brunch

"저도 그래요."

검사보다 확실한 것

by 빛나리의사

아이는 나를 쳐다보지 않았다. 병원 자체가 두려웠는지, 아니면 처음 온 이곳이 낯설어서 그랬는지, 그것도 아니면 하얀 가운만큼이나 머리가 빛나는 내가 무서웠는지, 진찰 내내 같이 온 엄마만 바라보았다. 초등학교 1학년인 민서는 진료실에 들어온 이후로 유난히 큰 눈에 힘을 주고는 곁눈질로 나를 몇 번 바라볼 뿐이었다.

내가 민서에게 한 말은 제일 먼저 민서 엄마에게 갔다가, 민서 엄마에게서 민서로 전달되었다. 그리고 나는 민서가 어머니에게 하는 말을 훔쳐 들어야 했다.

나를 잔뜩 경계하는 민서와는 반대로 민서 엄마는 민서가 키가 큰 지, 성조숙증은 없는지, 자주 배가 아프다는데 괜찮은 건지 궁금한 것이 많았다. 진료는 꽤나 길어졌다.


"선생님 마지막으로 궁금한 게 있는데요."


아이 새끼손가락이 많이 휘었는데 괜찮은 건가요?


사람이 죽고 사는 대학병원을 떠나, 1차 진료를 하는 내가 가장 많이 하는 것은 '안심시키기'이다. 하루에 보는 수십 명의 환자 중에 내가 혈액 검사나 영상 검사 등의 특정 검사를 하는 경우는 코로나나 독감 검사를 제외하고는 열 명도 채 되지 않는다. 의사인 내가 검사를 하는 경우는


1. 암이나 폐렴, 부정맥 등의 특정 질환을 의심하여 진단하기 위해서(확진)

2. 암이나 폐렴, 부정맥 등의 특정 질환이 아니라는 것을 확인하기 위해서(배제)


두 가지이다. 두 번째 경우는 또다시 두 가지로 나뉜다.


2-1. 의사로서 뭔가 석연치 않아서(뭔가 찝찝하다)

2-2. 굳이 안 해도 되는 검사지만(기타)

환자가 과도하게 불안해하거나,

환자가 꼭 해달라고 하거나,

또는 의사인 내가 괜찮다고 해도 안 믿거나,

혹시나 환자가 소송을 걸거나 문제 삼을 것을 막기 위해서


등이다.


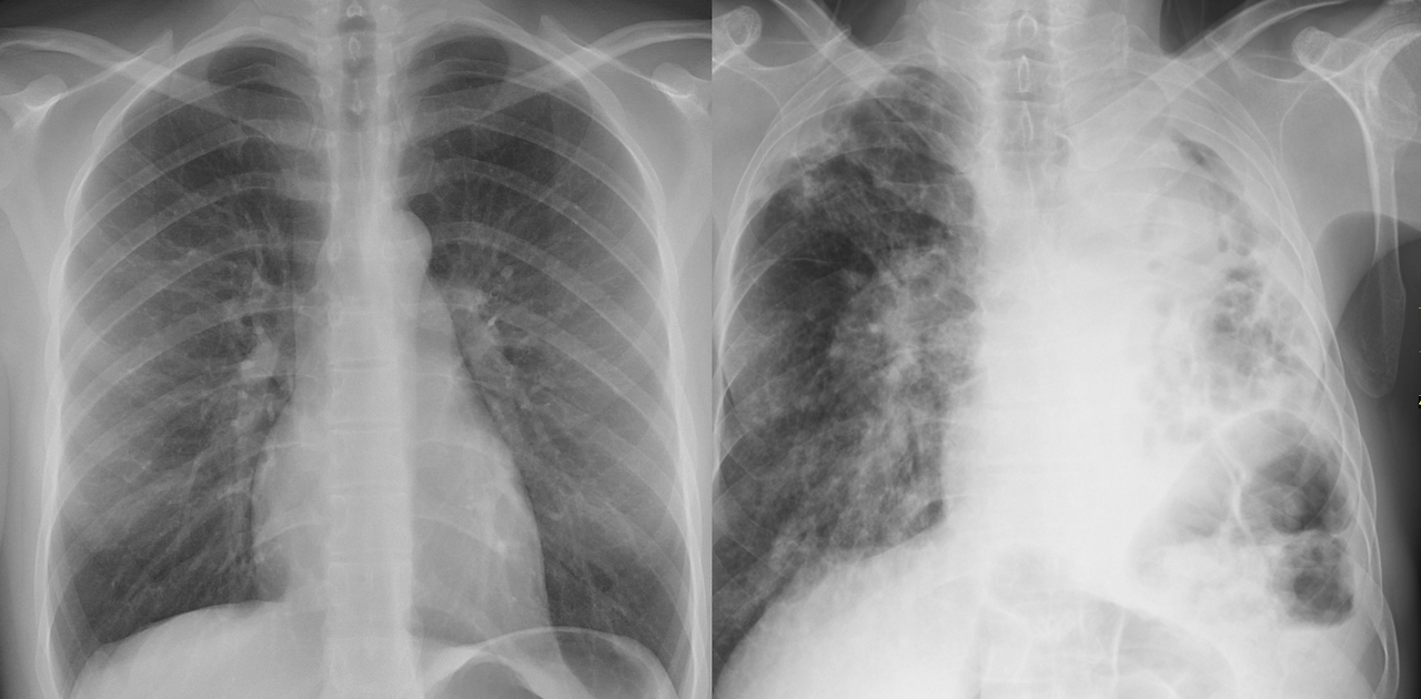
의사에게 검사는 좋다. 병원 매출에 도움이 되는 것은 물론이고, 뇌출혈, 폐렴, 충수돌기염(맹장염) 등의 대부분의 질환이 검사를 통해 진단을 내려진다. 또한 환자 상태를 설명하는 데는 백번의 말보다 한 번 눈으로 보는 것이 훨씬 낫다. 폐렴? "폐렴이 매우 심합니다."라는 말보다, 정상 사진과 하얗게 변해버린 폐 사진을 나란히 놓고 보여주면, 사람들이 모두 고개를 끄덕인다.


그림1.png <좌측: 정상, 우측: 검어야 할 폐가 특히 우측이 심각하게 하얗다. 심한 염증 소견이다. 출처: 위키미디어>


또한 '나중에 왜 이런 병을 놓쳤느냐?'라고 따질 경우, 그 당시 이런 이런 검사를 했었고 정상이었다고 자기 방어까지 할 수 있다. 의사 입장에서는 검사보다 좋은 게 없다.


하지만 환자 입장에서 검사는 썩 내키지 않는다. 돈과 시간은 둘째 치고, 혹시나 '굳이 검사해서 이상한 병이라도 나오면 어떡하지'라는 걱정이 든다. 그냥 검사 없이 전문가인 의사에게 괜찮다는 말을 듣고 싶다. 아마도 민서 엄마는 그런 마음에서 "아이 새끼손가락이 많이 휘었는데 괜찮은 건가요?"라고 물었을 것이다.


"손가락 한 번 볼 수 있을까요?"

내 말에 역시 민서는 반응이 없었고,

"민서야, 선생님 보시게 손가락 내밀어봐."

엄마가 다시 한 번 말을 한 후에야 나는 겨우 손을 내미는 민서의 손가락을 볼 수 있었다. 새끼손가락의 경우, 손가락 마디가 2개가 아니라 한 개인 경우도 흔하기에 보고 만지며, 눌렀을 때 통증이 없음을 체크하며, 주먹을 쥐었다 펴보라고 시켰다. 이상 없었다.

"통증도 없고, 움직이는데 불편한 것도 없습니다. 엑스레이를 찍으면 정확하나, 미용 목적이 아니면 굳이 치료할 필요도 없기에 엑스레이를 촬영할 필요도 없을 것 같습니다."

민서 엄마는 내 말에 고개를 끄덕였지만, 얼굴에는 여전히 걱정이 남아 있었다.


KakaoTalk_20230725_102008917.jpg


저도 그래요

나는 민서 앞에 휘어진 내 새끼손가락을 내밀었다. 그제야 그전까지 나를 경계하던 민서가 나를 더 정확히는 내 손가락을 바라보았다. 동시에 민서 엄마의 표정이 밝아졌다.


"더 궁금한 거 없어요?"

"네. 없어요."


두 모녀가 진료실 밖으로 나가면서 엄마와 아이의 목소리가 들렸다.


"봐봐. 의사 선생님도 그렇다잖아."

"그러게."


그 어떤 것보다 환자에게 확신과 안심을 주는 것은 가장 확실한 검사가 아니었다. "저도 그래요."라는 말 한마디와 그 속에 담긴 공감이었다.



keyword
매거진의 이전글착한 사람에서 나쁜 남자로