늦은 밤, 펜을 들고서

엄마 몰래 쓰는 아빠의 산부수첩

by 공부방 나그네
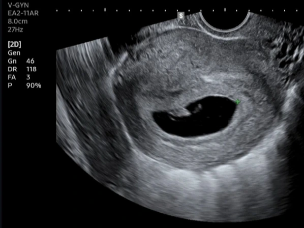
아이가 생긴 것을 눈으로 확인한 임신 7주 차 초음파 검사결과; 사진 가운데 검정 고구마 형태를 띤 부분이 태낭이라고 불리는 '아기집'이고, 그 상단에 초보 형태의 태아가 보인다.


안녕 아가야,

지금은 곤히 잠든 엄마의 뱃속에서 아직은 1cm*도 안 될 정도로 너무나도 쪼그마한 너지만, 앞으로 네가 엄마 뱃속에서 조금씩 성장해 나가는 과정에서 아빠가 보고, 듣고, 느끼는 것들을 이 작은 공간에 담아보려고 해. 아빠만의 언어로 말이야.


아가야, 이 수첩은 아빠의 '엄마 관찰기'야.

네가 언제쯤 이 글을 볼 수 있을지 모르겠지만 말이다. 우리가 환한 세상에 나온 너를 만나기까지 행복한 순간도 있었지만, 또한 지난한 과정 또한 있었다는 것을 알아주었으면 한단다. 너의 존재를 알게 된 그 순간과 초음파 영상 속에서 너의 작은 몸짓과 우렁찬 심장소리, 그리고 엄마에게 보내는 '하찮은' 몸짓은 상상할 수 없는 기쁨과 웃음을 가져다주었어. 하지만, 네가 빛을 보기까지 아빠와 엄마는 거짓말처럼 혹독한 어려움에 부딪히기도 했단다. 너를 뱃속에 담은 채 엄마가 울고 웃으며, 힘들어하지만 또 행복해했던 그 순간들을 아빠는 이 작은 '산부수첩'에 낱낱이 기록을 해 나갈 거야. 그 모든 과정을 담은 '산부수첩'의 끝은 언제나 해피엔딩일 것이기에, 언젠가 네가 충분히 컸을 때 이 수첩의 글들을 부담 없이 재밌게 읽어줄 거라고 믿어.


아가야, 이 수첩은 주변 사람들의 응원을 담은 작은 '그릇'이야.

작디작은 네가 세상의 빛을 보기까지에는 많은 사람들의 응원과 격려, 그리고 축하가 있었단다. '너'라는 존재를 알게 되고, 엄마와 아빠의 가족, 친척들, 그리고 친구와 직장동료들이 해주었던 수많은 축하 메시지들, 그리고 네가 세상을 향해 외칠 우렁찬 외침소리에 보낼 힘찬 응원까지 아빠가 빠짐없이 이 편지에 담아 미래의 너에게 주려고 한다. 네가 훗날 자라면서 사람으로부터 상처받고, 치열한 경쟁에서 갈기갈기 찢겨 나가면서 너의 자존감이 바닥을 칠 때가 오면, 그때 케케묵은 서랍장에서 이 글을 꺼내어 읽어주길 바라. 우리 가족과 사회가 너를 위해 보냈던 응원들이 너를 다시금 도약하게 해 줄 거야. 그리고, 너 또한 주위 사람들에게 이 작은 그릇에 담긴 큰 사랑을 두 배로 나눠줄 수 있는 사람이 되었으면 한다.


아가야, 이 수첩은 아빠의 '반성문'이야.

세상에는 뱃속에 너와 같이 예쁜 아가들을 품고 약속의 날만 기다리고 있는 많은 엄마와 아빠들이 있단다. 그분들도 엄마와 아빠같이 행복과 희망, 걱정, 우려, 슬픔 등 복잡한 감정을 가지고 있을 거야. 아빠의 '산부수첩'은 비단 너에게만 보내는 작은 편지일 뿐만 아니라, 수많은 예비 엄마와 아빠에게 보내는 공감의 글이며 또 작은 조언이 될 것이라고 믿어. 아빠는 이 글에 아빠가 잘하지 못했던 점, 너무나도 아쉬웠던 점, 그렇기에 다른 아빠들은 아빠와 같은 실수를 반복하지 않길 바라는 마음들을 하나둘씩 반성하며 적어 내려갈 거야.


아가야, 이 수첩은 아빠의 '각성제'야

이 글을 쓰는 순간에도, 엄마와 아빠에게는 너무나 많고 힘든 일이 일어나고 있단다. 겉으로는 덩치도 산만하고 강해 보이는 아빠도 밀려드는 고난들로 너무 힘들고 괴롭기도 해. 그냥 아무런 생각 없이 삶의 한가운데서 좌절한 채로 멈춰있기도 싶고, 역경들로부터 등을 돌린 채 뒤돌아 저 멀리 도망가고 싶기도 하단다. 하지만, 네가 있기에 아빠는 물러서지도 도망치지도 않고 이 악물고 앞으로 나아간다. 훗날 네가 아빠에게 지을 웃음을 상상하면서 말이야. 아빠는 이 수첩을 쓰는 순간마다 너라는 존재를 다시금 머리에 각인시키고 전진할 거야.


아가야,

바로 지금 이 글을 쓰는 순간에도, 엄마는 혹여 자신으로 인해 너에게 아픔을 가져다줄까 봐 병원에서 준 산모수첩*과 서점에서 구입한 임신육아책을 여러 번 읽어가며 혹시 빠뜨린 것이 없는지 수 없이 체크한다. 혹시 나중에라도 엄마가 너에게 서운한 게 있다면 이 글들을 떠올리며 한 번쯤은 엄마를 용서해 주길 바라는 마음이다. 엄마는 네게 잘하고 싶었던 것일 테니까.


곧 만날 그날을 기대한다. 엄마를 너무 힘들게 하지 마려무나.


사랑한다.




* 주석

1) 태아의 발육은 임신 1개월의 약 0.2cm에서 임신 2개월 약 2cm까지 자라나며, 임신 말기인 10개월 차에는 약 50cm까지 성장하며 모체 밖으로 나갈 준비를 한다.

2) 임신을 확정받으면 병원에서 산모수첩을 준다(지급 시기는 각 병원마다 상이). 산모수첩에는 산모와 태아의 건강을 기록할 수 있는 공간이 있으며, 산모와 예비 아빠가 주의해야 할 사항들이 적혀있다.

keyword
토요일 연재