brunch

비결핵 항산균, 결핵과는 다르다

결핵균 사촌

by 황준호 한의사
브런치 슬로건.png

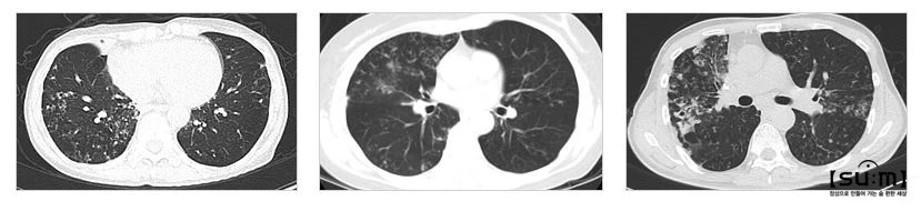
비결핵 항산균은 결핵균은 아니지만 그와 유사한 균이 기관지 내에 머물면서 기침, 가래 등의 증상과 폐 내에 각종 염증을 일으키는 질환이다. 항생제에도 반응을 안 하는 경우가 많으며, 1년 이상 복약하여 균이 없어졌다가도 면역력이 떨어지거나 시간이 지나면 쉽게 재발하는 질환이다. 종합적으로, 이는 결핵균보다 치료가 어려운 편이다.




비결핵 항산균이란?

IMG_5487.jpg


비결핵 항산균은 결핵균과 나병균을 제외한 비(非) 결핵성 균(nontuberculous mycobacteria; NTM)으로 결핵과 유사한 증상을 보인다. 전염성이 낮은 이 균은 물, 토양 등의 자연환경에 분포하고 있으며 공기를 통해 호흡기에 감염된다. 비결핵 항산균이 기관지가 건강한 사람에게 갑자기 발생하는 경우는 드문 편이다. 기관지 확장증과 같이 기관지 내에 상처가 있는 경우에 발병하는 것이 대부분이다. 기저 질환이 있는 환자들에게 주로 발병하기 때문에 방심은 금물이다.




비결핵 항산균 증상

비결핵 항산균은 기침, 가래, 객혈, 발열, 만성피로, 식욕감퇴, 체중감소, 전신쇠약 등 결핵과 유사한 증상을 보인다. 임상적으로 기침, 가래, 호흡곤란 등의 증상은 다른 호흡기 질환에서도 나타날 수 있으므로 기타 폐질환으로부터 유발된 증상인지 파악하여야 한다. 이러한 비결핵 항산균의 경우 폐결핵, 기관지 확장증, 진폐증, 만성 폐쇄성 폐질환 등 기저 질환이 있는 환자에게 주로 나타난다.


비결핵 항산균 VS 결핵




비결핵 항산균 원인

비결핵 항산균은 과거 폐질환에 의해 나타나는 경향이 있다. 항생제의 과용, 객담(가래) 배출의 지연으로 인해 체력 및 면역력이 저하될 경우 균의 대한 저항력이 떨어져 비결핵 항산균이 발병할 수 있다.


0.JPG 비결핵항산균에 의해 파괴된 폐


진행 단계

면역력 저하 > 결핵 및 폐렴 발병 > 기관지염(경증) > 기관지 확장증(중증) > 가래 생성, 양성 변화 > 면역체계 불안정, 염증 누적 > 비결핵 항산균 발병


가족력, 건조한 기관지, 불규칙한 생활습관, 무리한 다이어트, 수면부족, 스트레스 등에 의해 체력 및 면역력이 저하될 경우에 결핵 또는 폐렴이 쉽게 발병할 수 있다. 이 경우, 6개월 정도의 항생제 복용으로 완치가 가능한 반면 장시간 방치로 인해 호흡기가 약해지거나 면역력이 더욱 떨어질 경우 중증의 기관지 확장증으로 발전되기도 한다. 이후 지속되는 면역체계 불안정, 누적되는 염증 등으로 인해 비결핵 항산균이 발병할 수 있으며, 이 시기에는 질환의 병변을 살펴 치료와 함께 생활 속 관리가 병행되어야 한다.






Q. 양약을 꼭 복용해야 할까?

1차 결핵이 발병했을 경우에는 반드시 6개월 이상 양약을 복용해야 한다. 반면, 비결핵 항산균은 양약을 꼭 복용해야 하는 것이 아닌 선택사항이다. 양약을 복용하여도 완치율은 낮고, 재발률은 높기 때문이다. 이 때문에 경험이 많은 의료진일수록 무조건 양약을 처방하기보다는 상황에 따라 유연하게 대처를 하는 경우가 많다. 비결핵 항산균은 대체적으로 객담(가래)의 양이 많을수록 활동이 활발해지기 때문에 가래 제거 및 기능 회복이 되어야 완치가 가능하다.


Q. 기관지 확장증 질환이 있을 경우, 비결핵 항산균의 발병률이 높아지는 이유는?

기관지 확장증은 기관지의 일부가 늘어나고, 심한 경우 동굴처럼 병소가 나타나기 때문에 그곳에 균이 침투하여 서식하기 좋은 환경을 만든다. 비결핵 항산균의 경우, 체내에 내재되어 있다가 체력 및 면역력이 저하될 경우 질환을 일으킨다. 구멍 속 깊숙하게 숨어 있는 균은 항생제 투약이 힘들어 완치가 어려운 편에 속한다. 그렇기 때문에 기관지 확장증 환자는 비결핵 항산균을 가지고 있는 경우가 많으며, 비결핵 항산균이 있는 환자는 기관지 확장증으로 발전할 가능성이 있다.


Q. 비결핵 항산균은 어떤 질환을 유발하나?

d.JPG





비결핵 항산균을 치료하기 위해서는 가래를 적극적으로 제거하면서 균이 서식할 수 있는 환경을 없애주는 것이 중요하다. 특히 건조한 환경에서는 기관지가 건조해지면서 가래가 진득해지고 달라붙어 잘 배출되지 않기 때문에 이를 예방하는 것도 중요하다. 이러한 치료를 통해 비결핵 항산균의 발생을 줄이고 증상을 완화시킬 수는 있으나, 다시금 기관지가 건조해지는 환경에 노출되거나 다른 호흡기 질환이 발생하는 경우 증상이 재발할 수 있으니 이후 주기적인 관리도 필요하다.

keyword
작가의 이전글가슴답답한 신경성호흡곤란