나에게도 아가가 찾아왔다

임신 9주 2일 차, 녹록하지 않은 그 과정

by NUL BOM

브런치에 난임 관련 글을 게재하지도 1년 반이 넘은 것 같다. 1년 반 만에, 반년만에 올리는 브런치 게시글이 임신 소식인지라 뜻깊다.

지난 반년 간 임용고시 공부로 열심히 살아가느라 브런치에 글 하나 남기지 못했었는데, 사실 시간이 없었다는 건 핑계일 정도로 오로지 공부에만 매진한 지난 반년은 아니었다.

올 1월에는 이사 오고 옮긴 병원에서 첫 난자채취를, 그리고 한 텀 쉬고 난 다음 3월에는 3차 동결이식을, 그리고 한 차례의 쓴 고배를 맞이한 후 지난 4월에는 자궁경을 비롯한 추가 검사를 하며 재정비의 시간을 가졌다. 사실 시험관이라는 게 힘든 이유가 내 맘대로 되지 않는 게 가장 크면서 한 달에 한 번이라는 기회뿐이 주어지지 않기 때문이기도 하다. 이사를 오면서부터 조바심을 냈었던 시험관 시술이었는데 5월에서야 나는 남은 동결된 배아 3개를 해동하여 4차 이식을 할 수 있었다.

지난 3월에 또 한 번에 고배를 마신 뒤로 정말 많이 울었다. 이젠 좀 무던해질 줄 알았는데 때마침 그때 공부하는 파트가 모성간호, 임신 및 출산과 관련한 내용이었던지 집중을 도저히가 할 수 없었다. 특별히 이상도 없다는데 무엇 때문에 이렇게 임신이 힘든 것인지 답답한 마음에서 혼자 있는 시간엔 눈물이 끊이질 않았던 것 같다. 그런데 정말 다행히도 한 번쯤 해보는 게 좋겠다 싶었던 자궁경에서 착상에 방해가 되었을 것으로 추정되는 여러 개의 자궁 용종을 떼어 낼 수 있었고, 5월 동결 이식 때는 무언가 좋은 소식이 꼭 찾아올 것만 같은 희망에 사로잡혔다. 물론 마음을 다잡느라 애써야 했다. 여기서 또 실패하면 정말 크게 무너질 수 있다는 것을 알기 때문이었다.

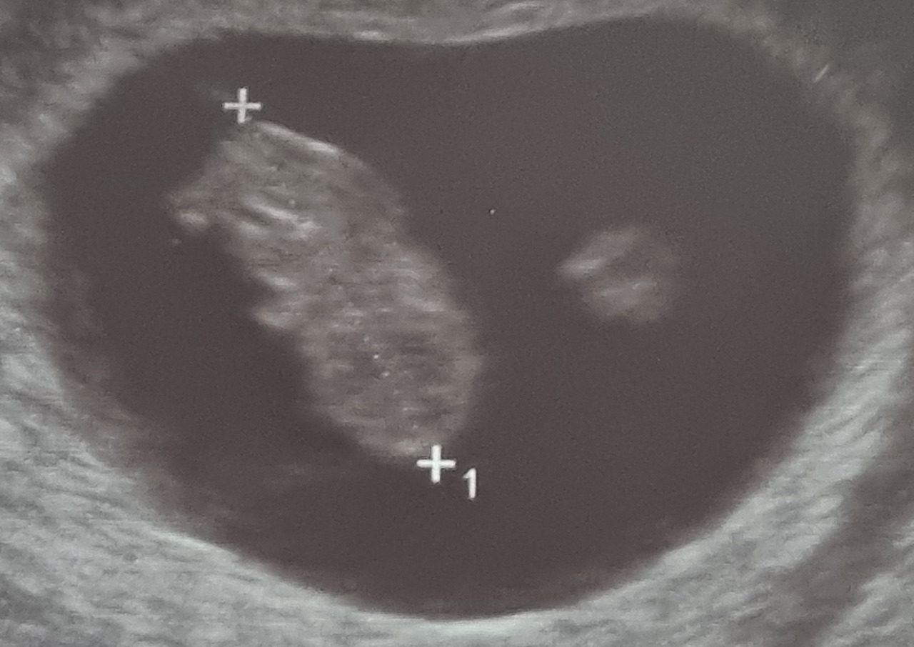
다행히도 좋은 느낌은 그대로 좋은 소식으로 이어졌다. 난생처음 점점 뚜렷해지는 임테기 두 줄을 확인할 수 있었고, 오늘로 임신 9주 2일 차인 지금, 8주 5일 차에 초음파 상으로 확인한 대로 나에게 찾아온 아가는 건강하게 자라나고 있다. 이제 배아에서 태아로, 점점 사람 모양을 갖추면서 말이다.

1년 반 넘게 간절히 고대하던 임신이었지만 마냥 기뻐할 수는 없었다. 5주 이전부터 시작된 극심한 입덧의 지옥에서 하루하루가 지옥이었고, 현재도 ing 상태이기 때문이다. 그리고 초음파상 2개의 아기집이 보였을 땐 '쌍둥이라고? 그럼 시험은 어떡하지?, 내가 잘 키울 수 있을까?'란 여러 걱정의 늪으로 나를 빠뜨리더니, 바로 다음 주에 한 아기집에서는 아기가 끝내 보이지 않는다는 이야기를 듣고 마음이 아프기도 했다. 그렇게 우리에게 잠시 자신의 정체를 알리려다 떠나간 꾸미(2번째 아기집 아기의 태명이었던..).... 그런 데다가 지지난 주말에는 갑자기 출혈이 있어 난생처음 대학병원에 응급실 경유로 18g를 꼽고 금식을 하며 절대 안정을 하는 입원을 경험하기도 했다. 뭐 하나 쉬운 게 없는 나날이 펼쳐지고 있는 요즘이다. 그러면서 드는 생각은 나처럼 오래도록 바라던 임신을 하는 경우에도 이렇게 임신으로 인한 변화들로 지쳐가는데 원치 않는 임신을 하는 경우 그 정신적인 스트레스가 얼마나 상당할까란 것이었다.

바로 이전 주말에는 출혈에 대한 두려움으로부터 벗어나 원래 지지난 주말 상담을 하려 했던 조리원 상담을 다녀왔다. 조리원 상담 실장님께서는 말하지 않아도 나의 현 상태를 캐치하시고는 힘내라며 전혀 알지도 못하는 조리원에 입실 중인 한 신생아를 나에게 보여주셨다. 이름도, 성별도 모르는 아가였지만 얼마나 귀엽고 사랑스럽던지. 상담 실장님 말씀이 전혀 모르는 남의 집 아기도 이리 귀여워서 며칠을 머릿속에 맴돌 거라며 그게 모성애로 작동하여 며칠은 입덧과 여러 신체적 불편감을 이겨내는데 큰 도움이 될 거라고 했다. 그리고 지금 내 뱃속에도 정말로 소중한, 나중에 지금 본 신생아보다 훨씬 귀엽고 사랑스러운 모습으로 나타날 아가가 들어있는 것이란 실감을 갖는데 조금은 도움이 될 것이라며... 응원과 격려를 계속해주셨다.

사실 요새 많이 힘들다. 남편이 정말 많이 도와주고 있지만, 상반기 과정을 정리하며 하반기, 실전처럼 돌입을 해야 하는 지금 이 순간에 입덧과, 피곤과, 여러 신체적인 불편감으로 인해 공부에 온전히 몰입하기 어려운 상태이다. 그러다 보니 6월 공부량은 평상시의 2/3도 못 미쳤다고 볼 수 있고 밀린 것들을 따라잡는 데만도 역부족이다. 우선순위를 두자면 나에게 어렵게 찾아온 아가의 인연이 더 우선적이니만큼 지금 받는 스트레스를 조금은 내려놓아야 할 테지만, 마음이 마음대로 되지 않는 요즘이다.

사람의 마음이란 참으로 간사한 것 같다. 이전엔 임신만 되면 뭐든 다 감내할 수 있을 것 같았는데, 이렇게 또 원하는 바가 이루어지니 여러 하소연들이 끊이질 않는다니 말이다.

나는 이제 혼자가 아닌 '리보(아가의 태명)' 맘이니 만큼 강해져야 한다. 힘내야 한다.


8주 5일차.jpg


keyword
작가의 이전글[백수 58일차] 파친코, 영원한 이방인의 삶