brunch

⓶-(1) 뇌출혈로 사망한 텔레마케터 이야기

업무 관련성 평가를 받기 위해 한 남자가 방문했다. 업무 관련성 평가를 신청하기 위해선 여러 자료가 필요하고 대개 노무사나 변호사와 대동하기 때문에 일의 효율을 위해 서류만 제출하고 필요한 경우 직접 만나서 이야기하거나 유선상으로 통화를 하게 된다.


뇌출혈로 사망한 그녀(남자의 아내)의 나이는 겨우 만 41세. 국민건강보험공단이 발표한 2014년 '뇌출혈' 진료 인원을 연령별로 보면 전체 80,000명의 진료 인원 중 여성이 절반이었고 그중 40대 여성의 인원은 3,700명으로 전체 여성 인원의 9.0%였다. 또한, 연령별 인구 10만 명당 '뇌출혈' 발생빈도를 봐도 40대 여성의 경우는 10만 명당 87명에 불과했다. 통계적으로도 정서적으로도 41세라는 나이에 뇌출혈로 인한 사망은 받아들이기 힘들었을 것이다.


그는 뇌출혈로 사망한 아내의 남편이다.

망자는 예쁜 딸 두 명을 키우며 일도 열심히 하던 워킹맘이었다. 그녀는 텔레마케터로 일하며 TV 상품이나 인터넷 상품 가입자를 유치하는 일을 하였다. 해당 팀에는 매일 신규 가입자를 유치해야 하는 실적이 할당되었고 실적에 도달하지 못하는 경우 페널티를 받았다. 페널티를 받으면 모두가 꺼려하는 일을 떠안게 되었는데 (블랙리스트 관리), 사망하기 몇 달 전부터 실적을 달성하지 못하는 일이 많아지자 고객들이 망인에게 화를 내거나 욕설을 하는 일이 잦아졌다.


또한, 회사는 실적에 따라 직원들에게 등급을 매겼고 항상 낮은 등급에 머물러 있던 망자는 위축된 회사생활을 했다. 자기보다 조기 퇴근하고 진급하는 사람들을 보며 많은 심적 부담을 받기도 했을것이다. 이러한 스트레스 속에서 근무 중이던 그녀가 갑자기 쓰러져 119를 통해 병원으로 후송되었고 5일 뒤 사망하였다.


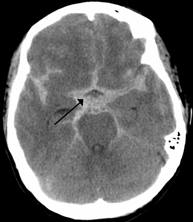
그녀의 최초 촬영한 뇌 CT 영상을 통한 진단명은 대뇌의 거미막하출혈.


(뇌 CT상 별모양의 출혈 양상을 보인다. 일단 거미막하출혈이 발생하면 1/3은 즉사, 1/3은 병원 도착 후 사망, 1/3은 회복한다. https://recapem.com/

거미막하출혈은 두개내 혈관의 파열에 의해 거미막하강내로 출혈되는 것으로 가장 흔한 원인은 외상이고, 비외상성 거미막하출혈의 80%는 뇌동맥류의 파열에 의한 것이다. 또한, 비외상성 거미막하출혈은 병원 전 심정지의 신경학적 원인 중 가장 많은 원인이기도 하다.

뇌혈관질환의 작업 관련 요인으로는 교대제 근무, 야간 근무, 장시간 근로 등의 과로와 스트레스, 정신적 긴장 등이 있다.


즉, 망자의 가족은 망자가 회사에서 장시간 시달린 과로스트레스 그리고 정신적 긴장 등으로 인해 거미막하출혈이 발생했고 이것에 대한 업무연관성 산재 인정을 받기 위해 내원한 것이었다. 이제 나는 이 서류들을 토대로 업무 관련성 평가를 작성하게 된다.


작성을 시작하기 전 가족들이 준비한 자료를 꼼꼼히 검토한다. 대다수의 자료들은 업무 관련성 평가와 동떨어진 자료들이지만 그래도 유족들이 열심히 준비했을 노력을 생각하며 한번 정도는 읽어보는 편이다. 그렇게 하다 보면 그 사람이 살아온 인생과 주변의 환경에 대해서도 알게 된다. 그런 일을 할 때면 사망자의 사인을 가리기 위해 신체 부검을 하는 병리과 의사와 비슷하단 생각도 들었다.


어린 두 딸을 더 잘 키우기 위해 뒤늦게 회사에 취직하여 씩씩하게 일하던 엄마. 나이 많고 경험 없는 여성들이 취직할 수 있는 회사는 대개 업무 스트레스가 심하고 실적 압박이 심한 곳들이다. 그녀에게도 대안이 없었을 것이다. 그저 두 딸이 잘 크기만을 바라고 열심히 일했을 엄마의 모습이 그려졌다.


제출한 자료만으로 업무 관련성 평가를 작성하기에 부족한 경우가 많아 필요하면 유족과 만나기도 하지만 대부분 여러 번의 통화를 통해 관련 정보를 얻거나 송부받는다. 감정적으로 마음이 좋지 않지만 나는 직업환경의학과 의사이므로 업무상 질병 인정에 대해 의학적인 기준에 따라 냉철하게 판단하려 한다.


현재 우리나라 산업재해보상보험법 "업무상 질병에 대한 구체적인 인정 기준"의 뇌심혈관질환 인정 기준을 보면


1) 업무와 관련한 돌발적이고 예측 곤란한 정도의 긴장ㆍ흥분ㆍ공포ㆍ놀람 등과 급격한 업무 환경의 변화로 뚜렷한 생리적 변화가 생긴 경우

2) 업무의 양ㆍ시간ㆍ강도ㆍ책임 및 업무 환경의 변화 등으로 발병 전 단기간 동안 업무상 부담이 증가하여 뇌혈관 또는 심장혈관의 정상적인 기능에 뚜렷한 영향을 줄 수 있는 육체적ㆍ정신적인 과로를 유발한 경우

3) 업무의 양ㆍ시간ㆍ강도ㆍ책임 및 업무 환경의 변화 등에 따른 만성적인 과중한 업무로 뇌혈관 또는 심장혈관의 정상적인 기능에 뚜렷한 영향을 줄 수 있는 육체적ㆍ정신적인 부담을 유발한 경우”로 규정하고 있으며, 나목에서는 "가목에 규정되지 않은 뇌혈관 질병 또는 심장 질병의 경우에도 그 질병의 유발 또는 악화가 업무와 상당한 인과관계가 있음이 시간적ㆍ의학적으로 명백하면 업무상 질병으로 본다."라고 규정하고 있다. 단, 자연발생적으로 악화되어 발병한 경우에는 업무상 질병으로 보지 않는다.


또한, 고용노동부 고시 "뇌혈관 질병 또는 심장 질병 및 근골격계 질병의 업무상 질병 인정 여부 결정에 필요한 사항"을 보면, 만성적인 과중한 업무와 관련하여


1) “발병 전 12주 동안 업무시간이 1주 평균 60시간(발병 전 4주 동안 1주 평균 64시간)을 초과하는 경우에는 업무와 질병과의 관련성이 강하다고 평가한다.”

2) “발병 전 12주 동안 1주 평균 업무시간이 52시간을 초과하는 경우에는 업무시간이 길어질수록 업무와 질병과의 관련성이 증가하는 것으로 평가한다. 특히, 다음 각 호의 어느 하나에 해당하는 업무를 수행하는 경우(업무부담 가중요인)에는 업무와 질병과의 관련성이 강하다고 평가한다.”

① 근무일정 예측이 어려운 업무

② 교대제 업무

③ 휴일이 부족한 업무

④ 유해한 작업환경(한랭, 온도변화, 소음)에 노출되는 업무

⑤ 육체적 강도가 높은 업무

⑥ 시차가 큰 출장이 잦은 업무

⑦ 정신적 긴장이 큰 업무

3) “발병 전 12주 동안 업무시간이 1주 평균 52시간을 초과하지 않는 경우라도 2항의 업무부담 가중요인에 복합적으로 노출되는 업무의 경우에는 업무와 질병의 관련성이 증가한다.”라고 명시하고 있다.


업무 관련성 평가 작성을 위해 내원하는 사람들의 대부분은 1차 산재 신청에서 거절당한 경우가 많은데 그 이유는 위의 기준에 미치지 못했기 때문이다. 직업환경의학과 의사 또한 위의 기준을 참고하여 업무 관련성 평가를 하기는 하지만 차이가 있다면 그것은 업무 관련성의 가능성을 의학적인 근거에 따라 좀 더 폭넓게 보는데 있다.



뇌심혈관질환 업무상 질병 조사 및 판정 지침에는 정신적 긴장을 동반하는 업무의 평가기준이 제시되고 있는데 업무 목표를 달성하지 못하거나 고객과의 트러블이 있을 경우 정신적 긴장이 큰 업무로 평가하고 있다. 망인은 대표적인 감정 노동 직종인 아웃바운드 텔레마케터로 근무하며 꾸준히 많은 감정노동 및 업무 실적 압박, 전자감시제도, 언어폭력 등의 긴장이 높은 업무를 만성적으로 수행하였다.

비록 망인의 총 근로시간이 현행 업무상 뇌심혈관질환 인정 기준의 기준에는 못 미쳤지만 시간이 미치지 못한다 하여도 업무 관련성이 없다고 판단할 수 없다.


과학과 의학은 현재 시점에서는 최선일지 모르나 그것이 진리는 아니다. 많은 발암 물질들이 예전에는 발암 물질로 여겨지지 않았다. 다양한 피해자들이 발생하고 그들 피의 결과 발암물질로 바뀌어 현재의 사람들이 조심할 수 있게 되었듯 말이다.


나는 국내외 스트레스로 인해 젊은 나이에 발생한 거미막하출혈환자의 여러 케이스들과 해외 신경학회지의 다수의 연구 논문들을 인용하여 망인의 뇌출혈에는 업무 관련성이 높다는 업무 관련성 평가를 가족에게 돌려주었다.


그녀가 산재 재심 신청에서 어떤 결과를 받게 되었는지는 아직 모른다. 가족들은 망인의 사망 이후 현재까지 차디찬 사회 속에서 외로운 싸움을 하며 결과를 기다리고 있을 것이다. 어쩌면 나는 가족을 제외하고 그녀의 사망에 관해 가장 잘 알고 있는 사람 중 한 명 이다. 그 어떤 사람이 가족과 그녀의 죽음에 대해 심도있는 대화를 할 수 있을까?


최종 판단은 냉철하게 그러나 가족과의 대화에선 그들의 아픔을 위로해 주려 노력한다. 아무런 관계없는 의사 한 명이 그래도 자기 가족의 억울한 사망에 대해 관심을 갖고 해결해 주려는 노력에서 조금의 치유라도 받을 수 있기를 바라는 마음이다.


부디 고인이 된 망자와 가족들에게 조금이라도 힘이 될 수 있는 업무 관련성 평가였길 바라본다.




keyword
이전 10화⓶ 업무관련성 평가 (feat. 판사일을 하는 의사?)