병원의 이모저모, 행복과 고통이 공존하는 시간들
2025년 8월 30일 토요일
내가 치료받고 있는 아니, 입원해 있는 행복한 에이치 병원, 김정훈 병원장님께서 신기한 정보를 알려주셨다.
언어, 그 안에 깃든 이중의 얼굴
종양의 모양이 마치 꽃게의 다리처럼 찌르는 듯하다 하셨다.
그래서 '게(cancer)'와도 닮았다고.
상상해 보니 정말 그 모습이 겹쳐 보였다.
무섭고 날카롭고, 어디로 퍼질지 모르는 불안한 형상.
그런데 또 ‘can’이라는 단어는 할 수 있다는 뜻의 can이기도 하다고... 맞다.
같은 음에서 그렇게 다른 의미가 공존할 수 있다니 언어는 참 신기하다.
고통을 한가득 담은 마음 안에도 살아낼 수 있다는 용기와 희망의 언어가 숨어 있다는 것.
같은 음절 속에 절망과 희망, 상처와 치유가 동시에 깃들어 있다는 것.
언어는 무엇을 붙들어 읽느냐에 따라 삶의 얼굴이 달라지는 거울이 되어주는 게 아닐까라는 생각이 들었다.
병원에 입원하면서 일상에서 쉽게 느낄 수 없었던 경험들을 통해 나 자신을 다시 만나는 기회를 가졌다.
우울할 틈도 없이 오히려 나는 여전히 행복한 병원생활을 하고 있다.
외부의 시선에서 보면 병원은 치유의 장소라기보다는 고통과 불안을 동반하는 공간일 수도 있지만 이 병원에서는 그 모든 상식이 뒤바뀌었다.
입원한 지 하루 지난 8월 28일.
그저께는 많은 환우분들과 원장님과 함께 코바늘 수세미 뜨개질의 시간을 가졌다.
그리고 이 글을 쓰는 8월 30일인 오늘은...
참석하지 않은 분들이 많다.
내 병실만 보아도 2분이 참석 안 하셨다.
저마다 개성 있는 작품이 다채롭다.
우리 모두 다르기에 특별한 색을 지닌 사람들이 세상을 물들이듯 존재한다.
치료받느라 바쁘고 노느라 바쁘고 아이돌 스케줄보다 더 바쁜 나.
늘 깨어 있는 시간보다 병원 진료로 훨씬 바쁘신 원장님께서는 아무리 피곤해도 지친 기색 없이 언제나 환자분들과 함께하시며 마음을 나누어 주신다.
의사 선생님들은 공부만 해서 노는 거 모르실 줄 알았는데 ㅎㅎ
고통 속에서도 웃음을 잃지 않게 해주는 원장님의 유머와 따뜻한 마음 덕분에 나는 병원을 행복하게 놀러 다니는 곳처럼 지내고 있다.
최근에 통증이 쉽게 가라앉지 않아 다시 입원하게 되었지만 그마저도 억지로 버티는 시간이 아니라 나를 보살펴주는 공간에서 한숨 돌리는 시간처럼 느껴진다.
물론 치료의 과정은 쉽지 않지만 틈틈이 웃음을 찾고 그 웃음 덕분에 일상이, 오늘이, 지금이 조금 더 가벼워진다.
병원이라는 공간이지만 그곳에서의 시간이 고통의 연대기만은 아니었다.
실제로 '행복한'이라는 병원 이름은 원장님의 철학에서 비롯되었다고 들었다.
환자들이 치료받으며 행복해지기를 바라는 마음...
그 따뜻한 의도가 담긴 이름이었음을 알게 된 순간, 나는 이곳이 의술을 떠나 마음까지 치유하는 공간임을 깊이 느꼈다.
의학적 치료가 몸의 병을 다스린다면 레크리에이션은 삶의 기운을 되살리는 일이 아닐까.
병은 몸의 세포나 장기의 손상에서 비롯되지 않는다고 느낀다.
고립, 두려움, 무력감 같은 보이지 않는 상처도 병을 키우니 말이다.
웃음과 연결은 나는 혼자가 아니라는 확신을 주고 그 확신이 곧 몸을 삶을 더 풍요롭게 하는 또 다른 약이 된다.
치료는 함께 웃을 때 깃든다.
몸은 주사나 약으로 회복되지만 영혼은 놀이와 연결로 치유된다.
내가 생각하는 근본적 치료는 병을 없애기보다는 삶을 다시 느끼게 하는 일이다.
60대 환우분의 소세포암이
완전히 없어졌다고?
환자가 나으면 누구보다 기뻐하시는 주치의 선생님!!
그렇게도 좋으실까.
서로 울고 웃고 공감하며 위로와 치유를 받는다.
아래는 통증 환자 및 암환우분들과 소통하는 단톡방에 원장님께서 공유해 주신 글이다.
마찬가지로 내가 좋아질 때마다 늘 어깨를 토닥이며 함박웃음을 지어주시는 의사 선생님을 보며 알게 되었다.
어쩌면 치유는 서로에게 무언가를 해주는 일이 아닐지도 모른다고.
서로와 함께 있을 때 느끼는 안심과 기쁨 속에서 찾아지는 것이라고.
누군가의 손길, 웃음이 상처를 덮고 마음을 가볍게 해 주어 서로를 행복하게 만드는 것이 치유가 아닐까?라는 생각이 들었다.
소세포암으로 환우분이 소감을 전하시자 가슴이 먹먹해지고 눈물이 핑 돌았다. 몇몇 분들도 함께 우셨다.
무엇보다 항암 부작용으로 얼마나 힘드셨을까.
의료진들이 정밀 검사를 시행하고 종양의 특성과 진행 정도를 다각도로 분석했겠지만... 믿을 수 없어 애초에 암이 아니지 않았냐는 게 내 첫마디였다.
그러자 원장님께서는 서울의 메이저급 병원에서 그럴 일은 없다고...

줄어든 게 아니라 없어졌다니...
매우 드문 결과라 우리 모두에게 큰 감동과 희망의 시간이었다.
환자분의 꾸준한 협조, 올바른 치료, 그리고 의료진의 세심한 관리가 함께 만들어낸 결실!
환자분이 다시 일상을 누리시는 그날의 모습 이후 많은 암환우분들이 너도나도 힘이 된다며 들려온다.
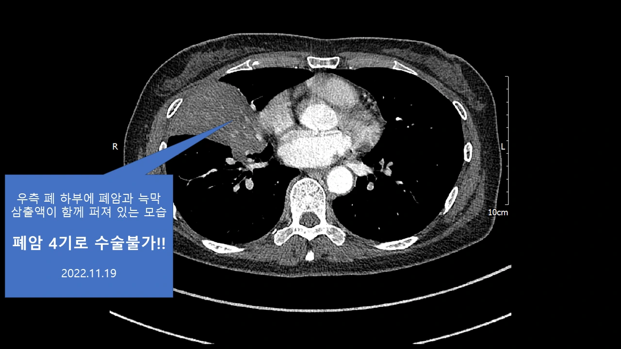
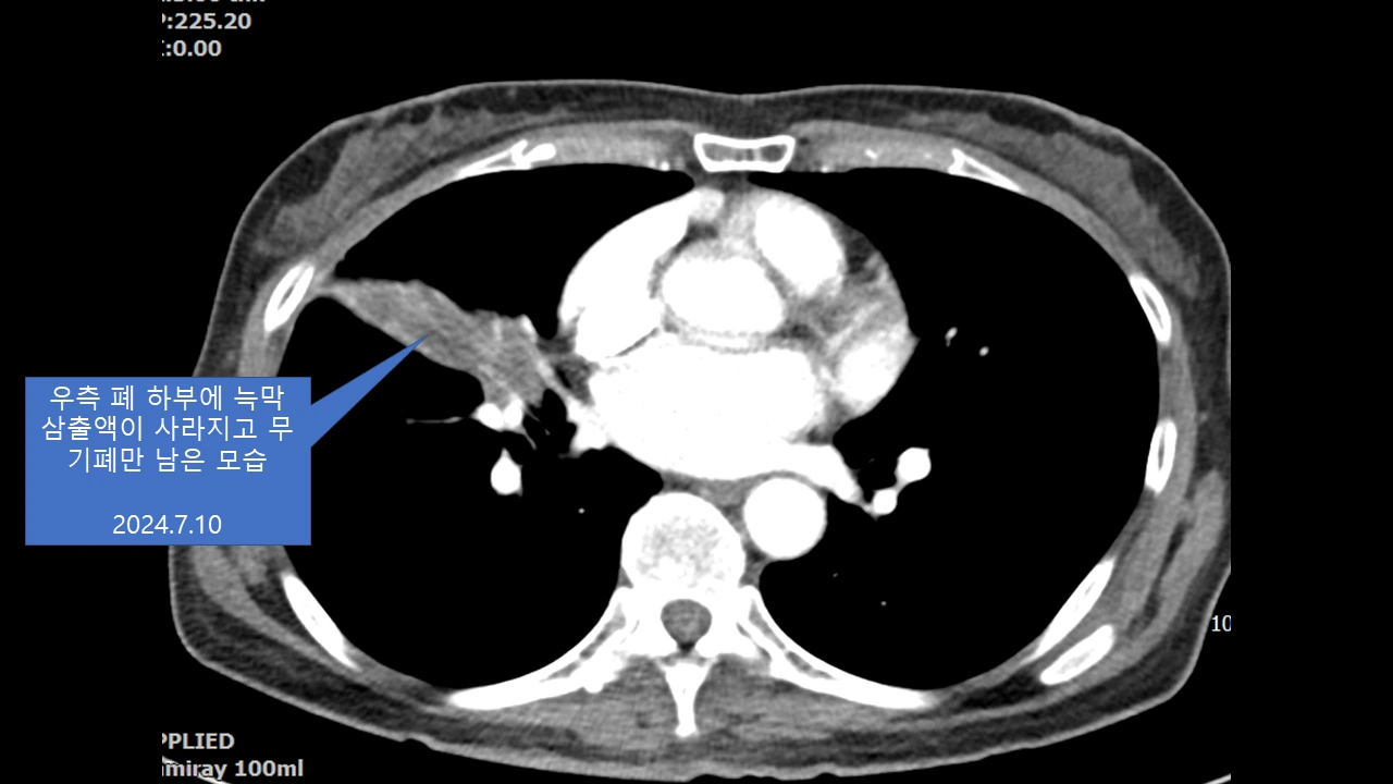
아래 또 다른 폐암 4기 환우분의 스토리도 너무 감동이라... 의사 선생님이 쓰신 글을 허락 없이 퍼왔다.
병원에서 찍은 환상의 일출
고통 속에서도 행복이 숨 쉬는 곳! 고통과 행복이 어우러지는 경험을 할 수 있어 감사하다.
그 두 감정이 함께 존재할 수 있다는 사실을 깨닫고 나서야 삶에 대한 깊은 이해와 감사함을 느꼈다.
그래서 삶은 다시 살아갈 용기를 준다.
작은 행복을 찾을 수 있다는 것이 나에게 힘을 준다.
고통과 행복이 동시에 존재할 수 있다는 것을 배운 지금, 나는 더욱 강하고 의연하게 삶을 받아들이며 매 순간을 소중하게 여기고 싶다.
저는 오랜 시간 동안 한 병원에서
치료를 받으며 많은 배움을 얻었습니다.
저는 암을 경험해보지 않았지만 조금이라도 다른 환자분들께 도움이 되기를 바라는 마음으로 이 기록을 남깁니다.
의사도 아니고 전문적인 치료 방법에 대해서 말할 수도 없지만...
그렇지만, 그 대신 희망과 인내의 가치를 나누고자 합니다.
제 연재글 그대로 "만성통증 및 자율신경실조증" 치료 과정은 생각보다 많은 고통과 어려움이 따랐지만 작은 희망을 품고 나아가면서 기적을 경험해 가고 있습니다.
여기까지 오면서 재발도 생기고 새로운 증상들도 불쑥 나타나서 느리지만, 차츰차츰 회복의 길로 나아가고 있음을 실감합니다.
제가 드리고 싶은 말은 치유의 길에서 가장 중요한 것은 희망을 갖고 나아가면 기적은 결국 우리를 찾아온다는 믿음입니다.
제 경험이 비록 모든 이에게 맞는 답이 될 수는 없겠지만 그럼에도 희망을 잃지 않고 끝까지 인내하며 나아간다면 반드시 좋은 결과가 있을 것이라는 메시지를 전하고 싶습니다.
저는 그저 한 명의 환자일 뿐이며 이 글을 통해 어떤 대가를 받거나 병원과의 연결이 있는 것은 전혀 없습니다.
모든 내용은 제 개인적인 생각과 경험을 바탕으로 한 순수한 자발적 기록입니다.
많은 만성통증 및 자율신경 실조증, 암 투병 중인 모든 분들께 조금이나마 힘과 위로가 되기를 진심으로 바랍니다.