brunch

5화. 천만 원짜리 산후조리원, 그리고 젤리곰은 없었다

가격 앞에서 작아지는 나

by 베이지

결혼 준비할 때 웨딩홀 투어만 해도 힘들었는데,

임신 후에는 산후조리원 투어까지 다녀야 한다는 사실에 마음이 착잡했다.

그래도 아이와 내가 2주간 머물 곳이라, 직접 보고 결정하는 게 낫겠다 싶어 몇 군데를 방문했다.

다행히 남편이 적극적으로 나서줘서 마음이 덜 불편했다. (아마 본인도 2주 동안 함께 있어야 해서 그런 걸지도 모른다.)

그런데 친정집 근처 조리원을 갔더니, 기본 2주 비용이 무려 천만 원부터였다.

상담만 받고 돌아설 수밖에 없었다.

씁쓸했다.


바로 계약하지 못하는 내 모습이 왠지 초라해 보였다.

웨딩홀 견적처럼 옵션을 붙일수록 금액은 끝없이 올라갔고, 이미 눈이 높아져 버린 탓인지 조금이라도 부족한 곳은 마음에 차지 않았다.

결국 마음만 복잡해진 채 집으로 돌아왔다.


나는 마흔이 넘으면 하고 싶은 건 다 할 줄 알았다. 고민 없이 결정할 줄 알았다.

하지만 현실은 아이와 나의 산후 관리마저도 가성비와 금액을 따져야 했다.

결국 내가 마음에 두었던 곳은 가격 앞에서 밀려나고, 분만 병원 근처에서 가장 저렴한 곳을 예약했다.

물론 그곳도 금액이 적지 않았지만, 그나마 선택할 수 있는 최선이었다.


누구의 탓도 아니다.
결국 내 선택이고 내 결정이다.

하지만 앞으로 아이를 위해 들어갈 수많은 비용들을 생각하니, 아이가 태어나기도 전에 벌써부터 내 자존감이 흔들렸다.


얼마 전 정신과에서 우울감이 있다는 얘기를 들었는데, 아마 이런 상황들이 내 기분을 더 가라앉게 만드는 것 같다.

입덧도 심하지 않고, 유산 기미도 없어서 다행인데도, 괜히 피곤하고 컨디션이 떨어진다.


그저 임신했다는 사실 하나만으로.

그래서 가끔은 문득, “내가 임신한 게 정말 잘한 걸까?”라는 생각이 스친다.


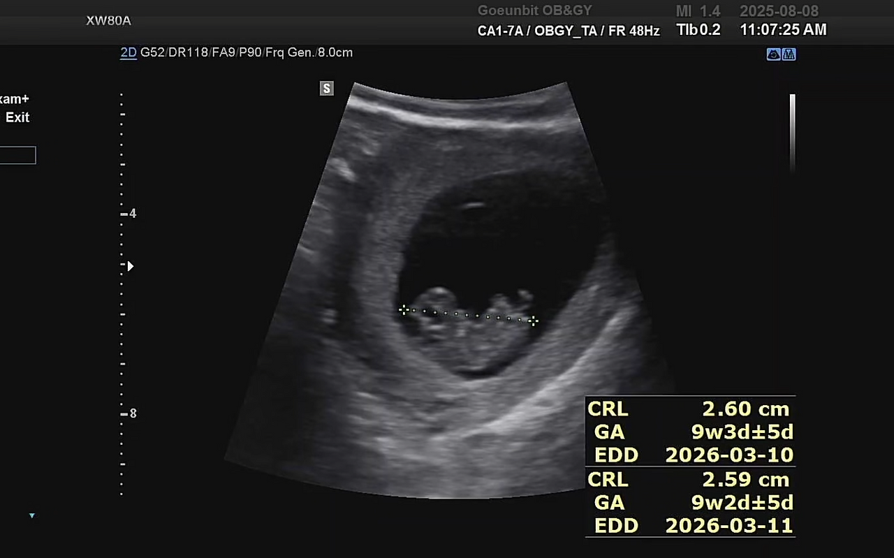
임신 10주 차, 젤리곰을 보러 간 날


10주 차에는 ‘젤리곰’을 본다는 말이 있었다.

처음엔 무슨 뜻인지 몰랐는데, 선생님도 웃으며 “다음에 오면 젤리곰을 볼 수 있어요”라고 하셨다.

알고 보니 이제 막 손발이 나온 아기가 옆모습으로 보면 젤리곰처럼 보인다는 말이었다.

듣기만 해도 귀여울 것 같았지만, 막상 나는 아무런 감흥이 없었다.


2주 만에 병원에 가서 배로 초음파를 봤지만, 느낀 건 “아직 잘 있구나” 하는 안도감뿐이었다.

내 눈에는 여전히 희미한 그림자일 뿐, 다른 산모들이 보여주는 귀여운 젤리곰은 보이지 않았다.


0808-2.png
0808-1.png
0808.png


10주 차


매주 똑같이 드는 의문.

나는 모성애가 부족한 걸까?


태명 ‘오복’이라고 불러보지만 아직 입에 붙지 않고, 내가 엄마가 된다는 사실도 실감이 나지 않는다.

그래도 하나 바라는 건 있다.
부디 이 아이가 내 뱃속에서 건강하게 자라, 무사히 내 품에 안기기를.

아직은 감정도 실감도 부족하지만, 그 기도만큼은 매일 진심이다.

keyword
이전 05화4화. 9주 차 기록 : 아기의 심장은 뛰는데