퇴사자에게 맡겨진 거대 장기 프로젝트

by 스루기

광고회사와 웹 에이전시에서 일한 지 8년 차.

‘클라이언트’라는 존재는 익숙하게 늘 나와 함께했다.

불가능한 것을 원하고 세상에 없는 것을 요구하고, 말도 안되는 예산안에서 더 말이 안되는 기간내에 해외 어워드 수상을 할 만큼 대단한 것을 기대하는 존재. 그렇지만 같이 일하던 팀장님의 말처럼 지금 당장은 안될 것 같아도 오픈날이 되면 그럴듯하게 오픈을 시키 고야 마는 게 우리의 일이었다.


프로젝트 하나가 끝날 무렵 칭찬 보다는 다음 프로젝트 미팅의 짐을 챙겨야만 했던 지난날을 달려오며 나는 꽤 지쳐 있었다. 1년 가까이 하나의 프로젝트에 매달려 있었고, 도저히 다음 프로젝트에 바로 투입될 자신이 없겠다는 마음이 들었다. 그렇게 퇴사를 하고 몇 달 간을 쉬어 보기로 했다.


남편이 출근하고 나면 나의 느긋한 하루가 시작되었다. 생각보다 하루는 짧았고, 퇴사하기 전 이것저것 배우겠다던 나의 의지는 물에 빠진 물감처럼 흐릿해 졌다. 다행히 요리를 좋아하는 나는 매일의 저녁을 위해 장보고 만드는 것이 가장 즐거웠다. 어느 날 집에 놀려온 동생이 나를 보더니, 언니는 거의 노후의 삶을 보내고 있는 것 같아 라고 했는데, 그간의 치열했던 삶에 비하면 그 말이 맞았다.


일을 그만두고 여유가 생긴 나는 남편과 긴 대화들을 자주 나눴고, 지금이 우리가 아기를 위해 도전해 볼만한 적기라는 결론에 이르렀다. 아기를 갖기 전 필요한 여러가지 검사들도 있었고 무엇보다 내 몸이 충분히 건강한 상태여야 할 것 같았는데, 야근이 일상인 회사를 다시 다니게 되면 이마저 보통일이 아닐 수 있겠다는 생각이었다. 우린 얼마간의 노력을 해보기로 했고 몇차례 병원도 가고 피도 뽑고 나팔관 조영술이라는 난생 처음듣는 검사도 했다. 의사 선생님은 종종 비장한 표정으로 달력을 보며 날짜를 점지해주었고 우린 군말없이 의식을 행했다. 일이 주어지면 최선을 다하는 부부라 어려움은 없었다.


그렇게 2달. 아직은 아니겠지 라고 생각한 시점이었지만 몸의 기분이 달랐다. 남편이 잠든 밤마다 ‘임신 극초기증상’ 등을 찾아보며 나와 비교했고 매일 아침 임테기를 하며 알 수 없는 그 무언가를 기다리고 기대하게 되었다. 마음의 눈으로 봐야만 보이던 임테기의 2줄이 점점 또렷해 졌고 어느 날 아침, 할머니 눈으로 봐도 이건 임신이다 할 정도로 진해진 걸 확인했다.그래도 아직은 비밀이었다. 나는 혼자 병원을 갔다.


<병원에 걸어가던 초록색 길, 이 때 얼마나 설렜는지 모른다>


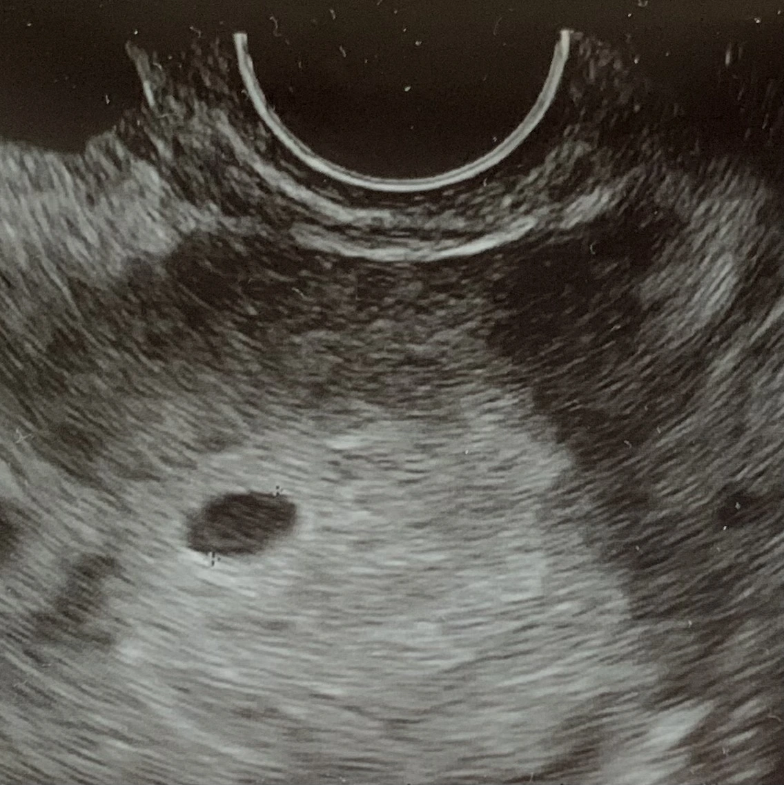
의사선생님을 만나 그간 벌어진 나의 상황을 이야기했고, 사진 찍어 두었던 또렷한 두 줄도 보여드렸다. 선생님과 나는 얼굴이 상기된 채 초음파를 시작했다. 어둑어둑하기만 하던 내 자궁에 동그라미 하나가 보였다. ‘아기집이 보이네요! 축하 드려요 임신이세요’ 산부인과 의자에 올려 둔 내 두다리의 힘이 스르륵 풀렸다. 내가 이렇게 많이 원했단 말인가 하는 생각이 들정도로 기뻤다. 2주 후에 약속을 잡고, 임신확인서와 산모수첩과 초음파사진을 들고 나왔다. 이 세상 아무도 아직 모르고 나랑 내 자궁 속 동그라미만 아는 기쁨이었다. 저녁에 퇴근한 남편에게도 우리의 동그라미를 소개했고 남편은 평소 눈물 많은 나도 안 흘린 눈물까지 찔끔거리며 기쁨에 동참했다.


IMG_5238 복사본.heic <언제 이렇게 집을 지어 놨는지, 거참!>


그렇게 나는, 한 번도 경력 없는 이 거대하고도 기나긴 프로젝트를 맡게 되었다. 나의 작은 클라이언트는 그 어떤 클라이언트보다 나를 힘들게 할지도 모른다. 그렇지만 첫 미팅에 이렇게 큰 기쁨을 준 클라이언트는 처음이다.


“반갑습니다! 앞으로 잘 부탁드려요”

keyword