진오비산부인과 첫방문! 임신 8주차 피고임, 피비침

홍대요가 /임산부요가 /요가피플

by YOGA PEOPLE
uzKK2C1GRC2x6rXTpPmew_thumb_32cc.jpg

2020년 7월 28일 화요일

다니던 <이명아 산부인과>를 마지막으로

분만이 가능한 병원을 알아보다가

동교동 삼거리 근처의 <진오비산부인과>를 오게 됐다.

이명아 산부인과 원장님께 마지막 진료를 받고 1-2주 정도 뒤에 새로운 병원에 가보라고 하셨다.

<진오비 산부인과>는 집이랑 너무너무 가까워서 예전부터 늘 0순위였는데, 전화로 예약문의하면 늘 예약이 다 찼다고 해서 항상 가지 않았던 곳이었다. 하지만 이번엔 분만까지 고려하다보니 여러 병원을 순위에 두고, 맘카페 평가도 좀 조사를 하긴 했다. 생각보다 좋은 평이 정말 많았던 진오비 산부인과. 그래도 단점이라면 다른 병원과는 다르게 진료 의사 선생님이 원장님 단 한분이시라 위급한 상황에서는 곤란할 수 있다는 이야기도 들었다. 그래서인지 진오비에서는 첫 상담 후 위급할 수 있는 고위험군 산모는 받지 않고, 대학병원이나 좀 더 큰 규모의 병원으로 보낸다는 이야기도 들었다. 왠지 그런부분이 뭔가 나랑 잘 맞을 것 같기도 하고..또 무엇보다 제일 가까우니까! 뭐 아웃되면 어차피 다른곳으로 가야하니 일단 진오비 먼저 가보자! 하는 마음으로 <진오비 산부인과>로 연락을 했다.

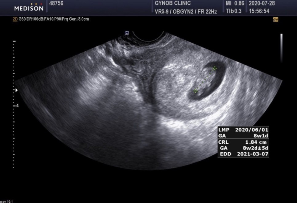
역시나! 예약이 다 찼다고 했다. '그럼 난 언제 가야하나?' 했는데, 예약은 안되지만 방문이 가능한 시간은 안내해주셨다. 예약과 예약 사이에 원장님께서 진료를 보신다고 한 것 같은데.. 정확한 시스템은 아직 모르겠다. 오게 되면 대기하고 기다렸다가 진료를 받으면 된다고 알려주셨다. 뭔가 참 귀찮게 느껴지기도 했지만 일단 가보기로 했으니! 2주만에 다시 찾아온 새로운 산부인과. 처음 오는 병원이다보니 왠지 더 긴장이 됐다. 지난번 초음파로 봤을 때 임신주수 5주 4일차 정도 된다고 하셨고, 딱 2주 뒤니 7주 4일차쯤 되지 않을까 생각하고 있었다. 하지만 내 예상을 넘어서 8주 1일이 나왔다. 2주간 부쩍 입덧과 속쓰림이 심해져서 힘든 일상을 보냈는데, 그래도 아가가 잘 크고 있었다~!! 5주에서 8주 사이 유산이 가장 많다고 어디서 본 것 같았는데.. 8주가 넘어서서 한결 마음이 놓였다.

하지만 피고임, 피비침은 아직 여전했다. 거의 처음 이명아 산부인과에 가서 아기집을 확인했을 때, 주수도 파악되지 않을때 였는데- 그때 피고임이 보인다며 유산기가 있다는 말을 들었다. 임신테스트기의 선명한 두줄을 보고 병원에 가자마자 그런 말을 들으니 임신이 그리 기쁘게 느껴질 수도 없었다. 뭔가 위험한 상황에 처한 느낌으로 많이 두려웠다. 그래서 원래 임신하고 8주나 12주가 지나기 전까지는 외부에 알리지 않는게 좋다고 한다. 하지만 사실 일상의 업무들도 모두 똑같이 해야하고, 안정을 배려받지 못하고 비밀리에 그 시기를 보내는 게 더 스트레스 받을 것 같아 일하는 여성에게 그것도 딱히 정답은 아닌 듯 하다! 대체 임신중 피고임, 피비침! 그게 뭔가요?

https://youtu.be/SKL735ZYNR8

초음파 상으로 보면 아기집 주변에 조금 도드라지게 톤이 다른 덩어리 같은 것이 보이기도 하는데, 그런걸 보고 의사선생님들은 피고임이라고 말하는 것 같다. 처음 병원을 갔을 때는 피고임으로 보이는 영역이 제법 컸고, 두번째 병원을 갔을 때는 처음보다는 조금 작아진 피고임을 확인했다. 이게 자연스레 체내에 흡수되는 경우도 많다고 하는데, 그렇지 못한 경우- 출혈이 몸밖으로 배출되며 아주 작은 아기집과 아가가 그 출혈에 밀려 같이 밖으로 나올 수도 있다고 한다ㅠㅜ 두번째 초음파때 아가가 5mm였는데 피고임은 2cm였다. 그렇게 생각하면 2cm의 피고임이 밖으로 나오며 5mm의 아가가 함께 나올 수 있다는 건가요ㅠㅜ!! 이런 상황을 '절박유산'이라 한다고 의사선생님께서 친절하고도 무섭게 설명해주셨다. 산모 중 10%가 피고임 현상을 경험하고, 그 중 10%가 유산을 겪는다고. 생각보다 많은 산모들이 안좋은 일을 경험한다고 하니 남 일 같지는 않아 두려움에 쫄아붙어 떨고 있던 5주차였다. 그래도 검색해보면 정말 정말 많은 산모들이 흔하게 피고임을 겪고도 별 탈없이 출산을 했다는 글들을 찾아볼 수 있다. 정말 많은 자료들을 폭풍검색하며 마음이 편해졌다가 다시 불안정했다가를 반복. 어쨌든 이 영역에 대해 공부는 많이 되었다.


3번째 초음파. 2주전 5mm였던 아가가 1.84cm가 되었다.(지금은 더 컸겠지^^)

아가의 심장박동은 171로 아주아주 잘 뛰고 있지만 그래도 아직까지 우려되는 피고임..

선생님께서 1-2주 정도 흡수가 되는지를 지켜본다고 하셨다. 어쨌든 생각보다 꽤 오래가는 것 같아 잠깐씩 또 불안불안 하다. 혹시 흡수가 안되면 무슨일이 생기는건지.. 많이들 경험하는 사례라고 하나 결코 안심해도 되는 상황은 아니라고 한다. 그래도 아직까지 다행이라 생각하는 것은 임신하고 단 한번도 피가 몸 밖으로 보였던 적은 없었다. 배란혈 때문에 그렇게 걱정을 한 것 치고는!! 초기에는 꽤 부정출혈이 흔하다고 하는데 난 아직까지 단 한번도 없음.

지금 8주를 넘어 9주를 향해가고 있는 상황도 완벽히 안정기라고는 말할 순 없다.

그래도 형체가 잡혀가는 아가와 아가의 심장소리를 듣다 보면

확실히 나의 부속이 아닌 또 다른 생명라는 것을 느끼게 된다.

왠지 나보다 건강해서.. 알아서 잘 자라주지 않을까 싶기도 하고,


IMG_1078.jpeg
IMG_1077.jpeg

이번주 화요일은 웨딩촬영도 해야하는데.. 불편한 웨딩드레스를 입고, 하루종일 어색하게 의무감을 갖고 결혼식 청첩장을 위한 사진을 찍어야 한다니 매우 기가 빨리는 일이지만 그래도 뭐든 할 땐 열심히 해야 한다. 웨딩 촬영 후 이틀 뒤에 이제서야 초기검사다. 그 때까지 제발 건강하렴ㅠㅜ

웨딩촬영을 위해 뿌리를 제외한 머리 중간부터 끝까지 염색도 했다.

정말 안하고 싶었는데 촬영을 위해서 안전한 염색약으로 톤을 맞춰 오라는 웨딩플래너의 과제로..

만사 다 귀찮은 와중에 조금이라도 위험한 느낌이 나는 것은 안하고 싶은데 말이다.


SE-1f33e110-452d-4e26-bc2f-22f9b7b70fda.png
SE-d167f415-2855-4613-a28d-359b820c8d32.png
SE-b1b29d4a-f894-447b-84e8-7208bbc41946.png

오늘 점심. 요가원 일요일 수업 전 대욱이와 잠깐 집근처 카페에 들렸다.

요즘은 계속 '컨디션 안좋음' 속에 살고 있다.

매일 속쓰리고 울렁울렁. 무기력, 누워있음 등등.

사실 그래도 행복하긴 하다.

어릴 때 늘 예민하고, 삐져있던 나.

는 이제 다행히 방황하는 사춘기의 모습을 많이 벗었다.

37살. 자녀로서의 가정을 지나 부모로서의 가정을 만들고 있는 지금.

과거보다 지금이 더 가치로운 시간이라고 생각하니까.

이제 이렇게 8월을 보내고, 10월 10일 결혼을 한다. 10월 23일은 이사를 하고!

아가가 태어나기 전까지 정말 무수히 많은 활동적인 일들이 생겨날 것 같다.

태어나면 다들 할일이 더 많아질거라고 하던데!ㄷㄷㄷ

내 인생의 새로운 시대가 오고 있는 중이다.



keyword
매거진의 이전글임신 요가 일기_#03임신 7주차 중 결혼준비