'돈보다 생명을'

60대 남성, 잠자다 깬 갑작스러운 흉통과 호흡곤란으로 신고된 건

by 여한솔


며칠 전 이야기입니다.


60대 남성, 잠자다 깬 갑작스러운 흉통과 호흡곤란으로 신고된 건입니다,

산소포화도 65% 의식 수준 기면상태 환자 식은땀 줄줄줄


감별질환: 급성심근경색, 급성폐부종, 급성심부전, 대동맥박리, 긴장성기흉,폐색전증 등등


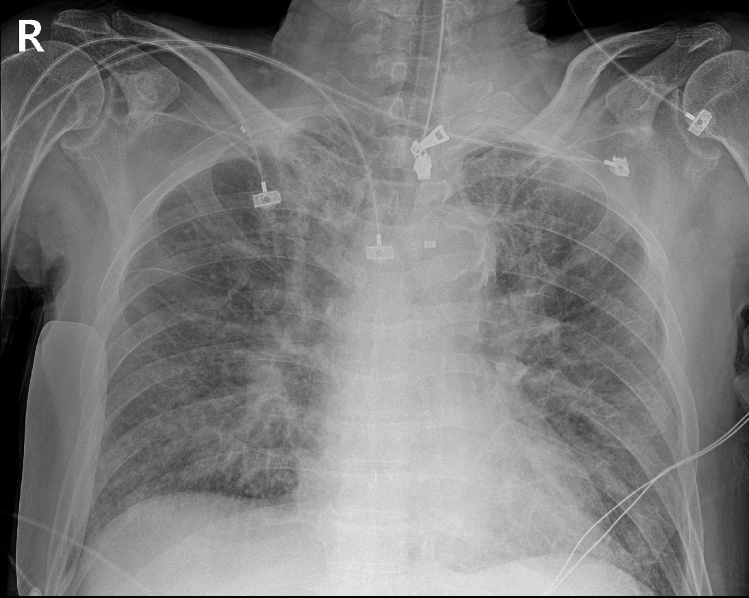
오자마자 환자 재운뒤 기관 삽관 후에 인공호흡기 걸어놓고 엑스레이 찍어보니 급성폐부종이 확인됩니다.

409208479_24268287879484123_8793139256726769442_n.jpg

심전도 찍어보니 V1~4 ST elevation, II III aVF ST depression

초음파 갖다 대보니 좌심실 첨단부 아예 안 움직임. 전형적인 심근경색을 나타내는 검사결과입니다.

EC-Proximal-LAD-Acute-anteroseptal-STEMI.jpg

보호자에게 '심근경색으로 전원 가는 도중 돌아가실 수 있습니다. (돌아가시다뇨?) 죽을 수 있습니다!'설명 후 보호자 어안이 벙벙... (잘 자고 있었는데 이게 무슨 소리인가요!)


비위삽입관 넣고 아스피린, 플라빅스 갈아 넣어주고 NTG 쓰면서 소변줄 넣어주는데 5분이 걸리지 않았습니다.


진짜 진짜 너무 감사하게 중환자실 없는 상황에서도 관상동맥 시술 위해 받아준 모교 병원 응급의학과 선생님들. 또 새벽 중에 나와서 시술해 주실 순환기내과 교수님들.


20111220082649_4_31090.jpg

심근경색은 시간이 생명이기에 사설구급차를 부르는데 도착하는 데에만 한 시간 가는 데에만 또 2시간... 환자를 생각해서 119 이송을 부탁하였으나 119는 동승할 의료진 없으니 이송 거절합니다. 환자 생각해서 부탁드린 건데 앞으로 다시는 119 이송 요청 하는 아쉬운 소리 하지 않는 대신, 당장 응급한 환자가 아닌데 성의 없이 이송하는 경우, 생명의 지장이 없는 이상 주취자는 절대 응급실에서 받지 않을 생각입니다.

a11f68fc-ca8b-4744-80b1-37ff72669cd0.jpg

그 와중에 호흡곤란으로 먼저 들어온 할머니와 보호자는 본인들의 처치가 늦어짐에도 의사 1, 간호사 3명이 좁은 응급실에서 이리저리 뛰어다니는 모습을 보았을 것입니다. 처방을 내는 중 '뒤에 오신 환자가 너무 상태가 좋지 않아 본의 아니게 처치가 늦어지고 있습니다. 죄송합니다.' 말씀드렸지만 본인들보다 더 안 좋은 환자임을 인지하고 아무 말 없이 기다려 주신 것도 너무 감사합니다.

maxresdefault.jpg

한편 그 와중에 손가락 아프다고 새벽 3시에 응급실 와서 기다리라는 말에 집에 가면서 굳이 응급실로 또 전화를 걸어 일방적을 욕을 박고 끊는 환자까지 스펙터클한 밤이 지나갔었습니다.


이 환자만 특이하다기엔 근무하는 날마다 한 두 명씩은 이런 환자가 내원하는 평범한 일상 중 하루이지만, 그냥 기록을 남겨두고 싶었습니다. 감사하고 답답하고 또 감사한 하루가 무사히 지나갔습니다.

999B78335D10961814.png

'이 환자를 우리 병원에서는 최종 처치 불가능하니 수용 불가' 한다고 하면 이 환자는 살았을까요 죽었을까요. 가정이긴 하지만 99% 가능성으로 이송 중 심정지가 발생했을 것입니다. 타 지역에 살고 있다던 아들은 아버지의 살아있는 모습을 다시는 못 봤을 테고, 그러면 뉴스에 내가 '범죄자'가 될 테고 온갖 조리 돌림을 당하겠지요. 이럴 때면 여기에서 근무하는 것이 참 보람 있기도 하고 또 무섭기도 합니다.

article.jpg

'돈보다 생명을'외치는 단체에서는 이러한 환자를 살려놓는 우리를 보고 어떤 생각이 들까요. 환자의 남은 여생과 가족들을 생각하면 , 만약 역지사지의 입장이라면 저는 몇 억을 주더라도 내 가족을 살리고 싶을 것 같은데, 그저 '돈 많이 번다'라며 비아냥 거리는 사람들을 지켜보는 하루입니다.


그리고 2024년도 응급의학과 지원율이 80%를 넘지 못한 것을 보고 또한 많은 생각이 드는 하루입니다.

keyword
작가의 이전글지독한 행운이 함께 했던 하루