경련이 생길 수 있기 때문이다. 정상적인 파골세포는 오래된 뼈를 흡수하면서 뼈속에 있는 칼슘을 혈액으로 공급하는데, 약으로 파골세포의 활동을 억제하면 칼슘 공급이 부족해져 저칼슘혈증이 발생한다 [45]. 따라서 칼슘을 인위적으로 계속 보충해 주어야 한다. 칼슘보충제는 그 자체로도 심근경색, 뇌졸중의 위험도를 높이는 문제가 있으니, 혹시 칼슘보충제를 드시는 분들은 이전 글 '칼슘보충제의 진실'을 꼭 참고하시길 바란다.


현재 골다공증 1차 약제로 가장 많이 사용되는 프롤리아는 6개월에 한번 맞는 편의성으로 인기가 많으나 우리 몸의 면역력을 떨어뜨리고, 저칼슘혈증 및 턱뼈괴사의 가능성이 있고, 약 중단시 급속하게 골밀도가 떨어지는 리바운드 현상이 있어, 결코 안전한 약이 아니다.


그 외 골다공증약 부작용으로 심장 부정맥 중 하나인 심방세동이 생길 수가 있다 [46,47,48]. 심방세동은 심각한 질환인 뇌졸중을 야기하고 사망률을 증가시키기에 매우 심각한 문제이다 [49,50,51].


또한 치명적인 식도암과의 관련성도 있다. 골다공증 경구제를 5년 이상 복용 시 식도암 발생 빈도가 2배 증가했다는 옥스퍼드 대학의 보고도 있고 [52], 불과 2-3년 복용 후 발생했다는 FDA 보고도 있으니 주의를 요한다 [53].


마지막으로 2018년 출시된 골절 고위험군을 위한 새로운 주사제인 이베니티(Evenity, romosozumab)는 매달 한번씩 1년 동안 피하주사를 맞는다 (*한국, 2021년 2차 치료제로 보험 급여인정). 뼈세포(osteocyte)에서 분비되는 스클레로스틴(sclerostin)이란 단백질은 조골세포에 의한 뼈생성을 억제하고, 파골세포에 의한 뼈흡수를 촉진하여 과도한 뼈가 생기지 않도록 하는 역할을 하는데 [54], 이베니티는 이 단백질의 생산을 인위적으로 중지시켜 뼈생성 촉진과 뼈흡수를 억제하는 이중기전 치료제다.


하지만 결국 정상적인 뼈 대사작용을 방해해서 골밀도를 높이는 기전은 다른 약들과 유사하기에 부작용도 비슷하게 일어난다. 이베니티는 비스포스포네이트와 달리 약물의 지속 효과가 없다. 따라서 치료를 중단하는 경우 약물의 효과가 급속히 감소하기에 12회 주사 후 다시 프롤리아 등 다른 골다공증약을 계속 써야 한다.


이베니티의 특이한 점은 1년 주사 시 뇌졸중을 포함한 심혈관질환으로 사망하는 비율이 포사맥스 1.0%인데 반해 이베니티는 1.5%로 높게 나와 심혈관계 부작용 우려가 있었다 [55]. 따라서 FDA에서는 약 설명서에 반드시 심근경색 및 뇌졸중 위험에 대한 경고를 하라고 지시했다. 옥스퍼드 대학에서 나온 메타연구에서도 스클레로스틴을 인위적으로 억제하는 약물은 심혈관계질환의 위험성을 증가시키니 주의하라고 했다 [56]. 이와 같은 이유로 미국 FDA와 비슷한 역할을 하는 유럽 CHMP(Committee for Medicinal Products for Human Use)에서는 이 약의 유럽 내 판매를 금지시켰다 [57].


왜 이베니티가 심혈관질환을 증가시키는가에 대해서는 계속 의문이었으나, 최근(2023년4월) 뼈의 생성을 억제하는 스클레로스틴의 혈중 농도 감소는 심장으로 가는 동맥의 석회화를 조장시켜 심근경색의 빈도가 올라가는 기전을 밝혀냈다 [58].

sclerostin.jpg


결론적으로 최신약인 이베니티도 단기간 골밀도를 증가시켜 주는 효과는 있지만 지속적이지 않고, 심혈관계 부작용 증가를 고려할 때 좋은 약이라 보기 어렵다. 이처럼 골다공증 약들은 근본적인 원인을 해결하지는 못하고, 새로 나온 약들은 끊임없는 부작용 논란에서 벗어날 수가 없으니 주의를 요한다.


부작용 없는 약은 없다. 따라서 사람들은 약을 먹을 때 메스꺼움, 복부 불편감, 식욕 감퇴 등 어느 정도의 부작용은 감수한다. 하지만 턱뼈괴사, 비전형골절, 심방세동, 식도암 등이 발생할 수 있다는 것을 미리 알았을 때 이 약 복용을 선택하는 분이 과연 얼마나 될까?


이 글을 읽고 일부 독자들은 매우 놀라고, 일부는 화가 나기도 할 것이다. 약을 선택할 때 득과 실을 잘 따져서 선택해야 한다. 현재 나와있는 골다공증약 중 안전한 약은 없다. 약 복용의 득이 실보다 큰가 판단은 환자들의 몫이다. “나는 괜찮겠지”라는 생각으로 크게 도움이 되지도 않는 약을 복용하고 평생 후회하는 일이 생길 수도 있다.


위에 기술한 모든 약들은 의약품이다. 의약품이란 심한 질병이나 그에 준하는 응급상황에 쓰는 것이다. 골다공증, 특히 폐경 후 오는 골다공증은 병이 아니다. 따라서 근본적으로 약이 필요한 상태가 아니고 운동, 다이어트 등 생활습관교정으로 얼마든지 좋아질 수 있다.


시대가 변하고 있다. 이제 병원에서 주는 약이라고 맹목적으로 먹는 수동적인 소비자가 되지 말고, 약으로 얻을 수 있는 장점보다 단점이 더 클 때는 과감하게 약 복용을 거부하는 주체적인 의료 소비자가 되어야 한다. 자신의 몸을 지키는 것은 자신이지, 의사가 아니기 때문이다.


그리고 의료인들도 제약회사의 과대광고에 휘둘려 기계적으로 약을 처방하지 말고, 히포크라테스의 “Do no harm” 정신을 끊임없이 질문하고 반성하며 환자에게 최선의 방법이 무엇인지 생각해야 한다. 이렇게 효과는 미미하고 부작용은 심각한 골다공증약을 자기 가족에게 사용하는 의료인은 거의 없을 거라고 본다. 의료는 참으로 귀한 일이다. 어떻게 사용할 것인지 고민이 필요한 때다.


골다공증에 약을 먹는 것은 첫 단추를 잘못 끼우는 것이다.


위험한 약에 의존하지 말자.


"Better safe than sorry"




*에필로그(2024.6.23): 약 1년반 전 작성한 필자의 골다공증 글이 건강다이제스트, 뉴스아고라, 코메디닷컴 등 여러 경로로 대중들에게 알려지자, 본인의 골밀도 검사 결과에 걱정되어 문의하시는 분들이 있다. 골밀도 검사에 대해 일반인들도 알면 좋을 몇가지 사항을 추가한다.


1. 건강한 사람은 골밀도 검사를 할 필요가 없다. 골밀도 검사로는 골절의 가능성을 예측할 수 없기 때문이다. 낮은 골밀도는 골절이 생길 수 있는 여러가지 요소 중 하나일 뿐이다. 골절 예방에는 골밀도 관리보다, 낙상 방지에 주의를 기울이는 것이 훨씬 더 중요하다.

2. 검사 후 너무 낮은 수치가 나온 경우, 검사기계의 오류를 먼저 생각해봐야 한다. 그런 경우가 흔히 있다 (아래 기사)[59].

djdxjl.jpg


3. 골밀도 검사는 일반적으로 DEXA 방식을 사용한 기계로 척추와 고관절을 측정하여 T-score를 제시한다. 척추의 경우 가장 낮은 요추 하나의 결과를 보고 판정하는 경우가 종종 있지만, 그렇게 하면 안되고 요추 1번에서 4번까지의 평균수치를 봐야 한다. 고관절은 워드삼각(Ward's triangle) 부위의 수치는 제외한 다른 부위의 수치를 봐야 한다.

4. 폐경 전 여성과 50세 이전 남성은, T-score(젊고 건강한 사람의 골밀도와 비교)를 보면 안되고, Z-score(같은 연령대 건강한 사람의 골밀도와 비교)를 봐야 하는데 -2.0 이상이면 아무 걱정할 필요가 없고, -2.0 이하면 약물(e.g. 스테로이드)이나 질병(e.g. 갑상선기능항진증)에 의한 이차성 골다공증을 의심한다.

5. 폐경 후 여성과 50세 이상 남성도 T-score 만 보지 말고 Z-score도 같이 봐야 한다. T-score는 -2.5로 골다공증 진단을 받았지만, Z-score가 -2.0 이하가 아니라면 같은 연령대 건강인의 평균 골밀도에 크게 벗어나지 않으므로 걱정할 필요가 없다. 뼈 건강은 전신 건강에도 큰 영향을 미치니 약물에 의존하기보다는 평소에 뼈를 튼튼하게 하는 식이요법과 운동을 꾸준히 해서 골다공증 걱정 없는 건강한 삶을 누리시길 권한다. (*비약물적 요법 상세설명 -> 골다공증 약 없이 치료하는 방법, 폐경 후 골다공증 어떻게 치료하나? )

6. 우연히 검사한 골밀도 수치가 비정상적으로 낮게 나온 후 병원에서 "지금 당장 주사 안 맞으면 뼈가 내려앉아 평생 불구가 된다, 혹은 걸어가다 척추 압박골절로 드러눕는다" 등 각종 겁나는 말을 듣고 불안해하시는 분들이 꽤 많다. 참 슬픈 일이다. 이런 게 '공포마케팅'이지만 사실 그런 황당한 일은 현실에선 일어나지 않는다. 요즘은 정형외과 치료 기술이 향상되어 노인에게 가장 위험하다는 고관절 골절인 경우에도 수술 후 2-3일이면 혼자 걸을 수 있고, 2-3주면 일상생활이 가능하기에 퇴원한다. 골다공증 약을 장기간 먹다가, 약물 부작용으로 인한 비외상성 취약골절(fragility fracture)로 고생하시는 분들을 요즘 진료현장에서 심심찮게 본다. 의료소비자가 똑똑해져야 자신의 건강을 지킬 수 있는 시대가 되었다. 골밀도 검사 수치는 하나의 참고 사항이지, 뼈 건강을 온전히 나타내는 건 아니다. '공포마케팅'에 휘둘리지 않으시길 빈다.



참고문헌

1. GA Rodan, HA Fleisch. Bisphosphonates: mechanisms of action. The Journal of clinical investigation 1996;97(12):2692-2696.

2. JA Cramer, DT Gold, SL Silverman, EM Lewiecki. A systematic review of persistence and compliance with bisphosphonates for osteoporosis. Osteoporosis International 2007;18(8):1023-1031.

3. SL Silverman, JT Schousboe, DT Gold. Oral bisphosphonate compliance and persistence: a matter of choice? Osteoporosis international 2011;22:21-26.

4. CA Inderjeeth, P Glendenning, S Ratnagobal, et al. Long-term efficacy, safety, and patient acceptability of ibandronate in the treatment of postmenopausal osteoporosis. International Journal of Women's Health 2015;7:7-17.

5. DM Black, PD Delmas, R Eastell, et al. Once-yearly zoledronic acid for treatment of postmenopausal osteoporosis. N Engl J Med 2007;356:1809-1822.

6. B Mehrotra, J Fantasia, S Nissel-Horowitz, et al. Osteonecrosis of the maxilla: an unusual complication of prolonged bisphosphonate therapy. A case report. Proc Am Soc Clin Oncol 2003;22:795.

7. TJ Rosenberg, S Ruggiero. Osteonecrosis of the jaws associated with the use of bisphosphonates J Oral Maxillofac Surg 2003;61(8):60.

8. RE Marx. Pamidronate (Aredia) and zoledronate (Zometa) induced avascular necrosis of the jaws: a growing epidemic. J Oral Maxillofac Surg 2003;61(9):1115.

9. MS Greenberg. Intravenous bisphosphonates and osteonecrosis. Oral Surg Oral Med Oral Pathol Oral Radiol Endond 2004;93:259-260.

10. SL Ruggiero, B Mehrotra, TJ Rosenberg, S Engroff. Osteonecrosis of the jaws associated with the use of bisphosphonates: a review of 63 cases. J Oral Maxillofac Surg 2004;62:527-534.

11. HC Schwartz. Osteonecrosis and bisphosphonates: correlation versus causation. J Oral Maxillofac Surg 2004;62:763-764.

12. S Ruggiero, V Woo. B Mehrotra, J Fantasia. Osteonecrosis of the jaws associated with the use of bisphosphonate medications: a report of 60 cases. Oral Surg Oral Med Oral Pathol Oral Radiol Endod 2004;98:196.

13. CL Estillo, T Williams, E Evtimovska, et al. Osteonecrosis of the maxilla and mandible: possible drug-induced complication of bisphosphonate therapy. Oral Surg Oral Med Oral Pathol Oral Radiol Endod 2004;97:449.

14. CA Migliorati, MM Schubert, DE Petersen, LM Seneda. Bisphosphonate-associated osteonecrosis of mandibular and maxillary bone. An emerging oral complication of supportive cancer therapy. Cancer 2005;104:83-93.

15. AM Vannucchi, G Ficarra, E Antonioli, A Bosi. Osteonecrosis of the jaw associated with zoledronate therapy in a patient with multiple myeloma. Br J Haematol 2005;128:738.

16. JW Hellstein, CL Marek. Bisphosphonate osteonecrosis (bis-phossy jaw): is this phossy jaw of the 21st century? J Oral Maxillofac Surg 2005;63:682-689.

17. CA Migliorati, J Casiglia, J Epstein, et al. Managing the care of patients with bisphosphonate-associated osteonecrosis: an American Academy of Oral Medicine position paper. The Journal of the American Dental Association 2005;136(12):1658-1668.

18. American Dental Association Council on Scientific Affairs. Dental management of patients receiving oral bisphosphonate therapy: expert panel recommendations. JADA 2006;137(8):1144-1150.

19. BJ Edwards, JW Hellstein, PL Jacobsen, et al. Updated recommendations for managing the care of patients receiving oral bisphosphonate therapy: an advisory statement from the American Dental Association Council on Scientific Affairs. JADA 2008;139(12):1674-1677.

20. PP Sedghizadeh, K Stanley, M Caligiuri, et al. Oral bisphosphonate use and the prevalence of osteonecrosis of the jaw: an institutional inquiry. The Journal of the American Dental Association 2009;140(1):61-66.

21. SE Papapoulos, SA Quandt, UA Liberman, et al. Meta-analysis of the efficacy of alendronate for the prevention of hip fractures in postmenopausal women. Osteoporosis International 2005;16:468-474.

22. DM Black, PD Delmas, R Eastell, et al. Once-yearly zoledronic acid for treatment of postmenopausal osteoporosis. N Engl J Med 2007;356:1809-1822.

23. S Kühl, C Walter, S Acham, et al. Bisphosphonate related osteonecrosis of the jaws - a review. Oral Oncology 2012;48(10):938-947.

24. M Omi, Y Mishina. Roles of osteoclasts in alveolar bone remodeling. Genesis 2022;60(8):e23490.

25. M Omi, Y Mishina. Role of osteoclasts in oral homeostasis and jawbone diseases. Oral Science International 2020;18(1):14-27.

26. J Wood, K Bonjean, S Ruetz, et al. Novel antiangiogenic effects of the bisphosphonate compound zoledronic acid. J Pharmacol Exp Ther 2002;302:1055-61.

27. DL Lacey, E Timms, HL Tan, et al. Osteoprotegerin ligand is a cytokine that regulates osteoclast differentiation and activation. Cell 1998;93:165-176.

28. N Nakagawa, M Kinosaki, K Yamaguchi, et al. RANK is the essential signaling receptor for osteoclast differentiation factor in osteoclastogenesis. Biochemical and Biophysical Research Communications 1998;253:395-400.

29. 메디칼타임즈 https://www.medicaltimes.com/Main/News/NewsView.html?ID=1149879

30. SR Cummings, JS Martin, MR McClung, et al. Denosumab for prevention of fractures in postmenopausal women with osteoporosis. N Engl J Med 2009;361:756-765.

31. F Hallmer, T Bjørnland, A Nicklasson, et al. Osteonecrosis of the jaw in patients treated with oral and intravenous bisphosphonates: experience in Sweden. Oral Surg Oral Med Oral Pathol Oral Radiol 2014;118(2):202-208.

32. Hallmer F, Andersson G, Gotrick B, et al. Prevalence, initiating factor, and treatment outcome of medication-related osteonecrosis of the jaw-a 4-year prospective study. Oral Surg Oral Med Oral Pathol Oral Radiol 2018;126(6):477-485.

33. E Gaudin, L Seidel, M Bacevic, et al. Occurrence and risk indicators of medication‐related osteonecrosis of the jaw after dental extraction: a systematic review and meta-analysis. J Clin Periodontol 2015;42(10):922-932.

34. NB Watts, JT Grbic, N Binkley, et al. Invasive oral procedures and events in postmenopausal women with osteoporosis treated with denosumab for up to 10 Years. J Clin Endocrinol Metab 2019;104(6):2443-2452.

35. A Limones, LM Saez-Alcaide, SA Diaz-Parreno, et al. Medication-related osteonecrosis of the jaws (MRONJ) in cancer patients treated with denosumab VS. Zoledronic acid: A systematic review and meta-analysis. Med Oral Patol Oral Cir Bucal 2020;25(3):e326-e336.

36. AW Popp, PK Zysset, K Lippuner. Rebound-associated vertebral fractures after discontinuation of denosumab-from clinic and biomechanics. Osteoporos Int 2016; 27(5): 1917-1921.

37. AD Anastasilakis, P Makras. Multiple clinical vertebral fractures following denosumab discontinuation. Osteoporos Int 2016;27(5): 1929-1930.

38. B Aubry-Rozier, E Gonzalez-Rodriguez, D Stoll, O Lamy. Severe spontaneous vertebral fractures after denosumab discontinuation: three case reports. Osteoporos Int 2016;27(5):1923-1925.

39. SA Polyzos, E Terpos. Clinical vertebral fractures following denosumab discontinuation. Endocrine 2016;54(1): 271-272.

40. SR Cummings, S Ferrari, R Eastell, et al. Vertebral fractures after discontinuation of denosumab: A post Hoc analysis of the randomized placebo-controlled FREEDOM trial and its extension. J Bone Miner Res 2018;33(2):190-198.

41. E Tsourdi, B Langdahl, M Cohen-Solal, et al. Discontinuation of denosumab therapy for osteoporosis: A systematic review and position statement by ECTS. Bone 2017;105:11-17.

42. SL Ruggiero, TB Dodson, T Aghaloo, et al. American Association of Oral and Maxillofacial Surgeons' Position Paper on medication-related osteonecrosis of the jaw–2022 update. Journal of Oral and Maxillofacial Surgery 2022;80(50:920-943.

43. I Shinkai, Y Ohta. "New drugs recently approved by the FDA. Alendronate". Bioorganic & Medicinal Chemistry 1996;4(1):3-4.

44. MM McDonald, WH Khoo, PY Ng, et al. Osteoclasts recycle via osteomorphs during RANKL-stimulated bone resorption. Cell 2021;184(5):1330-1347.

45. Z Li, K Kong, W Qi. Osteoclast and its roles in calcium metabolism and bone development and remodeling. Biochemical and Biophysical Research Communications 2006;343(2):345-350.

46. DM Black, PD Delmas, R Eastell, et al. Once-yearly zoledronic acid for treatment of postmenopausal osteoporosis. N Engl J Med 2007;356:1809-1822.

47. SR Cummings, AV Schwartz, DM Black. Alendronate and atrial fibrillation. N Engl J Med 2007;356:1895-1896.

48. B Abrahamsen, P Eiken, K Brixen. 2009. Atrial fibrillation in fracture patients treated with oral bisphosphonates. Journal of Internal Medicine 2009;265(5):581-592.

49. PA Wolf, TR Dawber, HE Thomas, WB Kannel. Epidemiologic assessment of chronic atrial fibrillation and risk of stroke: the Framingham study. Neurology 1978;28:973.

50. AS Go, EM Hylek, KA Phillips, et al. Prevalence of diagnosed atrial fibrillation in adults-national implications for rhythm management and stroke prevention: the Anticoagulation and Risk Factors in Atrial Fibrillation (ATRIA) study. JAMA 2001;285:2370-2375.

51. M Zoni-Berisso, F Lercari, T Carazza, S Domenicucci. Epidemiology of atrial fibrillation: European perspective. Clin. Epidemiol 2014;6:213-220.

52. J Green, G Czanner, G Reeves, et al. Oral bisphosphonates and risk of cancer of oesophagus, stomach, and colorectum: case-control analysis within a UK primary care cohort. BMJ 2010;341:c4444.

53. DK Wysowski. Reports of esophageal cancer with oral bisphosphonate use. N Engl J Med 2009;360:89-90.

54. A Catalano, N Morabito, G Basile, et al. Zoledronic acid acutely increases sclerostin serum levels in women with postmenopausal osteoporosis. The Journal of Clinical Endocrinology & Metabolism 2013;98(5):1911-1915.

55. MR McClung. Romosozumab for the treatment of osteoporosis. Osteoporosis and Sarcopenia 2018;4(1):11-15.

56. J Bovijn, K Krebs, CY Chen, et al. Evaluating the cardiovascular safety of sclerostin inhibition using evidence from meta-analysis of clinical trials and human genetics. Science translational Medicine 2020;12(549):eaay6570.

57. Pharmaceutical business review https://www.pharmaceutical-business-review.com/news/chmp-evenity-negative-opinion/

58. J Zheng, E Wheeler, M Pietzner, et al. Lowering of circulating sclerostin may increase risk of atherosclerosis and its risk factors: evidence from a genome-wide association meta-analysis followed by Mendelian randomization. Arthritis & Rheumatology 2023; https://doi.org/10.1002/art.42538

59. 한겨레 https://www.hani.co.kr/arti/society/health/12815.html



keyword
작가의 이전글매우 위험한 약, 골다공증 약