brunch

사람의 마음을 읽는 기계

식물인간의 생각도 읽을 수 있을까

by Elliott 장건희

여러분은 '독심술'이라는 말을 들어보신 적이 있나요? 사람의 행동이나 몸짓을 분석하여 그의 마을 읽는 기술입니다. 한때 독심술에 대한 책이 나오고 방법론에 대해 TV에서도 방송되기도 했죠. 탐정소설의 시조 에드가 알랜 포우의 소설에 나오는 오귀스트 뒤팽이라는 주인공은 함께 길을 걷는 동행자의 의식의 흐름을 파악합니다. 그러나 소설은 어디까지나 소설일 뿐 재미를 유발하는 설정인데요. 사람의 마음을 읽는다는 것이 그렇게 간단한 기술은 아닙니다. 하지만 그것이 실제로 가능해진다면 어떨까요. 보통사람의 생각, 의식의 흐름, 기억을 읽을 수 있을 뿐 아니라 식물인간으로 누워있는 사람의 생각을 파악할 수 있다면 정말 놀라운 일이겠죠.

Seiji_Ogawa_小川_誠二.jpg fMRI의 발견으로 현재 강력한 노벨상 후보로 거론되고 있는 세이지 오가와 박사

1990년 한 일본계 미국 과학자는 기존에 널리 사용하고 있던 MRI (자기공명영상) 장치를 통해 전에 없던 새로운 시도를 했습니다. 웬만한 종합병원에는 대부분 설치되어 있는 MRI는 엑스레이와 같이 인체 내부 조직을 영상화하여 보여주는 장치로 알려져 있죠. 당시 세계 최고의 전자통신연구소라고 할 수 있는 미국의 Bell Lab에서 연구 중이던 세이지 오가와 박사는 MRI로 생쥐의 뇌를 관찰하고 있었는데요. 한 마리는 100% 산소를 들이마신 쥐이고 다른 한 마리는 일반 공기를 마신 쥐였는데 뇌영상이 전혀 다르게 나왔습니다. 그 이유를 조사하던 중 뇌에 흐르고 있는 혈액의 산소가 녹아 있는 정도(산소포화도)에 따라 신호의 변화가 온다는 것을 알아냈습니다. 산소가 많이 녹아 있다는 뜻은 그 부위가 활성화되어 있다는 것을 의미하므로 영상으로 활성화된 부분을 찾아낼 수 있으며 그 패턴을 활용하는 것입니다. (아래 사진 참조). 이는 마치 열적외선 카메라로 야간에 사람들의 위치를 파악하는 것과 비슷한 개념입니다. 그리고 이러한 MRI 촬영법을 BOLD (Blood-oxygenation-Level Dependent) 이미징 기술이라고 부르게 되었습니다.

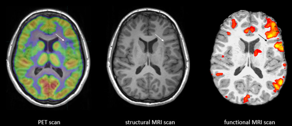
image4-2.png 각기 다른 스캔 이미지를 비교 설명하고 있다. 가장 오른쪽이 fMRI 스캔한 이미지.

흥미로운 부분은 BOLD 이미징 기술의 개발 후 수많은 세계적인 뇌과학자들이 이를 이용하여 동물뿐 아니라 사람의 뇌의 이미징에 사용하게 되었다는 것입니다. 환자의 뇌의 활성화되는 부위를 관찰하므로 질병과 연결시킬 수도 있었습니다. MRI에 새로운 기능을 부가했다고 하여 fMRI (functional MRI, 기능성 fMRI)라고 부르고 있습니다. 최근에는 fMRI 통해 사람이 어떤 사물을 관찰하고 있는지 무슨 생각을 하고 있는지에 대한 패턴을 분석할 수 있게 되었습니다. 단적인 예로 영화를 시청하는 사람의 뇌를 분석한다고 합시다. 영상에서 나오는 사물과 내용에 따라 다른 fMRI 이미지가 생성되는데 특정 사물을 볼때 마다 그 이미지의 패턴이 반복적이고 일관되게 나타남을 알게 되었습니다. fMRI는 사람이 보고 있는 사물과 생각하는 것까지 간접적으로 파악할 수 있는 '사람의 마음을 읽는 기계'로 거듭나게 되었습니다. 근래는 컴퓨터 분석 특히 인공지능, 머신러닝을 통해 좀 더 명확하게 분석되고 있습니다.

fMRI pattern.jpg 신호의 패턴에 따라 단어를 설정하여 어떤 영상을 보고 있는지를 분석해낼 수 있다 (UC버클리 대학 Jack Gallant교수 연구)

fMRI가 절개도 없이 뇌의 깊은 곳도 활성화되는 모습을 보여주긴 하지만 기계가 상당히 고가에 덩치가 크고 유지에 상당히 부담이 있습니다. 더운다나 뇌 영역 전체를 촬영하는데 수초의 시간이 소요되므로 시간에 따라 빠르게 변화는 혈류를 촬영하기는 한계가 있습니다.

이러한 단점을 극복하는 새로운 아이디어들이 떠오르고 있습니다. 그 한 예가 바로 fNIRS입니다. fNIRS는 기능성 근적외선 분광기를 의미합니다. fMRI와는 전혀 다른 메커니즘으로 뇌를 이미징 하는 방법으로 많은 장점들이 있습니다. 아마도 가장 큰 장점이라고 한다면 그 모빌리티에 있습니다. 즉, 신호를 측정하는 스캐너를 헬멧과 같은 형태로 만들어 어디서든지 쉽게 장착하여 찍을 수 있다는 것입니다 (아래 사진 참고). 그리고 또 하나의 장점은 fMRI처럼 활성화된 뇌를 찍되 실시간으로 측정이 된다는 것입니다. 따라서 뇌의 활성화 패턴과 흐름을 더욱 정확하게 파악할 수 있습니다. 이와 같은 모빌리티가 있는 스캐너를 사용한다면 소통이 불가능한 뇌질환을 앓고 있는 환자의 생각을 파악해 말을 통한 대화가 아닌 기계를 통한 소통이 가능해질지도 모릅니다. 또한 사지를 움직이지 못하는 환자들이 생각만으로 로봇 팔을 움직인다든지 생각만으로 타이핑을 하는 날이 올수 있겠죠. 이를 BCI (Brain-Computer Interface)라고 합니다. 이들 기기가 활약할 날들이 정말 기대됩니다.

brainAge.jpg 미국의 Kernel이라는 회사에서 개발된 fNIRS 스캐너의 모양. 쉽게 장착할 수 있는 헬멧형 스캐너이다.


keyword