임신부가 되었다

삶의 세가지 변곡점 취업, 결혼, 그리고 임신

by Potatohands

살면서 그 사람의 가치관이 나타나는 세가지

굵직한 일이 있다면 취업, 결혼, 육아라고 했었다.


취업과 결혼까지는 지금까지 해오던 대로 하면 될것 같은데

임신, 출산, 육아는 미지의 세계라 임신부터 새롭게 적응해야하는 것 투성이다. 출산 이후 내가 나답지 않게 변하게 될까?

아니면 나답게 해낼 수 있을까? 기대와 걱정이 반반된다.


임신을 알게 된것은 2023년 7월 28일 일본 봉사활동 기간 중이었다.연초에 화학적 유산을 한번 겪고 나서는 아기가 다시 생기게 된다면 세상에 필요한 인재를 나를 통해 낳는 것이고 아기 자체가 내것이라 여기지 말아야겠다고 다짐했었다. 그래야 다시 유산을 겪게 되도 건강하디 않게 낳게 되도 씩씩한 마음으로 살나갈 수 있을 것 같았기때문이다.


봉사활동기간 중 임신테스트기로 확인한 두줄은 더 반가웠다.

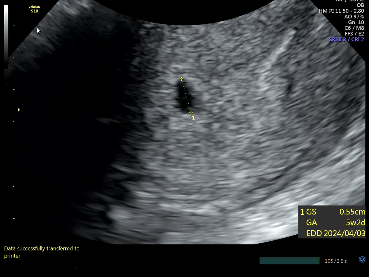
한국으로 돌아오자 마자 산부인과에서 검진을 받고 임신 사실 확인서를 받게 되었다.

아기집을 확인하고 나니 비로소 실감이 난다.

이때까지만 해도 배에 있는지 없는지 잘 느껴지지 않았지만

점점 입덧도하고 호르몬 변화로 피부발진도 생겼다가 없어지고 잠이 쏟아지기도 하는 과정을 겪으며 내 몸에 심장 하나가 더생긴것이 느껴졌다.

두손으로 얼굴을 가리고 있어서 얼굴은 아직 못봤지만 다음주 정기검진때는 얼굴을 볼 수 있길 기대해본다.


임신초기에는 내몸의 변화들이 익숙하지 않고 불편하게 느껴져서 임신사실의 기쁨과 아기가 잘 자라는지 걱정되는 마음보단 당장 토할것 같고 자도 자도 개운해지지 않는 피로감 때문에 뱃속아기보단 내몸을 추스르는데 정신이 없었다. 때론 무기력한 시간을 보내며 앞으로의 임신기간에 대한 막연한 두려움도 컸다.


‘어떻게 이 상태로 40주까지 버티지..?‘ 임신과 출산, 육아에 대한 교육은 정규 교육과정에서 심도있게 배운 적이 없다. 간단한 성교육과정만 있었고 자연분만과 제왕절개의 차이, 입덧의 이유와 임신 후 몸의 변화등에 대해서 우리는 왜 배울 기회가 없었을까?


임신 사실을 알게된 후 책과 여러 산부인과 의사선생님들의 강의들을 듣고 접하며 학습한 결과로 깨달은 것들이 있다. 임신초기에는 유산의 위험이 크기 때문에 입덧과 피로감이 오히려 산모를 지켜내는 장치같다.


이번주 부터 임신 14주차에 접어들며 임신초기를 지나 중기로 접어들고 있다. 나의 마음에 여유가 조금씩 생겼다. 일기도 다시 쓰고 싶어지고 책도 읽고 싶어지고 그림도 그리고 싶어진다. 육아에 기대감도 조금씩 생긴다. 아기가 태어나면 누구를 더 닮았을지, 나는 어떤 엄마가 될지, 남편은 어떤 아빠가 될지 궁금하다.


씩씩하고 용감하고 지혜롭고 사랑이 많은 아이로 키우기 위해서 나는 어떤 공부를 해야할까? 아이와 우리 부부가 함께 사는 모습은 어떨까? 이런 생각들을 하며 상상을 하면 흐뭇한 마음이든다.


육아를 위해 체력을 길러야한다며 지금부터 열심히 운동을 하는 남편이 든든하기도하다. 사랑스런 남편의 모습에서 아빠의 모습으로 성장할 과정이 기대된다.


앞으로의 임신 과정도 감사함으로 잘 지낼 수 있기를!

keyword