brunch

부정교합 자가진단 Tip 5

by 김흥식

흔히 부정교합 하면 아랫니가 윗니를 덮는 정도의 교합상태만을 떠올리게 됩니다.하지만 부정교합은 위아래 치아의 맞물리는 상태를 말하는 것으로 어떤 원인에 의해 치아가 잘 맞물리지 않아 기능적, 심미적으로 문제가 되는 경우가 모두 포함된다고 할 수 있습니다.


가지런하지 못한 치열, 덧니, 치아 간격의 벌어짐 등 다양한 형태의 부정교합은 위턱과 아래턱의 전후방 위치에 따라 1,2,3급 부정교합, 수직적인 문제에 따라 과개교합, 개방교합으로 나뉩니다.그렇다면 나는 부정교합일까, 아닐까? 부정교합 자가진단 체크리스트를 통해 확인해볼 수 있습니다.



GettyImages-926241616.jpg

# 1급 부정교합


아래 위턱의 상태는 정상이지만 각 치아가 가지런하게 배열되어 있지 못하거나 치아 사이의 간격이 넓어져 있는 경우로 비교적 치료가 수월합니다.


- 앞니가 과도하게 뻐드러져 있거나 치아 사이 공간이 듬성듬성한 경우, 치아가 겹쳐져 삐뚤삐뚤한 경우 등으로 외모 스트레스는 물론 치아 관리에 어려움이 있습니다. 과도하게 뻐드러져 있는 앞니는 구강호흡, 혀내밀기 등의 나쁜 습관에서 비롯된 경우가 많죠.



20171208_150728.png

# 2급 부정교합

위 어금니가 아래 어금니보다 앞쪽에 위치하는 상태로 윗니의 턱뼈가 아랫니의 턱뼈에 비해 지나치게 커서 위턱이 앞으로 돌출되어 보입니다. 비교적 치료도 어렵고 치료기간도 긴 편입니다.


# 3급 부정교합


아래 어금니가 위의 어금니에 비해 전방에 위치, 아래 앞니와 아래턱이 위의 앞니와 위턱보다 과도하게 돌출된 경우로 흔히 주걱턱이라고 부릅니다. 반드시 치아교정이 필요하며, 외과적 수술이 동반되기도 합니다.




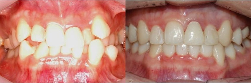
1-horz.jpg

# 과개교합

윗니가 전방으로 돌출되어 앞에서 봤을 때 아랫니가 전혀 보이지 않는 상태를 말합니다.

위턱이 아래턱을 심하게 덮음으로써 아래턱의 성장을 방해하고 악관절에도 무리를 줄 수 있습니다.


# 개방교합

치아가 서로 맞물리지 못하는 상태로 교합 시 아래 앞니와 위 앞니 사이에 공간이 있는 경우라고 할 수 있습니다. 음식을 먹는 데 불편함이 생기면서 나쁜 식습관이 형성, 성장에도 영향을 미치게 됩니다.




20353994.jpg


앞니의 정중선이 맞지 않는 것도 부정교합으로 안면비대칭에서 흔히 나타납니다.


부정교합은 유전적인 영향이 큰 것으로 알려져 있지만 환경적 영향, 잘못된 습관이나 자세 등이 원인으로 발생하기도 합니다. 심한 부정교합은 외모 콤플렉스도 가져오고, 저작능력이 떨어져 소화기관련 질환, 발음장애도 나타날 수 있습니다.


가능한 사춘기가 시작되기 전에 부정교합 치료를 받아야 하는 것도 바로 이런 이유 때문이죠.






습관적으로 턱을 괴거나 한쪽으로만 음식물을 씹는 습관 등은 안면비대칭을 초래할 수 있으니, 평소 생활에서도 치아에 악영향을 미치는 이런 습관들을 고치는 것도 필요합니다.

keyword
작가의 이전글바나나 껍질로 치아 하얗게 만들 수 있을까?