#2 あなたの存在に気づく(너의 존재를 알게 되다)

갑작스럽지만 기쁜 만남

by 링고야RINGOYA

며칠이고 가슴이 뭉치고 아픈 나날이 이어졌다. 처음 느껴본 증상이라 혹시 가슴에 혹이라도 생긴 건 아닌지 걱정이 되어 동네 산부인과에 갔다.


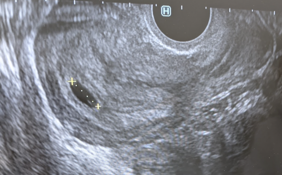
초음파 검사를 하자마자 의사 선생님이 하는 말.

妊娠ですね。これが袋です。
(임신이네요. 이게 아기집이에요.)


뭐? 내가 임신을 했다고?! 전혀 상상도 못 했던 일이라 헛웃음이 나올 정도로 너무 얼떨떨했다.

머릿속으로는 도저히 믿기지 않았지만, 마음속으로는 이미 이 상황을 받아들였는지 나도 모르게 감격의 눈물이 났다. 앞으로 펼쳐질 고난은 알지도 못한 채 그저 행복하고 벅찬 눈물을 마스크가 다 젖을 정도로 쏟아냈다.


너무 조그맣고 소중한 아기의 첫 초음파 사진


임신 5주 차에 그 존재를 알게 된 우리 아기. 당장 한국에 있는 엄마, 아빠에게 전화해서 소식을 알렸다. 결혼 후 늘 손주를 기다려왔던 부모님이었던지라 정말 기뻐했다.

엄마가 보내준 따스한 카톡


신랑은 임신 소식에 기뻐하는 한편, 내가 유방암이면 어떡하지 하는 두려움이 컸는지 몸에 아무런 이상이 없다는 것에 대한 안도감이 더 큰 모양이었다. 드라마에서 보는 것처럼 임신 소식을 듣고 소리 지르면서 좋아하거나 감격해서 우는 걸 상상했는데 생각보다 차분한 반응이어서 약간 섭섭했다. 내가 집에 돌아왔을 때도 맨 먼저 한 말이

病気じゃなくてよかった
(병이 아니어서 다행이야)


였다. 크게 티는 안 냈지만 그만큼 나 많이 걱정했었구나 하는 마음에 고맙고 신랑이 더 사랑스러워 보였다.



실은 결혼 초까지만 해도 나는 아기를 가지는 것에 대해 그렇게 긍정적이진 않았다. 아기를 좋아하지만 과연 내가 아기를 무사히 잘 낳아서 잘 키울 수 있을까 하는 막연한 두려움과 불안이 있었기 때문이다. 그리고 신랑과의 둘만의 시간이 너무나 소중하고 행복하기에 임신을 하더라도 결혼 3년 후에 계획을 해보자고 얘기했었다. 반면 신랑은 아기를 원했어서 내 마음이 열릴 때까지 천천히 기다려주고 있었다.


그런데 사람의 마음이 참 이상한 것이, 어린 아이가 있는 가족들이 많이 사는 동네에 살면서 매일 같이 아이와 엄마, 아빠가 손잡고 다니는 모습을 보다 보니 부러움이 생기고 자연스레 아기를 갖는 것에 마음이 열리기 시작했다. 그리고 신랑에게 아기를 잘 키울 수 있을지 걱정이 앞선다고 했을 때 신랑이 해준 말이 정말 큰 용기가 되었다.

育児ってあなた一人でやるものじゃないでしょ。私もいるし、大変だったらうちの親に手伝ってもらってもいいし。だから心配しすぎなくていいよ。
(육아는 너 혼자 하는 거 아니잖아.
나도 있고 힘들면 우리 부모님 도움받아도 되고. 그러니까 너무 걱정 마.)


신랑과 이 이야기를 한 지 약 2개월 후, 결혼 2년 차인 2021년 11월 10일, 그렇게 아기는 우리에게 자신의 존재를 알렸다. 그리고 다음날부터 바로 지옥의 입덧이 시작되었다... 다음 편에 계속...

keyword
매거진의 이전글#1 油断は禁物(방심은 금물)