brunch

명절의 대학병원 응급실: 돌아온 효자, 돌아온 효녀

민족 고유의 명절, 응급실에서 만나는 가족 사랑

by 의사과학자 류박사

#명절응급실 #효심 #가족건강 #명절 #명절효자 #명절효녀 #민족대명절 #귀성 #귀경 #응급실 #추석열차예매 #추석기차 #설날기차 #KTX예매 #SRT예매 #명절귀성 #명절응급의료 #연휴병원 #명절약국 #응급의료정보



【 2024 추석 열차 예매, 미리 준비하세요! 】


2024년 추석, 여러분의 귀성 여정이 시작됩니다. 이번 명절은 어떤 모습일까요? 한때 코로나19로 인해 달라졌던 명절 풍경이 이제는 예전의 모습을 되찾았습니다. 2024년 추석 열차 예매 일정을 꼭 기억해두세요. KTX 예매는 8월 19일(월)부터 22일(목)까지, SRT 예매는 26일(월)부터 29일(목)까지 총 4일간 온라인과 전화로 가능합니다.


지난 몇 년간 코로나19로 인해 우리의 명절 풍경이 많이 달랐었죠. 비대면 세배, 온라인 상품권 선물 등 새로운 문화가 잠시 자리 잡기도 했습니다. 하지만 이제는 다시 예전의 모습을 찾아가고 있습니다. 오히려 한동안 제대로 만나지 못했던 가족을 향한 그리움이 더 강해진 것 같기도 합니다.


저도 매년 아침에 설레는 마음으로 추석 KTX 예매인 '전국민 수강신청'에 참가합니다. 원하는 시간의 기차표를 예매한 적도 있었고, 실패한 적도 있었습니다. KTX 예매에 실패하면, 그다음 주에 한 번 더 SRT 예매인 '패자부활전'에 참가하여 성공한 적도 있었습니다. 심지어 '패자부활전'조차 실패해 어쩔 수 없이 자가운전으로 귀경을 선택한 적도 있었죠. 그때의 막막함이 아직도 생생합니다. 여러분도 잊지 마시고 예매하시기 바랍니다.


모두 편안하고 안전하게 이동하셔서 가족 간의 정을 나누는 행복한 추석 보내시길 기원합니다. 하지만 이런 민족 대이동의 이면에는 우리가 미처 생각지 못했던 모습들이 있습니다. 오늘은 명절 때 대학병원 응급실에서 마주치는 특별한 풍경들에 대해 이야기해보려 합니다.



【 민족 대이동의 이면 】


매년 두 번, 온 나라가 들썩이는 대명절이 찾아옵니다. 설과 추석, 오랜만에 가족을 만나 그리움을 달래고 사랑을 나누는 소중한 시간이죠. 멀리 떨어져 있던 가족들이 한자리에 모여 따뜻한 정을 나누는 모습은 우리 민족의 아름다운 전통입니다. 이 명절은 우리나라뿐만 아니라 음력을 사용하는 동양 문화권 전반에 걸쳐 있는 특별한 날입니다. 그리운 가족들을 만나러 고향에 가는 일만큼 설레는 일이 또 있을까요? (그림 1)



그림 1. 가족을 만나러 가는 명절 풍경 일러스트. 누구나 이런 풍요로운 마음으로 가족들을 만나러 가겠지요? 물론 이렇게 운전하면 안 되겠지요? ☺︎


그런데 병원에서 일하는 의료진에게 이 풍성한 명절은 때로 두려움의 대상이 됩니다. 명절에는 대부분의 병원과 의원이 문을 닫아 응급 상황이 생기면 대학병원 응급실로 환자들이 몰리기 때문입니다. 증상의 경중을 판단하기 어려운 일반 시민들은 모두 응급실을 찾게 되어, 명절의 대학병원 풍경은 평소와 사뭇 다릅니다.



【 응급실의 명절 풍경 】


제가 근무했던 수련병원의 명절 응급실은 마치 발 디딜 곳 없는 재래시장처럼 북적였습니다. 평소보다 2배나 많은 환자 속에서, 우리 의료진들은 연휴 내내 사명감을 갖고 최선을 다했습니다. 실제로 2019년 보건복지부 통계에 따르면 추석 연휴 때는 평상시보다 질병과 외상으로 각각 1.79배, 1.88배 환자들이 내원한다고 합니다.


우리 의료진들도 누군가의 자녀이고 부모입니다. 명절에 가족과 함께 하고 싶은 마음은 모두 같습니다. 하지만 누군가는 응급실을 지켜야 한다는 사명감으로 명절을 보냅니다. 정형외과 전공의였던 저에게는 외상환자들이 가장 큰 관심사였죠. 2년차까지는 1년차와 함께 당직을 서며 의학적 판단과 법적 책임을 나눠집니다. 3일에 한 번씩 돌아오는 당직, 긴 명절 연휴 동안에는 이틀을 꼬박 격무에 시달리곤 했습니다.


명절에는 민족 대이동으로 인해 교통사고 환자가 크게 증가합니다. 이런 환자들을 자주 접하다 보면 안전운전의 중요성을 절감하게 됩니다. 모든 수술 환자를 수술하기는 물리적으로 불가능해서, 초응급 수술이 필요한지를 먼저 판단합니다. 그 외의 환자들은 연고지 병원으로 전원 하거나 명절 후 수술 일정을 잡습니다.



【 돌아온 효자, 돌아온 효녀 】


명절 대학병원 응급실에는 예상 밖의 특별한 손님들이 찾아옵니다. 바로 오랜만에 부모님을 찾아뵙는 자녀들입니다. 그들의 부모님을 생각하는 마음이 응급실을 찾는 이유가 되기도 합니다. 제가 일하던 대구 인근 경상도 지역의 많은 농촌 마을에서, 타지에서 바쁘게 살아가던 자녀들이 오랜만에 부모님을 뵈러 옵니다. 1년 만에 마주한 부모님의 모습에 가슴 한편이 아려옵니다. 그들은 작년에 비해 갑자기 무릎, 허리, 어깨 등의 기능이 떨어진 부모님을 보고 놀랍니다. 그래서 대학병원 응급실을 찾곤 합니다. 지역 병원들이 대부분 문을 닫은 명절, 그들의 선택지는 제한적일 수밖에 없습니다.


하지만 이런 퇴행성 질환은 대부분 응급 상황이 아닙니다. 우리는 이런 상황을 이해하면서도, 가족의 건강을 걱정하는 마음에 깊이 공감합니다. 젊은 전공의로서 할 수 있는 일은 진통제를 처방하고 명절 후 지역 병원 또는 의원 방문을 권하는 것뿐이지만, 환자와 보호자의 마음을 공감하며 차분히 설명드리려 노력합니다. 이런 과정에서 의료진과 환자, 보호자 간의 따뜻한 소통이 이루어지곤 합니다. 때로는 이런 만남을 통해 가족 건강의 중요성을 재확인하고, 앞으로 더 자주 부모님을 찾아뵙겠다는 다짐을 하는 자녀분들도 있습니다.


대부분의 환자 및 보호자분들은 이해해 주시지만, 간혹 언성을 높이시는 보호자분들도 계십니다. "돈은 문제없으니 최선의 치료를 다 해주세요", "지금 진료를 거부하는 겁니까?"라는 말씀을 들을 때면 마음이 무겁습니다. 평소보다 2배나 많은 환자를 돌봐야 하는 상황에서, 이런 말씀을 듣게 되면 가슴이 아픕니다. 우리도 누군가의 자녀이고, 때로는 부모입니다. 환자분들의 마음을 이해하지 못하는 것은 아닙니다.


하지만 시간이 지나고 보니, 이해가 되는 부분이 있습니다. 아마도 평소에 부모님 건강을 챙겨드리지 못한 미안함이 이런 식으로 표출되는 것 같았습니다. 그들의 마음속 깊은 곳에 자리 잡은 효심과 걱정이 때로는 거친 언어로 나오는 것일지도 모릅니다.



【 따뜻한 이해와 소통의 중요성 】


의학적으로 볼 때 퇴행성 관절 질환은 '질병'이지 '외상'이 아니어서 응급실에서 다루기에는 적합하지 않습니다. 하지만 이런 상황에서 우리가 할 수 있는 가장 좋은 방법은 서로를 이해하고 소통하는 것이라고 생각합니다.


환자와 보호자 분들께는 현재 상황을 차분히 설명드리고, 의료진들은 그분들의 걱정과 불안한 마음을 헤아려 보는 거죠. 비록 당장은 힘들고 어려운 상황일지라도, 서로를 향한 따뜻한 마음 하나로 이 시간을 잘 이겨낼 수 있을 거라고 믿습니다. 응급실 당직의도 본인이 할 수 있는 최선을 다하고 있는 중이랍니다. 여러분도 혹시 비슷한 경험이 있으신가요? 명절에 부모님의 건강 변화를 보고 놀라셨던 적이 있다면, 어떻게 대처하셨나요?



【 명절 전에 나을 수 있을까요? 】


정형외과 퇴행적 질환으로 수술을 받는 환자분들 중에 많은 환자분들이 이런 질문합니다. “명절 전에 회복할 수 있을까요?” 명절에 고향에 돌아가야 하는데, 거동이 가능한지, 일은 할 수 있는지, 이런 질문들을 많이 하십니다. 의사 입장에서는 그런 것을 생각하기보다는 수술 후에 재활을 잘해서 본인 몸이 낫는 게 중요한 게 아닌가 하는 생각이 들기도 했습니다. 하지만, 이런 질문들을 통해, 환자분들에게 명절이 단순한 휴일이 아닌 가족과의 소중한 시간임을 다시 한번 깨닫게 됩니다.



【 체내금속제거술은 명절직전에 하고 싶어요 】


정형외과에서는 관절 내 골절 시 '플레이트'라는 임플란트(인체 내 삽입물)를 삽입해 나사로 고정하는 경우가 많습니다. 이는 마치 부러진 뼈를 받쳐주는 내부 부목 역할을 합니다. 티타늄 합금으로 만든 이 금속판은 대체로 체내에 있어도 큰 문제를 일으키지 않습니다. 따라서 의학적으로 꼭 필요한 경우가 아니라면, 굳이 제거하지 않아도 되는 경우가 많습니다.


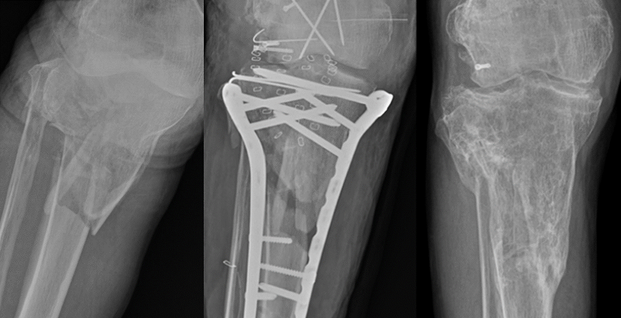
임플란트 제거 여부는 여러 요인을 고려해 신중히 결정해야 합니다. 제거가 필요한 경우로는 재료가 체내를 관통하거나, 부식 위험, 알레르기 반응, 뼈 위축, 암 발생 가능성(매우 드묾) 등이 있습니다. 성장기 어린이나 재료 파손, 감염, 괴사 등의 합병증 발생 시에도 제거를 고려합니다. (그림 2) 아래 예시 그림은 제가 제 1저자로 SCI급 논문에 출판했던 논문에서 발췌한 사진이고, 슬관절과 외상수술의 대가이신 영남대학교병원 정형외과 손욱진 교수님 수술케이스 입니다.☺︎ (Ryu et al., International Orthopaedics, 2019)



그림 2. 수술 전, 후, 금속제거술 후의 영상. 제가 1 저자로 SCI급 저널에 출판했던 논문 사진입니다. ☺︎ (Ryu et al., Int. Orthop., 2019)



반면, 제거하지 않는 것이 좋은 경우도 있습니다. 새로운 수술에 따른 위험, 임플란트 제거의 어려움, 뼈 과성장, 제거 실패 가능성, 나사 머리 벗겨짐, 임플란트 파손 등의 문제가 있을 수 있기 때문입니다. 또한 출혈, 재골절, 신경 손상, 상처 감염 등의 수술 후 합병증과 비용, 회복 기간, 일시적 근로 불가 등의 경제적 부담도 고려해야 합니다. 결국, 환자의 상태와 요구, 의사의 전문적 판단을 종합적으로 고려하여, 환자의 건강과 삶의 질 향상을 위해 함께 결정해야 합니다. (D. I. Vos • M. H. J. Verhofstad, Eur J Trauma Emerg Surg, 2013, 논문 참조)



【 명절의 다양한 의미 】


제가 수련받던 영남대학교병원 정형외과에서는 대체로 6개월에서 1년 후 환자가 원하면 체내금속 제거 수술을 진행했습니다. 그런데 명절 직전에 수술을 원하시는 분들이 가끔 계셨습니다. 시간이 지나며 그 이유를 알게 되었죠. 모든 사람에게 명절이 설레는 시간은 아닐 수 있습니다. 어떤 분들에게는 수술 후 회복하는 시간으로, 또 다른 분들에게는 그저 긴 연휴로 다가올 수 있습니다.


명절은 우리 모두에게 다른 의미로 다가옵니다. 누군가에겐 가족과의 재회의 기쁨이, 또 다른 이에겐 휴식의 시간이 됩니다. 응급실에서 보내는 명절이 누군가에겐 사명이 되기도 합니다. 각자의 상황과 선택을 존중하며, 서로를 이해하는 마음이 있다면, 우리 모두의 명절은 더욱 따뜻해질 것입니다.



【 명절 연휴 응급상황 대비하기 】


명절 연휴 중 갑작스러운 응급상황에 대비하는 것도 중요합니다. 정부에서는 명절에 문을 여는 의료기관 정보를 제공하고 있습니다. 응급의료포털(www.e-gen.or.kr)과 보건복지부 누리집(www.mohw.go.kr), 그리고 '응급의료정보제공' 앱에서 명절 연휴 동안 문 여는 병원, 의원, 약국 정보를 확인할 수 있습니다. 이 정보들을 미리 확인해 두면 만약의 상황에 당황하지 않고 대처할 수 있겠죠.


명절 연휴가 끝나고 집으로 돌아가는 길, 여러분의 마음은 어떠신가요? 오랜만에 가족과 함께한 소중한 시간, 그리고 혹시 응급실에서 만난 따뜻한 순간들을 되새겨보세요. 그리고 안전 운전 잊지 마세요. 여러분의 안전한 귀가가 또 다른 가족에게는 큰 선물이 될 테니까요.


이번 명절, 열차 예매부터 시작된 여러분의 여정이 안전한 귀가로 마무리되기를 바랍니다. 그 과정에서 가족의 건강과 행복을 돌아보는 시간도 가져보세요. 코로나19를 겪으며 우리는 가족의 소중함을 더욱 깊이 깨달았습니다. 이제 다시 찾은 일상에서, 그 소중함을 잊지 말고 더욱 감사히 여기는 명절이 되길 바랍니다. 그리고 혹시 병원을 찾게 된다면, 그곳에서 근무하는 의료진들에게도 따뜻한 미소 한 번 보내주세요. 그것이 우리 모두의 명절을 더욱 의미 있고 안전하게 만들 수 있을 것입니다.



“민족 고유의 명절, 응급실에서 만나는 가족 사랑”




keyword