brunch

플로우(Flow:몰입) 해킹.

크리에이터의 슈퍼파워, 플로우 길들이기.

by 유현욱

플로우(Flow)란 마주한 일을 최상의 기량과 기분으로 해내는, 고도의 몰입상태를 의미한다.


단어가 의미하는 바와 같이, 플로우는 막힘없이 흐르는 의식의 상태이다. 시간이 속도를 줄이고, 자의식은 사라진다. 인식과 행동이 하나가 된다. 점들이 이어지고 되고, 퍼즐이 맞춰진다. 이는 단순히 컨디션이 좋은 상태를 의미하는 것이 아니다. 일상적 의식에서 벗어난, 마치 ‘신들린' 듯한 체험. 플로우이다.


과학의 발견, 기술의 진보, 예술의 창조. 인류에 기여한 모든 패러다임 전환의 심장부에는 플로우를 체화해낸 사람들의 공헌이 있었다. 놀라운 능력을 발휘했던 사람들에게는, 플로우에 진입하는 자신만의 개성 있는 습관들이 있었다.


아인슈타인은 물리에 대해 생각하는 고도의 집중을 하던 중간에, 이따금씩 강가에 작은 배에 올라 한가히 노를 젓는 시간을 보냈다고 한다. 사유의 진전은 이 한가한 시간 이후에 발생하는 것이 예사였다고 한다. 타인이 보기에는 한가한 휴식처럼 보이는, 강에서 노를 젓는 이 습관은 아인슈타인이 플로우에 진입하는 통로였다.


이제는 누구나 플로우에 진입하는 법을 익힐 수 있게 되었다. 뇌과학의 기하급수적 발달에 의해, 플로우의 코드가 드러나고 있기 때문이다. 구글의 직원들을 대상으로 한 플로우 훈련의 결과는, 플로우가 학습되고 발달될 수 있는 것임을 증명한다. 6주간의 기본적인 훈련은, 플로우에 머무르는 시간을 35~80% 향상했다.


세계적인 컨설팅회사 맥킨지에서 진행한 연구에 따르면, 기업의 경영진이 플로우 상태에서 업무를 할 경우, 500%의 생산성 증대 효과가 있다고 한다. 일주일에 2번만 플로우 상태에 진입할 수 있다면, 일상적인 속도로만 일하는 경쟁자에 비해 2배 이상의 결과를 낼 수 있다는 뜻이다.


일반적인 전문직 종사자는 5%의 업무시간을 플로우로 보낸다. 15%의 플로우 증가는, 업무의 총생산성을 두배로 증가시킨다고 한다. 플로우가 35~80% 증가하는 것은 천문학적 변화이다. 측정될 수 없는 창의성에 미치는 영향 또한 막대할 것이다. 이는 6주라는, 짧은 훈련의 결과이다. 수년간의 숙달이 불러올 결과를 상상해보자.


플로우에 진입하기 위한 조건이 있다. 그리고 그 길에서 관찰되는 두뇌의 특징적인 상태들이 있다. 이를 토대로 특정한 코드가 진행되는 음악을 작곡하듯 삶을 구조화하면, 언제든 원할 때 플로우를 불러올 수 있을지도 모른다.


불을 처음 길들였을 때를 상상해보자. 산불이 나는 등의, 우연한 불의 점화가 있었을 것이다. 마른나무 따위로 우연히 생겨난 불을 간직할 수도 있다는 것을 누군가 알았을 것이다. 불의 이점이 차차 인식되었을 것이다. 불을 길들여, 언제든 불을 쓰고 싶었을 것이다. 불쏘시개, 마른 장작 위에서 마찰력을 일정하게 가하면 불을 만들 수 있음을 찾아낸 사람이 있었을 것이다. 이 기술은 숙달을 거쳐 정교해지고, 다른 이들에게도 전달될 수 있었을 것이다.


플로우의 발전 또한 이와 같을 것이다. 플로우를 점화하는 행동의 코드, 선행되는 조건이 있다. 지금까지의 플로우는 운 좋은 날에 찾아오는 행운과 같았을지 모른다. 앞으로의 플로우는 원할 때 불러낼 수 있는, 숙달 가능한 기술이 되어갈 것이다. 지적인 노동으로 창조적인 결과를 내야 할 사람들에게 플로우는 ‘슈퍼파워’와 같을 것이다.



플로우의 네 단계.


아인슈타인의 플로우 스위치는 강가에서 노를 젓는 행동이었다. 뇌과학을 통해 밝혀진 플로우의 심리학을 통해, 아인슈타인의 습관에 타당한 근거가 있다는 것을 알 수 있다.


플로우의 첫 단계는, 분투(Struggle)이다. 해결하고자 하는 문제와 씨름하는 단계. 문제를 인식하고, 어려움과 마주한다. 물론, 집중과 동기가 강할수록 좋다. 문제 해결에서 비롯될 큰 결과에 대한 기대감은 이를 증폭시킨다. 문제를 파악하고, 그를 해결하기 위한 최대한의 노력을 하는 상태. 하지만, 선형적이고 일률적인 방식으로는 더 이상 해결할 수 없는 난제에 봉착한다.


두 번째 단계는, 이완(Release)이다. 문제에서 잠깐 물러나 한 숨 돌리는 틈. 아인슈타인은 노를 저었다. 스티브 잡스는 맨발로 산책을 했다. 따뜻한 물로 샤워를 할 수도, 악기를 연주할 수도, 명상을 할 수도 있을 것이다. 이러한 이완의 행위는 몸속에 있는 스트레스 호르몬을 배출해주는 산화질소의 생성을 늘린다. 분투에서 쌓인 스트레스 호르몬은 두뇌에서 씻겨나간다.


이렇게, 문제에서 한걸음 물러난 사이. 의식의 뒤편에서 새로운 아이디어가 솟아난다. 문제가 새로운 시각에서 파악된다. 멀리 떨어져 있던 정보들의 연관성이 파악되고, 새로운 의미가 나타난다.


세 번째 단계, 플로우(Flow)이다. 스트레스 호르몬을 떠내려 보내고 맑아진 두뇌에 떠오른 새로운 아이디어가 심어진다. 집중력, 동기감, 자신감, 환희감, 진통효과를 주는 호르몬들이 동시에 분비된다. 기량과 기분은 최고조에 달한다. 분투하며 넘지 못했던 벽들을 가뿐히 넘어선다. 시간은 마치 멈춘 듯 천천히 흐른다. 미래에 대한 걱정이나 과거에 대한 후회는 사라진다. 지금 이 순간의 생생한 경험이 있을 뿐이다. 몇 시간이 지난 후 생각한다. ‘내가 이걸 해냈구나!’


네 번째 단계는 휴식(Rest)이다. 이처럼 강렬한 집중은 에너지가 많이 소모되는 일이다. 또한 새로이 얻어낸 인식과 통찰, 정보는 휴식을 통해 통합될 필요가 있다. 특히, 깊은 잠이 중요하다.


이러한 플로우의 경험은, 좋은 기분과 연관되는 호르몬인 도파민, 세로토닌, 엔도르핀, 아난다마이드, 가바를 동시에 분비시킨다. 언제라도 다시 경험하고 싶은 강렬한 경험이다. 이러한 끌림을 중요한 업무와 조건화시킬 수 있다면 더없이 좋을 것이다.


모든 업무를 플로우 상태로 해결하는 것은 불가능하다. 근면한 분투는 플로우의 연료이다. 주어진 문제에 대해 더 깊이 집중하고 있을수록, 해결해야 할 문제의 난점과 해결의 중요함이 절실하게 와 닿을 것이다. 이러한 집중과 동기가 없으면, 마치 덜 감긴 태엽과 같이, 플로우의 강렬함도 한계가 있을 수밖에 없다.


또한, 플로우를 겪은 후, 이를 일상적인 인식과 통합시키는 노력을 게을리하지 않는 것이 중요하다. 임기응변이나 단편적인 기억에서 끝나지 않도록, 플로우의 경험을 긍정적 변화의 계기로 여길 필요가 있다. 플로우의 경험을 글로 적거나 결과물을 곱씹어보는 습관이 도움이 될 것이다. 이는 플로우의 경험을 더욱 의미 있게 만들어줄 것이다.



내면의 비평가를 잠재워라.


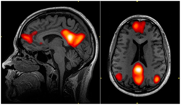
이처럼 최상의 활동을 하고 있는 두뇌. 플로우 상태의 두뇌에는 어떤 특징이 있을까? 직관적으로 생각하면, 두뇌의 모든 부분이 활성화되어 최대치의 활동을 하고 있을 것 같다. 하지만, fMRI를 통해 관찰한 플로우의 두뇌는 이러한 직관과는 반대의 모습이다.


플로우 상태에서, 전두엽의 활동은 감소한다. 전두엽은 논리적 의사결정, 장기적 계획, 도덕성, 자제력을 담당하는 부분이다. 미래와 과거에 대해 생각하는, 걱정하고 후회하는 두뇌 영역 또한 전두엽이다. 전두엽의 활동이 줄어드는 것은, 주의력에 관련한 회로에 모든 에너지가 투입되는 상태이기 때문이다. 최대치의 효율을 위해, 일상적 의식은 자리를 양보한다. 이 때 우리는 생생한 존재감, 깊은 현재성(Deep Now)을 경험한다.


미래와 과거에 대한 걱정과 후회. 자의식을 발생시키는 두뇌의 기능망을 ‘디폴트 모드 네트워크’라 한다. 전두엽을 포함한 여러 두뇌의 영역이 하나의 망으로 동작하는, 일상적 상태에서 발현되는 두뇌의 상태이다. 재미있는 점은, 우울증을 앓는 사람은 디폴트 모드 네트워크의 활동이 과도하다는 점이다. 현재를 과거의 경험과 비교한다. 미래를 걱정한다. 스스로의 행동을 평가한다. 이는 즐거움을 가로막는 장막처럼 동작한다.


Default Mode Network


플로우는 이러한 일상적인 의식에서 벗어날 때 찾아온다. 내면의 비평가가 쉴 새 없이 평가를 내린다면, (그 평가가 긍정적인 것이라 할지라도) 지금 주어진 일에 완전히 몰입해 창조성이 수직 상승하는 플로우의 경험은 찾아오지 않는다. 내면의 비평가는 플로우의 가장 큰 적이다.


디폴트 모드 네트워크를 잠재우는 훈련, 내면의 비평가를 침묵시키는 훈련은 플로우 해킹의 키포인트이다. 여러 방법이 있다.


첫 번째로, 명상을 들 수 있을 것이다. 명상이 훈련하는 바는, 멋대로 날뛰는 의식을 지금 현재의 주의력으로 모아내는 것이다. 마치 단련되는 근육처럼, 명상 훈련을 거듭하면, 내면이 조용해진다. 지속적인 명상 훈련이 행복감을 늘려주는 원리일 것이다.


두 번째로, 기대감을 낮추는 것이 도움이 될 것이다. 모든 창조적인 작업에서, 가장 어려운 것은 시작하는 것이다. 두 문장을 마치기 전에 스스로 비평하기 시작하면, 한 장의 글도 써낼 수 없을 것이다. 마치, 낙서하듯, 아무 기대 없이 써내고 나면 그래도 읽어줄 만하다는 생각이 들 것이다. 이러한 기대 없는 행동이 습관이 되면, 생산성이 된다.



소포모어 징크스에 빠지는 예술가들이 겪는 어려움도 바로 이러한 높은 기대감이다. 기대감을 잠재우고, 낙서라도 해나가기 시작한다면 일이 풀려가기 시작할 것이다. 수많은 작가, 예술가들의 경험이 입을 모으는 바다.


세 번째 방법은, 조금 엉뚱하게 들릴 수도 있다. 바로 자성이나 전극을 통한 자극으로, 인위적으로 디폴트 모드 네트워크를 잠재우는 방법이다. 자성을 이용한 TMS(Transcranial Magnetic Stimulation), 미세한 전류를 이용한 tDCS(Transcranial Direct-Current Stimulation)는 두뇌의 활동을 조정한다. 디폴트 모드 네트워크에 관여하는 두뇌 영역 중 하나의 활동이라도 억제되면, 모든 네트워크는 활동이 감소한다. 이를 통해 디폴트 모드 네트워크를 잠재울 수 있다. 이 기술은 우울증, 강박증과 같은 정신질환을 치료하는 기구로도 사용된다. 이러한 기술을 이용해 플로우에 진입하는 것을 수월하게 만드는 것이 가능하며, 효과가 상당히 일관되고, 어떤 약물보다 훨씬 안전하다고 한다.


플로우의 경험이 많을수록, 행복감 또한 커진다는 연구 결과가 있다. 아마도, 일상적인 걱정 회로, 디폴트 모드 네트워크의 과활성은, 현재에 깊게 몰입하는 경험을 통해 해소되는 듯하다. 즉, 플로우를 자주 경험할수록, 플로우에 진입하는 것이 쉬워진다는 뜻이기도 하다.



점화된 불꽃, 오래 태워낼 수 있는가.


분투를 통해 인식된 과제가 이완을 통해 새로운 관점을 얻었고, 플로우의 불꽃이 점화됐다. 그렇다면, 점화된 불꽃을 태워내는 일이 있다.


하지만, 이 불꽃을 오래, 크게 태워내기 위해서는, 정신의 지구력과 집중력이라는 장작이 필요할 것이다. 2시간 동안 집중을 유지할 수 없다면, 집중에 도달하기 전에 여러 자극에 정신이 산만해진다면, 새로운 관점은 그저 아이디어에 그칠 뿐이다. 중요한 것은, 이 아이디어를 통해 의미 있는 결과물을 내야 한다는 점이다.


두뇌에 지속적으로 에너지를 공급할 수 있는 신진대사, 집중력을 한 곳으로 모아낼 수 있는 좋은 습관이 갖춰질 필요가 있는 것이다.


두뇌의 지구력과 출력을 높이는 지방대사의 확장.

촉매인 누트로픽의 활용.

싱글 태스킹 훈련.

명상의 실천.


체지방을 두뇌의 연료로 쓰는 법.

똑똑해지는 약, 누트로픽 기초 가이드.

브레인 해킹 로드맵.


플로우를 점차 확대하고 강화하는, 서로 시너지를 주고받는 실천들이 될 것이다.

keyword
작가의 이전글뉴로해킹 로드맵.