쿵닥쿵닥쿵닥

아가의 심장소리인가 내 심장소리인가

by 스크류바

그렇게 2주 후 병원을 다시 찾았다.

어색하게 쭈뼛거리며 다른 산모들처럼 수첩을 내고 몸무게와 혈압을 잰 이후에 대기실에 앉아 내 차례를 기다렸다.

나는 어서 빨리 아이가 잘 있는지 확인하고 싶어 기다리는 20분이 2시간처럼 느껴졌다.


내 이름이 불리고 총총총 들어가 씩씩한 척 인사를 했다.

긴장되는 마음을 부여잡는 건 쉬운 일이 아니었다.

온몸의 전체에서 심장이 두근거리며 뛰는 거 같았다.

선생님은 마스크 뒤에 숨겨져 있지만 환하게 웃으며 어서 오라고 하시더니 내가 안기도 전에 아기부터 보자고 하셨다.

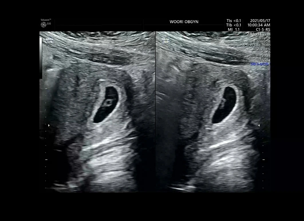
2주 전에 보던 콩알이는 온데간데없고 강낭콩이 떡하니 보여서 깜짝 놀랐다.


우리아가는 2주만에 강낭콩이되었다.


“우리 아이는 정확히 6주 차가 맞네요. 생리일수가 너무 늦어져서 더 된 줄 알았는데 6주입니다.

그 전보다 아주 잘 커서 자리까지 잘 잡았네요. 보이시죠?”

“아, 네”

“이 강낭콩처럼 보이는 부분 안에 이 작은 하얀 부분이 우리 아이예요. 음~ 심장소리가 들릴 거 같아요. 잠시만요.”


에? 벌써 심장소리가 들리다니, 무슨 일인가. 내 뱃속에 고작 6주가량 차지하고 있었는데

심장소리가 들린다는 게 말이 되는 소리인가!

아니 그 보다 저렇게 작디작은 생명체에게 벌써 심장 소리라니!

기대와 긴장이 한꺼번에 다가왔다.

의사 선생님이 초음파를 잘 대고 버튼을 하나 누르자 우리 아가의 심장소리가 들려왔다


힘차게 콩닥거리는 우리 아가


쿵닥쿵닥쿵닥쿵닥


“심장소리가 120 이하면 유산의 가능성이 있는데, 우리 아가는 120이 넘어가네요. 아주 잘 크고 있다는 증거죠.”


쿵닥쿵닥쿵닥쿵닥쿵닥

내 심장소리보다도 크게 울려 퍼지자,

저 소리에 내 모든 감각이 멈춰버린 것만 같았다.

대답도 못하고 멍하니 계속 듣고 있었다.

아가의 심장소리를 들으니 코끝이 이상하게 매워왔다.

금방이라도 눈물이 날 뻔했다.

남편이 보고 싶었다.

이걸 남편과 함께 들었으면 진짜 좋았을 텐데, 코로나가 터진 이후로 산부인과는 예약자 혼자만 출입이 가능했다.

저 작은 아가도 살아가기 위해 심장을 열심히 뛰어내고 있는데, 내가 이렇게 있을 수 없다는 생각이 계속해서 들었다.

더 열심히, 더 열정적으로 살아가고 싶었다.

강한 다짐을 거듭하게 해주는 우리 아가였다.


“아주 잘 크고 있어요. 우리는 다시 2주 뒤에 봅시다. 그때까지 아가 잘 키워서 오세요.”

“네. 감사합니다!”

“입덧은 어떤 거 같아요?”

“그냥 속이 울렁거리고 입맛 없는 정도이지 아직은 괜찮은 거 같아요.”

“아, 다행이네요. 산전 검사하시고 가시면 될 거 같습니다.

자궁경부암 검사는 했나요?”


산전검사라고 피를 뽑아서 내 몸에 비타민부터 갑상선 기능 등 많은 부분을 확인할 수 있는 것이라고 이상이 있으면 빨리 손을 쓰기 위함인 것 같았다.


나는 병원 가도 피를 뽑을 때 살살해달라고 할 수 있는 모든 엄살을 부리며 간호사 선생님께 사정사정하는 나인데

아가의 심장소리를 듣고 나온 직후라 그런지 그 묘한 감정을 이겨내지 못하고 흠뻑 취해 있었다. 그래서 아픈 줄도 몰랐다.


산부인과는 이상한 곳이 분명하다.

정신을 차릴 수 없고 자꾸 꿀렁꿀렁한 기분에 사로잡히게 했다. 임신 전에는 느끼지도 못했던 감정을 느끼고 있다 보니까 이게 엄마가 되어가는 과정인가 싶었다.


그렇게 병원을 나오는데 남편에게 전화가 왔다.

어플로 초음파를 볼 수 있게 해 뒀는데, 심장소리를 듣고 감격스러워서 일을 못하겠다고 밖에 나와 전화를 걸어왔던 것이다.

남편은 그 작은 게 심장을 뛰고 있는 것도 신기한 데다가, 예쁘게 커가는 것이 너무 기특하다는 소리를 장왕 하게 늘여놓았다.

그리고 마지막엔 본인을 닮아 기특한 짓 많이 한다는 벌써부터 이상한 소리를 해대길래

질 수 없어서, 예민한 당신보다 나를 닮아 잘 크고 있는 거 아니냐고 맞불작전을 놓았다.

이상하게 왜 이런 싸움은 지고 싶지 않아 했는지, 우리 엄마 아빠의 마음을 알 수 있었다.

나의 대꾸에 남편이 웃더니 운전 조심해서 오라고 신신당부를 하고 끊었다.

무한한 관심에 기분이 내심 좋았다.


집에 돌아오자마자 이상하게 낮잠이 쏟아졌다.

원래 잘 자지도 않았는데, 검색해보니 임신 초기 증상이라길래 기분 좋게 잠을 청했다.

잠을 거의 자지 않는 불면증인 사람인데,

이래저래 우리 아가는 효심이 가득한 게 틀림없다며 남편에게 카톡을 남기고 잠들었다.


기분 좋게 자고 일어나니 남편이 퇴근해 저녁을 하고 있었다.

부랴부랴 일어나 도우려고 했으나

갑자기 밥 냄새가 역한 듯하면서 온 세상에 있는 모든 음식을 거부하고 싶어지는 심정이 생겨버렸다.

그렇게 좋았던 입맛이 사라져 버렸다.


“여보 왜 그래?”

“나, 본격적으로 입덧이라는 걸 할 건가 봐.”

“왜? 속이 안 좋아?”

“지금 당장 밥하는 걸 멈췄으면 좋겠어……. 나 방에 들어갈게.”

"굶으면 안 되는데!"

"토가 나올 거 같아."

작가의 이전글널 처음 만난 순간(2)