brunch

[12주차 임신일기] 1차 정밀초음파와 구멍난

12주, 유산 위험이 현저히 줄어드는 '안정기'에 접어들었다.

by cosmos

11주 차, 엉치뼈와 허리 통증이 시작됐다.

12주 차, 갑작스러운 병원 방문, 그리고 정기검진에서의 1차 정밀초음파


6월 19일 일요일 (12주 0일)

내가 처방받고 있는 입덧약인 '디클렉틴'의 용법은 다음과 같다.

초회용량으로 1일 1회 2정을 취침 전에 복용한다 (첫째 날). 다음날 증상이 적절하게 조절되는 경우 1일 1회 2정을 취침 전에 계속 복용한다. 그러나 둘째 날 오후까지 증상이 지속되는 경우 둘째 날 취침 전에 2정을 복용하고, 셋째 날 3정을 복용한다(아침에 1정, 취침 전에 2정). 증상이 적절하게 조절되는 경우 1일 3정을 계속 복용한다. 증상이 적절하게 조절되지 않는 경우 넷째 날 1일 4정을 복용한다(아침에 1정, 오후 중반에 1정, 취침 전에 2정). 1일 최대 권장용량은 4정이다(아침에 1정, 오후 중반에 1정, 취침 전에 2정).

나는 요즘 3정을 복용하고 있는 중이다. 입덧 증상이 나의 일상생활에 큰 영향을 주기에, 자기 전에 입덧약 챙겨 먹는 것을 단 한 번도 까먹은 적이 없었다. 그러나 이 날은 왜 그랬는지, 입덧약 먹는 걸 잊었다. 대 재앙의 시작이었다.

아침에 잠에서 깨자마자 쎄한 느낌이 들었다. 약을 먹지 않았었다는 것을 인지하는 순간 후다닥 일어나 1알을 복용했다. 괜찮겠지, 요즘 괜찮았으니까. 그리고 오늘은 주말이니까.

지금까지 내 입덧 증상은 먹으면 속이 편해지는 줄 알았다. 그러나 그것도 약을 잘 챙겨 먹을 때나 적용되는 것이었다. 뭘 먹을 수도 없고, 안 먹을 수도 없고. 구토를 하면 좀 나아질 것 같은데 나오진 않고(먹은 게 없으니까), 분명히 별로 먹은 게 없는데 윗배엔 뭐가 가득 찬 것 같고. 심하게 체한 듯한 몸상태가 하루 종일 유지되었다. 당연히 눕거나 자는 것 외엔 할 수 있는 것이 없었다.

오늘 밤엔 약을 반드시 잘 먹겠노라고 반성해봐도 소용이 없었다. 내일을 위한 약 2알을 먹고 잠에 들어보려는데 속이 너무 아파 잠을 잘 수가 없었다. 낮에 너무 자서인지 잠이 오지도 않았다. 눈을 감고 그렇게 한 시간, 두 시간...

2~3시간 정도 잤을까, 이제야 조금 깊게 잘 수 있을 것 같은데 출근해야 할 시간이다.

6월 20일 월요일 (12주 1일)

지난밤 잠을 제대로 못 자는 바람에 출근길이 너무 힘들었다. 3~40분 정도 되는 출근 시간 운전은 졸음과의 싸움이었다. 졸음 방지 껌을 먹어보고, 소리를 질러보고, 허벅지를 꼬집어가며 졸음을 참았다. 내가 다니는 회사 근처엔 지역 특성상 화물차가 엄청 많다. 삐끗하면 죽을 수 있다는 생각으로 정신줄을 부여잡으며 회사로 달렸다.

자리에 앉아 남은 입덧약을 세어보았다. 넉넉히 4주 치를 처방해주셨지만, 몇 주 전부터 3알씩 먹기 시작했으므로 혹시나 입덧약이 부족할까 신경 쓰였다. 어제의 대 재앙을 경험하고 나니 입덧약의 소중함에 대해 다시 한번 깨달았달까.. 남은 입덧약은 병원에 가기까지 매일 3알씩 먹으면 딱 떨어지는 양이었다. 이 마저도 어제 까먹고 안 먹어서 딱 맞는 양이라니.. 남은 입덧약을 한 알 한 알 세고 있는 불쌍한 임산부.. 그게 바로 나예요..

아침 출근 이후 너무 졸려서 몸도 조금 움직이고 잠도 깰 겸 동료들과 사내 카페를 찾았다. 키오스크에서 음료를 주문하는 동안 잠깐 서 있었는데, 그 잠깐 서있는 동안 갑자기 눈앞이 하얘지면서 손 발이 차갑고 감각이 없어지는 듯한 느낌이 들었다. 이전에 경험했던 저혈압 증상 같았다. 황급히 의자에 앉아 휴식을 좀 취하니 핑 도는 듯한 증상은 사그라들었지만, 어제의 후폭풍인지, 잠을 제대로 못 자서인지, 컨디션이 너무 좋지 않았다. 휴게실에서 잠시 누워 휴식을 취하려는데 누우니 오히려 세상이 도는 것 같았다. 아무래도 안 되겠다. 병원에 가야겠다.

급히 이번 달에 남은 태아검진휴가를 오후 반차처럼 써서 병원에 방문했다. 주치의 선생님은 학회로 부재중이라 다른 선생님께 진료를 봤다. 초음파를 보겠냐고 해서, 온 김에 아기가 잘 있는지 보겠다고 했다. 12주부터는 질식초음파가 아니라 배로 보는 초음파다. 두근두근, 배로 처음 확인하는 아기의 모습.

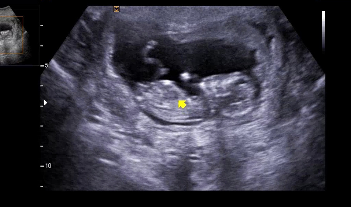
KakaoTalk_20220629_164740923.jpg 노란색 화살표가 가리키는 것이 아기의 심장

확실히 지난 9주에 확인했던 아기보다 많이 컸다. 아기는 건강하게 잘 지내고 있었고, 여전히 역동적인 움직임을 보여줬다. 아기는 잘 있으나, 산모는 잘 있지 못하다. 오늘 있었던 일에 대해 설명하니, 의사 선생님은 흔히 있을 수 있는 증상이라고 하셨다. 또 그러거든 의자에 앉거나 누울 수 있으면 그렇게 휴식을 취하고, 급하게 벌떡 일어나지 말고 몸이 적응할 시간을 주도록 천천히 일어나라고 하셨다. 그리고, 환도서는 증상에 대해서도 초기에 발생할 수 있는 일이고, 딱히 방법은 없다고 하셨다. 오늘은 영양제가 든 수액과, 메스꺼운 속을 조금 진정시켜줄 수 있는 수액을 맞고 돌아가기로.

병동으로 올라가 수액을 맞았다. 처음 주사를 놓던 간호사 선생님은 내 팔에 대왕 멍과 구멍을 선물하시고 베테랑 선생님을 모셔왔다. 선생님들, 실수하셔도 괜찮아요. 그런데 태연한 척하시지, 주삿바늘을 꽂자마자 "아이고 어떡하지" 이러시면 제가 더 어떡하지 싶어요.. 무섭잖아요...

KakaoTalk_20220629_164856377.jpg 나의 인생 첫 수액

1시간 정도 수액을 맞고 집으로 돌아왔다. 분명 속을 편안하게 하도록 도와주는 약이라고 하셨는데, 왜 돌아오는 내내 더 속이 불편했는지 모르겠다. 집으로 돌아와서 낮잠을 자고 일어났는데, 한결 편안했다. 이제야 약기운이 도는 건가.

내 인생 첫 수액, 얼마나 바늘이 두꺼웠으면 이 글을 쓰는 일주일이 지난 지금도 내 팔에는 이제는 노랗게 변한 멍과 주사 자국이 선명하다.

6월 23일 목요일 (12주 4일)

남초기계회사를 다니면서 컴퓨터공학 전공으로 살아남기는 초반에 꽤 어려운 일이었다. 입사할 때부터 30명 정도 되는 입사 동기들 중 컴공은 나 혼자였고, 기계의 메커니즘을 이해하는 것은 너무나도 어려웠다. 입사 후 만 4년이 지난 지금도 우리 회사가 만드는 기계에 대해 정확히 이해하지 못하고 있는 것 같다. 입사 후 1년 반 정도 지났을 시점, 입사 초부터 하고 있던 일에 회의감이 들었고, 컴퓨터 전공으로서 내가 이 회사에서 할 수 있는 것이 없는 것 같다는 생각이 들었다. 그런데 또다시 이직할 자신은 없고, 회사 자체에 불만이 있지는 않았기에 아예 기계를 다시 배워 이 회사를 더 다닐 방법을 찾아볼까 싶기도 했다.

결론은 컴퓨터공학 전공자가 기계 회사에서 앞으로 중요한 역할을 해주어야 한다고 생각하시는 한 임원 분에 의하여 전공을 유지할 수 있었다. 그렇게 지금은 전장 부서에서 IoT 관련 업무를 담당하게 되었다.

그때의 인연을 계기로 회사에서 그룹 차원으로 운영하고 있는 인공지능 커뮤니티에 운영진으로 참여할 수 있었다. 처음엔 그냥 지원하는 역할로 있다가, 이번 해엔 어쩌다 보니 매 달 직원들을 대상으로 코딩 강의를 하게 되었다. 이 글이 익명으로 유지되어야 하는 이유는, 내가 코딩을 싫어한다는 것을 직원들에게 들키면 안 되기 때문이다... 사실 저 코딩 싫어해요... 저도 싫어하는 거 시켜서 죄송해요...

hate-coding-try-digital-marketing.png 네!! 코딩 싫어어억!!!!!

이 날은 인공지능 커뮤니티 운영진들을 격려하기 위해 '그 임원'분께서 저녁을 사주기로 하신 날이었다. 오랜만이라며 반가워해주시는 '그 임원', 부사장님, 현재 상황과 정치, 뭐 이런 걸 다 떠나서 일단 내가 회사에서 제일 존경하는 분이다. 입사 당시 내 조직 담당 전무였는데, 갓 입사한 신입사원들에게 "회사 생활에 에너지를 100% 쏟지 마라", "개성을 유지해라, 빨간 머리 하고 싶으면 하세요~" 등등의 대기업 임원에게서 쉽게 나오지 않을 것 같은, 언뜻 들으면 좀 파격적(?)일 수 있는 이야기들을 해주셨던 분이다. 임원이 내 가치관을 지지해준다는 생각에, 회사생활을 지속하게 하는 근원적인 힘을 유지하면서, 이전 회사에서는 항상 풀 죽어있던 내가 조금은 당당하게 직장생활을 할 수 있게 되었다. 덕분에 회사 다니면서 화려한 색의 머리스타일을 시도해보기도 했다. 지금은 보라색 투톤헤어...(색이 다 빠졌지만)

그리고 그 저녁 식사 자리에서 만난 또 다른 투톤 탈색머리를 하고 있던 범상치 않은 한 여자분이 있었다. 명단만 보고 '오늘도 나 혼자 여자겠군'의 예상을 뒤엎고 중성적 이름을 가진 여자분이 등장하셨는데, 우리 회사를 들어와서 단 한 번도 만난 적 없는 동문이었다. 우리는 짧은 순간 대화했지만, 서로가 가진 아련함을 눈빛으로 교환했다. "저 회사 다니면서 대학 동문 처음 만나요." 오늘은 여러모로 반갑고, 옛 기억을 반추하게 되는 날이다.


6월 25일 토요일 (12주 6일)

1차 정밀초음파(NT검사)가 예약되어 있는 날이다. 그리고 NT검사 결과를 보고 다운증후군 산전검사를 어떻게 할지도 결정해야 하는 날이다. 주치의 선생님이 학회에서 이 날 돌아오셔서, 예약이 조금 차있었는지 평소와는 다르게 오후 예약이었다. 오후에 방문한 병원은 오전보다 한산했다. 가장 먼저 남편과 함께 초음파실에 들어가 정밀초음파를 확인했다. 너무 잘 움직이는 우리 써니라, 검사할 때 한 시도 가만히 있지 않으면 어떡하지 내심 걱정했는데, 벌써부터 효자인가... (벌써부터 도치맘인가...) 검사할 때만은 가만히 자세를 잘 잡아주었다.

KakaoTalk_20220629_170123889.jpg NT와 화살표가 가리키는 코뼈

다운증후군의 마커로서 코뼈 유무와 NT(목덜미 투명대, 자세한 내용은 https://brunch.co.kr/@the-cosmos/17 '다운증후군 산전검사에 대하여') 두께를 확인했다. 코뼈도 정상적으로 잘 보였고, 아기의 NT 두께는 1.1mm로 정상범위였다. 이제는 태반에 연결된 탯줄도 제법 잘 보이고, 얼굴 윤곽도 조금 보이는 듯했다. 양손과 양 발, 뇌부터 방광까지 현재 확인할 수 있는 장기까지 잘 확인하고는 써니의 첫 4D 초음파를 촬영했다. 지금까지 잘 있다가 검사가 끝나니 꼬물거리는 아기. 얼굴을 보여주지 않으려고 돌아 눕다가, 잠깐 정면을 보여줬다. 안녕 써니야!

KakaoTalk_20220629_170123889_01.jpg 인생 첫 사진, 반가워 써니야!

정밀 초음파가 끝나고 주치의 선생님께 진료를 받았다. 크로스체크로 초음파를 한 번 더 확인하고, NT 포함 확인할 수 있는 모든 것이 정상인데, 산모가 체중이 2kg나 빠졌다고 걱정하셨다. 요즘 샤워하려고 맨몸으로 거울 앞에 서면, 왠지 야위어 보였는데, 정말 체중이 빠져있었다.

월요일에 수액을 맞고 간 것은 아주 잘한 일이며, 다음 진료일이 4주 뒤인데, 그 사이에 또 힘든 날이 있다면 언제든지 병원에 와 수액을 맞고 가라고 하셨다. 그리고 입덧약은 아주 넉넉히 처방해주셨다. 남은 약을 한 알 한 알 셀 필요가 없어지도록, 든든하다!

다운증후군 산전검사로 내가 선택한 것은 '통합선별검사'이다. 진료가 끝나고, 검사를 위한 채혈을 했다. 오늘따라 왜 이렇게 주삿바늘이 아픈지, 이렇게 내 팔에는 3방의 구멍이 생겼다. 지금은 양팔에 아픔의 흔적이 다채로운 색깔의(?) 멍으로 남아있다.

통합선별검사를 위한 1차 채혈을 끝내고(2차는 16주에 다시 채혈), 병원에서 태아보험을 가입했다. (사실은 태아와 산모 특약이 포함된 어린이보험) 그리고 병원 부속 산후조리원에 상담 예약을 하고 찾아갔다. 조리원은 급한 마음이 없었는데 예진 때 조리원 설명을 듣고는 한 번 전화해봐야지 싶어서 연락하니, 12월 말, 1월 초 분만이라는 내 말에, "그럼 지금 바로 오셔야 해요"라고 대답하는 전화기 건너 목소리에 괜히 마음이 급해졌다. 조리원을 위해 다른 부부들은 여기저기 알아본다는데, 조리원에 큰돈을 투자하고 싶지도 않았고, 여기저기 알아볼 정신과 컨디션도 아닌지라, 병원 부속만 알아보았다. 가격도 합리적이고, 시설도 이 정도면 마음에 들어 방문한 당일에 계약을 진행했다. 아직 분만 방법은 결정을 못했지만, 자연 진통을 기다린다면 예정일을 넘길 가능성이 높았다. (우리 엄마도 나를 예정일보다 늦게 자연분만으로 낳았다.) 1월에 입소하게 되면 산모가 아기가 너무 많아 병원에서 기다릴 수도 있다고 하니, 1년 중 제일 수술 예약이 많은 날이 1월 2일이라고 할 정도다. 그렇게 조리원 예약까지 끝!


오늘은 많은 퀘스트를 깼다. 앞으로 4주 동안 아기가 잘 있는지 너무나도 궁금할 테지만, 엄마는 그동안 더 잘 먹고, 행복하게 지내볼게. 지금 엄지손가락 만한 너는 4주 뒤엔 내 손만큼 커지고, 그때가 되면 네가 여자아이인지, 남자아이인지도 알 수 있겠지? 엄마 아빠가 더 힘낼게! 사랑해♥

keyword
작가의 이전글[11주차 임신일기] 허리가 찌릿, 환도 선다?