절망적인 날

이제는 아무렇지 않은 지난날

by 한상엽


22년 4월 나의 실수로 손을 다치게 되었다.


120kg 바벨에 새끼손가락이 깔렸다 느껴졌다 부서지는 느낌을


뼈, 인대, 힘줄 그리고 근육을 보게 되었고 그때의 생각은 큰일 났다는 생각과 함께 책에서 보던 그대로의 형태를 내 몸으로 보니 신기하다는 생각도 문득 들었다.


다쳤을 때의 통증보다는 앞으로 나는 어떻게 하며 재활을 해서 다시 운동을 할 수 있을까? 절망적이었다.


찰나의 시간이 지나고 붉은 피가 솟구쳤다 분수처럼 검은 바닥은 붉게 물들고 상황을 타파하기 위해서 나는 움직였다.


구급차를 부르는 것보다는 내가 더 빠르다고 판단하여 수건으로 손을 감싸고 뛰어갔다.


응급실에서는 대기줄이 길었고 나는 의사를 찾았지만 대기하라는 말만 들었다 하지만 내 상황은 그럴 상황이 아니어서


어쩔 수 없이 수건을 열어 보여주었고 황급히 의사를 불러주었고 빠르게 들어갈 수 있었다.


환부를 식염수로 씻어내는데 쇼크가 왔었다 온몸에 오한이 오고 덜덜 떨면서 병원 침대?를 붙잡고 통증을 참았다.


그때 관우와 화타 이야기(삼국지 중에서..)가 생각났는데 과장이 심하다고 생각이 들었을 정도로 어지러웠다.


식염수 4리터를 사용했다고 들었고 많은 양이라고 하였다. 의사는 환부가 개방이 되었으니 균은 100% 들어가서 최악의 상황은 뼈가 썩어서 손가락을 절단할 수도 있다고 했다 최악의 상황까지 설명하였겠지만 그때의 나는 억장이 무너졌다


나는 이성적으로 생각하고 노력한다고 생각하지만 생각은 이성적으로 알겠다 대답은 했지만 감정은 어쩔 수 없었다.


어느 정도 정신이 들고 병실에서 수술을 기다리고 있었다 주말이었기 때문에 다음 날이 오기까지 기다렸다.


주변의 사람들에게도 피해를 준거 같아 미안했고 나 자신에게도 답답함과 여러 오묘한 감정들이 나타났다.


의사 선생님이 스케줄을 조정해주셔서 나는 다음 날 빠르게 수술을 하였다 너무 감사한 마음이었다


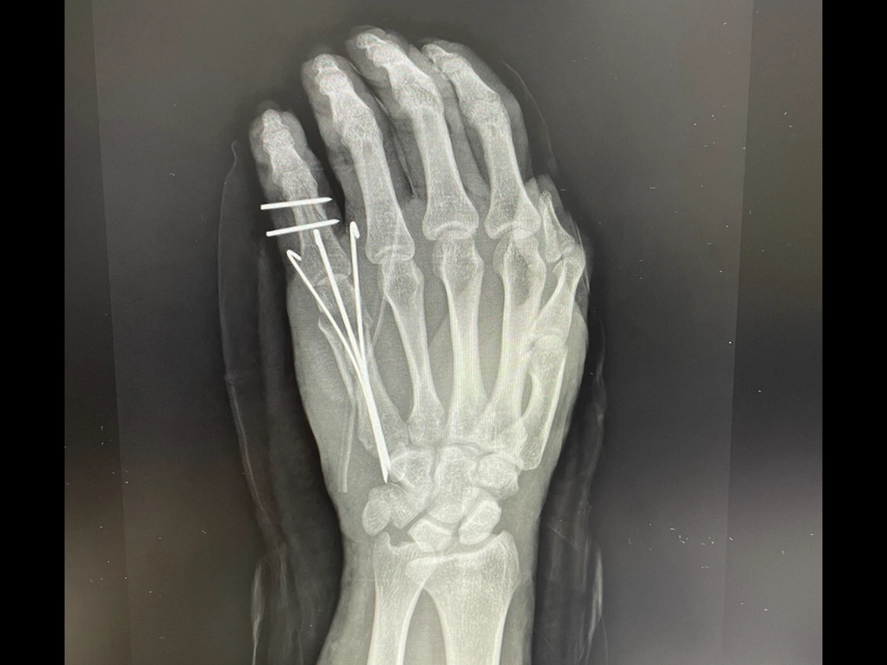
진단명은 소지 개방 골절 및 분쇄골절이었다. 뼈가 심하게 조각나서 완벽하게 붙일 수 없었고 완벽하게 붙이면 손을 움직일 수 있는 확률이 현저히 떨어진다고 하였다.


손을 보고서 느낀 것은 아무 생각이 나지 않았다 긍정과 부정 그 어느 것도 …


- 이 과정을 아무렇지 않게 쓸 수 있게 지난 일로 만들어준 찾아와 주고 연락해주고 필요한 물건들을 챙겨주고 마음으로 걱정해주신 모든 분들 덕분입니다.

제가 이렇게 다시 할 수 있었던 것은 여러분 덕분입니다 잊지 않겠습니다 감사합니다.




밑에 사진은 심신미약자는 보지 않는 걸 권고한다.














keyword
작가의 이전글단축과 늘어짐