brunch

[4] 이산가족은 처음이라

항암이 시작됐고, 격리도 시작됐다

by 쫄쫄C

2023년 7월26일. 짧은 장고(?) 끝에 항암치료를 시작했다. 아이의 컨디션은 아주 좋은 상태. 밥도 잘 먹고 화장실도 잘 가고 콧물도 안 났다. 나름대로 절망 속에 한 줌짜리 희망을 찾아 고이 접어들고 나섰다. 다행히 병원에서 진행한 사전 검사에서도 다른 장기 전이나 특별한 점을 발견하지 못했다. 혈당이 조금 낮았고, 백혈구 수치가 조금 높았다. 수의사 선생님이 한참 설명을 해줬지만 의미를 특별히 기억하지는 않기로 했다.


항암 첫날, 심기가 불편해진 이아. 항암주사를 맞기 전에 혈액검사, 전해질검사, 초음파, 방사선 등 각종 검사를 진행하고 각종 주사도 맞아야 한다.


사실 절차는 꽤 지난하다. 진료를 하고, 사전 검사를 진행하고, 또다시 결과를 듣고, 항암 전처치를 진행하고, 진짜 항암을 하고, 과민반응이 있는지 없는지를 확인하고, 향후 1주일간 주의사항을 듣고, 내복약을 들고, 터덜터덜 집에 오는 과정이 간단했다고 할 수는 없다.


너의 표정이 퀭해 보이는 것은 기분 탓일까. 어느 타이밍엔가 어쩔 수 없이 눈물은 한번 쏟았다.





그러나 치료보다 더 어려운 일이 있었다. 겪어보니, 항암 초기에 가장 어려운 일은 단연코 '집안 세팅'이다.


항암을 진행하고 있는 '이아'의 집에는 여러 마리의 짐승이 산다. 엄마와 아빠, 고양이 오빠인 이올, 투병 중인 이아, 최근에 추가된 막내 요한까지 총 3마리의 인간과 2마리의 고양이가 같은 공간을 공유하고 있다. 이올이는 안방 침대에 늘어져 자는 걸 좋아하는 새침하고 예민한 성격의 고양이다. 환경이 변화하는 걸 꽤 싫어하는 편이다. 이아는 참견쟁이다. 주로 거실 캣타워에 머물지만 한 번씩 집안을 순시하기를 좋아한다. 생후 8개월 요한이는 아직 걷기 스킬을 장착하지 못해 거실에 설치한 가두리 양식장에 주로 머무른다. 하루에 절반 가량은 자기 방 침대에서 잠을 자기 때문에 그다지 활동 반경이 넓다고 할 수는 없다.


하필이면 순찰 전문가 이아가 항암을 한다. 항암제를 맞고 나면 대부분이 소변으로 배출된다고 한다. 이아에게는 치료제지만 이올이에게는 발암물질이다. 딱히 방법이 없다면 화장실을 재빨리 치워주라고들 하는데 솔직히 이건 말도 안 된다고 생각했다. 자다가 고양이가 쉬하면 벌떡 일어나서 치워주란 말인가. 담당 수의사와 다른 병원 등에 문의한 결과를 종합해 보니 결국 화장실을 포함해 모든 생활공간을 일시적으로 분리하는 게 가장 낫다는 결론이 나왔다. 요한이의 경우 이아와 거의 접점이 없지만 일단은 분리하는 게 좋다.


오랜 고민 끝에 안방 문에 방묘문을 달아 집안을 2개의 공간으로 나누기로 했다. 안방, 베란다, 화장실이 있으니 이아에게도 아주 좁지는 않을 것이다. 그래야 낮동안 거실과 주방, 작은방에서 요한이를 돌보는 게 가능하기도 했다. 문제는 침대를 빼앗긴 이올이가 나라 잃은 표정을 짓고 있다는 점과, 참견을 못하게 된 이아가 역시 망연자실 숨숨집에 숨어버렸다는 것이었다. 안방에 새로 설치한 이아 전용 화장실 관리도 쉽지 않은 일이다. 두부모래 2포대를 넣었다가 항암제 배출이 끝났을 것으로 예상되는 시점에 전부 버리고 새로 깔아줘야 한다. 곳곳에 새 물그릇을 비치하고, 자동급식기와 숨숨집을 옮기고, 이아가 앉아있을 만한 패브릭을 빨아 곳곳에 깔아 두니 겨우 세팅이 끝났다.


아주 잠깐, '아 출근하고 싶다'는 생각이 들었다. 곧바로 취소했지만.




항암을 마치고 온 이아를 안방에 뒀다. 이아는 나오고 싶다고 난리, 이올이는 들어가고 싶다고 난리, 엄마 아빠는 진이 빠져서 난리. 그 와중에 이아 컨디션까지 신경 쓰자니 온몸의 신경이 곤두서는 기분이었다. 이런 상황을 알리 없는 요한이는 신나게 거실을 누볐다. 개판이다. 이것은 정말 개판이야.


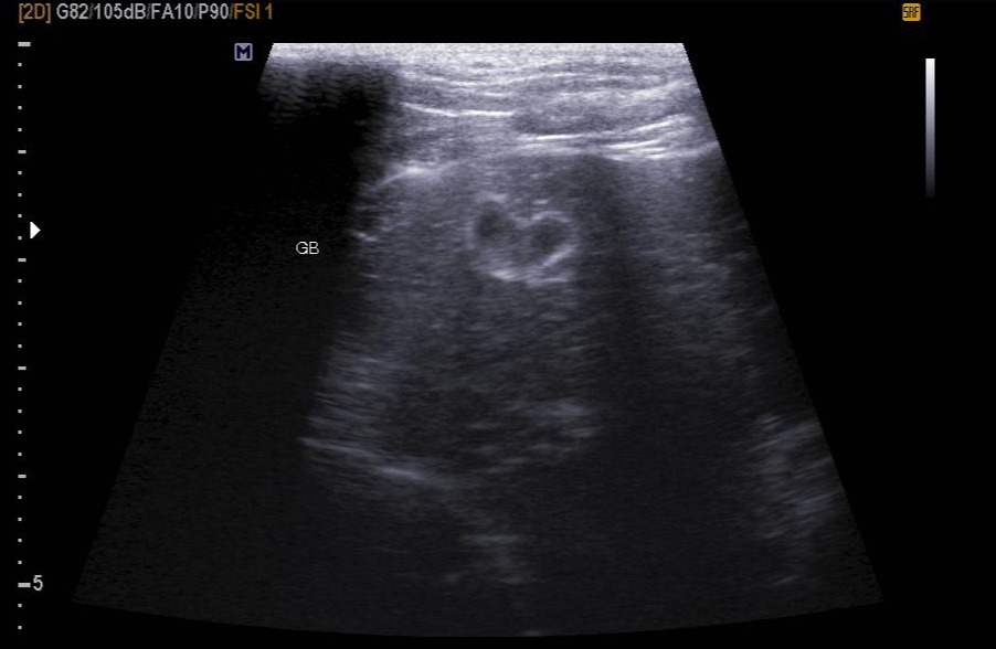
KakaoTalk_20230802_225343209.jpg 이아가 첫 항암주사를 맞기 전 촬영한 담낭 초음파. 보통 고양이 담낭은 동그란 모양인데, 가끔씩 이렇게 찌그러져 있는 경우가 있다고 한다. 심지어 귀여운 하트라니!

하루가 대충 저물고, 방묘문을 사이에 둔 채 남편과 마주 앉았다. 한 손으로는 와인잔을 들고 한 손으로는 각자 고양이 1마리씩을 쓰다듬으며.


"왜 우리에게 이런 시련이 왔을까."

"그런 생각하지 마. 치료에만 집중해."

"이런 씨X, X나 힘드네."

"그러게."

"잘 되겠지?"

"이아가 잘 버텨줄 거야."


그렇게 두런두런 욕지기를 내뱉으며 항암 첫날을 마무리했다.




<항암치료 1주차>


항암주사를 맞기에 앞서 체중과 체온, 심박수와 호흡수 등 기본적인 신체검사를 진행한다. 혈액검사를 통해 혈구 수치를 파악하고, 전해질 농도도 확인한다. 첫 항암이라 흉복부 방사선 검사와 신장, 비장 초음파도 진행했다. 이아의 경우 비강에 림프종이 생겼기 때문에, 혹시 다른 기관으로 전이됐는지를 확인하기 위해 이 같은 검사를 진행하게 됐다. (결과는 아직까진 럭키)


동물병원에서 받은 항암 1주차 안내문. 치료 내용과 진행상황, 주의사항 등이 상세히 적혀 있어서 정신줄을 놓았는데도 주요 내용을 잘 기억할 수 있었다.

첫 주에 맞은 주사는 L-아스파라기네이즈(Asparaginase). L-아스파라긴을 분해하는 약제로 급성백혈병, 악성림프종에 사용하는 약제라고 한다. 혈관을 잡지 않고 피하로 주사했다. 주사를 맞은 후에는 병원에서 잠시 대기. 과민반응이 가장 흔하게 나타나는 부작용이라 이를 확인하기 위해서다.


첫 치료를 진행한 이후에는 주의사항을 상세히 듣게 된다. 아이가 물을 많이 마시고 쉬를 많이 할 수 있다는 것, 밥을 먹지 않거나 구토를 할 수도 있다는 것. 설사를 하는 경우도 있다고 했다. 호흡수는 잠들었을 때 분당 20회 이하인 게 정상이다. 화장실에서 캐낸 감자와 고구마는 장갑을 끼고 치워야 한다. 손으로 만지거나 다른 고양이가 밟을 경우 피부독성 등 부작용이 나타날 수 있다. 항암약제는 사흘째까지 대부분 소변으로 다 배출된다.






keyword
작가의 이전글[3] 엄마의 발이 빨라지는 때